Carotid web som årsag til gentagne iskæmiske strokes


Nadia Damholt Savino1, Karen Lehrmann Ægidius1, Willy Krone2, 3 & David Gaist1, 3
Carotid web (CW) er et nonateromatøst fremspring af intimavæv, som prominerer ind i den proksimale del af a. carotis internas lumen, ofte beskrevet som en atypisk og fokal variant af fibromuskulær dysplasi [1]. CW formodes at kunne medføre embolisk iskæmisk stroke sekundært til blodgennemstrømningsændringer/stase [2]. Nylige studier konkluderer, at prævalensen af CW er 9-37% hos patienter < 60 år med kryptogent stroke, dvs. hvor årsagen til stroke ikke har kunnet påvises [3].
En 37-årig kvinde blev indlagt i december 2022 på neurologisk afdeling pga. akut opstået venstresidig hemiparese, som remitterede inden for en time. Patienten havde haft et lignende tilfælde 1-2 mdr. tidligere, hvor hun ikke havde opsøgt læge. En akut CT af cerebrum påviste flere kortikale infarkter i højre hemisfære i a. cerebri media og a. cerebri anteriors forsyningsområde. CT-angiografi (CTA) af halskar og intrakranielle kar var upåfaldende. Patienten havde ingen kendte cerebrovaskulære risikofaktorer ud over tidligere alkoholoverforbrug og aktiv rygning.
Blodprøver inkl. vaskulitis- og trombofiliscreening, syvdageshjertemonitorering og transtorakal ekkokardiografi gav ingen forklaring på infarkternes ætiologi. Der blev påbegyndt dobbeltpladehæmmerbehandling (DAPT) hos patienten, som derefter blev udskrevet.
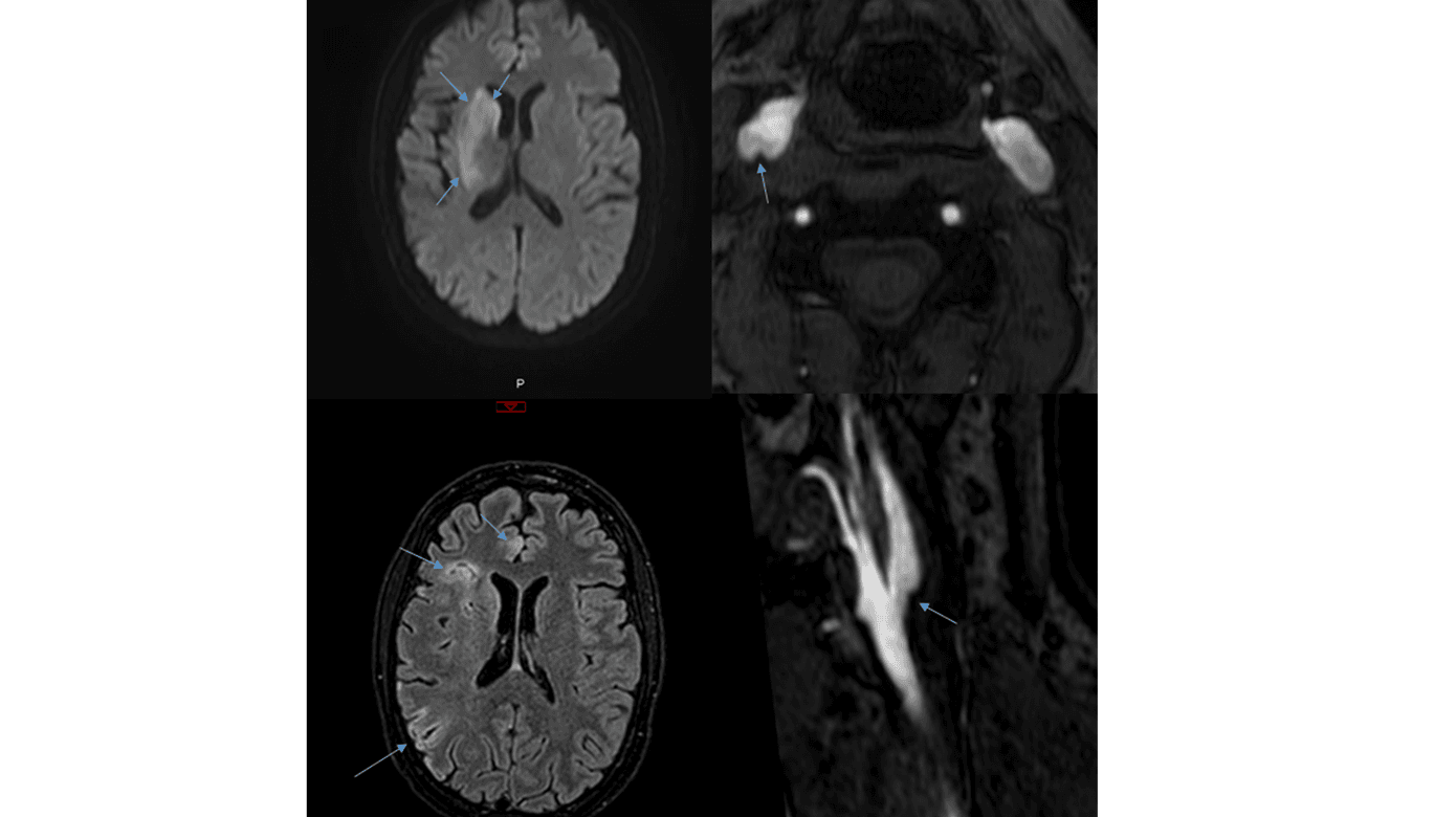
I løbet af den næste måned blev hun indlagt yderligere to gange med varierende venstresidige udfald, herunder central facialisparese, dysartri, visuel neglect, hemiparese og hemihypæstesi. Ved hver indlæggelse påvistes nytilkomne infarkter i det anteriore gebet i højre hemisfære (Figur 1 A + B).
Udredning med MR-skanning af cerebrum (MR-C) med kontrast, lumbalpunktur, helkrops-PET/CT for at udelukke underliggende malignitet og digital subtraktionsangiografi (DSA) kunne ikke forklare de gentagne iskæmiske strokes. Transøsofageal ekkokardiografi påviste et stort persisterende foramen ovale (PFO), og man påbegyndte behandling med dabigatran, idet nye infarkter var opstået trods DAPT. I den næste måned, i ventetiden på PFO-lukning, fik patienten et nyt infarkt i det anteriore gebet i højre hemisfære. Patientens PFO blev lukket, og hun overgik til behandling med clopidogrel. Elleve dage senere fik hun et nyt iskæmisk stroke med venstresidige udfald som tidligere beskrevet. MR-C inkl. angiografi påviste nytilkommen iskæmi i højre hemisfære med distal M1-trombe, og hun fik foretaget trombektomi.
Patienten havde altså nu haft seks iskæmiske strokes fra det anteriore gebet i højre hemisfære på trods af relevant pladehæmmerbehandling, antikoagulationsbehandling og vellykket PFO-lukning. På mistanke om CW udførtes MR-angiografi af halskar på ny, og denne gang rejste sig mistanke om karanomalien proksimalt i højre a. carotis interna (ICA) (Figur 1 C + D). Efterfølgende foretoges DSA forudgået af loading med tabletter clopidogrel og acetylsalicylsyre. DSA’en blev denne gang suppleret med skråoptagelser, som bekræftede fundet, der sås mest tydeligt i den sene kontrastfase [3] (Figur 1 E + F). Der blev anlagt en stent i CW i højre ICA, og patienten fortsatte i DAPT i vanlig vedligeholdelsesdosis.
Få måneder senere overgik patienten til clopidogrel i monoterapi. Hun havde efter stentanlæggelsen ikke yderligere recidiv af iskæmisk stroke.
CW er en sjælden årsag til iskæmisk stroke i en uselekteret population, men ses med øget forekomst hos yngre patienter med kryptogent stroke, især kvinder [3]. CW kan være svær at diagnosticere, som ovenstående sygehistorie illustrerer. Litteraturen anbefaler CTA eller DSA som foretrukken billedmodalitet, dog er det vigtigt med projektioner fra flere vinkler, inklusive skråoptagelser, da CW kan være vanskelig at visualisere pga. sin beliggenhed i den posterolaterale karvæg [3, 4].
CW er således en vigtig årsag at overveje hos yngre patienter med gentagne kryptogene iskæmiske strokes fra samme hemisfære i det anteriore gebet [4]. Randomiserede studier, der sammenligner forebyggende behandlinger ved CW, findes ikke og vil næppe blive udført givet tilstandens relative sjældenhed. Caseserier tyder på høj strokerecidivrate ved pladehæmmerbehandling, mens effekten af antikoagulationsbehandling er mindre veldokumenteret [3, 4]. Carotis-endarterektomi og stentbehandling rapporteres med høj succesrate og godt langtidsudkomme. Begge procedurer anses for mere enkle og sikre at udføre ved CW end ved arterosklerotisk carotisstenose [3, 4].
Korrespondance Nadia Damholt Savino. E-mail: nadia.savino@hotmail.dk
Antaget 21. november 2023
Publiceret på ugeskriftet.dk 15. januar 2024
Interessekonflikter Der er anført potentielle interessekonflikter. Forfatternes ICMJE-formularer er tilgængelige sammen med artiklen på ugeskriftet.dk
Referencer findes i artiklen publiceret på ugeskriftet.dk
Artikelreference Ugeskr Læger 2024;186:V09230555
doi 10.61409/V09230555
Open Access under Creative Commons License CC BY-NC-ND 4.0
Nadia Damholt Savino, Karen Lehrmann Ægidius, Willy Krone & David Gaist
Ugeskr Læger 2024;186:V09230555
This case report presents a 37-year-old woman with two episodes of temporary left-sided hemiparesis. Brain scans (CT and MRI) showed multiple ischaemic lesions in the right hemisphere. During the next two months, the patient had four additional ischaemic events in the right hemisphere, also localised within the anterior circulation. An extensive diagnostic workup was done, and the patient was ultimately diagnosed with carotid web (CW) in the right internal carotid artery. Treatment of CW should be considered in cryptogenic, recurrent, unihemispheric stroke in younger patients to prevent recurrent stroke.