Cerebral absces er en svær diagnose


Helle Al-Hakem Falk1*, Malene Söth Andersen2*, Hajrija Cviko3, Rikke Beese Dalby4, Anders Rosendal Korshøj5, Kamilla My Thanh Lê Truong5 & Martin Rune Hassan Hansen6, 7
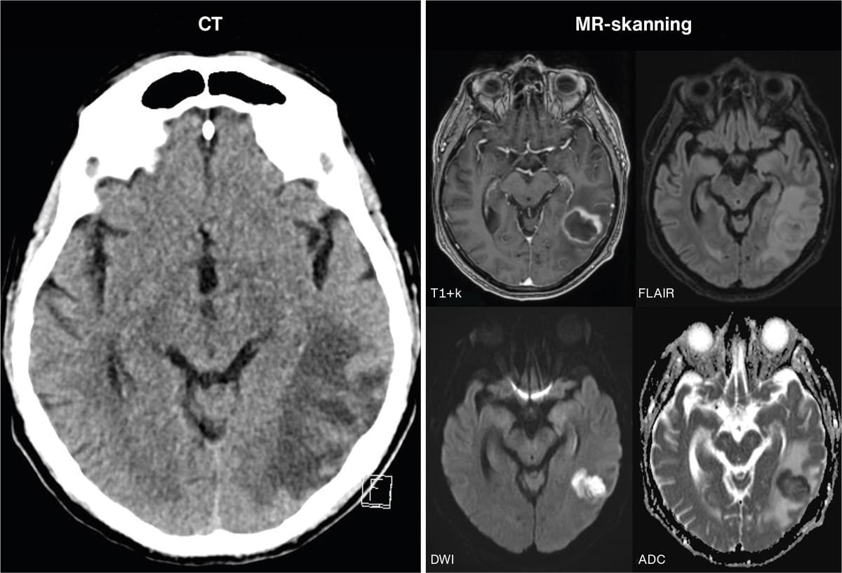
En 79-årig immunkompetent mand blev indlagt med få ugers varende impressiv afasi og konfusion. En CT af cerebrum viste en venstresidig temporo-occipital proces med omgivende ødem. Initialt var der mistanke om hjernemetastase eller glioblastom. Der blev uden effekt på symptomerne givet højdosisprednisolon. Pga. tiltagende febrilia, samt stigende CRP-niveau og neutrofile leukocytter tog man blod- og urindyrkninger, og der blev påbegyndt behandling med piperacillin/tazobactam for infektion med ukendt fokus. En supplerende MR-skanning af cerebrum med i.v. kontrast og diffusionssekvenser viste cerebral absces. Antibiotikabehandlingen blev skiftet til ceftriaxon og metronidazol (empirisk standardbehandling for cerebral absces [1]), og abscessen blev dræneret akut. Abscesmaterialet blev dyrket, og der forekom vækst af Streptococcus anginosus-gruppen, der bl.a. er kendt for at danne intracerebrale abscesser [2]. Bloddyrkningerne udkom uden betydende fund. Patienten responderede godt på behandlingen.
Cerebrale abscesser kan klinisk og paraklinisk ligne andre sygdomme, herunder malignitet. Supplerende billeddiagnostik med MR-skanning kan støtte diagnosen. Bloddyrkninger kan være negative. Akut drænage er både terapeutisk og af stor værdi for mikrobiologisk diagnostik.
Korrespondance Helle Al-Hakem Falk. E-mail: HELSMA@rm.dk
Publiceret på ugeskriftet.dk 5. december 2022
Interessekonflikter Der er anført potentielle interessekonflikter. Forfatternes ICMJE-formularer er tilgængelige sammen med artiklen på ugeskriftet.dk
Artikelreference Ugeskr Læger 2022;184:V71144
Brouwer MC, Tunkel AR, McKhann GM et al. Brain abscess. N Engl J Med 2014;371(5):447-456.
Petti CA, Stratton CW. Streptococcus anginosus group. I: Bennett JE, Dolin R, Blaser MJ, red. Mandell, Douglas, and Bennett's principles and practice of infectious diseases. Elsevier, 2020:2521-2525.e2.