Clearcelle adenokarcinom fra cikatriciel endometriose


Josefine Reinhardt Nielsen1, Catrine Carlstein2, Jacob Brink Laursen2, Marie Boennelycke3 & Ebbe Thinggaard2
Endometriose rammer 5-10% af fertile kvinder og er karakteriseret ved vækst af endometrielignende væv uden for livmoderen. Tilstanden ses typisk i det lille bækken som ovariecyster, på peritoneum eller som infiltrativ vækst i blære- og tarmvæg. Endometriose i bugvæggen er sjældent og ses oftest efter et kejsersnit, hvor endometriefragmenter implanteres i cikatricen [1, 2].
Endometriose er en benign tilstand, men er associeret med en øget risiko for specifikke subtyper af ovariecancer i form af clearcelle adenokarcinom, endometrioidt adenokarcinom og low-grade serøst adenokarcinom [3, 4]. Malign transformation ses oftest i relation til endometriose i ovarierne, mens malign transformation af bugvægsendometriose er yderst sjældent. Vi præsenterer her et tilfælde af clearcelle adenokarcinom opstået i et endometriosefokus i en sectiocikatrice, hvor den atypiske lokalisation medførte diagnostisk forsinkelse.
En dengang 29-årig kvinde fik i 1993 akut sectio i en tvillingegraviditet. Flere år senere udviklede hun cykliske smerter og en udfyldning i sectiocikatricen. I 2009 fandt man et endometrioseelement i subcutis i venstre fossa ved cikatricen, som blev delvist reseceret, idet en mindre del måtte efterlades grundet infiltration i fascien og adhærence til symfysen. Der blev ikke fundet tegn til pelvin endometriose. Patienten blev behandlet med goserelin, men smerterne vendte gradvist tilbage. I 2011 blev patienten reopereret med fjernelse af resttumor samt bilateral ooforektomi for at reducere risikoen for recidiv. Efterfølgende blev hun sat i hormonsubstitutionsbehandling (HRT) og fik opsat en hormonspiral.
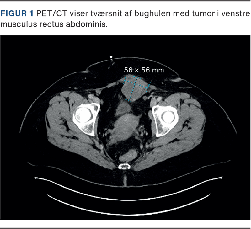
Patienten var symptomfri gennem en længere årrække, men efter seponering af hormonspiralen i 2023 udviklede hun igen en øm udfyldning i venstre fossa. Dette ledte til, at hun i oktober 2024, i en alder af 60 år, blev udredt i kræftpakkeforløb på mistanke om kolorektalcancer. Koloskopi viste kun benigne polypper, men en efterfølgende CT, udført på mistanke om ventralhernie, påviste en bløddelsproces i venstre rectus abdominis muskulatur (Figur 1). Der blev foretaget en MR-skanning for at udelukke sarkom. Skanningen gav imidlertid mistanke om recidiv af endometriose i sectiocikatricen, og patientens udredning i pakkeforløb blev derfor afsluttet. Patienten blev henvist til gynækologisk afdeling på Rigshospitalet, hvor en UL-vejledt biopsi viste clearcelle adenokarcinom.
I januar 2025 gennemgik patienten makroradikal operation med fjernelse af tumoren i bugvæggen inkl. resektion af peritoneum og fascie/muskel i bugvæg, hysterektomi, pelvin lymfadenektomi samt anlæggelse af et forstærkende net til forebyggelse af abdominalhernie. Efterfølgende mikroskopisvar viste, at uterus, tubae uterinae og ovarier var uden malignitet, mens der var clearcelle adenokarcinom i både oment og pelvine lymfeknuder. Det blev vurderet, at der var tale om clearcelle adenokarcinom primært udgået fra endometriose i peritoneum. Tumor i bugvæggen regnes for metastatisk sygdom, og således valgte man at klassificere sygdommen som peritonealcancer FIGO stadium IVB. Patienten er aktuelt i adjuverende kemoterapi.
Bugvægsendometriose i en sectiocikatrice er en sjælden komplikation efter sectio med en incidens på omkring 0,1% [1]. Tilstanden ses også efter andre gynækologiske indgreb og er kasuistisk beskrevet efter episiotomi [2]. Patienterne præsenterer sig oftest med cykliske smerter og en palpabel udfyldning i cikatricen. Differentialdiagnoserne spænder fra benigne til maligne tilstande, herunder hernie, lipom, absces, sarkom og metastaser, hvilket kan forsinke korrekt diagnose. Ved bugvægsendometriose er kirurgisk resektion som regel kurativ med succesrate på over 95% [2], forudsat at alt endometriosevæv fjernes. I den aktuelle case blev patienten også først symptomfri, da hele endometrioseelementet var fjernet.
Flere år senere udviklede hun imidlertid clearcelle adenokarcinom. Malign transformation af bugvægsendometriose er ekstremt sjælden med kun få publicerede cases på verdensplan [5]. Størstedelen diagnosticeres hos kvinder med tidligere sectio og et forudgående forløb med bugvægsendometriose.
Udredningen i den aktuelle case var præget af forsinkelse, da andre differentialdiagnoser som tarmkræft og hernie først blev mistænkt. Casen illustrerer, at der i sjældne tilfælde kan udvikles malign sygdom i et endometriosefokus, og at klinikerens opmærksomhed på denne risiko kan være afgørende for rettidig diagnose og behandling.
Korrespondance Josefine Reinhardt Nielsen. E-mail: josefine.reinhardt.nielsen.01@regionh.dk
Antaget 6. januar 2026
Publiceret på ugeskriftet.dk 6. april 2026
Interessekonflikter CC oplyser økonomisk støtte fra MSD at EMEAC Cervical and Endometrial cancers COP in June 2025. Alle forfattere har indsendt ICMJE Form for Disclosure of Potential Conflicts of Interest. Disse er tilgængelige sammen med artiklen på ugeskriftet.dk
Referencer findes i artiklen publiceret på ugeskriftet.dk
Artikelreference Ugeskr Læger 2026;188:V10250794
doi 10.61409/V10250794
Open Access under Creative Commons License CC BY-NC-ND 4.0
Clear cell adenocarcinoma arising from abdominal wall endometriosis (AWE) is extremely rare. We report a case of a 60-year-old woman with a history of cesarean section and surgically treated AWE. Decades after initial resection, she developed recurrent pain and a palpable mass. Initial evaluation raised suspicion for other conditions, leading to a diagnostic delay. Subsequent workup confirmed clear cell adenocarcinoma. She underwent radical surgery and was diagnosed with FIGO stage IV B disease. The case highlights the malignant potential of endometriosis and the need for clinical vigilance.