Skip to main content

Collum femoris-fraktur hos en patient med osteopetrose

Habib Ghasemi, Frank Farsø & Martin Lamm

16. feb. 2015
5 min.

Osteopetrose er en sjælden, arvelig sygdom med en forekomst på < 1/100.000. Sygdommen skyldes defekt osteoklastfunktion med manglende resorption af knogle i den almindelige knogleomsætning. Den blev først beskrevet i 1904 af den tyske radiolog Heinrich Albers-Schonberg [1]. Sygdommen findes i tre former: malign infantil osteopetrosis (MIOP), intermediær osteopetrosis (IO) og benign adult osteopetrosis (AO) [2], hvor sidstnævnte også er kendt under tilnavnet »marmorknoglesygdom« pga. knoglernes ekstrem hårde konsistens og skørhed.

MIOP opdages i løbet af de første leveår, hvor klinikken er domineret af symptomer og objektive fund, som skyldes uhæmmet knoglevækst ind i knoglernes marvkanal og fortrængning af de bloddannende celler i knoglemarven, tryk på kranienerver og knogledeformiteter. Ubehandlet dør de fleste børn med MIOP inden for de første leveår [2]. IO er en mildere form af MIOP, hvor sygdommen først senere bliver klinisk manifest. AO er den benigne form, som først diagnosticeres meget senere i livet, oftest tilfældigt ved en radiologisk undersøgelse eller pga. recidiverende frakturer [3]. De radiologiske stigmata ved osteopetrose er generaliseret osteosklerose, udslettet marvkanal i de lange rørknogler, knogledeformiteter og kalcificeret brusk [4]. Knoglen hos patienter med AO har markant ændrede mekaniske og biologiske egenskaber, der disponerer til hyppige frakturer, der er vanskelige at behandle.

Vi præsenterer her en patient med AO og en højresidig collum femoris-fraktur, som var meget vanskelig at behandle.

SYGEHISTORIE

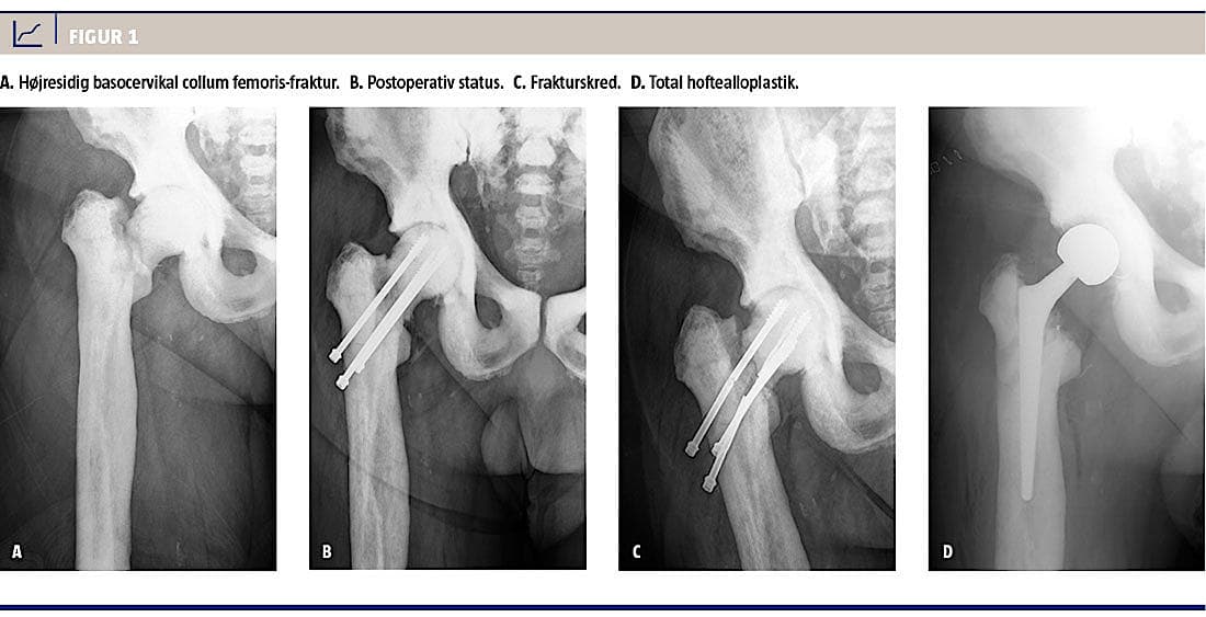
En 62-årig mand med AO og hofteartrose blev indlagt til osteosyntese med glideskrue pga. en højresidig
basocervikal collum femoris-fraktur. Ekstrem hård knoglekonsistens gjorde det imidlertid umuligt at bore gennem cortex med ledetråd, og derfor fravalgte man fiksering med glideskrue. Frakturen blev i stedet fikseret med tre kanylerede skruer. Det var dog også vanskeligt at forbore til skruer, og der blev til sidst anvendt et 6 mm-bor, som medførte suboptimal stabilitet. Et bor knækkede og måtte efterlades i collum. Det var heller ikke muligt at skære gevind, men skruerne blev fikseret i caput. Postoperative røntgenbilleder var tilfredsstillende, og patienten blev udskrevet efter et par dage.

Patienten blev langsomt mobiliseret med tiltagende belastning med klinisk og radiologisk kontrol hver 4.-6. uge. Fireogtyve uger postoperativt var der endnu ikke tegn på radiologisk heling, men der var klinisk fremgang med aftagende smerte. Det blev derfor vurderet, at frakturen var klinisk helet, og der blev påbegyndt genoptræning. Efter 52 uger havde han tiltagende smerter og nedsat gangfunktion. En røntgenoptagelse viste frakturskred og knækkede skruer (Figur 1).

Patienten blev nu tilbudt total hoftealloplastik. En CT viste en vertikal fissur forrest i acetabulum og minimal marvhule i femur. Operationen blev nøje planlagt med fremskaffelse af passende skærende værktøj. Under operationen blev der vejledt af gennemlysning og under anvendelse af highspeed-boremaskine med tungsten-carbid-bor og kuglefræser, friske bor i forskellig diametre og koniske reamere skabt plads til femurstemmet (Wagner CONE, Zimmer). Præpareringen af acetabulum var uproblematisk.
Der blev isat cementeret acetabulumkomponent (Durasul Low Profile, Zimmer).

Til tomånederskontrollen var patienten yderst tilfreds med operationen. Han havde god gangfunktion uden smerte i højre hofte. Der var dog nu betydelige venstresidige hoftesmerter med radiologiske artrosetegn, hvorfor venstresidig alloplastikoperation blev planlagt.

DISKUSSION

Osteosyntese af frakturer hos patienter med AO er operationsteknisk vanskelig med hyppige per- og postoperative komplikationer [3].

Hyppige peroperative komplikationer er svigt af apparatur såsom knækkede bor og skruer. Operationstiden er længere end sædvanligt pga. knoglens hårdhed, hvilket øger risikoen for infektion. Postoperativt er der tendens til forsinket eller manglende heling [ ]. Tilstøder der infektion, er denne betydeligt vanskeligere at behandle end normalt, da blodperfusionen i knogler hos patienter med AO er nedsat. God planlægning og anvendelse af specialværktøj og -implantater er vigtigt for at reducere forekomsten af komplikationer.

Det kan diskuteres, om patienter med AO primært bør tilbydes total hoftealloplastik, og om der skal bruges cementerede eller ucementerede komponenter. Hos patienten i sygehistorien valgte vi ved reoperation at isætte et ucementeret femurstem og en cementeret acetabulumkomponent pga. fissuren i acetabulum. Den største udfordring var at skabe en marvkanal til femurstemmet i den proksimale del af femur.

Hvis man vælger at osteosyntere frakturer hos patienter med AO, anbefaler vi skærpet opmærksomhed på per- og postoperative komplikationer. Da sygdommen er meget sjælden, og operationen kræver erfaring, god forberedelse og anvendelse af specialudstyr, anbefaler vi, at behandlingen centraliseres på højtspecialiserede enheder.

Korrespondance: Habib Mir Ghasemi, Ortopædkirurgisk Afdeling E, Aarhus
Universitetshospital, Nørrebrogade 44, 8000 Aarhus V. E-mail: habib@dadlnet.dk

Antaget: 8. december 2014

Publiceret på Ugeskriftet.dk: 16. februar 2015

Interessekonflikter:

Summary

Femoral neck fracture in a patient with osteopetrosis

Osteopetrosis is a rare hereditary bone disease characterized by increased bone density. Patients with adult osteopetrosis are often diagnosed incidentally by X-ray or on the presence of recurrent fractures. Internal fixations of fractures in patients with osteopetrosis are challenging due to the increased bone density, and special surgical equipment is often necessary. Non-union and malunion occur frequently making close post-operative monitoring important. We present a case of adult osteopetrosis with a femoral neck fracture.

Referencer

Litteratur

  1. Albers-Schonberg H. Roentgenbilder einer seltenen Knochennerkrankung. Munch Med Wochenschr 1904;51:365.

  2. Malene SH, Anders JS, Marie K et al. Psykomotorisk retardering på baggrund af malign infantil osteopetrose. Ugeskr Læger 2009;171:534.

  3. Tohidi E, Bagherpour A. Clinicoradiological findings of benign osteopetrosis: report of two new cases. J Dent Res Dent Clin Dent Prospects 2012;6:152-7.

  4. Aslan A, Baykal YB, Uysal E et al. Surgical treatment of osteopetrosis – related femoral fractures: two case reports and literature review. Case Rep Orthop 2014;2014:891963.

  5. Cadosch D, Gautschi OP, Brockamp T et al. Osteopetrosis – a challenge for the
    orthopaedic surgeon. S Afr J Surg 2009;47:131-3.