COVID-19, forstyrrelse af lungearkitektur


Barbara Bonnesen1, Kirsten Brændstrup Rasmussen1 & Carsten Sloth2
Akutte billeddiagnostiske lungeforandringer er velkendt ved COVID-19 [1-3], men den kroniske fase er mindre velbeskrevet [1, 4].
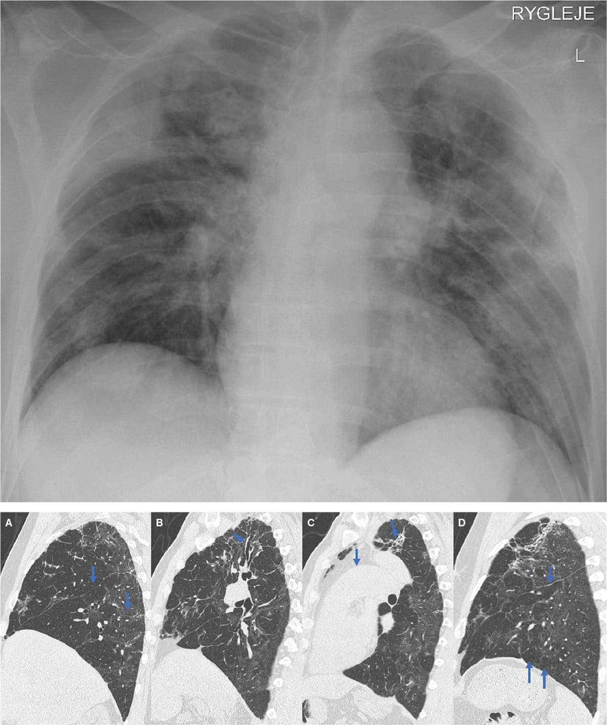
Billederne viser status før indlæggelsen på et intensivafsnit og tre måneder efter udskrivelsen hos en af de første respiratorkrævende patienter med COVID-19 i Danmark. Det første billede er et røntgenbillede af thorax taget med patienten i rygleje, og de sidste fire billeder er high resolution-CT-billeder i sagitalsnit set i et lungevindue.
De tidligere infiltrativt prægede områder er erstattet af udbredte, dels matglasprægede (markeret med pil på A) og dels fibrotisk/cikatricielt udseende områder (markeret med pil på C). Tidligere upåvirket lungevæv fremstår nu hyperekspanderet (formentlig kompensatorisk) (markeret med pil på D) og med fortykkede interlobulære septae og uregelmæssige fissurer (markeret med pile på A og D). Tidligere påviste traktionsbronkiektasier persisterer perifert og centralt (markeret med pil på B). Generelt ses der ikke airtrapping.
Der er breddeøget truncus pulmonalis (markeret med pil på C) som tegn på mulig pulmonal hypertension.
Korrespondance Barbara Bonnesen. E-mail: d010796@dadlnet.dk
Interessekonflikter ingen. Forfatternes ICMJE-formularer er tilgængelige sammen med artiklen på Ugeskriftet.dk
Publiceret på Ugeskriftet.dk 19. april 2021
Artikelreference Ugeskr Læger 2021;183:V71051
Ojha V, Mani A, Pandey NN et al. CT in coronavirus disease 2019 (COVID-19): a systematic review of chest CT findings in 4410 adult patients. Eur Radiol 2020;30:6129-38.
El Homsi M, Chung M, Bernheim A et al. Review of chest CT manifestations of COVID-19 infection. Eur J Radiol Open 2020;7:100239.
Ye Z, Zhang Y, Wang Y et al. Chest CT manifestations of new coronavirus disease 2019 (COVID-19): a pictorial review. Eur Radiol 2020;30:4381-9.
Radiology assistant. https://radiologyassistant.nl/chest/covid-19/covid19-imaging-findings#chest-ct-changes-over-time (18. mar 2021).