Skip to main content

Cytomegalovirus-colitis hos immunkompetent ung mand

Reservelæge Eva Rasmussen, overlæge Karin Grønbæk & overlæge Dorte Linnemann Glostrup Hospital, Gastroenterologisk Afdeling

7. apr. 2009
4 min.

En ung tidligere rask mand indlagdes med tre ugers feber, utilpashed samt blodige afføringer. Patienten havde primær cytomegalovirus (CMV)-infektion baseret på biokemiske, serologiske og ultrasoniske fund, og koloskopi med biopsi viste forandringer, der var forenelige med venstresidig CMV-colitis. Patienten bedredes spontant, men havde efter et halvt år fortsat hæmatokesi. I litteraturen er beskrevet udvikling af kronisk inflammatorisk tarmsygdom (IBD)- efter CMV-colitis, hvilket patienten nu observeres for. CMV-colitis er en sjælden men mulig differentialdiagnose hos immunkompetente med feber, leverpåvirkning og blodige afføringer.

CMV forårsager normalt en asymptomatisk eller mononukleoselignende primærinfektion oftest i barnealderen eller teenageårene. Hos immunsupprimerede kan CMV reaktiveres og bl.a. medføre svær hepatitis, pneumonitis, colitis, retinitis og infektioner i centralnervesystemet, som sjældent ses hos immunkompetente personer [1].

Sygehistorie

En 33-årig tidligere rask mand indlagdes grundet svingende febrilia op til 39 °C gennem tre uger. Han klagede tillige over almen sygdomsfølelse, nedsat appetit, abdominal meteroisme samt lind afføring 3-4 gange daglig med pus og blod. Der var ingen forudgående rejseaktivitet, misbrugsanamnese eller familiær disposition til IBD. Patienten havde fast partner og parret havde et barn på ni måneder.

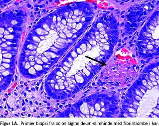
Objektivt var patienten alment upåvirket, temperaturen 38,3 °C og abdomen fandtes let meteoristisk. Blodprøver viste let forhøjet C-reaktivt protein 38 mg/l, alanin-aminotransferase (ALAT) 73 E/l og basisk fosfatase 130 E/l. Øvrige blodprøver, urinstiks og røntgen af thorax var normale. Ultralydsskanning af abdomen viste let splenomegali. Sigmoideoskopi viste distalt i rectum et inflammeret, ulcereret område makroskopisk suspekt for morbus Crohn eller analcancer. Histologisk sås imidlertid fibrintromber i karrene i både sigmoideum og rectum, se Figur 1A og i rectum sås endvidere ulceration med beskeden uspecifk inflammation.

Da patienten var alment upåvirket, blev han udskrevet til daghospitalet efter tre dage. Fornyede blodprøver viste forhøjede leukocytter 10,9 mia/l, lymfocytter 4,9 mia/l og immunglobulin M (IgM) 4,5 g/l samt stigende ALAT 176 E/l og basisk fosfatase 160 E/l. Immunglobulin A (IgA) og immunglobulin G (IgG) var normale, antinukleær antistoftest og hiv-test var negative. Bloddyrkninger samt afføringsprøver for tarmpatogene var negative. Derimod var anti-CMV-IgM og -IgG positive.

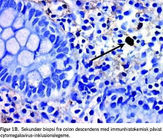
Ileokoloskopi 3uger senere viste venstresidige segmentære slimhindeforandringer med ophævet kartegning, ødem og hyperæmi samt spredte after. I rectum sås de tidligere beskrevne ulcerative forandringer under opheling. Biopsier viste let uspecifk inflammation og ulcus samt CMV-inklusionslegemer, se Figur 1B.

To måneder efter den primære indlæggelse var patienten symptomfri fraset intermitterende hæmatokesi. Da patienten fortsat klagede over dette efter yderligere fem måneder, udførtes fornyet endoskopi, som viste diskret inflammation i sigmoideum. Histologisk kunne IBD ikke helt afvises. Blodprøverne var normaliserede fraset let trombocytose, og der sås markant faldende anti-CMV-IgM og stigende anti-CMV-IgG. Patienten følges nu på mistanke om debut af IBD.

Diskussion

Infektiøs gastroenteritis eller IBD må mistænkes ved få ugers anamnese med febrilia, abdominalia, blodig afføring og let forhøjede infektionstal hos yngre raske personer. Vores patient havde imidlertid forandringer, der var forenelige med primær CMV-infektion med symptomgivende CMV-colitis. Data vedrørende CMV-colitis hos immunkompetente er sparsomme, men i en metaanalyse af Galiatsatos et al [2] beskrives 44 tilfælde. Forandringerne var begrænset til venstre colon hos 66%, som det også sås hos vores patient. Hos de yngre patienter var prognosen god, men efter overstået CMV-infektion diagnosticeredes 41,7% med IBD. Udvikling af IBD efter CMV-colitis er også beskrevet af andre [3]. Omvendt har adskillige studier af IBD-patienter påvist CMV-infektion hos 21-34% med svær aktiv IBD-colitis [4].

Det histologiske fund af tromber i karrene i colonbiopsierne ved den initiale endoskopi var overraskende. Der er dog tidligere beskrevet en mulig sammenhæng mellem CMV-infektion og trombosetendens [5].

Der foreligger ikke konsensus mht. antiviral behandling af CMV-colitis, men ved svære tilfælde har ganciclovir været anvendt [3, 4]. Dette blev dog ikke aktuelt for vores patient.


Eva Rasmussen, Gastroenterologisk Afdeling, Glostrup Hospital, DK-2600 Glostrup. E-mail: elr@live.dk

Antaget: 20. januar 2009

Interessekonflikter: Ingen

Summary

Summary Cytomegalovirus colitis in immunocompetent young male Ugeskr Læger 2009;171(15):1298 A healthy young man was hospitalized due to fever, malaise and bloody stools for three weeks. The patient had a primary CMV infection based on biochemical, serological and ultrasonic results, and a colonoscopy was consistent with left-sided CMV colitis. He recovered spontaneously, though haematochezia remained present after six months. Development of IBD subsequent to CMV colitis has previously been described, and is now suspected in our patient. CMV colitis is a rare but possible differential diagnosis in immunocompetent patients with fever, elevated liver enzymes and bloody stools.

Referencer

  1. Rafailidis PI, Mourtzoukou EG, Varbobitis IC et al. Severe cytomegalovirus infection in apparently immunocompetent patients: a systemic review. Vir J 2008;5:47.
  2. Galiatsatos P, Shrier I, Lamoureux E et al. Meta-analysis of outcome of cytomegalovirus colitis in immunocompetent hosts. Dig Dis Sci 2005;50:609-16.
  3. Einbinder Y, Wolf DG, Pappo O et al. The clinical spectrum of cytomegalovirus colitis in adults. Aliment Pharmacol Ther 2008;27:578-87.
  4. Kandiel A, Lashner B. Cytomegalovirus colitis complicating inflammatory bowel disease. Am J Gastroenterol 2006;101:2857-65.
  5. Abgueguen P, Delbos V, Chemmebault JM et al. Vascular thrombosis and acute cytomegalovirus infection in immunocompetent patients: Report of 2 cases and literature review. Clin Infect Dis 2003;36:e134-9.