Skip to main content

De første 25 år med lungetransplantation i Danmark

Thomas Kromann Lund1, Christian Holdflod Møller2, Jesper Rømhild Davidsen3, Hans Henrik Lawaetz Schultz1, Pia Bredahl4, Jesper Ravn2, Peter Skov Olsen2, Elisabeth Bendstrup5 & Michael Perch1

8. apr. 2019
11 min.

I 2017 var det 25-året for den første lungetransplantation (LTx) i Danmark. Indførelsen af thoraxtransplantationer i Danmark var betinget af vedtagelsen af loven om hjernedødskriteriet i 1990. Denne lov gjorde det muligt bedre at kunne kontrollere donationsprocessen. Således blev den første hjertetransplantation udført i 1991, og året efter blev den første LTx udført [1]. LTx er en veletableret behandling, der tilbydes højt selekterede patienter med fremskreden terminal lungesygdom, som progredierer på trods af maksimal behandling [2]. LTx er ikke en kurativ behandling, men skal betragtes som en behandlingsmodalitet, der sigter på at bedre overlevelsen. Livet efter en transplantation indebærer en lang række medikamenter, der skal indtages dagligt, hyppige hospitalskontakter resten af livet og en risiko for betydelige bivirkninger og komplikationer undervejs.

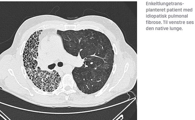
Fakta

Fakta

Siden indførelsen af LTx i Danmark er der årligt foretaget transplantation hos ca. 30 patienter, hvilket svarer til over 750 lungetransplantationer på 25 år. I denne periode har LTx-typen ændret sig fra hovedsageligt dobbeltsidig LTx (DLTx) og hjerte-lunge-transplantationer til i en periode at være mange enkeltsidige LTx (SLTx). Typen af LTx er bl.a. bestemt af recipientens diagnose og donortilgængeligheden. Således udføres der i dag igen overvejende DLTx, hvilket også afspejler tendensen på verdensplan [3].

Samlet har man i det danske LTx-program gennem årene behandlet flest patienter med kronisk obstruktiv lungesygdom og emfysem (Figur 1). I de senere år er andelen af patienter med fibrotisk interstitiel lungesygdom steget [3].

ORGANISERINGEN I DANMARK

Alle LTx udføres på Rigshospitalet, hvor man på den lungemedicinske afdeling varetager det overordnede ansvar for LTx-programmet i Danmark. Der er et tæt samarbejde med universitetshospitalerne i Aarhus (AUH) og Odense (OUH). Patienter kan vurderes og udredes på AUH, OUH og Rigshospitalet, men alle patienter skal ses og endeligt vurderes ved en tværfaglig konference på Rigshospitalet inden en eventuel indstilling til transplantation. Patienter fra Færøerne og Grønland gennemgår hele udredningsprogrammet på Rigshospitalet.

INDIKATION OG UDREDNING

Vurdering af patienterne til LTx er kompleks, og lungesygdommens sværhedsgrad skal balanceres med evt. komorbiditeter og den forventede overlevelsesgevinst, hvorfor følgende generelle indikationer skal være opfyldt, for at patienten kan komme i betragtning [4]: 1) Patienten vurderes at have > 50% risiko for at dø af lungesygdommen i løbet af to år. 2) Der er overvejende sandsynlighed for, at patienten vil kunne overleve > 90 dage efter LTx. 3) Der er overvejende sandsynlighed for, at patienten vil kunne overleve fem år efter LTx set fra et almentmedicinsk synspunkt, dvs. ingen alvorlig komorbiditet på tidspunktet for LTx. Da donororganpuljen er begrænset, er det væsentligt, at potentielle kandidater til LTx selekteres konsistent og efter gældende internationale retningslinjer. LTx-udredningen har til formål at vurdere, om patienten er tilstrækkelig syg til LTx, og om der foreligger eventuelle kontraindikationer. At stå på venteliste til en LTx er en dynamisk proces, og alle patienter vurderes løbende mht. sygdommens sværhedsgrad, optimal behandling og nye komorbiditeter/komplikationer m.m. Hvis en patient indstilles til LTx, er ventetid og sygdomsprogression som oftest uundgåelig. Det er således af stor vigtighed, at patienter udredes og henvises til LTx i tide specielt ved lungesygdomme med et hastigt progredierende forløb (f.eks. idiopatisk pulmonal fibrose). Af Tabel 1 fremgår de anbefalede sygdomsspecifikke henvisningskriterier for potentielle kandidater til LTx.

KONTRAINDIKATIONER

LTx er en kompliceret behandling med en betydelig peri- og postoperativ mortalitet [6]. Afdækning af alle komorbiditeter og kontraindikationer er vigtig for at udfærdige en risikovurdering, inden der foretages LTx. Kontraindikationerne inddeles i absolutte og relative (Tabel 2). En absolut kontraindikation er tilstrækkeligt til at afslå LTx, mens summen af flere relative kontraindikationer også kan medføre, at LTx ikke kan tilbydes.

DONORKRITERIER

Generelt accepteres donorer, som er under 70 år (ideel alder er under 55 år) og ikke har f.eks. cancer og hiv-infektion [7]. Donor skal være uden kendt lungesygdom og optimalt være ikkeryger [8, 9]. Donorlungerne skal have en god oxygeneringsevne. Hvis de ikke opfylder dette krav, har ex vivo-lungeperfusion været anvendt på Rigshospitalet siden 2012 til evaluering og optimering af udvalgte donorlunger. Lungerne tåler dårligt kontusion, hvorfor den typiske lungedonor oftest har haft en intrakraniel blødning [9].

Donor-recipient-match udvælges på basis af en række veldefinerede kriterier, såsom blodtypen og størrelsen af lungerne. Rigshospitalets donorhold udfører donoroperationen på donorhospitalet. Donoroperationen udføres via sternotomi, hvorved hele hjerte-lunge-blokken udtages. Lungeorganblokken transporteres herefter til Rigshospitalet. Kortest mulig iskæmitid tilstræbes. Danske donororganer tilbydes først til danske recipienter. Findes der ikke en passende dansk recipient, tilbydes donororganerne til de øvrige lande i den skandinaviske donororganisation Scandiatransplant.

TRANSPLANTATIONEN

I Danmark foretages DLTx-operation via enten bilateral torakotomi eller mediansternotomi. Adgangen afhænger af, om operationen kræver brug af hjerte-lunge-maskine. Der er indikation for brug af hjerte-lunge-maskine hos recipienter, der cirkulatorisk eller ventilatorisk ikke tåler enkelt-lunge-ventilation (f.eks. recipienter med pulmonal hypertension). Recipienter, som behøver hjerte-lunge-maskine, opereres via sternotomi. Recipientoperationen kan indledes, når donorlungerne er godkendt på donorstedet. Frilægning af recipientens lunger kan være besværliggjort af adhærencer til pleura og perikardiet. Her er det væsentligt at bevare en intakt nervus phrenicus, som er afgørende for at sikre optimal respirationsmekanik efter operationen. Når donorlungerne ankommer på operationsstuen, skal de på ny vurderes og godkendes, inden transplantationen kan fortsætte [10].

LTx er et stort indgreb, og risikoen for kirurgiske komplikationer er betydelig. Den hyppigste komplikation er blødning, som især forekommer, hvis der har været svære adhærencer af recipientens egne lunger til thoraxvæggen. Dybe sårinfektioner er sjældne på trods af den immunsupprimerende behandling, hvorimod overfladiske sårinfektioner forekommer [11]. Efter en bilateral torakotomi har mange patienter smerter, som gradvis aftager over uger, mens LTx udført via sternotomi er forbundet med færre smerter.

OPFØLGNING EFTER LUNGETRANSPLANTATION

Alle patienter, der har fået foretaget LTx, modtages postoperativt på en intensivafdeling. Den primære medianindlæggelsestid på intensivafdelingen er tre døgn med en betydelig spredning (2-79 døgn i 2017). Omkring 20% af patienterne genindlægges i intensivt regi en eller flere gange herefter, hvilket vidner om en relativ høj forekomst af alvorlige komplikationer.

I det umiddelbare postoperative forløb er der fokus på optimering af graftfunktion, behandling af smerter, delirium, kvalme, obstipation, infektioner, afstødning og nyreinsufficiens samt ernæring, mobilisering og aktiv træning. Alle områder fordrer tværfagligt samarbejde og er vigtige i forebyggelsen af komplikationer og graftdysfunktion i det tidlige forløb, hvilket har signifikant indflydelse på langtidsoverlevelsen efter LTx [3]. De hyppigste årsager til død inden for de første 30 dage efter LTx er svigt af donorlungerne og infektioner [3].

Den opfølgende kontrol er livslang og foregår initialt på Rigshospitalet. Patienter, der er bosat i Region Syddanmark, Region Midtjylland og Region Nordjylland overgår til kontrol i hhv. Odense og Aarhus, når tilstanden skønnes at være stabil, men fortsætter med årskontroller på Rigshospitalet. I de første to år omfatter kontrollerne regelmæssige bronkoskopier inkl. transbronkiale lungebiopsier (TBB). Bronkoskopien er vigtig til vurdering af luftvejskomplikationer som f.eks. anastomosestenoser. TBB er værdifulde i vurderingen af bl.a. akut afstødning.

Ved akut indlæggelse på et lokalt sygehus anbefales det at tage kontakt til et LTx-center (Rigshospitalet, AUH, OUH), specielt hvis patienten er nyligt transplanteret (første år efter LTx), og hvis der er tale om et respiratorisk problem. Ved behov for justering af den transplantationsspecifikke behandling anbefales det også at tage kontakt til et LTx-center. I øvrigt henvises til Dansk Lungemedicinsk Selskabs LTx-retningslinje på www.lungemedicin.dk.

TRANSPLANTATIONSSPECIFIK BEHANDLING

For at undgå afstødning af donorlungerne er livslang immunsupprimerende behandling nødvendig. Kernen i denne behandling er en calcineurinhæmmer (ciclosporin eller tacrolimus) [2, 12]. Herudover hæmmes immunforsvaret med kortikosteroid og en antimetabolit (azathioprin eller mycophenolatmofetil). Kraftfuld immunsuppression er essentiel for et godt resultat [13], men medfører også øget risiko for bivirkninger. Det er vigtigt at balancere under- og overimmunsuppression. Førstnævnte øger risikoen for afstødning, og sidstnævnte medfører bivirkninger og risiko for infektion [13, 14]. Infektioner er desværre et tilbagevendende problem og er årsag til morbiditet og mortalitet hos patienter, der har fået foretaget LTx [3, 15]. Internationalt kan omkring 20% af mortaliteten relateres til infektioner [3]. Der er tale om både vira, svampe og bakterier, hvor cytomegalovirus er en af de vigtigste infektioner at være opmærksom på i de første måneder efter LTx [15].

Brugen af calcineurinhæmmere kræver regelmæssige koncentrationsmålinger i blodet for at sikre et sufficient terapeutisk niveau. Påvirkning af nyrerne er almindeligt efter LTx, og patienterne tåler ikke dehydrering. Andre komplikationer er hypertension, hyperkolesterolæmi, diabetes, osteoporose, posttransplantatorisk lymfoproliferativ sygdom, hudtumorer og andre former for cancer [3].

PROGNOSE

Hovedparten af patienterne opnår et godt resultat med en forbedret overlevelse og en øget livskvalitet som følge af en bedret lungefunktion, som overstiger niveauet af lungefunktionen før LTx. Desværre er overlevelsen efter LTx fortsat blandt de laveste ved transplantation af solide organer [3]. Dette skyldes formentlig en kombination af flere faktorer, bl.a. at lungerne har direkte kontakt til omgivelserne, og at højere doser immunsuppression er nødvendige, hvorved der også er en øget risiko for infektioner og bivirkninger. Et- og femårsoverlevelsen efter lungetransplantation ligger på hhv. 90% og 50-55% ifølge internationale opgørelser, det svarer til en medianoverlevelse på 6,1 år [3]. I Danmark er femårsoverlevelsen omkring 55%, og medianoverlevelsen er på 7,0 år (Figur 2) [9, 16].

Ved alle organtransplantationer ses der udvikling af kronisk afstødning, som udtryk for faldende organfunktion. Ved lungetransplantation er kronisk afstødning (CLAD) betydende for langtidsprognosen. Fem og ti år efter LTx vil hhv. 50% og 90% af patienterne opfylde kriterier for CLAD [17]. CLAD er arvævsdannelse i lungerne, hvilket fører til fald i lungefunktionen, vurderet primært på forceret eksspiratorisk volumen i første sekund. Overordnet kan CLAD inddeles i en obstruktiv type kaldet bronchiolitis obliterans-syndrom [18] og i en mindre hyppig restriktiv variant, der er præget af faldende total lungekapacitet og radiologiske forandringer i lungerne med fibrose. Sidstnævnte type kaldes restriktiv allograftsyndrom [19]. Der pågår for øjeblikket megen forskning med henblik på at karakterisere CLAD og identificere mulige behandlinger, hvormed man kan forebygge eller reducere udviklingen af CLAD. Desværre er mulighederne til dato begrænsede, og CLAD er fortsat den vigtigste årsag til morbiditet og mortalitet efter LTx.

KONKLUSION

LTx er en kompliceret og ressourcekrævende behandling med sigte på livsforlængelse hos højt selekterede patienter. LTx kan udføres med godt resultat, men kræver en dedikeret og højtspecialiseret tværfaglig organisation. I det danske LTx-program har man siden starten i 1992 udført over 750 transplantationer, hvilket estimeret har ført til 3.700 ekstra leveår.

Korrespondance: Thomas Kromann Lund.
E-mail: thomas.kromann.lund@regionh.dk

Antaget: 29. januar 2019

Publiceret på Ugeskriftet.dk: 8. april 2019

Interessekonflikter: Forfatternes ICMJE-formularer er tilgængelige sammen med artiklen på Ugeskriftet.dk

Summary

Thomas Kromann Lund, Christian Holdflod Møller, Jesper Rømhild Davidsen, Hans Henrik Lawaetz Schultz, Pia Bredahl, Jesper Ravn, Peter Skov Olsen, Elisabeth Bendstrup & Michael Perch:

The first 25 years of lung transplantations in Denmark

Ugeskr Læger 2019;181:V09180624

Lung transplantation (LTx) has been performed in Denmark since 1992, and chronic obstructive pulmonary disease and interstitial lung diseases are the major indications. All candidates are subject to an intensive evaluation before being accepted for LTx. Follow-up after transplantation is life-long and includes immunosuppressive medication with a high risk of side effects. The median survival in Denmark
is 7.0 years. Chronic rejection is common, diagnosed by declining lung function, and it is the most important factor for morbidity and mortality. LTx requires dedicated personnel in an interdisciplinary organisation.

Referencer

LITTERATUR

  1. Mortensen SA, Iversen M, Olsen PS. Thoraxtransplantation –Rigshospitalet 1990-2002. Ugeskr Læger 2003;165:4736-40.

  2. Mahida RY, Wiscombe S, Fisher AJ. Current status of lung transplantation. Chron Respir Dis 2012;9:131-45.

  3. Chambers DC, Yusen RD, Cherikh WS et al. The Registry of the International Society for Heart and Lung Transplantation: thirty-fourth Adult Lung And Heart-Lung Transplantation Report-2017; focus theme: allograft ischemic time. J Heart Lung Transplant 2017;36:1047-59.

  4. Weill D, Benden C, Corris PA et al. A consensus document for the selection of lung transplant candidates: 2014 – an update from the Pulmonary Transplantation Council of the International Society for Heart and Lung Transplantation. J Heart Lung Transplant 2015;34:1-15.

  5. Celli BR, Cote CG, Marin JM et al. The body-mass index, airflow obstruction, dyspnea, and exercise capacity index in chronic obstructive pulmonary disease. N Engl J Med 2004;350:1005-12.

  6. Yusen RD, Christie JD, Edwards LB et al. The registry of the international society for heart and lung transplantation: thirtieth Adult Lung And Heart-Lung Transplant Report – 2013; focus theme: age.
    J Heart Lung Transplant 2013;32:965-78.

  7. Orens JB, Boehler A, De Perrot M et al. A review of lung transplant donor acceptability criteria. J Heart Lung Transplant 2003;22:1183-200.

  8. Sommer W, Ius F, Salman J et al. Survival and spirometry outcomes after lung transplantation from donors aged 70 years and older.
    J Heart Lung Transplant 2015;34:1325-33.

  9. Schultz HH, Møller CH, Zemtsovski M et al. Donor smoking and older age increases morbidity and mortality after lung transplantation. Transplant Proc 2017;49:2161-8.

  10. Puri V, Patterson GA. Adult lung transplantation: technical considerations. Semin Thorac Cardiovasc Surg 2008;20:152-64.

  11. Shields RK, Clancy CJ, Minces LR et al. Epidemiology and outcomes of deep surgical site infections following lung transplantation. Am J Transplant 2013;13:2137-45.

  12. lversen M. Immunosuppression for the non-transplant physician: what should you know? Breathe Eur Respir Soc 2013;9:202-8.

  13. Bhorade SM, Stern E. Immunosuppression for lung transplantation. Proc Am Thorac Soc 2009;6:47-53.

  14. Hopkins PM, McNeil K. Evidence for immunosuppression in lung transplantation. Curr Opin Organ Transplant 2008;13:477-83.

  15. Husain S, Mooney ML, Danziger-Isakov L et al. A 2010 working formulation for the standardization of definitions of infections in cardiothoracic transplant recipients. J Heart Lung Transplant 2011;30:361-74.

  16. Burton CM, Milman N, Carlsen J et al. The Copenhagen National Lung Transplant Group: survival after single lung, double lung, and heart-lung transplantation. J Heart Lung Transplant 2005;24:1834-43.

  17. Yousem SA, Berry GJ, Cagle PT et al. Revision of the 1990 working formulation for the classification of pulmonary allograft rejection: Lung Rejection Study Group. J Heart Lung Transplant 1996;15:1-15.

  18. Meyer KC, Raghu G, Verleden GM et al. An international ISHLT/ATS/ERS clinical practice guideline: diagnosis and management of bronchiolitis obliterans syndrome. Eur Respir J 2014;44:1479-503.

  19. Sato M, Waddell TK, Wagnetz U et al. Restrictive allograft syndrome (RAS): a novel form of chronic lung allograft dysfunction. J Heart Lung Transplant 2011;30:735-42.