Den kliniske relevans af MR-skanning af lænden


Line Dragsbæk1, Tue Secher Jensen2, 3, Bodil Arnbak3, 4, Janus Laust Thomsen5, Susanne Axelsen6, 7, 8, Christin Isaksen2, Estrid Muff9 & Rikke Krüger Jensen3, 10
Hovedbudskaber
Den kliniske betydning af degenerative MR-skanningsfund i lænden er forbundet med usikkerhed, og det kan være svært at skelne mellem smertegivende forandringer og almindelige aldersbetingede fund. Dermed kan det også være vanskeligt at give patienter en entydig forklaring på de fund, som ses på en MR-skanning.
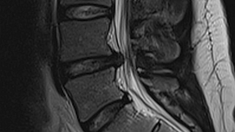
I forbindelse med udredning af lændesmerter er MR-skanning den mest anvendte billeddiagnostiske modalitet [1], da den bedre visualiserer relevante anatomiske detaljer som diskus og nerver end f.eks. røntgenundersøgelse og CT, som har bedre fremstilling af knoglerne (Figur 1). Brugen af MR-skanning har været støt stigende i det seneste årti, og i 2021 blev der foretaget ca. 85.000 MR-skanninger af lænden, hvilket er en stigning på over 20% siden 2013 [1]. Tendensen ses, på trods af at der i kliniske guidelines frarådes rutinemæssig brug af MR-skanning i diagnosticeringen af lændesmerter [2]. Størstedelen af patienter med nyopståede lændesmerter oplever en spontan bedring efter kort tid [3]. Der er ikke evidens for, at MR-skanning har positiv indflydelse på patientrapporterede effektmål såsom smerte eller funktion [4], og en MR-skanning vil derfor som regel ikke ændre hverken behandling eller prognose.
Når der i stigende grad henvises til MR-skanninger, kan det have flere mulige forklaringer. Lægevidenskabelige Selskaber angiver, at både lægens frygt for at begå fejl, vaner blandt sundhedsprofessionelle og patienters efterspørgsler er hyppige årsager til forbrug af andre overflødige test og behandlinger [5]. Hvor klinikere ofte er bevidste om potentielle ulemper såsom overdiagnosticering ved skanning, anser mange patienter MR-skanninger som et brugbart redskab til lokalisering af årsagen til smerter og er uforstående overfor ulemper herved [6, 7]. Den sparsomme viden om MR-skanningsfunds kliniske betydning sammenholdt med patienters ønsker og forventning om diagnostisk afklaring vha. MR-skanning skaber et behov for tydelig kommunikation i forhold til relevansen af MR-skanningsfund baseret på den foreliggende evidens på området.
Formålet med denne artikel er at give et samlet overblik over den kliniske relevans af de hyppigste degenerative MR-skanningsfund i columna lumbalis i relation til sammenhæng med smerter, prognose og behandlingsvalg.
Tabel 1 er en oversigt over de hyppigste MR-skanningsfund i lænden og den terminologi, som anvendes i denne artikel.
I Tabel 2 ses en oversigt over de hyppigste MR-skanningsfunds sammenhæng med lændesmerter med eller uden radikulopati. De fleste degenerative, lumbale MR-skanningsfund er aldersrelaterede og hyppigt forekommende hos både symptomatiske og asymptomatiske personer. Alligevel er hyppigheden af fund højere hos personer med smerter, og der er en relativ konsistent sammenhæng mellem degenerative MR-skanningsfund og lændesmerter. Sammenhængen er som oftest svag til moderat, og tilstedeværelsen af et specifikt fund på en MR-skanning er svær at overføre til en forklaring på smerter hos den enkelte patient.
Diskusdegeneration i mildere grad optræder eksempelvis ofte som MR-skanningsfund hos personer allerede fra de er i midt-20’erne, hvorefter prævalensen og sværhedsgraden stiger med alderen. Studier tyder på, at graden af diskusdegeneration har betydning for sammenhængen med lændesmerter [9, 10].
Prævalensen af diskusudbuling hos personer uden lændesmerter varierer fra omkring 20% hos unge til > 75% hos personer over 70 år [11]. Der er en moderat sammenhæng mellem diskusudbuling og tilstedeværelsen af lændesmerter på populationsniveau, og denne synes at være tydeligst hos yngre personer. Det er muligt, at sammenhængen forsvinder i ældre populationer, hvor prævalensen er betydeligt højere [12].
Diskusprolaps på MR-skanning ses hos 10-30% af personer uden lændesmerter afhængigt af aldersgruppe. Dog har personer med diskusprolaps 1,5-6 gange større risiko for at have lændesmerter end personer uden diskusprolaps [11, 13]. Prolapser kan altså være et tilfældigt fund, og på individniveau er det derfor afgørende at sammenholde en prolaps set på MR-skanning med de kliniske fund. Hos patienter med kliniske tegn på radikulopati viser MR-skanningen nerverodspåvirkning hos ca. 50% sammenlignet med kun hos 25% af de patienter, som har lændesmerter og ikke har radikulopati [13].
Modic-forandringer er et relativt hyppigt MR-skanningsfund, som ses hos 3-80% af patienterne med lændesmerter, og hos 0,5-88% af personer uden lændesmerter [14]. Overordnet set er sammenhængen mellem Modic-forandringer og lændesmerter usikker. I et nyere systematisk review viste 15 studier, at Modic-forandringer havde en statistisk signifikant sammenhæng med lændesmerter, i ét studie fandt man en negativ sammenhæng, og i 14 studier fandt man ingen sammenhæng [14].
Lumbal spinalstenose er et almindeligt fund, som ses på MR-skanning hos ca. 10% af personerne uden symptomer, og hos ca. 20-30% af personerne over 60 år uden symptomer. I forskellige kliniske populationer varierer hyppigheden fra 15% til 40%. Der er ikke en sikker sammenhæng mellem spinalstenose og lændesmerter [12], men der er fundet sammenhæng mellem svær central stenose og kliniske symptomer på neurogen claudicatio [15]. Der er ikke fundet en tydelig sammenhæng mellem sværhedsgraden af symptomer og graden af stenose på en MR-skanning [16].
I de fleste studier har man undersøgt isolerede MR-skanningsfunds sammenhæng med lændesmerter, på trods af at flere degenerative fund oftest er til stede samtidig. Kun i få studier har man undersøgt, hvordan kombinationer af MR-skanningsfund er associeret med lændesmerter. Disse studier viser en tendens til, at jo flere MR-skanningsfund der er til stede samtidig, og jo sværere graden af degeneration er, des stærkere er sammenhængen med smerte [17, 18] (Tabel 2).
I enkelte mindre studier har man undersøgt, om MR-skanningsfund prædikterer fremtidige lændesmerter (Tabel 2). I et systematisk litteraturstudie fra 2014 [19] med 12 inkluderede studier blev det konkluderet, at der ikke var konsistente associationer mellem MR-skanningsfund og prognose, og at der pga. af studiernes størrelse, forskellighed og kvalitet ikke kunne drages sikre konklusioner om degenerative, lumbale MR-skanningsfunds prognostiske betydning. Nyere studier har ligeledes vist modstridende resultater [20-23]. Sværhedsgraden og antallet af MR-skanningsfund kan have betydning for prognosen, idet risikoen for tilbagevenden eller forværring af rygsmerter stiger, jo flere MR-skanningsfund der ses på skanningstidspunktet [18, 24].
Overordnet set er der ikke evidens for, at degenerative MR-skanningsfund kan guide behandlingsvalg hos den enkelte patient. I et systematisk review fra 2016 har man inkluderet otte mindre studier af varierende kvalitet [25]. Reviewet kan ikke understøtte, om patienter med bestemte MR-skanningsfund responderer bedre på én type behandling end en anden. Hvis man målretter behandlingsvalg ud fra specifikke fund, bør man derfor vælge de mindst invasive behandlingstyper med de mindst skadelige bivirkningsprofiler.
Udredningen af patienter med lændesmerter beror først og fremmest på den kliniske undersøgelse, og brug af MR-skanning anvendes mhp. at udelukke eller underbygge en klinisk mistanke om specifik patologi. Den kliniske betydning af de fleste degenerative MR-skanningsfund er fortsat usikker, og i nationale og internationale guidelines anbefales der derfor også kun henvisning til MR-skanning i specifikke tilfælde som ved mistanke om alvorlig patologi såsom fraktur, malignitet, infektion, mistanke om cauda equina-syndrom eller ved progredierende neurologiske udfald. MR-skanning af patienter med lændesmerter med og uden radikulopati kan overvejes ved manglende effekt af relevant ikkekirurgisk behandling efter 6-8 uger, eller hvis der planlægges henvisning til kirurgisk vurdering [2]. Disse patienter ses hyppigere i sekundærsektoren, hvor langt flere patienter end i primærsektoren opfylder kriterierne for henvisning til MR-skanning iht. de kliniske retningslinjer. Henvisningstidspunktet til MR-skanning kan i praksis være et dilemma, da man ikke tidligt i forløbet kan identificere de patienter, som får behov for f.eks. kirurgi. Da der ikke er evidens for, at MR-skanningsfund kan guide valg af behandling ved lændesmerter med eller uden radikulopati [25], er det vigtigt, at valg af behandling baseres på patientens kliniske symptomer og ikke på MR-skanningsfundene alene.
Mens der har været stort fokus på overforbrug af MR-skanning, har der været mindre opmærksomhed på »underforbrug«. Et systematisk review fra 2018 viste, at 66% af patienter med lændesmerter ikke blev henvist til billeddiagnostik, til trods for at de havde et »rødt flag« i anamnesen [26]. Der er dog risiko for, at underforbruget er overvurderet, da det estimeres, at ca. 80% af lændepatienterne i primærsektoren har mindst ét »rødt flag« [27]. I nogle studier er alder over 50 år et »rødt flag«, hvilket selvsagt kun har svag sammenhæng med risikoen for alvorlig patologi, mens det har vist sig, at der er en betydelig stærkere sammenhæng med tidligere cancer.
Med »rødt flag« menes en klinisk observation, der indikerer øget risiko for alvorlig patologi som årsag til rygsmerter som fraktur, malignitet, infektion eller cauda equina-syndrom. Eksempler på »røde flag«, der kan indikere en af ovennævnte patologier findes bl.a. i American College of Radiologys retningslinjer for henvisning til billeddiagnostik for personer med lændesmerter [2]
Studier viser, at mange patienter i højere grad ønsker en MR-skanning for at få en afklaring på årsagen til deres smerter end for at udelukke alvorlig patologi [6, 7], og der foreligger derfor en vigtig opgave i kommunikation og forventningsafstemning inden en skanning, men også i hvordan MR-skanningssvar formidles til patienten. Svaret fra en MR-skanning kan have konsekvenser for patienten såsom negative tanker og opfattelser omkring deres rygs sundhed og frygt for bevægelse, hvilket i sidste ende kan være medvirkende til at forværre deres situation [28]. Formidling af MR-skanningssvar skal derfor have fokus på tryghedsskabende information inklusive oplysning om aldersbetingede normalfund.
Forskningen i den kliniske betydning af degenerative, lumbale MR-skanningsfund kompliceres af manglende konsensus om definitioner af MR-skanningsfund, samt af at der i de fleste studier ikke tages højde for kategorisering af sværhedsgrader af MR-skanningsfund. Disse faktorer forringer overførbarhed og sammenlignelighed af studiernes resultater. Derudover kan lændesmerter være udfordrende at definere entydigt. I forskningssammenhæng defineres lændesmerter oftest som en binær tilstand, som man enten har eller ikke har, og ikke som en tilstand, der kommer og går med varierende intensitet, som det ofte er tilfældet. Forskningen i emnet kompliceres af, at lændesmerter er en kompleks, multifaktoriel tilstand, som påvirkes af mange forskellige faktorer, inkl. psykosociale faktorer, hvilket kan være vanskeligt at korrigere for i statistiske modeller. Dertil kommer, at mange degenerative forandringer sandsynligvis er mere forbundet med smerte, når de opstår, og i mindre grad senere, hvor de fortsat kan identificeres på en MR-skanning. De fleste studier på området er dog tværsnitsstudier, der oftest ikke tager højde for disse forhold, og resultaterne herfra kan derfor ikke bidrage med viden om kausale sammenhænge.
Litteraturgrundlaget for den kliniske relevans af degenerative forandringer i lænden er begrænset, og der mangler studier, hvor man undersøger sammenhængen mellem flere samtidige MR-skanningsfund og lændesmerter, og longitudinelle studier, hvor man undersøger sammenhængen mellem udviklingen af MR-skanningsfund og udviklingen i smerter samt MR-skanningsfunds betydning for prognose og valg af behandling. Grundet kompleksiteten er der behov for store prospektive studier af høj kvalitet, hvor der f.eks. gøres brug af kunstig intelligens, som kan beskrive de store mængder af skanninger til forskningsbrug og potentielt hjælpe med at identificere nye sammenhænge mellem kombinationer af MR-skanningsfund og kliniske symptomer.
Korrespondance Line Dragsbæk. E-mail: linedrags@gmail.com
Antaget 9. januar 2023
Publiceret på ugeskriftet.dk 13. februar 2023
Interessekonflikter Der er anført potentielle interessekonflikter. Forfatternes ICMJE-formularer er tilgængelige sammen med artiklen på ugeskriftet.dk
Referencer findes i artiklen publiceret på ugeskriftet.dk
Artikelreference Ugeskr Læger 2023;185:V03220158
Line Dragsbæk, Tue Secher Jensen, Bodil Arnbak, Janus Laust Thomsen, Susanne Axelsen, Christin Isaksen, Estrid Muff & Rikke Krüger Jensen
Ugeskr Læger 2023;185:V03220158
Magnetic resonance imaging (MRI) is commonly used in the management of low back pain (LBP). This review provides an overview of the clinical relevance of degenerative MRI findings in the lumbar spine. The association between degenerative MRI findings and LBP is relatively consistent at population level, but very little research exists on the prognostic value of MRI findings and based on the current evidence, MRI cannot be used to guide treatment. Lumbar spine MRI is only recommended for patients with progressive neurological deficits, suspicion of specific pathology or in absence of progress of conservative treatment.