Detektion af kollisionsmetastaser


Ane Christine Holm1, 2, Jens Ravn Eriksen3, Susanne Eiholm2 & Anne-Marie Kanstrup Fiehn2, 4
Hovedbudskaber
Cancersygdomme er årsag til høj morbiditet og mortalitet og fylder meget i sundhedssystemet inden for både kliniske og diagnostiske specialer. I 2020 blev der registreret knap 20 mio. nye tilfælde af cancer og 10 mio. cancerrelaterede dødsfald på verdensplan [1].
En god prognose afhænger i høj grad af detektion af cancersygdommen i et tidligt stadie, inden canceren har spredt sig til lymfeknuder eller andre organer. Lokaliserede lymfeknudemetastaser på diagnosetidspunktet forekommer hyppigt, og risikoen øges i takt med primærtumorens udbredelse angivet som T-stadie [2]. Andre faktorer, herunder tumorens størrelse, den histologiske subtype og differentieringsgraden, er ligeledes af betydning for tumorens potentiale til at sprede sig via lymfesystemet [3].
Et stigende antal ældre i befolkningen kombineret med øget levealder og bedre behandlingsmuligheder betyder unægteligt, at man vil se en stigning i antallet af patienter med mere end én malign sygdom. Der kan enten være tale om samtidige eller tidsmæssigt adskilte diagnosetidspunkter. Ved mistanke om cancer vil udredningen ud over klinisk undersøgelse, blodprøver og billeddiagnostiske undersøgelser bestå i, at der tages biopsier fra tumoren, og de sendes til undersøgelse på en patologiafdeling. Hvis der er tale om en malign tumor, forsøges det primære udgangspunkt bestemt på baggrund af biopsimaterialet. For patienter, der får foretaget resektion af en tumor, bliver operationspræparatet efterfølgende grundigt undersøgt, og der bliver foretaget en endelig stadieinddeling. Herudover vil der blive undersøgt for tilstedeværelse af specifikke risikofaktorer som f.eks. kar- og nerveindvækst. Den histologiske undersøgelse er således af afgørende betydning for behandlingsforløbet og danner baggrund for vurdering af behovet for efterfølgende onkologisk behandling. Af og til påvises ved den histologiske undersøgelse uventede fund som kollisionstumorer og kollisionsmetastaser, som der ikke var nogen mistanke om præoperativt.
Formålet med denne artikel er at øge kendskabet til kollisionsmetastaser, idet det er vores formodning, at der er tale om en underdiagnosticeret sygdomsenhed, som man vil se hyppigere i fremtiden.
Cancersygdomme spreder sig direkte, hæmatogent, lymfogent eller transcølomisk. Både blod- og lymfekar samt lymfekapillærer er tyndvæggede, endotelbeklædte hulrum, som indeholder klapper, der sørger for ensretning af flowet i hhv. blodstrømmens retning og i retning mod de regionale lymfeknuder. Det er i flere studier påvist, at cancersygdomme inducerer både angiogenese og lymfangiogenese og dermed øger antal og størrelse af kar og kapillærer, som canceren potentielt kan udnytte til at sprede sig gennem. Lymfekarrene er gennemsnitligt ca. 100 μm i diameter, til sammenligning er en gennemsnitlig cancercelle ca. 20 μm i diameter [4-6]. Mindre hyppigt er transcølomisk spredning, som refererer til disseminering af tumorceller i kaviteter [7].
Kollisionstumorer defineres som tilstedeværelsen i samme organ af to tætliggende neoplasier, der ikke interagerer, og som adskiller sig morfologisk, immunhistokemisk og genetisk. Fænomenet er ikke særlig velbelyst, og der findes forskellige hypoteser for, hvorfor kollisionstumorer opstår: 1) en ren tilfældighed, 2) en karcinogen stimulus, der påvirker det cellulære mikromiljø og foranlediger to synkrone tumorer med samme lokalisation, 3) tilstedeværelsen af én tumor ændrer forholdene i det nærliggende væv og herved kan potentere andre neoplastiske forandringer [8]. Kollisionstumorer er sjældne og sandsynligvis underdiagnosticerede men dog en diagnose, som de fleste patologer støder på med mellemrum. Det kan være svært at afgøre billeddiagnostisk, om en tumor i virkeligheden er opbygget af to forskellige komponenter. Hvis kun den ene komponent biopteres, vil det heller ikke afsløres ved den histopatologiske undersøgelse, og da det er langtfra alle cancerpatienter, som er operable, vil diagnosen ikke altid blive stillet.
Kollisionstumorer kan involvere stort set alle organer og cancertyper. Inden for gastrointestinalkanalen har der gennem de seneste år været stort fokus på mixed neuroendokrine nonneuroendokrine neoplasier (MiNENs), som består af to komponenter, hvoraf den ene er en neuroendokrin neoplasi (NEN), mens den anden er en nonneuroendokrin tumor, som ofte, men ikke nødvendigvis er et adenokarcinom [9].
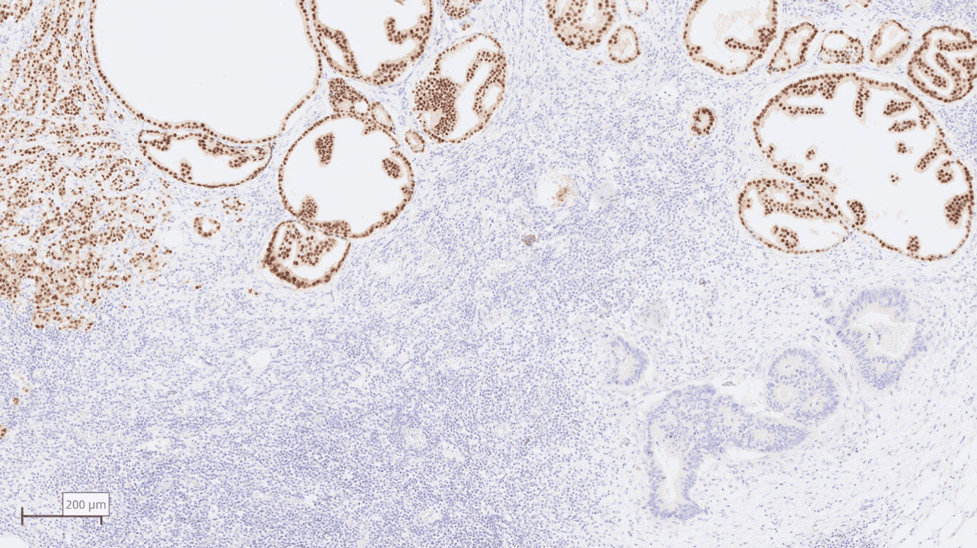
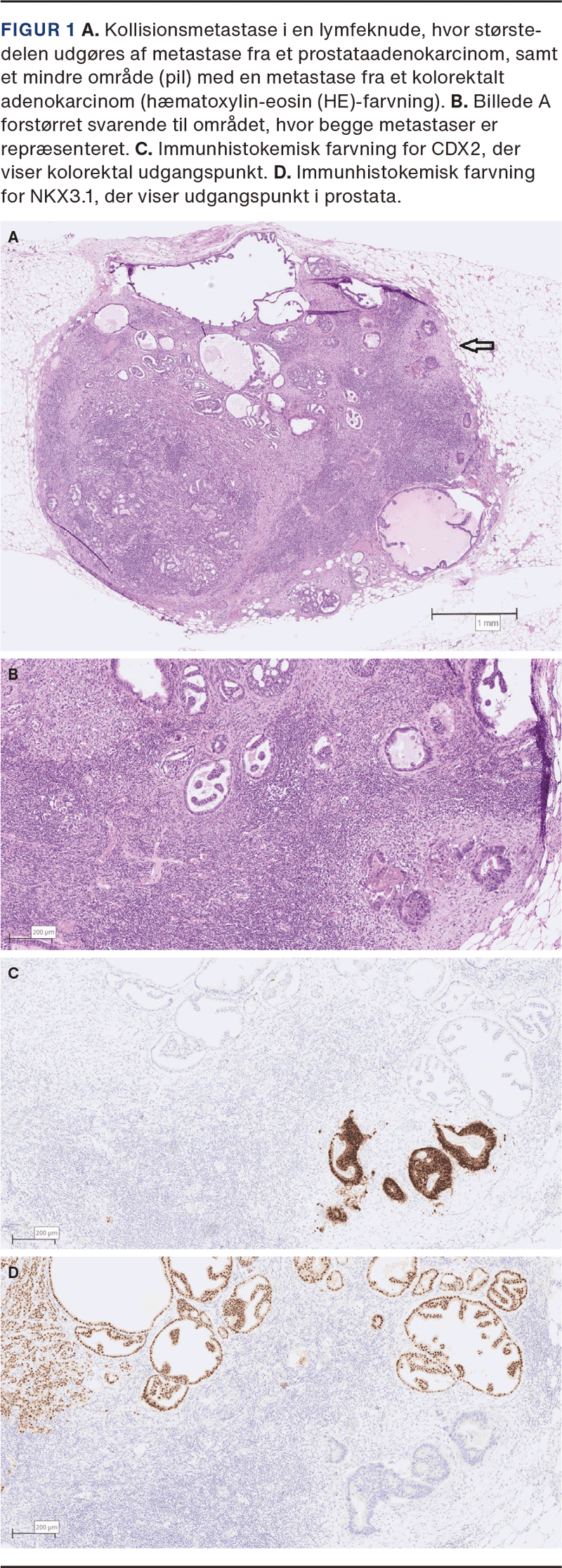
Kollisionsmetastaser defineres som to forskellige primærtumorer, der er metastaseret til den samme anatomiske lokalisation. De er sjældnere rapporteret end kollisionstumorer i litteraturen. Som oftest vil det dreje som om metastaser til lymfeknuder, da mange cancerformer som beskrevet ovenfor spreder sig via netværket af drænerende lymfekar. Det kan være vanskeligt med sikkerhed at afgøre, om en lymfeknude er reaktivt forstørret eller med metastatisk sygdom på baggrund af billeddiagnostik, og det er umuligt at diagnosticere en kollisionsmetastase i en lymfeknude ved denne undersøgelse. Erkendelsen beror derfor på, at patologen primært bliver opmærksom på tilstedeværelse af to morfologisk forskellige metastatiske komponenter. Efterfølgende bekræftes dette vha. immunhistokemiske undersøgelser, som er en hjælp til at bestemme udgangspunktet af de to metastaserende tumorer. Det kliniske billede kan enten være defineret ved, at patienten har to forskellige allerede erkendte og samtidigt forekommende cancere, en tidligere og en nuværende cancer eller kun én aktuelt erkendt cancerdiagnose. Diagnosen stilles på baggrund af operation af en primærtumor, som inkluderer fjernelse af regionale lymfeknuder som f.eks. hos patienter med kolorektal cancer. Figur 1A-D illustrerer en case med en patient, som blev opereret for to synkrone tumorer i colon sigmoideum og rectum, og hvor en regional lymfeknude indeholdt en kollisionsmetastase bestående af patientens kolorektalcancer og en samtidig prostatacancer.
Som udgangspunkt vil alt histologisk materiale blive vurderet på baggrund af hæmatoxylin-eosin-farvet materiale. Billedet sammenholdes med de kliniske oplysninger, og patologen afgør på dette grundlag, om der er behov for yderligere undersøgelser. De immunhistokemiske undersøgelser spiller en afgørende rolle inden for cancerdiagnostikken. I tilfælde, hvor der identificeres en cancer, og der er usikkerhed om udgangspunktet, som det f.eks. kan være tilfældet ved lavt differentierede tumorer, vil man supplere med immunhistokemisk undersøgelse. Der er udviklet utallige forskellige antistoffer, som er relateret til tilstedeværelsen af bestemte antigener, som er til stede i de celletyper, som man ønsker at detektere. I tilfælde, hvor der er tale om en ukendt primærtumor, og morfologien ikke er karakteristisk, vil man starte med et primærpanel, som sædvanligvis inkluderer pancytokeratin (som er rettet mod epiteliale celler), CD45 (rettet mod hæmatologiske celler), S-100 (rettet mod crista neuralis-deriverede celler, herunder melanocytter) og vimentin (rettet mod mesenkymale celler). Tolkningen af resultatet af disse farvninger vil ofte føre til, at man går videre med mere organspecifikke markører, som kan være rettet enten mod flere organer som f.eks. CK7 (lunge, mamma og øvre gastrointestinalkanal) eller være mere specifikke som NKX3.1 (prostata) [10-12]. Eksempler på andre hyppigt anvendte antistoffer er CDX2, som er udtrykt i intestinalt epitel gående fra duodenum til rectum og i mindre grad i duktale celler i pancreas og galdegange/galdeblære, og TTF-1, som er udtrykt i respiratorisk epitel, i follikulære celler i glandula thyroidea samt visse områder i hjernen [13].
Der findes ingen information om incidensen af kollisionsmetastaser i litteraturen. Den eksisterende viden stammer fra et begrænset antal publicerede kasuistikker, men vi formoder, at der er tale om en underdiagnosticeret entitet, dels pga. et begrænset kendskab til fænomenet, og dels fordi diagnosen kræver histologisk undersøgelse af et operationspræparat, og det er meget varierende mellem cancerformer, hvor mange patienter der er operable [14, 15]. Data viser, at de metastaserende komponenter kan være et bredt udsnit af forskellige maligne neoplasier. I en af de hyppigste kombinationer udgør prostatacancer den ene komponent og enten urotelial-, renal- eller kolorektalcancer den anden komponent [16-22]. Der er også beskrevet andre mindre hyppigt forekommende former, bl.a. metastaserende mammacancer i kombination med thyroidea- og ovariecancer [23, 24]. Blandt de rapporterede tilfælde er karcinomer altoverskyggende, og det har kun været muligt at finde ét tilfælde, hvor et malignt melanom udgør den anden komponent [25]. Ved kollisionstumorer kan den ene komponent ligeledes udgøres af en metastase. De tilfælde inkluderer hyppigt hæmatologiske neoplasier i form af lymfom i en lymfeknude, som samtidig er sæde for metastase fra især mamma, thyroidea, uroteliale karcinomer eller prostataadenokarcinomer [26-29].
Billeddiagnostiske undersøgelser er en helt basal del i både udredningen og den løbende kontrol af patienter med cancer og har til formål at afgøre sygdommens udbredelse. De forskellige billedmodaliteter er med tiden blevet mere raffinerede, og i udredningsforløbet vil en eventuel anden primærtumor ofte blive opdaget, mens det er vanskeligere at afgøre det primære udgangspunkt for en metastase hos patienter med flere cancerformer i historikken.
Ved operation for solide tumorer vil der for organer som f.eks. colon, rectum, mamma og lunge ofte samtidig blive fjernet regionale lymfeknuder. Ved en erkendt primærtumor vil patologens fokus især være rettet mod at se efter lymfeknudemetastaser fra denne primærtumor. Det er derfor væsentligt at være bekendt med og også opmærksom på forekomsten af kollisionsmetastaser, da man herved kan nedsætte risikoen for at overse en metastase fra en anden enten tidligere kendt eller endnu uerkendt metastaserende cancer. Da kollisionsmetastaser ikke er noget, man møder på daglig basis, vil det som hovedregel ikke være tilstrækkeligt at basere diagnosen på tilstedeværelsen af to morfologisk forskellige komponenter, men der vil være behov for at supplere med immunhistokemisk analyse for at underbygge mistanken.
Til forskel fra patienter, som diagnosticeres med multiple primærtumorer, hvor der vil være en chance for, at den ene eller begge tumorer alene kan behandles med kirurgi, vil den optimale behandling for patienter, der er diagnosticeret med kollisionsmetastaser, indebære et onkologisk regime, der targeterer begge cancerformer. Det er derfor væsentligt at være opmærksom på problemstillingen på multidisciplinære team-konferencer mhp. at tilrettelægge det optimale behandlingsforløb [30].
Cancersygdomme er hyppigt forekommende, og det er ikke ualmindeligt, at patienter diagnosticeres med flere primærcancere enten samtidigt eller på forskellige tidspunkter i løbet af livet. Med kombinationen af en stigende andel ældre og en øget incidens af cancertilfælde må man forvente, at kollisionsmetastaser forekommer hyppigere i fremtiden. Det er derfor vigtigt at være bevidst om, at dette fænomen eksisterer, så man ved den histopatologiske undersøgelse er opmærksom, hvis en metastase har flere forskellige morfologiske komponenter, og at man i disse tilfælde supplerer med immunhistokemiske undersøgelser. Erkendelsen af flere forskellige metastaser kan have afgørende betydning for behandlingsvalg og prognose. Endvidere er korrekt identifikation af kollisionsmetastaser grundlaget for efterfølgende forskning inden for området mhp. at få afdækket, hvilken betydning diagnosen har for den enkelte patient.
Korrespondance Ane Christine Holm. E-mail: ane_h@yahoo.dk
Antaget 18. april 2023
Publiceret på ugeskriftet.dk 5. juni 2023
Interessekonflikter ingen. Forfatternes ICMJE-formularer er tilgængelige sammen med artiklen på ugeskriftet.dk
Referencer findes i artiklen publiceret på ugeskriftet.dk
Artikelreference Ugeskr Læger 2023;185:V01230038
Ane Christine Holm, Jens Ravn Eriksen, Susanne Eiholm & Anne-Marie Kanstrup Fiehn
Ugeskr Læger 2023;185:V01230038
Cancer is a cause of high morbidity and mortality. It is not uncommon for a patient to have more than one primary tumour. This review summarises the knowledge of collision tumours which are defined as two adjacent neoplasms in the same organ, while a collision metastasis is the rare occurrence of two different primary cancers metastasising to the same anatomical site. Identification of collision metastasis is a diagnostic challenge and relies on histopathological examination. As it might have profound impact on prognosis and treatment decisions, it is important to create awareness among both pathologists and clinicians of this phenomenon.