Skip to main content

Diagnosticering af anastomoselækage efter kolorektal kirurgi ved brug af C-reaktivt protein

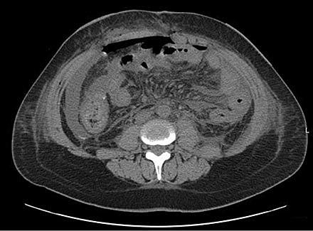
Intraperitoneal effusion med fri luft og ødem. Diffus peritonitis pga. anastomoslækage ved høj kolorektalanastomose [30]. Publiceres med tilladelse fra http://creativecommons.org/licenses/by/3.0/
Intraperitoneal effusion med fri luft og ødem. Diffus peritonitis pga. anastomoslækage ved høj kolorektalanastomose [30]. Publiceres med tilladelse fra http://creativecommons.org/licenses/by/3.0/

Liv Willer Erritzøe1, Ismail Gögenur2 & Mahdi Alamili2

12. okt. 2015
13 min.

Anastomoselækage (AL) er en alvorlig komplikation i forbindelse med kolorektal kirurgi. Prævalensen af AL er 1-39% [1]. Studier er dog vanskeligt sammenlignelige, eftersom definitionen ikke er entydig [2]. AL kan defineres som en defekt i tarmvæggen ved anastomosen, hvilket leder til kommunikation mellem de intra- og ekstraluminale compartments [3].

I et nationalt kohortestudie fandt man en incidens af AL ved coloncancerkirurgi på 6,4% i perioden 2001-2008. Risikoen for lækage var øget ved venstresidig hemikolektomi, mandligt køn, peroperativt blodtab og blodtransfusion [4]. I et andet databasestudie fandt man, at incidensen af AL var 11% ved anterior resektion af rectumcancer. Ved en anastomose mindre end 10 cm fra den anokutane overgang blev risikoen for AL forøget [5].

AL øger morbiditeten og mortaliteten efter abdominal kirurgi og diagnosticeres ofte sent, når patienten har septiske symptomer [6]. Sen diagnose forekommer pga. falsk negative resultater af radiologiske undersøgelser og indlæggelse op til en weekend [7]. Derudover pga. fejltolkning af patientens symptomer som kardiovaskulære postoperative komplikationer [8]. I et stort nationalt studie var 30-dagesmortaliteten øget fra 6,4% hos patienter uden AL til 20,9% hos patienter med AL (p < 0,001) [4].

Det optimale diagnostiske værktøj til detektering af AL bør være lettilgængeligt, have høj sensitivitet, høj specificitet og høj negativ prædiktiv værdi (NPV) for AL og gerne kunne detektere patienter med lækage før de får septiske symptomer. C-reaktivt protein (CRP) er en biokemisk markør, og en stigning i den er associeret med forekomst af septiske komplikationer efter abdominalkirurgi [9, 10]. CRP-koncentration er inkorporeret i algoritmer, heriblandt Dutch Leakage (DULK)-score, med det formål at kunne detektere AL, men kan muligvis som enkeltparameter også spille en rolle i diagnostikken [11].

I denne artikel vil vi redegøre for værdien af at
anvende CRP-koncentration til tidlig diagnosticering
af AL.

HVAD ER C-REAKTIVT PROTEIN?

CRP er en akutfasereaktant, der findes i blodet som respons på inflammation, og dannelsen stimuleres af interleukin 6 og tumornekrosefaktor alfa. Proteinet produceres af hepatocytter. CRP spiller formentlig en rolle i det medfødte immunforsvar og assisterer komplementbinding, hvorved fagocytose fremmes. Tilstande, der almindeligvis fører til betydelige ændringer af plasmakoncentrationen, er infektion, traumer, kirurgi, brandsår, infacering af væv og immunologiske inflammatoriske sygdomme. Generelt gælder det, at CRP-koncentrationen korrelerer med sværhedsgraden af inflammation og oftest er højest ved bakteriel infektion. Dog stiger CRP-koncentrationen ikke nødvendigvis lige meget hos patienter med samme sygdom, og febrile patienter kan have normal CRP-koncentration [12]. CRP har en kort halveringstid på 19 timer. Måling af CRP-koncentration er lettilgængelig og har lave omkostninger.

CRP anvendes til diagnosticering af flere akutte abdominalkirurgiske tilstande. F.eks. har CRP en høj NPV for inflammatoriske tilstande og er en indikator for postoperative septiske komplikationer efter abdominal kirurgi [13]. Ved kirurgi stiger CRP-koncentrationen som følge af stressrespons. Ved laparoskopisk kolorektalkirurgi er det postoperative CRP-niveau lavere end ved åben kolorektalkirurgi [14].

ANVENDELSE AF C-REAKTIVT PROTEIN-
KONCENTRATION TIL AT DIAGNOSTICERE
ANASTOMOSELÆKAGE

I en række engelsksprogede studier har man undersøgt CRP’s rolle ved AL og/eller øvrige postoperative infektioner efter kolorektal kirurgi [9, 10, 13, 15-24], og der er endvidere publiceret to metaanalyser [25, 26]. I studierne har man beskrevet elektive og akutte operationer, laparoskopisk og åben kirurgi såvel som maligne og benigne tilstande. Raten af AL i disse studier var 3,1-27,2%, og mediandiagnosedag for AL var postoperative dag (POD) 6-9. Definitionen af AL var ikke ens i studierne, og diagnosemetoden var ligeledes varierende, både inden for det enkelte studium og studierne imellem [9, 10, 13, 15-24] (Tabel 1). I et enkelt studium definerede man et diagnostisk program inden initiering af studiet, hvor patienterne blev CT-skannet på post-operative dag 2 og 7. Ved subkliniske lækager ekskluderedes patienterne fra gruppen med AL [9].

I ti af studierne foreslog man en tærskelværdi for CRP-koncentration. Denne varierede mellem 125 og 200 mg/l målt POD 3 eller 4 [10, 13, 15, 17-20, 22-24]. I to studier konkluderede man blot, at CRP-koncentra-tionen fra POD 2 eller 3 og fremefter var signifikant forhøjet hos patienter med AL [16, 21]. I et tredje studie fandt man, at CRP-koncentrationen var højere fra POD 3 i gruppen, der havde komplikationer, dog kun signifikant højere på POD 7 og 10 [16] (Tabel 2). Der er således to måder at anskue det på. Enten som udvikling over tid, hvor CRP-koncentrationen vurderes løbende postoperativt, eller en totalværdi med tærskelværdi POD 3 eller 4.

I metaanalysen af Warschkow et al [25] er der behandlet data fra seks af de ovennævnte studier [10, 16, 18-20, 22] med i alt 1.832 patienter, og alle infektiøse komplikationer efter kolorektalkirurgi er beskrevet. CRP-koncentration på POD 4 med en tærskelværdi på 135 mg/l (standarddeviation: 10 mg/l) forudsagde bedst risiko for udvikling af infektiøse komplikationer. Den samlede sensitivitet var 68% (95% konfidens-
interval (KI): 57-79%), specificitet: 83% (95% KI: 77-90%) og NPV: 89% (95% KI: 87-92%). I dette studie har man ikke med statistiske data specifikt beskrevet CRP-koncentrationsforhøjelse ved AL, men lækage er inkluderet i de beskrevne infektiøse komplikationer [25]. I metaanalysen af Singh et al har man udelukkende beskrevet brugen af CRP-koncentration ved udvikling af AL og har medtaget syv af ovenstående studier [10, 12, 14-16, 18, 19]. Tærskelværdien for CRP var 172 mg/l på POD 3, 124 mg/l på POD 4 og 144 mg/l på POD 5. NPV var 97% på POD 3-5, og på POD 3 var sensitiviteten 76% og specificiteten 76% [26].

I et nyligt publiceret prospektivt studium om kurativ kirurgi for kolorektal cancer har man undersøgt, om CRP-niveauet på POD 2 kunne korrelere med værdien på POD 3 og 4 set i lyset af, at mange patienter sendes hjem før POD 3-4. Medianværdien af CRP-koncentra-tionen på POD 2 korresponderede med tidligere beskrevne værdier for CRP på POD 3 og 4, hvor der var postoperative infektiøse komplikationer. Tærskelværdi var 190 mg/l for infektiøse komplikationer og 200 mg/l for AL på POD 2. Ti af 14 patienter, der fik AL, havde en CRP-koncentration > 200 mg/l på POD 2 [27].

I et studie sammenlignede man forskelle i CRP-koncentration ved åben og laparoskopisk elektiv colonkirurgi ved coloncancer. Ved laparoskopisk kirurgi var det kirurgiske stressrespons mindre på POD 1-3 (p < 0,001) end ved åben kirurgi. Man fandt desuden signifikant lavere CRP-koncentration hos patienter, der ikke fik septiske komplikationer. Hos patienter, der fik postoperative septiske komplikationer, så man ingen forskel i CRP-koncentration ved laparoskopisk og åben
kirurgi [14]. I et studie fandt man, at > 40% af de septiske komplikationer var AL [23].

ALGORITME MED C-REAKTIVT PROTEIN TIL
DIAGNOSTICERING AF ANASTOMOSELÆKAGE

DULK-score er en model, hvormed man ved hjælp af 13 parametre kan diagnosticere AL. I et nyligt publiceret prospektivt multicenterstudium med 782 patienter fandt man, at en modificeret DULK-score med færre parametre også kan støtte diagnosticering af AL. DULK-scoren indeholder 13 parametre inden for fire felter, heriblandt generel tilstand, fysisk undersøgelse, laboratoriefund og ernæring. En score på ≥ 4 anses som positiv.

I den modificerede score er inkluderet klinisk tilstand (forværring), abdominalia, der ikke er lokaliseret til såret, CRP-koncentration (> 250 mg/l) og respirationsfrekvens (> 20/min). Ved hjælp af logistisk regressionsanalyse fra den originale DULK-score fandt forfatterne NPV for AL på 99,5%, sensitivitet på 97% og specificitet på 57% ved opfyldelse af blot et enkelt af ovenstående kriterier. CRP-koncentration > 250 mg/l er inkluderet i scoren. Dog var CRP-koncentrationsstig-ning kun en individuel faktor i modellen for POD 3 og 4. I alt 64 af 66 patienter med AL havde en positiv test minimum en gang i løbet af primærindlæggelsen, hvilket gav en sensitivitet på 97%. Sammenlignet med den originale DULK-score har den modificerede score en højere specificitet. Fordelen er herudover, at det er mere brugervenligt og lettilgængeligt at inkludere fire parametre frem for 13. Forfatterne fandt, at den modificerede DULK-score er et lettilgængeligt redskab til diagnosticering af AL, men at en tidlig diagnose fortsat er vanskelig at stille [11].

DISKUSSION

På trods af en rivende udvikling inden for kirurgien og behandlingen af kirurgiske komplikationer er diagnosen AL fortsat vanskelig at stille. Lav CRP-koncentration på POD 4 er forbundet med en høj NPV for postoperative infektioner inkl. AL. Man kan, såfremt den kliniske tilstand muliggør det, altså med høj sikkerhed udskrive patienter med CRP-koncentration under et vist niveau på POD 4 [26]. Den samlede sensitivitet er dog lav, så diagnostisk kan CRP-koncentration ikke anvendes ifølge Warschkow et al’s analyse [25]. En endnu højere negativ prædiktiv værdi på 98-99% fandt man i metaanalysen af Singh et al, men også i dette studie var sensitiviteten lav (76%) [26]. Hvis der allerede på POD 2 er CRP-koncentration > 200 mg/l, bør udredning af AL initieres og især ved manglende fald af CRP-koncentration i de følgende postoperative dage. Det er tænkeligt, at CRP-koncentration kan anvendes som en indikator for at foretage tidlig CT med kontrast suppleret med diagnostisk laparoskopi for at kunne stille diagnosen AL tidligt. Om muligt vil man kunne bevare tarmkontinuiteten, reducere morbiditeten og eventuelt mortaliteten ved at operere patienten tidligt. Ved en skæringsværdi på 200 mg/l for CRP-koncentration vil man overse patienter med AL pga. en høj andel af lækager med CRP-koncentrationer under det pågældende
niveau.

Som det kan ses i den store forskel på raten af AL fra 3,1% til 27,2% studierne imellem, er der en betydelig heterogenitet, hvad angår den diagnostiske strategi. Klinisk vurdering og CT er i et studium rapporteret at have sensitivitet på henholdsvis 50% og 57% for anastomoselækage efter mesorektal excision [28]. Man kan derfor ikke udelukkende anvende billeddiagnostik som parameter i den diagnostiske tilgang.

I flere af studierne er der foreslået tærskelværdier for CRP-koncentration, ikke kun for AL, men også for øvrige postoperative infektioner som urinvejsinfektion, pneumoni og sårinfektion. Det er derfor vigtigt at udelukke disse diagnoser som årsag til stigning i CRP-koncentration. Dog bør dette ikke forsinke en evt. kirurgisk udredning og intervention for formodet AL. CRP-koncentrationen stiger desuden som respons på den kirurgiske intervention som en del af det kirurgiske stressrespons. Det kan derfor være vanskeligt postoperativt at vurdere årsagen til stigningen, før det kirurgiske stressrespons er faldende.

Den modificerede DULK-score består af en række lettilgængelige kliniske parametre og har en høj sensitivitet på 97%, hvorfor denne scoringsmetode kan være et supplement i den tidlige diagnostik af AL. Størstedelen af lækagerne havde positivt testresultat mindst et døgn inden den faktiske lækage. Dog fandt man en lav positiv prædiktiv værdi og en lav specificitet (57%), og kun en ud af seks med positive testresultater havde lækage. Nogle af patienterne med positive testresultater havde absces som forklaring [11]. Testen kan bruges til at opdage patienter, der har risiko for at få AL, men i praksis er testen velsagtens stort set ubrugelig pga. meget lav specificitet (57%) [11].

Ved udvikling af AL øges mortaliteten betragteligt.
I et stort dansk multicenterstudium undersøgte man langtidsmortalitet og tilbagefald (lokal og metastaser) af coloncancer i Danmark efter udvikling af AL. Næsten 9.000 patienter indgik i studiet, og patienterne med AL havde ringere langtidsoverlevelse (> 120 dage) og øget risiko for metastaseret sygdom senerehen end patienterne uden AL [29]. En af årsagerne til den øgede langtidsmortalitet er formentlig, at patienterne påbegynder en eventuel adjuverende onkologisk behandling med forsinkelse. Dette understreger behovet for at kunne diagnosticere AL tidligt, idet det ikke kun er den umiddelbare morbiditet og mortalitet, men også langtidsoverlevelsen der påvirkes.

Der er en høj NPV, men lav sensitivitet ved anvendelse af CRP-koncentration i den postoperative fase. Hos patienter med CRP-koncentration over en vis tærskelværdi bør man have AL in mente. På alle afdelinger bør man have strategier til tidlig diagnosticering af AL. CRP-koncentration kan integreres i en sådan strategi for at stille diagnosen med henblik på tidlig intervention.

Korrespondance: Liv Willer Erritzøe. E-mail: livzoee@hotmail.com

Antaget: 13. juli 2015

Publiceret på Ugeskriftet.dk: 12. oktober 2015

Interessekonflikter:

Summary

C-reactive protein as a tool in the diagnosis of anastomotic leak after colorectal surgery

Anastomotic leak (AL) is one of the most severe complications after colorectal surgery. AL is often diagnosed late when the patient is presenting with septic symptoms. C-reactive protein (CRP) as a tool in the diagnosis of AL has been investigated in several studies. CRP is proven to have a high negative predictive value which allows safe discharge of patients with low CRP measurements on day 3 or 4 after surgery. CRP can assist in the diagnosis of AL but cannot be used as a single parameter.

Referencer

LITTERATUR

  1. Bruce J, Krukowski ZH, Al-Khairy G et al. Systematic review of the definition and measurement of anastomotic leak after gastrointestinal surgery. Br J Surg 2001;88:1157-68.

  2. Karliczek A, Harlaar NJ, Zeebregts CJ et al. Surgeons lack predictive accuracy for anastomotic leakage in gastrointestinal surgery. Int J Colorectal Dis 2009;24:569-76.

  3. Rahbari NN, Weitz J, Hohenberger W et al. Definition and grading of anastomotic leakage following anterior resection of the rectum: a proposal by the International Study Group of Rectal Cancer. Surg 2010;
    147:339-51.

  4. Krarup PM, Jorgensen LN, Andreasen AH et al. A nationwide study on anastomotic leakage after colonic cancer surgery. Colorectal Dis 2012;14:661-7.

  5. Bertelsen CA, Andreasen AH, Jørgensen T et al. Anastomotic leakage after anterior resection for rectal cancer: risk factors. Colorectal Dis 2010;12:37-43.

  6. Hyman N, Manchester TL, Osler T et al. Anastomotic leaks after intestinal anastomosis: it‘s later than you think. Ann Surg 2007;245:254-8.

  7. Sutton CD, Marshall LJ, Williams N et al. Colo-rectal anastomotic leakage often masquerades as a cardiac complication. Colorectal Dis 2004;6:21-2.

  8. Doeksen A, Tanis PJ, Vrouenraets BC et al. Factors determining delay in relaparotomy for anastomotic leakage after colorectal resection. World J Gastroenterol 2007;13:3721-5.

  9. Matthiesen P, Henriksson, Halböök O et al. Increase of serum C-reactive protein is an early indicator of subsequent symptomatic anastomotic leakage after anterior resection. Colorectal Dis 2008;10:75-80.

  10. Welsch T, Müller SA, Ulrich A et al. C-reactive protein as early predictor for infectious postoperative complications in rectal surgery. Int J Colorectal Dis 2007;22:1499-507.

  11. den Dulk M, Witvliet MJ, Kortram K et al. The DULK (Dutch leakage) and modified DULK score compared: actively seek the leak. Colorectal Dis 2013;15:528-33.

  12. Gabay C, Kushner I. Acute-phase proteins and other systemic responses to inflammation. N Engl J Med 1999;340:448-54.

  13. Garcia-Granero A, Frasson M, Flor-Lorente B et al. Procalcitonin and C-reactive protein as early predictors of anastomotic leak in colorectal surgery: a prospective observational study. Dis Colon Rectum 2013;
    56:475-83.

  14. Ramanathan ML, MacKay G, Platt J et al. The impact of open versus laparoscopic resection for colon cancer on C-reactive protein concentrations as a predictor of postoperative infective complications. Ann Surg Oncol 2015;22:938-43.

  15. Almeida AB, Faria G, Moreira H et al. Elevated serum C-reactive protein as a predictive factor for anastomotic leakage in colorectal surgery. Int J Surg 2012;10:87-91.

  16. Reith HB, Mittelkötter U, Debus ES et al. Procalcitonin in early detection of postoperative complications. Dig Surg 1998;15:260-5.

  17. Platt JJ, Ramanathan ML, Crosbie RA et al. C-reactive protein as a predictor of postoperative infective complications after curative resection in patients with colorectal cancer. Ann Surg Oncol 2012;19:4168-77.

  18. MacKay GJ, Molloy RG, O’Dwyer PJ. C-reactive protein as a predictor of postoperative infective complications following elective colorectal resection. Colorectal Dis 2011;13:583-7.

  19. Ortega-Deballon P, Radais F, Facy O et al. C-reactive protein is an early predictor of septic complications after elective colorectal surgery. World J Surg 2010;34:808-14.

  20. Warschkow R, Tarantino I, Torzewski M et al. Diagnostic accuracy of C-reactive protein and white blood cell counts in the early detection of inflammatory complications after open resection of colorectal cancer: a retrospective study of 1,187 patients. Int J Colorectal Dis 2011;26:
    1405-13.

  21. Woeste G, Müller C, Bechstein WO et al. Increased serum levels of C-reactive protein precede anastomotic leakage in colorectal surgery. World J Surg 2010;34:140-6.

  22. Kørner H, Nielsen HJ, Søreide JA et al. Diagnostic accuracy of C-reactive protein for intraabdominal infections after colorectal resections.
    J Gastrointest Surg 2009;13:1599-606.

  23. Lagoutte N, Facy O, Ravoire A et al. C-reactive protein and procalcitonin for the early detection of anastomotic leakage after elective colorectal surgery: pilot study in 100 patients. J Visc Surg 2012;
    149:345-9.

  24. Pedersen T, Roikjær O, Jess P. Increased levels of C-reactive protein and leukocyte count are poor predictors of anastomotic leakage following laparoscopic colorectal resection. Dan Med J 2012;
    59(12):A4552.

  25. Warschkow R, Beutner U, Steffen T et al. Safe and early discharge after colorectal surgery due to C-reactive protein: a diagnostic meta-analysis of 1832 patients. Ann Surg 2012;256:245-50.

  26. Singh PP, Zeng IS, Srinivasa S et al. Systematic review and meta-analysis of use of serum C-reactive protein levels to predict anastomotic leak after colorectal surgery. Br J Surg 2014;101:339-46.

  27. Ramanathan ML, Mackay G, Platt J et al. Impact of day 2 C-reactive protein on day 3 and 4 thresholds associated with infective complications following curative surgery for colorectal cancer. World J Surg 2013;37:2705-10.

  28. Nesbakken A, Nygaard K, Lunde OC et al. Anastomotic leak following mesorectal excision for rectal cancer: true incidence and diagnostic challenges. Colorectal Dis 2005;7:576-81.

  29. Krarup PM, Nordholm-Carstensen A, Jorgensen LN et al. Anastomotic leak increases distant recurrence and long-term mortality after curative resection for colonic cancer: a nationwide cohort study. Ann Surg 2014;259:930-8.

  30. Manenti A, Manco G, Vezzelli E et al. Leakage of colonic anastomosis: computed tomography diagnosis. WebmedCentral SURGERY 2012;3:WMC003264.