Skip to main content

Diagnostik og behandling af hallux rigidus

Nicoline Kirk Bro1, Jeppe Lange1, 2 & Jesper F. Kabel1

18. jan. 2021
12 min.

Hallux rigidus (HR) er en tilstand med smerter og bevægeindskrænkning i første metatarsofalangeal (MTP)-led. HR er en hyppig degenerativ ledlidelse og er næst efter hallux valgus den hyppigste lidelse i storetåen. Oftest er der tale om primær (idiopatisk) artrose, men HR kan også være sekundær til anden ledlidelse. Studier har vist, at patienter med HR foruden smerter har et ændret gangmønster og oplever påvirkning af daglige aktiviteter [1, 2].

Fakta

Hovedbudskaber

ÆTIOLOGI OG PRÆVALENS

Forekomsten af HR rapporteres til 7,8% hos personer ældre end 50 år og findes hyppigere hos kvinder end hos mænd [3]. Prævalensen stiger med alderen, hvilket tilskrives, at de degenerative forandringer tiltager [4]. Danske tal foreligger ikke.

Den præcise årsag til udvikling af HR kendes ikke fuldt ud, og de fleste tilfælde klassificeres som idiopatiske. Bilateral lidelse er den hyppigste, og der er påvist familiær disposition [5]. I 80% af tilfældene med unilateral sygdom er der en anamnese med traumer. Omkring 80% af patienterne vil udvikle bilaterale symptomer med tiden [5]. Reumatologiske lidelser som reumatoid artritis og arthritis urica spiller en mindre rolle [6].

ANATOMI OG PATOANATOMISKE FORHOLD

Den normale bevægelighed i første MTP-led er ca. 75 grader dorsifleksion med et maksimalt bevægeudslag på ca. 110 grader [7]. For udvikling af symptomer ved HR anses kun dorsifleksionen for at have betydning.

Ved HR udvikles bruskdegenerationer, i starten primært dorsalt i leddet, hvor der også udvikles osteofytter. Ofte udvikles der nærmest et horn dorsalt på caput af første metatars, hvilket mekanisk hindrer bevægeligheden. Artrosen breder sig efterhånden til resten af leddet og kan også involvere sesamknoglerne under caput af første metatars. Af og til ses der asymmetrisk artrose i leddet, typisk i den laterale del, hvilket kan give anledning til en valgisering af storetåen [4].

KLINISK VURDERING

Anamnese og symptomer

Det dominerende symptom er smerter ved gang, hvilket påvirker patienternes daglige aktiviteter [1]. Osteofytdannelse kan give pladsproblemer i fodtøjet og trykgener.

Kliniske fund

Det væsentligste fund ved HR er nedsat dorsifleksion i første MTP-led samt smerter ved palpation og bevægelse af leddet. Tilstanden bliver ofte først symptomatisk, når dorsifleksionen er reduceret til omkring 30 grader [8].

I de tidlige faser af sygdommen, hvor leddet ikke er så degenereret, optræder smerterne kun, når tåen bevæges i yderstillinger. I de mest fremskredne tilfælde er der smerter i hele tåens bevægeudslag og ved kompression af leddet [8, 9]. Der ses et generelt fortykket led, hvor mange har en palpabel, øm og eventuelt rød dorsal knystdannelse ved ledhovedet på første metatars. Føleforstyrrelser af dorso-medial siden af storetåen forekommer [10].

DIAGNOSTIK

Det er vigtigt at foretage en objektiv vurdering af hele foden med patienten stående på begge fødder, uden fodtøj og strømper. Øvrige deformiteter i tæer samt mellem- og bagfod skal beskrives, da disse kan have betydning for valget af behandling.

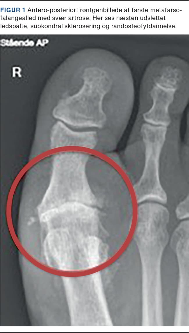
Til vurdering af første MTP-led anvendes røntgenbilleder, minimum i to projektioner (antero-posterior (Figur 1) og sideoptagelser (Figur 2)) med patienten stående med fuld vægt på foden. Røntgenbillederne, hvor der er belastning på foden, giver også et overblik over andre deformiteter, f.eks. hallux valgus, hammertå, instabilitet eller degeneration i fodens øvrige led.

De typiske røntgenfund er dorsal osteofytdannelse på caput af første metatars, afsmalnet ledspalte i første MTP-led, affladet caput af første metatars, subkondrale cyster, subkondral sklerosering og evt. ledmus. Der er stor variation i, hvilke og hvor mange af de radiologiske fund der forekommer hos den enkelte patient [4].

HR er så karakteristisk, at der sjældent kan være tale om at fejltolke tilstanden, men differentialdiagnostisk kan andre tilstande give smerter i første MTP-led. Ved hallux valgus kan der forekomme ømme knyster. Der forekommer også isolerede osteokondrale læsioner i første MTP-led, hvilket kan give smerter, men typisk ikke stor påvirkning af leddets bevægeudslag. Endvidere forekommer der patologi ved sesamknogler, herunder avaskulær nekrose, eller en skade efter et traume. Slutteligt bør underliggende reumatiske ledlidelser, herunder arthritis urica, overvejes, især når klinik og radiologiske fund ikke stemmer overens.

KONSERVATIV BEHANDLING

Omlægning af fysisk aktivitet

Patienter kan have gavn af at omlægge samt undgå fysiske aktiviteter, som volder smerter, f.eks. langvarig gang og løb [4].

Fysioterapi

Træningsøvelser mhp. at styrke storetåen, evt. kombineret med manipulationsbehandling af første MTP-led, kan hos nogle patienter bedre bevægeligheden i leddet og lindre smerterne [11-13].

Medicin

Hvis patienten tåler det, kan behandling med ikkesteroide antiinflammatoriske stoffer (NSAID) være virkningsfuld mod smerterne i de tidlige sygdomsstadier. Pga. generelle risici ved NSAID kan langtidsbehandling imidlertid ikke tilrådes [9, 14].

Fodtøj og indlægssåler

Generelt vil fodtøj, som begrænser bevægeligheden i det første MTP-led, være smertelindrende [15]. Der findes i almen handel en del fodtøj med en stiv bund og fremført eller for- og bagudrettet gænge, som bør afprøves hos alle patienter, inden de henvises til kirurgisk behandling. Alternativt kan tilpasning af eget fodtøj hos en bandagist være en løsning. Der kan dog almindeligvis ikke opnås tilskud efter serviceloven, medmindre der er betydende komorbiditet, som er dækket af servicelovens bestemmelser, f.eks. dårligt kredsløb, neuropati eller svære foddeformiteter [16].

Hvis patienten har vedvarende, uacceptable smerter trods forsøg på konservativ behandling i minimum tre måneder, og hvis patienten er indstillet på eventuel operativ behandling, kan der henvises til ortopædkirurg. Man kan forsøge tapening af storetåen i en periode for at illustrere for patienten, hvordan en stiv, men smertelindret, tå opleves. Dette kan med fordel foretages hos en praktiserende læge inden henvisning.

OPERATIV BEHANDLING

Indikationen for kirurgi er primært smerter. Der skal desuden være en god overensstemmelse mellem de objektive og de radiologiske fund. Hos patienter med betydende komorbiditet, herunder dårlige kredsløbsforhold i foden, vil kirurgi i mange tilfælde være kontraindiceret.

Der findes flere forskellige operative indgreb, som kan anvendes i behandlingen af HR. De inddeles overordnet i to grupper: ledbevarende kirurgi og ikkeledbevarende kirurgi.

Hvilken operation, der skønnes egnet til en given patient, afhænger af dels, hvor udtalt degenerationen af første MTP-led er, dels om der er andre problemer i foden, som skal adresseres. Endelig afhænger det også af patientens egne ønsker til bevægelighed og smertelindring, risikoen for reoperation, samt om der er betydende komorbiditet.

Alle indgreb kan udføres som en dagkirurgisk procedure, og vægtbæring med foden i en specialsko vil typisk kunne tillades allerede fra operationsdagen. Er der øvrig symptomgivende patologi i foden, kan denne ofte opereres i samme seance som storetåen.

Cheilektomi

Hjørnestenen inden for ledbevarende kirurgi er cheilektomi. Operationen går ud på at fjerne osteofytter på caput af første metatars, inkl. ca. en tredjedel af den dorsale ledflade og eventuelle osteofytter dorsalt på den proksimale phalanx.

Omkring 90% af patienterne opnår et tilfredsstillende resultat på langt sigt [8, 17]; til resten af patienterne vil en artrodese efterfølgende være et tilbud [18].

Artrodese

Ved fremskreden HR, ved samtidig hallux valgus eller ved tidligere cheilektomi er artrodese af første MTP-led anbefalet som guldstandard [19]. Ledfladerne på begge sider af MTP-leddet reseceres, og knogleenderne samles, så de kan vokse sammen, hvorved leddet stivgøres. Den bedste funktion opnås ved 10-20 grader dorsalfleksion og 10-15 grader valgus over det fusionerede led. Leddet kan fikseres med flere forskellige teknikker, hyppigt anvendt er en kombination af en kompressionsskrue og en dorsal skinne. Artrodese kræver 6-8 ugers immobilisation i terapisko eller støvle, og der er ca. 7% risiko for manglende knogleheling [20]. Det er dog ikke alle, der har manglende knogleheling, som har behov for reoperation. De fleste vil opleve bedring i gangafviklingen og ikke have væsentlige gener af den manglende bevægelighed [21]. Det kan efter operationen være vanskeligt at anvende højhælede sko, og der vil være begrænsninger ved visse aktiviteter, f.eks. gymnastik. Typisk har disse vanskeligheder også været til stede forud for operationen.

Alloplastik

Der er udviklet flere forskellige implantater til brug i første MTP-led. Disse giver mulighed for at bevare en vis bevægelighed, som kan have betydning hos nogle patienter. Der opnås generelt ikke lige så god smertelindring som ved artrodese [22-24]. Alloplastikker tilbydes på enkelte ortopædkirurgiske afdelinger i Danmark og kan være et tilbud til udvalgte patienter. Der er endnu ikke langtidsresultater for denne behandling, men foreløbige opgørelser tyder på god overlevelse af implantaterne på kort og mellemlangt sigt. I en dansk opgørelse er overlevelsesraten for en bestemt type implantat opgjort til 91,5% efter 15 år [25]. Hvis protesen skal fjernes, kan det kirurgisk set være en udfordring efterfølgende at udføre en artrodese med godt resultat.

Osteotomier

Der er i litteraturen beskrevet flere forskellige osteotomier, som kan udføres ved milde grader af HR i både første metatars og i proksimale phalanx,. Formålet med osteotomien er enten at dekomprimere første MTP-led eller at flytte caput af første metatars, så ledartikulationen foregår i et område med intakt brusk frem for i den degenererede del af leddet. Resultaterne efter osteotomier er meget varierende [26].

Artroplastik

Hos patienter med fremskreden HR, hvor artrodese ikke vurderes at være mulig pga. patientens komorbiditet, kan artroplastik være en mulighed. Ved Kellers resektionsartroplastik fjernes op til 50% af den proksimale phalanx. Herved dannes et bløddelsled og der bevares en grad af bevægelighed. Der er risiko for udvikling af smerter under de laterale tåstråler efter operationen, et fænomen kendt som transfer-metatarsalgia. Da det fibrøse bløddelsled i princippet er ustabilt, kan det hos nogle patienter resultere i en svær hallux valgus-tilstand, eller en cock-up-deformitet, hvor storetåen enten ligger hen over anden tå eller peger op i luften. Frekvensen af metatarsalgi og cock-up-deformitet ligger hver på omkring 20% efter Kellers resektionsartroplastik [27].

DISKUSSION

Der findes mange forskellige behandlingsmuligheder til patienter med HR. Som udgangspunkt bør konservativ behandling altid afprøves, før kirurgi kommer på tale.

Efterhånden foreligger der flere studier med kort og mellemlang opfølgningstid efter indsættelse af alloplastikker. Disse viser lovende resultater mht. implantatoverlevelse og komplikationsfrekvens [22, 25]. Man kan derfor forestille sig, at alloplastikker fremover vil vinde større indpas i behandlingen af HR hos udvalgte patienter. Hidtidige undersøgelser tyder imidlertid på, at der opnås større smertelindring ved artrodese end ved alloplastikker, hvorfor artrodesen fortsat må anses for at være guldstandard [22-24].

De opgørelser, der er lavet over resultaterne af osteotomier, er af meget svingende videnskabelig kvalitet, og der er i litteraturen ikke konsensus om indikationen for osteotomi. Der findes derfor for nuværende ikke videnskabeligt grundlag for at anbefale disse procedurer som standardbehandling af HR [14, 26, 28].

Til trods for hyppigheden af HR foreligger der kun få studier af høj videnskabelig kvalitet af både konservativ og kirurgisk behandling [29, 30]. Der er således et behov for yderligere forskning inden for området.

KONKLUSION

HR er en hyppigt forekommende, smertefuld lidelse i første MTP-led. Det er muligt at behandle hovedparten af patienterne med HR med et tilfredsstillende resultat. Konservativ behandling i almen praksis vil i mange tilfælde være sufficient. Ved manglende effekt af denne kan der henvises til ortopædkirurgi.



KORRESPONDANCE: Nicoline Kirk Bro. E-mail: Nicbro@dadlnet.dk
ANTAGET: 30. november 2020
PUBLICERET PÅ UGESKRIFTET.DK: 18. januar 2021
INTERESSEKONFLIKTER: ingen. Forfatternes ICMJE-formularer er tilgængelige sammen med artiklen på Ugeskriftet.dk
LITTERATUR: Findes i artiklen publiceret på Ugeskriftet.dk

Summary

Diagnosing and treating hallux rigidus

Nicoline Kirk Bro, Jeppe Lange & Jesper F. Kabel

Ugeskr Læger 2021;183:V08200627


This review summarises the present knowledge of diagnosing and treating hallux rigidus in Denmark. Hallux rigidus is a degenerative disease of the first metatarsophalangeal joint. The pathology of the joint can be visualised on standing radiograph of the foot. If conservative treatment measures fail to provide adequate pain relief, surgery will be an option for most patients. Several procedures are adequate for the treatment of hallux rigidus, and especially surgery show good or excellent results for most patients.

Referencer

Litteratur

  1. Bergin SM, Munteanu SE, Zammit GV et al. Impact of first metatarsophalangeal joint osteoarthritis on health-related quality of life. Arthritis Care Res (Hoboken) 2012;64:1691-8.

  2. Zammit GV, Menz HB, Munteanu SE et al. Plantar pressure distribution in older people with osteoarthritis of the first metatarsophalangeal joint (hallux limitus/rigidus). J Orthop Res 2008;26:1665-9.

  3. Roddy E, Thomas MJ, Marshall M et al. The population prevalence of symptomatic radiographic foot osteoarthritis in community-dwelling older adults: cross-sectional findings from the clinical assessment study of the foot. Ann Rheum Dis 2015;74:156-63.

  4. Smith RW, Katchis SD, Ayson LC. Outcomes in hallux rigidus patients treated nonoperatively: a long-term follow-up study. Foot Ankle Int 2000;21;906-13.

  5. Coughlin MJ, Shurnas PS. Hallux rigidus: demographics, etiology, and radiographic assessment. Foot Ankle Int 2003;24:731-43.

  6. Roddy E, Zhang W, Doherty M. Are joints affected by gout also affected by osteoarthritis? Ann Rheum Dis 2007;66:1374-7.

  7. Shereff MJ, Bejjani FJ, Kummer FJ. Kinematics of the first metatarsophalangeal joint. J Bone Joint Surg Am 1986;68:392-8.

  8. Coughlin MJ, Shurnas PS. Hallux rigidus. Grading and long-term results of operative treatment. J Bone Joint Surg Am 2003;85:2072-88.

  9. Shurnas PS. Hallux rigidus: etiology, biomechanics, and nonoperative treatment. Foot Ankle Clin 2009;14:1-8.

  10. Shereff MJ, Baumhauer JF. Hallux rigidus and osteoarthrosis of the first metatarsophalangeal joint. J Bone Joint Surg Am 1998;80:898-908.

  11. Brantingham JW, Bonnefin D, Perle SM et al. Manipulative therapy for lower extremity conditions: update of a literature review. J Manipulative Physiol Ther 2012;35:127-66.

  12. Brantingham JW, Globe G, Pollard H et al. Manipulative therapy for lower extremity conditions: expansion of literature review. J Manipulative Physiol Ther 2009;32:53-71.

  13. Shamus J, Shamus E, Gugel RN et al. The effect of sesamoid mobilization, flexor hallucis strengthening, and gait training on reducing pain and restoring function in individuals with hallux limitus: a clinical trial. J Orthop Sports Phys Ther 2004;34:368-76.

  14. Deland JT, Williams BR. Surgical management of hallux rigidus. J Am Acad Orthop Surg 2012;20:347-58.

  15. Menz HB, Auhl M, Tan JM et al. Predictors of response to prefabricated foot orthoses or rocker-sole footwear in individuals with first metatarsophalangeal joint osteoarthritis. BMC Musculoskelet Disord 2017;18;185.

  16. Bekendtgørelse om hjælp til anskaffelse af hjælpemidler og forbrugsgoder efter serviceloven. https://www.retsinformation.dk/eli/lta/2017/1247 (30. aug 2020).

  17. Nicolosi N, Hehemann C, Connors J et al. Long-term follow-up of the cheilectomy for degenerative joint disease of the first metatarsophalangeal joint. J Foot Ankle Surg 2015;54:1010-20.

  18. Roukis TS. The need for surgical revision after isolated cheilectomy for hallux rigidus: a systematic review. J Foot Ankle Surg 2010;49:465-70.

  19. Gibson JN, Thomson CE. Arthrodesis or total joint replacement arthroplasty for hallux rigidus: a randomized controlled trial. Foot Ankle Int 2005;26;680-90.

  20. Korim MT, Mahadevan D, Ghosh A et al. Effect of joint pathology, surface preparation and fixation methods on union frequency after first metatarsophalangeal joint arthrodesis: a systematic review of the English literature. Foot Ankle Surg 2017:23:189-94.

  21. Brodsky JW, Baum BS, Pollo FE et al. Prospective gait analysis in patients with first metatarsophalangeal joint arthrodesis for hallux rigidus. Foot Ankle Int 2007;28:162-5.

  22. Park YH, Jung JH, Kang SH et al. implant arthroplasty versus arthrodesis for the treatment of advanced hallux rigidus: a meta-analysis of comparative studies. J Foot Ankle Surg 2019;58:137-43.

  23. Stevens J, de Bot RTAL, Hermus JPS et al. Clinical outcome following total joint replacement and arthrodesis for hallux rigidus: a systematic review. JBJS Rev 2017;5:e2.

  24. Perler AD, Nwosu V, Christie D et al. End-stage osteoarthrisis of the great toe/hallux rigidus: a review of the alternatives to arthrodesis: implant versus osteotomies and arthroplasty techniques. Clin Podiatr Med Surg 2013;30:351-95.

  25. Kofoed H, Danborg L, Grindsted J et al. The Rotoglide total replacement of the first metatarso-phalangeal joint. Foot Ankle Surg 2017;23:148-52.

  26. Shariff R, Myerson MS. The use of osteotomy in the management of hallux rigidus. Foot Ankle Clin 2015;20:493-502.

  27. Schneider W, Kadnar G, Kranzl A et al. Long-term results following Keller resection arthroplasty for hallux rigidus. Foot Ankle Int 2011;32:933-9.

  28. Roukis TS. Clinical outcomes after isolated periarticular osteotomies of the first metatarsal for hallux rigidus: a systematic review. J Foot Ankle Surg 2010;49:553-60.

  29. McNeil DS, Baumhauer JF, Glazebrook MA. Evidence-based analysis of the efficacy for operative treatment of hallux rigidus. Foot Ankle int 2013;34:15-32.

  30. Zammit GV, Menz HB, Munteanu SE et al. Interventions for treating osteoarthritis of the big toe joint. Cochrane Database Syst Rev 2010;8:CD007809.