Skip to main content

Diagnostik og behandling ved subaraknoidalblødning

Overlæge Jørgen Nepper-Rasmussen & overlæge, dr.med. Frank B. Gårskjær Odense Universitetshospital, Røntgendiagnostisk Afdeling og Neurokirurgisk Afdeling

28. sep. 2007
9 min.

Subaraknoidalblødning (SAH) karakteriseres ved blodig liquor cerebrospinalis. Blodet spredes via liquor til alle afsnit af hjernens ventikelsystem og det subaraknoidale rum, som omgiver hjernen og rygmarven. Sygdommen, der er livs- og førlighedstruende, viser sig først i form af hyperakut voldsom hovedpine, og i halvdelen af tilfældene indtræder der bevidsthedstab. Blødningen registreres i op mod 20% af tilfældene som pludseligt, uventet dødsfald. I Danmark er incidensen ca. 10 pr. 100.000. I mere end 85% af tilfældene skyldes blødningen et bristet aneurisme, i ca. 10% findes der en såkaldt benign perimesencefal blødning, som man formoder skyldes en bristet vene, og i de resterende tilfælde er der tale om mere sjældne lidelser, såsom arteriovenøse malformationer. I det følgende omtales kun blødning fra et aneurisme.

Ikkebristede aneurismer findes hos 1-5% af befolkningen. Dvs. at 50.000-250.000 danskere har et såkaldt »koldt« aneurisme, men årligt er det kun omkring 500, der får en SAH. Blødningsrisikoen er således mindre end 1% årligt [1]. Gennemsnitsalderen for dem, der rammes af en SAH, er omkring 50 år. Risikoen for blødning øges af en række parametre, hvoraf de vigtigste er hypertension og rygning. Risikoen for SAH er højere for kvinder end for mænd (2:1). Risikoen for blødning fra et aneurisme er også meget afhængig af aneurismets placering, konfiguration og størrelse. I aneurismer, der ligger proksimalt i kredsløbet, er der på grund af højere blodtryk større risiko for blødning end i perifere aneurismer. Uregelmæssige aneurismer med tyndvæggede udposninger bløder meget hyppigere end aneurismer med en regelmæssig og velafrundet geometri. Store aneurismer, som måske alene ved deres størrelse og placering giver neurologiske symptomer og udfald, bløder også hyppigere end »stumme« aneurismer. Der er muligvis en let familiær disposition, men egentlig familiær forekomst ses sjældent og mistænkes kun, hvis tre eller flere førstegradsslægtninge har blødt fra et aneurisme.

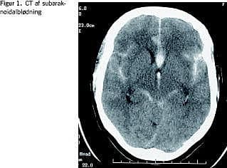
Diagnostik

Ved klinisk mistanke om SAH udføres der computertomografi (CT) af kraniet. Skanningen viser typisk blod i de basale cisterner, evt. bredende sig ud i fissura sylvii på en eller begge side(r). Ofte ses der gennembrud af blod til ventrikelsystemet og hæmatomer i subaraknoidalrummet eller hjerneparenkymet (Figur 1 ). CT'en vil ud over at stille diagnosen i en del tilfælde også kunne give et fingerpeg om aneurismets placering. En mere sikker viden om lokaliseringen kan opnås ved CT-angiografi. Magnetisk resonans-skanning vil sjældent være indiceret ved akut SAH, idet mindre blødninger kan overses, og patienterne kan have svært ved at medvirke i undersøgelsen. I de tilfælde, hvor man ikke finder blødning ved CT, bør der suppleres med lumbalpunktur for sikkert at be- eller afkræfte SAH.

For at påvise blødningskilden og planlægge en eventuel behandling foretages der konventionel arteriografi a.m. Seldinger med visuel fremstilling af alle kar. Undersøgelsen suppleres med tredimensional fremstilling af aneurismet, hvilket fortsat må anses for at være den bedste metode til afgørelse af behandlingsvalget. Rekonstruktionen er også nyttig i tilfælde af multiple aneurismer, som findes hos 20% af patienterne med SAH. Man kan således vurdere aneurismernes størrelse og konfiguration og sammenholde disse informationer med blødningens placering på CT'en. Dette giver den største sikkerhed for at behandle det aneurisme, der har blødt.

Behandling

Blødningen fra et bristet aneurisme stopper af sig selv efter få sekunder, men risikoen for ny blødning, som ofte vil være letal, er ca. 40% inden for de første uger [2]. Det er derfor vigtigt, at aneurismet lukkes hurtigst muligt enten ved operation med påsætning af en clips eller endovaskulært med oplægning platinspiraler (coils ).

Den første kirurgiske lukning af et aneurisme med clips blev foretaget i 1937 af Dandy . Denne behandlingsmetode var enerådende i over 50 år. I 1980'erne forsøgtes aneurismer lukket med ballon og senere forsøgtes med coils, som blev skubbet op i aneurismet gennem et kateter. Ulempen ved disse metoder var, at man ikke kunne omlægge fejlplaceret emboliseringsmateriale, ligesom der var stor risiko for perforation af aneurismet. I 1990 foretog Guglielmi & Viñuela den første endovaskulære behandling med afløselige coils . Metoden var revolutionerende, da den muliggjorde, at fejlplacerede coils kunne trækkes ud af aneurismet og omlægges. Herved mindskedes risikoen ved endovaskulær behandling betragteligt. Metoden er tidligere beskrevet detaljeret i Ugeskrift for Læger [3]. Behandlingen har vundet stor udbredelse, da den er mindre invasiv og dermed mere skånsom end den traditionelle kirurgiske behandling. Værdien af behandling med coils er dokumenteret i International Subarachnoid Aneurysm Trial (ISAT), hvor 2.143 patienter blev randomiseret til enten operation eller coi - embolisering. Studiet blev afsluttet i 2002, da der ved 12-måneders-opgørelsen blev fundet signifikant bedre resultater efter embolisering med coil ved. Risikoen for død eller alvorlige deficit blev reduceret fra 30,6% ved kirurgi til 23,7% ved coil -embolisering [4].

En af ulemperne ved den endovaskulære metode er, at der uger til måneder efter behandlingen kan ske en sammenpakning af coils , således at en del af aneurismet genåbnes. I et stort tysk materiale med 2.759 aneurismer behandlet over ti år [5] fandt man, at det var nødvendigt at foretage fornyet behandling i 12,3% af tilfældene.Der blev kun fundet reblødning i 31 tilfælde. Tallene i andre materialer svarer hertil. I ISAT fandt man en reblødningsrisiko efter et år på 0,2% pr. patientår. Selv om dette er lidt højere end i den opererede gruppe, er der fortsat bedre resultater for patienter, der er blevet behandlet endovaskulært, efter syv år, som er den periode, man foreløbig har opgørelse for [6].

Aneurismer med en meget bred hals har været vanskelige at behandle endovaskulært, da coils kan falde ud i moderkarret og påvirke flowet. I de senere år er der fremkommet flere metoder til afhjælpning af dette. Ved den såkaldte remodelleringsteknik placeres en ballon i karret, mens der lægges coils i aneurismet. Ballonen forhindrer, at c oils skubbes ud af aneurismet, idet de foldes op i et særligt mønster. Den nyeste metode er baseret på anlæggelse af intrakraniale nintinolstent. Disse stent er åbne, meget bøjelige og selvekspanderende, hvilket udnyttes, så de via de intrakraniale kar kan placeres ud for aneurismet. Herefter kan et mikrokateter med coils føres ud gennem maskehullerne i stenten (Figur 2 ). Metoden er meget anvendelig, og komplikationerne er få. Ud over at gøre embolisering mulig har anlæggelse af stent også vist sig at reducere risikoen for gendannelse af aneurismet [7].

Med disse metoder er det i dag muligt at behandle 90% af alle intrakraniale aneurismer endovaskulært. Den endovaskulære metode bør derfor i dag være førstevalg, og på afdelinger, hvor man behandler aneurismer, bør man derfor kunne tilbyde såvel kirurgi som endovaskulær behandling.

Komplikationer i forbindelse med subaraknoidalblødning

Den største komplikationsrisiko umiddelbart efter første blødning er reblødning. Patienter med SAH bør derfor, så snart diagnosen er stillet, overflyttes til en neurokirurgisk afdeling med henblik på den videre behandling. Det er generelt accepteret, at et aneurisme bør være behandlet inden 48 timer efter blødningen for at forhindre reblødning.

Ved SAH udvikles der hyppigt hydrocephalus enten på grund af defekt liquorresorption eller afløbshindrende koagler i ventrikelsystemet eller det subaraknoidale rum. Hvis patienter med hydrocephalus er bevidsthedspåvirkede vælger man oftest at anlægge eksternt dræn fra et forhorn. Dette er en rutinebehandling på alle neurokirurgiske afdelinger.

Den mest frygtede senkomplikation er vasospasmer, som typisk optræder 4-10 dage efter den primære blødning. Graden af vasospasmer er relateret til mængden af blod i subaraknoidalrummet, men ikke til behandlingsmetoden. Der er lige mange spasmer hos opererede og endovaskulært behandlede patienter. Vasospasmerne kan blive så kraftige, at blodflowet nedsættes i en sådan grad, at patienterne får infarkter. Man må være opmærksom på vasospasmer hos en patient med fluktuerende bevidsthed og neurologiske udfald. Diagnosen kan underbygges med transkranial Doppler og bekræftes endeligt ved arteriografi (Figur 3 ).

Behandlingen af vasospasmer har været omdiskuteret. Man har i flere år anvendt såkaldt tripel-H (induceret hypertension, hypervolæmi og hemodilution). Metoden savner videnskabelig evidens. Man har derfor gennem de seneste år søgt at finde farmaka, som kan påvirke vasospasmerne. Det mest anvendte i dag er nimodipin, som er en calciumantagonist, der direkte påvirker karvæggen. Endovaskulært kan man anvende dilatation af spastiske kar med ballon. Metoden kan kun anvendes på store kar, da der er betydelig risiko for perforation, når man fører en ballon ud i små kar og dilaterer her. Mekanisk dilatation har imidlertid den fordel, at spasmerne sprænges og ikke gendannes. En kombination af dilatation af de proksimale kar og intraarteriel nimodipin som bolus efterfulgt af intravenøs vedligeholdelse har imidlertid vist sig at være en lovende og effektiv ny behandling [8, 9].

Costbenefit

Selv om udgifterne til engangsmaterialer ved den endovaskulære behandling umiddelbart er dyrere end operation, har økonomiske beregninger ikke vist sikker forskel på de to metoder. Det skyldes dels den kortere indlæggelse og mindre behov for rehabilitering efter endovaskulær behandling, og dels at flere patienter var selvhjulpne efter embolisering [10]. I ISAT fandt man også en signifikant større reduktion i antallet af patienter med epilepsi efter endovaskulær behandling end efter operation [6].


Jørgen Nepper-Rasmussen , Røntgendiagnostisk Afdeling, Odense Universitetshospital, DK-5000 Odense C.
E-mail: joergen.nepper-rasmussen@ouh.regionsyddanmark.dk

Antaget: 8. marts 2007

Interessekonflikter: Ingen angivet

Summary

Summary Diagnosis and treatment of subarachnoid hemorrhage: Ugeskr Læger 2007;169(40):3386-3388 The rupture of an intracranial aneurysm causing subarachnoid hemorrhage (SAH) has an incidence of 10 per 100,000 in Denmark. The diagnosis is confirmed on CT-scan which shows blood in the subarachnoid space. Formerly, rebleeding was prevented by surgical application of clips. However, at present endovascular embolisation with coils has become the standard treatment. The endovascular methods have improved so much during the last 10 years that some 90% of all aneurysms can currently be secured by using endovascular methods. Vasospasms which are often a most serious complication to SAH can be treated effectively with endovascular methods.

Referencer

  1. The International Study of Unruptured Intercaranial Aneurysms. Aneurysms Investigators. Unruptured intracranial aneurysms - risk of rupture and risks of surgical intervention. N Engl J Med 1998;339:1725-33.
  2. Nepper-Rasmussen J, Gårskjær FG: Endovaskulær behandling af intrakranielle sygdomme. Ugeskr Læger 2004;166:816-7
  3. Nepper-Rasmussen HJ, Bjerre PK, Andersen PB. Endovaskulær lukning af intrakranielle sakkulate aneurismer med Guglielmi Detachable Coil. Ugeskr Læger 1997;159:1423-8.
  4. Molyneux A, Kerr R, Stratton I et al. (Writing committee). International Subarachnoid Aneurysm Trial (ISAT) of neurosurgical clipping versus endovascular coiling in 2143 patients with ruptured intracranial aneurysms: a randomised trial. Lancet 2002;360:1267-74.
  5. Henkes H, Fisher S, Liebig T. Repeated endovascular coil occlusion in 350 of 2759 intracranial aneurysms: safety and effectiveness aspects. Neurosurgery 2006;58:224-32.
  6. Molyneux A, Kerr R, Yu L-M et al. International Subarachnoid Aneurysm Trial (ISAT) of neurosurgical clipping versus endovascular coiling in 2143 patients with ruptured intracranial aneurysms: a randomised comparison of effects on survival, dependency, seizures, rebleeding, subgroups, and aneurysm occlusion. Lancet 2005;366:809-17.
  7. Fiorella D, Albeuquerque F, Deshmukh V et al. Usefulness of the neuroform stent for the treatment of cerebral aneurysms: result at initial (3-6 mo) follow-up. Neurosurgery 2005;56: 1191-202.
  8. Zwienenberg M, Hartman J, Rudisill N et al. Endovascular management of cerebral vasospasm. Neurosurgery 2006;59:139-47.
  9. Biondi A, Ricciardi G, Puybasset L. Intraarterial nimodipine for the treatment of symptomatic cerebral vasospasm after aneurysmal subarachnoid hemorrhage. Am J Neuroradiology 2004;25:1067-76.
  10. Javadpour M, Jain H, WallaceM et al. Analysis of cost related to clinical and angiographic outcomes of aneurysm patients enrolled in the International Subarachnoid Aneurysm Trial in a North American Setting. Neurosurgery 2005;56:886-94.