Skip to main content

Diagnostik ved infektionssygdomme

Henrik Permin & Niels Høiby

2. nov. 2005
2 min.

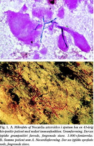
Nocardia er forgrenede, langsomt voksende, aerobe grampositive bakterier (Fig. 1 ). Nocardia findes overalt i vores omgivelser som saprofytter i vand, jord og støv, og de er en opportunistisk patogen for mennesket. Infektioner hos mennesker skyldes ofte en direkte inokulation af huden eller inhalation. Infektioner ses specielt hos immunkompromitterede patienter, såsom alkoholister og patienter med diabetes mellitus, cystisk fibrose og hiv-smitte. Nocardia -infektioner er beskrevet hos onkologiske og transplanterede patienter, hvor smittevejen sandsynligvis er inhalation af kontamineret støv.

Infektioner med Nocardia ses som mukokutane infektioner, lungesymptomer og systemisk som CNS-sygdom. Hudinfektioner kan være mindre, overfladiske hudinfektioner, der ligner insektstik, eller større sår. De pulmonale infektioner er pneumoni (Fig. 1. A), lungeabsces, evt. med kavitetsdannelse (ligner TB) og empyem. CNS-infektioner - hæmatogen spredning - er ofte snigende og kan ligne maligne lidelser med almensymptomer som træthed, vægttab, hovedpine og et bredt spektrum af neurologiske og psykiatriske forstyrrelser. De viser sig som fokale granulomer/abscesser i hjernen og sjældent som meningitis.

Diagnostik

Mikroskopi: grampositive med forgrenede stave (Fig. 1), som er svagt syrefaste (røde), oftest affarvning med fx 5% svovlsyre, mens de affarves med den almindelige Ziehl-Neelsen-farvning (25% svovlsyre). De skal dyrkes aerobt i mindst fem dage, da de vokser langsomt.

Behandling

Behandlingen af Nocardia-infektion er antibiotika og eventuelt kirurgisk drænage. Sulfamethoxazol + trimethoprim (5-10 mg/kg/døgn fordelt på fire doser af en varighed fra 2-3 måneder i lettere tilfælde til et år i sværere tilfælde hos immunkompromitterede patienter).

Ved sulfaallergi kan der anvendes amoxicillin og fucidin, som bakterier ofte er følsomme for.



Reprints not available. Correspondence: Henrik Permin, epidemiklinikken M5132, H:S Rigshospitalet, DK-2100 København Ø.

E-mail: rh01813rh.dk.

Antaget den 15. november 2001.

H:S Rigshospitalet, Finsencentret, epidemiklinikken M og klinisk mikrobiologisk afdeling.