Skip to main content

Diagnostiske udfordringer under udredning af kranial osteonekrose

Jesper Roed Sørensen1, Anne Pernille Hermann2 & Peter Darling1

20. apr. 2015
4 min.

Opladninger i kraniet kan være svære at udrede pga. mange relevante differentialdiagnoser. Her bringes en kasuistik om en 81-årig mand, som var igennem et kompliceret og langvarigt udredningsforløb som følge af opladninger i kraniet, hvilket endte diagnostisk uafklaret.

SYGEHISTORIE

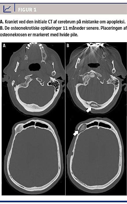
En 81-årig mand blev set i sommeren 2014 efter et langvarigt, svært kompliceret udredningsforløb for hovedpine og senere fisteldannelse flere steder i ansigtet og kraniet. Han var i øvrigt rask fraset prostatacancer i tidligt stadium, som blev fulgt med watchfull waiting. Han havde et prostataspecifikt antigenniveau på 27 ng/ml.

Følgende var gået forud: I maj 2013 fik patienten svær hovedpine og efter afkræftet apopleksimistanke ud fra CT og MR-skanning af cerebrum samt klinisk undersøgelse påbegyndte han højdosisprednisolonbehandling på mistanke om arteritis temporale (negativ biopsi). Behandlingen fortsatte i tre en halv måned. Et par måneder senere recidiverede hovedpinen, men nu med ændret karakter. I forbindelse med et udredningsprogram blev der foretaget knoglescintigrafi og PET-CT på mistanke om metastaser fra prostatacanceren. Herved fandt man opladning flere steder i kraniet (frontalt og occipitalt) samt i lymfeknuder på halsen og fra colon sigmoideum. Der blev foretaget glandeleksstipation fra halsen, og man fandt kronisk inflammation. Derefter blev der foretaget excision af en occipital bløddelstumor og af processen i den occipitale kortikale knogle. Knogleprocessen var grålig og henflydende med nekrotisk væv, der var dårligt afgrænset fra omgivelserne. Det histologiske svar fra undersøgelse af både bløddelstumoren og processen i den occipitale knogle var ligeledes kronisk inflammation uden mistanke om langerhansk celle-histiocytose, myelomatose eller anden malignitet. Alle dyrkninger fra kranieprocessen var uden vækst. Opladningen i colon sigmoideum var fra en T3N0M0-coloncancer, som efterfølgende blev opereret radikalt.

I efterforløbet dannedes der fistler omkring cikatricen og over højre øje, hvorfra der aldrig var biopteret. Patienten havde da haft generende kraniesmerter i 11 måneder og undervejs fået foretaget tre MR-skanninger af cerebrum, to CT’er af cerebrum, en knoglescintigrafi og en PET-CT, som alle viste progredierende osteolytisk osteonekrose flere steder i kraniet (Figur 1). Ydermere var der foretaget flere CT’er af thorax-abdomen og UL-skanning af abdomen, hvor man fandt normale forhold fraset den kendte coloncancer. Mistanken om metastasering fra hhv. prostatacanceren og coloncanceren ansås for at være afkræftet i kraft af de tre negative patologisvar. Behandlingsmæssigt valgte man en afventende strategi, da patientens gener kom fra fistelsekretionen. Hovedpinen var nu sparsom og aftagende, og der var en fortsat bedring i almentilstanden. Andre differentialdiagnoser var derfor aktuelle, herunder specielt prednisolonudløst aseptisk osteonekrose, overset malignitet, morbus Paget, aseptisk osteomyelitis og mange flere.

DISKUSSION

Der findes mange differentialdiagnoser til osteonekrose (Tabel 1). Højdosissteroidbehandling, som patienten fik i forbindelse med mistanken om arteritis temporale er kendt for at kunne medføre avaskulær osteonekrose [1]. Lidelsen findes ofte i de vægtbærende knogler med præference for specielt hofteleddet, hvorfor en fremkomst i kraniet ville være sjælden [2]. Steroidinduceret osteonekrose fører til trabekulær kollaps af den spongiøse knoglestruktur [3]. Dette stemmer ikke overens med patientens kranieopklaringer, da disse var af ekspansiv karakter (Figur 1).

Opladninger af ekspansiv karakter ses ofte i forbindelse med metastasering til kraniet. Metastaser ansås ikke fortsat som en oplagt mulighed hos patienten i sygehistorien, da hans almentilstand konstant bedredes, og de mange billeddiagnostiske undersøgelser og patologsvar ikke tydede herpå. Kronisk infektion var ligeledes oplagt, men dyrkninger flere gange fra processen og fra fistelsekretionen var alle uden vækst. Aseptisk osteomyelitis er kun beskrevet hos børn og unge og primært i mandiblen [4].

Alternativt kunne man overveje medicinske lidelser, herunder morbus Paget [5]. Patienten havde dog alene let eleveret basisk fosfatase på 110-140 E/l, og en billeddiagnostisk undersøgelse viste ikke fortætning af den kortikale knogle. Denne diagnose var derfor heller ikke oplagt.

Samlet var patienten derfor efter et års udredning med alt 475 lægekontakter i sundhedsvæsenet fortsat diagnostisk uafklaret, og kranieprocesserne blev antaget for at være idiopatisk osteonekrose. I kraft af patientens fortsatte bedring i almentilstanden til nær sin habitualtilstand valgte man derfor ikke at forfølge de kraniale opladninger yderligere.

Korrespondance: Jesper Roed Sørensen, Øre-, næse- og halskirurgisk Afdeling, Odense Universitetshospital, Sdr. Boulevard 29, 5000 Odense C. E-mail: jesper.roed.sorensen@rsyd.dk

Antaget: 29. januar 2015

Publiceret på Ugeskriftet.dk: 20. april 2015

Interessekonflikter: ingen. Forfatternes ICMJE-formularer er tilgængelige sammen med artiklen på Ugeskriftet.dk

Summary

Diagnostic challenges during cranial osteonecrosis elucidation

This is a case report of an 81-year-old male with severe headaches caused by osteonecrotic lesions in the frontotemporal part of the skull. Initially, metastatic lesions were suspected but other causes had to be identified because of chronic inflammation evidence in all biopsies. In the diagnostic process a discussion of missed malignancy, morbus Paget and steroid induced avascular necrosis are presented.

Referencer

LITTERATUR

  1. Seguro LP, Rosario C, Shoenfeld Y. Long-term complications of past glucocorticoid use. Autoimmun Rev 2013;12:629-32.

  2. Dilisio MF. Osteonecrosis following short-term low-dose oral corticosteroids: a population-based study of 24 million patients. Orthopedics 2014;37:e631-e636.

  3. Weinstein RS. Glucocorticoid-induced osteonecrosis. Endocrine 2012;41:183-90.

  4. Khanna G, Sato TS, Ferguson P. Imaging of chronic recurrent multifocal osteomyelitis. Radiographics 2009;29:1159-77.

  5. Bolland MJ, Cundy T. Paget’s disease of bone: clinical review and update. J Clin Pathol 2013;66:924-7.