Dissektion af truncus coeliacus


Stine Kjærsgaard Hansen1, Kasper Mørk1, Olga Tcacenco2 & Lars Vinter-Jensen1
Dissektion af truncus (tr.) coeliacus er en sjælden erkendt tilstand med symptomatologi fra asymptomatisk til tilstande med anæmi, diarré og opkastninger eller svære tilfælde med akut abdomen. Diagnosen stilles ved CT. Ved manglende diagnostik er der risiko for arteriel okklusion ledende til organiskæmi eller ruptur af karret [1]. Risikofaktorer er mandligt køn, arteriosklerose, hypertension, rygning, overvægt, graviditet, vaskulitis, bindevævssygdomme, traume, tidligere operative abdominale indgreb og øget intraabdominalt tryk [1, 2].
Her præsenteres to sygehistorier med dissektion af tr. coeliacus videre ud i a. lienalis med miltinfarkt. Det ene tilfælde opstod ved øgning af det intraabdominale tryk og det andet havde association til opstart af methylphenidat.
I Hos en 43-årig mand, som var diagnosticeret med hæmokromatose og morbus Crohn og var velbehandlet på azathioprin, opstod der under defækation akutte svære øvre abdominale smerter.
Ved indlæggelse var han direkte øm i øvre abdomen, blodtrykket (BT) var på 130/79 mmHg, og pulsen var på 60 slag/min. Blodprøverne var først normale, men efter to dage var CRP-niveauet på 241 mg/l og alanintransaminase (ALAT)-niveauet på 200 U/l. En CT af abdomen viste et stort miltinfarkt og et mindre leverinfarkt i segment 6. Der var perifokalt fortætning omkring tr. coeliacus og a. hepatica communis med udtalt stenosering af tr. coeliacus. Ved PET/CT blev der påvist trombose af a. lienalis, og man havde primært mistanke om vaskulitis. Kontrol-CT efter to uger fastslog diagnosen dissektion af tr. coeliacus og videre ud i a. lienalis. Kontrol-CT efter 6 mdr. viste en pseudocyste i milten.
Patienten blev behandlet med prednisolon og tinzaparin og skiftede efter fire uger til acetylsalicylsyre.
II En 39-årig mand med ADHD fik akutte nedre venstresidige abdominale smerter syv dage efter påbegyndt behandling med methylphenidat. Han blev hjemsendt og indlagt efter tre dage pga. forværring.
Objektivt var han direkte øm i venstre flanke og venstre nedre kvadrant af abdomen. BT var på 166/103 mmHg og pulsen på 81 slag/min. Der var normal biokemi ved første henvendelse, og ved indlæggelsen var CRP-niveauet på 121 mg/l og ALAT-niveauet på 72 U/l.
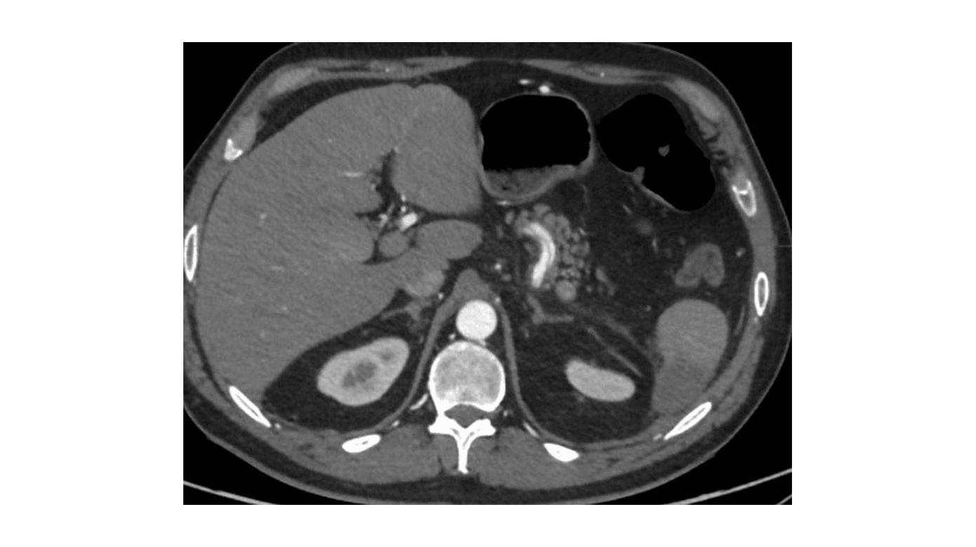
En CT af abdomen og en CT-angiografi viste miltinfarkt og dissektion i tr. coeliacus videre ud i a. hepatica communis og a. lienalis med trombe (Figur 1). En kontrol-CT efter fire dage viste uændrede forhold.
Initialt blev han behandlet med tinzaparin, og ved udskrivelsen skiftede man til acetylsalicylsyre. Der blev påbegyndt behandling med amlodipin og ramipril mhp. blodtrykskontrol < 130 mmHg systolisk. Patienten stoppede med methylphenidatbehandling ved smertedebut.
I begge tilfælde var der tale om patienter af mandligt køn og ikkerygere.
Patienten i sygehistorie I var diagnosticeret med morbus Crohn, og der er i litteraturen beskrevet association mellem systemiske inflammatoriske sygdomme og spontan koronarkardissektion [3]. Patienten havde ikke haft sygdomsaktivitet i morbus Crohn i over 15 år. Det fremstår mere sandsynligt, at dissektionen opstod ved øgning af det intraabdominale tryk i forbindelse med defækation.
Patienten i sygehistorie II var let overvægtig og havde en ikkeerkendt hypertension. Tilfældet opstod en uge efter påbegyndelse af methylphenidatbehandling, og der kunne være mistanke om en sammenhæng. Der er beskrevet dissektion i koronarkar hos et barn tre dage efter start af methylphenidatbehandling [4]. Methylphenidat har en virkningsmekanisme, der ligner amphetamins, og der er i forbindelse med amphetaminbrug beskrevet dissektioner i koronararterier, aorta og ekstracerebrale arterier. Det må formodes, at det er øget arterielt tryk induceret af disse stoffer, der er medvirkende til dissektioner.
Der findes ingen fast behandlingsalgoritme for dissektion af tr. coeliacus, ej heller i kombination med miltinfarkt. Konservativ behandling er ofte den initiale behandling og omfatter antikoagulerende behandling, smertebehandling og antihypertensiv behandling [5]. Indikationen for endovaskulær terapi er cirkulatoriske ustabile patienter eller manglende effekt af konservativ behandling [1, 5]. I begge tilfælde blev patienterne konservativt behandlet først med lavmolekylært heparin og efterfølgende acetylsalicylsyre. Der er risiko for miltblødning ved miltinfarkter. Brugen af lavmolekylært heparin tidligt i forløbet kunne have kompliceret en miltblødning. Imidlertid skønnedes den mulige gevinst i form af hæmning af yderligere trombosering større end risikoen for forværring af en blødning [1]. Vi så ingen komplikationer i forbindelse med hverken behandlingen med lavmolekylært heparin eller acetylsalicylsyre.
Ambulant opfølgning inkluderede vaccination mod pneumokokker grundet risiko for hyposplenisme og kontrol-CT. Dette hviler på de 43 beskrevne cases i litteraturen [2] samt erfaring fra den hyppigere dissektion af a. mesenterica superior.
Korrespondance Stine Kjærsgaard Hansen. E-mail: stine.hansen@rn.dk
Antaget 16. november 2023
Publiceret på ugeskriftet.dk 7. januar 2024
Interessekonflikter ingen. Forfatternes ICMJE-formularer er tilgængelige sammen med artiklen på ugeskriftet.dk
Referencer findes i artiklen publiceret på ugeskriftet.dk
Artikelreference Ugeskr Læger 2024;186:V07230468
Open Access under Creative Commons License CC BY-NC-ND 4.0
Stine Kjærsgaard Hansen, Kasper Mørk, Olga Tcacenco & Lars Vinter-Jensen
Ugeskr Læger 2024;186:V07230468
This is a case report of two men aged 39 and 43 years with dissection of the coeliac trunk involving the splenic arteries causing splenic infarction. One case was associated with an increase in abdominal pressure during defaecation and the other occurred during treatment with methylphenidate. Based on the published 43 cases, risk factors include male sex, increased intraabdominal pressure or increased vascular pressure. Methylphenidate most likely increased the blood pressure, and dissections of other arteries have been described during treatment with this and the similar drug amphetamine.