Eksostose ved den indre øregang


Torgerð Hentze Eliesersdóttir1, Martina Kuga2, Nataliya Cheshenko3 & Agnieszka Monika Delekta1, 2
Eksostose ved den indre øregang (IAC) er en godartet, sjælden og som regel langsomt voksende læsion. Bilaterale læsioner ses endnu sjældnere.
Den hyppigste lokalisation af disse temporale knoglelæsioner er mastoid cortex og den ydre øregang [1].
Vi vil præsentere en sjælden kasuistik med en patient med venstresidig anakusi og svært højresidigt perceptivt høretab, hvor der med billediagnostisk udredning med CT og MR-skanning er fundet eksostose i IAC bilateralt. Patienten havde stort progressivt perceptivt høretab, men ingen andre kliniske symptomer.
SYGEHISTORIE
Patienten var en 45-årig kvinde, som siden barndommen havde haft progressivt perceptivt høretab på venstre side, som havde udviklet sig til anakusi. Senere fik patienten også svært højresidigt perceptivt høretab. Patienten havde ikke haft andre symptomer og blev behandlet bilateralt med høreapparat.
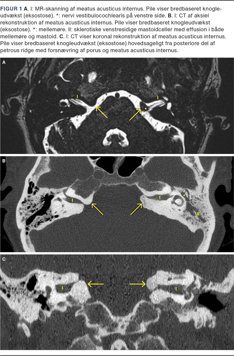
Som fireårig havde patienten haft et faldtraume, hvor hun fik kraniebrud og lå i respirator gennem noget tid. Patienten havde sequelae i form af hjerneskade og muligvis epilepsi som følge heraf. Der forelå ingen billeddiagnostik fra patientens barndom. I forbindelse med udredning af det perceptive asymmetriske høretab blev der foretaget MR-skanning, som viste bredbaseret knogleudvækst hovedsageligt fra den posteriore del af petrous ridge med forsnævring af IAC (Figur 1 A), hvor der sås masseeffekt og kontakt med nervus vestibulocholeraris på begge sider. Cochlea og buesystem sås normale bilateralt.
Supplerende CT af os temporale havde vist IAC-eksostose på begge sider (Figur 1 B + C) samt delvist sklerotiske venstresidige mastoidceller (II) med effusion i både mellemøre og mastoid.
Der var ikke blevet påvist neoplastiske processer eller fraktursequelae.
Det kunne ikke med sikkerhed vurderes, om det var eksotose, som var årsag til patientens anakusi.
Radiologiske fund kan differentiere eksostose fra osteom af IAC. IAC-eksostose kan skelnes fra osteom ved tilstedeværelse af knoglemarv (på CT eller MR-skanning) eller af fibrovaskulære kanaler (histologisk) [2].
Et osteom er en langsomt voksende osseøs tumor og ses typisk med solide, pedunkulerede læsioner, som forgrener sig ind i IAC, i modsætning til en eksostose, som er en glat afgrænset, bredbaseret knoglevækst i forlængelse af selve kanalen [3].
I praksis bliver de fleste tilfælde af IAC-eksostoser og osteomer ikke behandlet kirurgisk, og de er ikke let tilgængelige til en biopsi. Derfor foreligger der ikke meget histologisk materiale.
Billeddiagnostik med CT og MR-skanning er derfor afgørende for at kunne differentiere mellem forskellige knoglelæsioner ved IAC som eksostose, osteom, osteosklerose, Paget sygdom og Camurati-Engelmanns sygdom [4].
Behandlingen af en IAC-eksostose er afhængig af graden af symptomer, som opstår i forbindelse med nervekompressionen. Symptomerne kan være høretab, vertigo, tinnitus eller ansigtslammelse [5].
Korrespondance Torgerð Hentze Eliesersdóttir. E-mail: t.eliesersdottir@rn.dk, torgerd_84@hotmail.com
Antaget 10. marts 2025
Publiceret på ugeskriftet.dk 2. juni 2025
Interessekonflikter ingen. Forfatternes ICMJE-formularer er tilgængelige sammen med artiklen på ugeskriftet.dk
Referencer findes i artiklen publiceret på ugeskriftet.dk
Artikelreference Ugeskr Læger 2025;187:V08240513
doi 10.61409/V08240513
Open Access under Creative Commons License CC BY-NC-ND 4.0
Exostosis of the IAC is a rare finding that may present with disabling symptoms of dizziness, hearing loss, and vestibular dysfunction. Exostosis can often be confused with IAC osteomas. The purpose of this case report is to discuss the presentation of a patient who presented with this finding. Diagnosis can be delayed and confused with other, more common pathologies. Imaging is fundamental in arriving at a correct diagnosis. Treatment of exostosis of the internal auditory canal depends on the severity of symptoms and the extent of cranial nerve compression.