Skip to main content

Ektopisk thyroideavæv med primært karcinom

Pernille Hammershøj Jensen1, Anette Pedersen Pilt2 & Hans-Erik Wittendorff1

20. mar. 2017
4 min.

Thyroideacancer opstår i 99% af alle tilfælde i glandula thyroidea. I sjældne tilfælde kan et thyroideakarcinom udgå fra ektopisk parenkym. Ektopisk thyroideaparenkym er sjældent med en incidens på 1/100.000-300.000 [1, 2]. I litteraturen er der beskrevet enkelte tilfælde af et primært karcinom i ektopisk thyreoideaparenkym hos eutyroide patienter. Risikoen for malignitetsudvikling er under 1%.

90% af alle ektopiske thyroideakarcinomer findes lingvalt, men er også beskrevet i øsofagus, hjerte, duodenom og pancreas. De ses hyppigst hos kvinder (70%) [1]. Vi beskriver her et af disse sjældne tilfælde.

SYGEHISTORIE

En 76-årig tidligere rask mand med nydiagnosticeret prostatacancer, Gleason-score 7 (4 + 3), fik foretaget CT-urografi på grund af makroskopisk hæmaturi. CT’en viste normale øvre urinveje, en lobuleret forstørret lever med en hypodens forandring og en kontrastopladende velafgrænset 2 cm lang proces beliggende prævesikalt i tæt relation til blærens højre side. Der blev foretaget robotassisteret laparoskopisk resektion af tumoren ved blæren i forbindelse med en udvidet iliakal lymfadenektomi som led i stadiebestemmelse af patientens prostatacancer. Der blev foretaget en UL-skanning af leveren, hvorved man fik mistanke om metastase eller absces, yderligere udredning blev ikke foretaget primært, idet man valgte at afvente den planlagte behandling med radioaktivt jod.

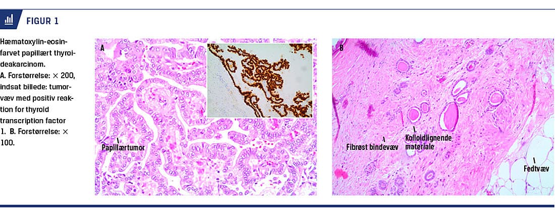
Tumoren ved blæren var lipomlignende, målte 45 mm og havde et centralt 17 mm stort fast område med blødning. Histologiske snit herfra viste papillærtumor (Figur 1). Tumorcellerne var runde, og nogle havde opklaring intranukleært. Den mest oplagte diagnose var metastase fra patientens prostatacancer, men immunhistokemiske farvninger med prostatamarkørerne PSA og P501s var negative. Der var reaktion for markører, der kunne være positive i thyroideavæv (cytokeratin 7 og 19, paired box 8 og 2, sal-like protein 4, thyroid transcription factor 1 samt vimentin) (Figur 1). Der var fokal positiv reaktion for tyroglubulin, thyroideaperoxidase og cancerantigen 125. Omkring tumoren var der en fibrøs pseudokapsel, og i denne var der små kirtelstrukturer beklædt med kubisk epitel og luminalt kolloidlignende materiale (Figur 1B), disse celler havde næsten samme immunhistokemiske profil som den
papillære tumor. En mistanke om teratom med somatisk malignitet blev afvist på grund af negativt resultat ved en fluorescens in situ-hybridisering-analyse for kromosom 12p og 12i og på grund af tumorens lokalisation. Vævet blev undersøgt på to forskellige patologiafdelinger, og konklusionen blev papillært thyroideakarcinom, enten som metastase eller opstået i ektopisk thyroideavæv. Der blev ikke fundet metastaser i lymfeknuderne, hverken fra patientens prostatacancer eller thyroideakarcinomet. Klinisk var patienten eutyroid. Der blev foretaget thyroideascintigrafi, som ikke gav mistanke om malignitet i glandula thyreoidea. Patienten fik foretaget total tyroidektomi. En histologisk undersøgelse viste normalt thyroideavæv uden tegn på malignitet. Patienten blev sat i behandling med radioaktivt jod (I-131). Der blev i den forbindelse foretaget jodscintigrafi, og svarende til processen i leveren fandt man radioaktivt optag, der var foreneligt med metastasering fra patientens ektopiske thyroideakarcinom. En uge efter behandlingen med radioaktiv jod fik patienten foretaget kontrolhelkropsscintigrafi, uden at der blev påvist øget aktivitetsoptagelse. Efterfølgende fik han kurativt intenderet strålebehandling for sin
prostatacancer.

DISKUSSION

Ektopisk thyroideakarcinom er en sjælden tilstand og kan derfor være en diagnostisk udfordring. 90% af alle ektopiske thyreoideakarcinomer findes lingvalt [1].
I litteraturen er der desuden beskrevet ektopisk thyroideavæv i relation til øsofagus, hjerte, aorta, duodenum og mediastinum [3]. Malign transformation af ektopisk thyroideavæv til karcinom er sjælden (< 1%). Den hyppigste form er papillært karcinom, som forekommer i 70% af tilfældene [1, 4]. Behandlingen er kirurgisk resektion og adjuverende behandling med radioaktivt jod. Papillært thyroideakarcinom har som udgangspunkt en god prognose.

Det er i litteraturen beskrevet, at det kan være svært at afgøre, om malign transformation i ektopisk thyroideavæv er metastase fra en primær thyroideacancer
eller et karcinom opstået i ektopisk thyroideaparenkym [5]. Hos patienten i sygehistorien var lokalisationen meget usædvanlig, og den histopatologiske diagnose var vanskelig med deraf følgende forsinkelse af den endelige diagnose og behandling.

Korrespondance: Pernille Hammershøj Jensen.
E-mail: hammershoej7913@gmail.com

Antaget: 18. januar 2017

Publiceret på Ugeskriftet.dk: 20. marts 2017

Interessekonflikter: ingen.

Summary

Ectopic thyroid tissue with a primary carcinoma

Ectopic thyroid tissue is a result of abnormal embryologic development and migration of the thyroid gland. It has a prevalence of one per 100,000-300,000, and the risk of malignant transformation in ectopic thyroid tissue is rare. We present a rare case of perivesical ectopic papillary thyroid carcinoma in a 76-year-old man with a normal orthotopic thyroid gland. A total thyroidectomy was performed, and the pathology report showed normal thyroid tissue with no neoplastic involvement. The patient was treated with radioactive iodine, and a control scintigraphy was without any signs of activity.

Referencer

Litteratur

  1. Santangelo G, Pellino G, De Falco N et al. Prevalence, diagnosis and management of ectopic thyroid glands. Int J Surg 2016;28(suppl 1):S1-S6.

  2. Sevinc AI, Unek T, Canda AE et al. Papillary carcinoma arising in subhyoid ectopic thyroid gland with no orthotopic thyroid tissue. Am J Surg 2010;200:e17-e18.

  3. Lianos G, Bali C, Tatsis V et al. Ectopic thyroid carcinoma. G Chir 2013;
    34:114-6.

  4. He B, Li P, Yang K et al. Ectopic thyroid tissue surrounding the right
    laryngeal nerve: a case report. Int J Clin Exp Pathol 2014;7:5313-8.

  5. Shafiee S, Sadrizade A, Jafarian A et al. Ectopic papillary thyroid carcinoma in the mediastinum without any tumoral involvement in the thyroid gland. Asia Ocean J Nucl Med Biol 2013;1:44-6.