I Danmark diagnosticeres der ca. 4.000 nye lungecancere pr. år, hvorfor denne diagnose oftest er den primære, som man har mistanke om, når der ses nytilkommet infiltrat på et røntgenbillede af thorax (RT). Der findes dog andre maligne sygdomme i thorax, og det er af differentialdiagnostisk betydning at have fokus på disse i forbindelse med udredning af et infiltrat set på RT. Her præsenteres en sygehistorie, hvor en patient under udredning for lungecancer viste sig at have et malignt tymom med atypisk udbredelse, hvilket besværliggjorde diagnosen.
SYGEHISTORIE
En tidligere rask 42-årig mand konsulterede egen læge pga. en årelang funktionsdyspnø, som var tiltaget igennem en uge. Patienten havde aldrig røget eller været asbesteksponeret og havde ingen øvrige symptomer. Ved RT blev der påvist en stor tumormasse i venstre lunge, hvorfor han blev henvist til lungemedicinsk udredning på mistanke om primær lungecancer eller lymfom.
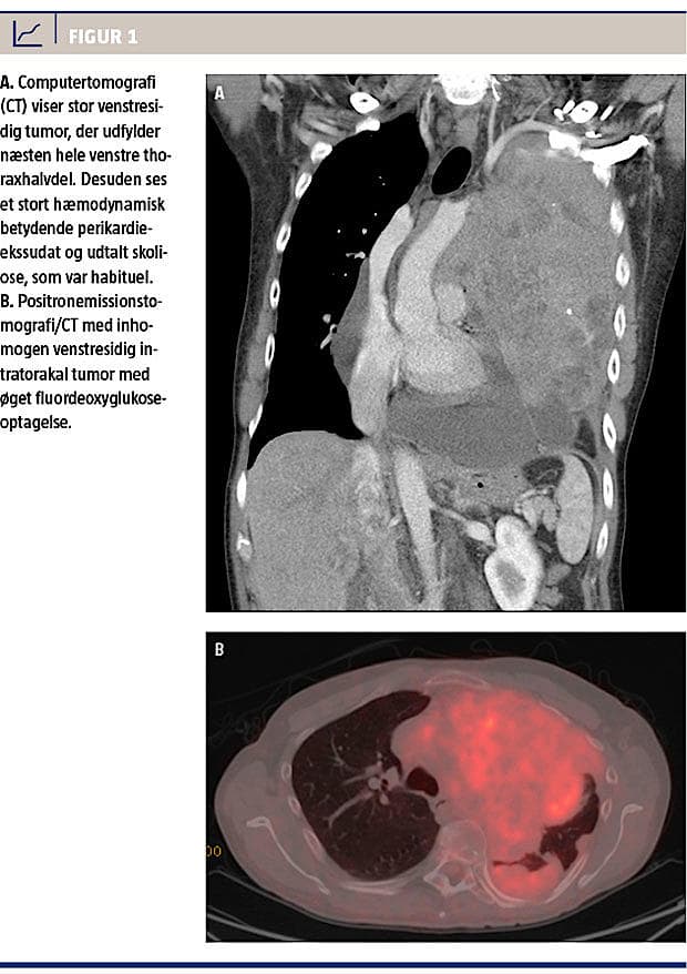
Efter en computertomografi (CT) af thorax og øvre abdomen (Figur 1A) blev der rejst mistanke om malignt pleuramesoteliom pga. en 18 × 10 × 14 cm venstresidig tumor med involvering af pleura samt et 5 cm stort og hæmodynamisk betydende perikardieekssudat. Der blev udført akut perikardiocentese. Perikardievæsken indeholdt ikke malign cytologi. Ved en positronemissionstomografi/CT blev der
påvist øget 18F-fluordeoxyglukoseoptagelse i en uregelmæssig tumorproces, der udfyldte næsten hele venstre thoraxhalvdel (Figur 1B). Patologisvar fra
cytologiske og histologiske prøver, der var taget ved endoskopisk bronkial-ultralyd (UL)-skanning og UL-vejledt transtorakal nåleaspirationsbiopsi (TTNAB) med nålestørrelse 18 G indikerede et tymom ud fra morfologi og immunprofil.
På en multidisciplinær lungekonference fandt man udbredelsen til mediastinum, lunge og pleura ukarakteristisk for tymom, og i stedet overvejede man, om der forelå et intratorakalt teratom. Vha. gentagede UL-vejledte TTNAB’er kunne man dog endeligt fastslå diagnosen malignt tymom på baggrund af et epitelialiseret struma. Tymomet blev vurderet som værende inoperabelt, og patienten blev viderehenvist til Rigshospitalets onkologiske klinik, hvor behandlingsoplægget var neoadjuverende kemoterapi forud for kirurgisk resektion.
DISKUSSION
Tymomer er tumorer, som udgår fra thymusepitel. De har generelt et indolent vækstmønster, men kan forekomme i malign form ved lokal invasiv vækst, pleural disseminering og/eller fjernmetastasering [1]. På trods af, at tymomet med en andel på 20-50% er den mest almindelige tumor i mediastinum anterior [2] og primært opstår i dette område, er der beskrevet tilfælde, hvor primære tymomer udgik fra hals, trachea, glandula thyroidea, glandulae parathyroideae, hjerte, pleurae og lunger [3]. I Danmark andrager tymomer mindre end 1% af det samlede antal maligne sygdomme. Forekomsten er hyppigst blandt personer i alderen 40-60 år [1, 4]. Incidensraten i Danmark er ukendt, men i USA er den estimeret til at være ca. 0,15/100.000 personår [4].
Finnålsbiopsi af mediastinale udfyldninger har en diagnostisk sikkerhed på 77-100% og en sensitivitet på 71-87% [5]. Immunhistokemisk analyse kan bestyrke diagnosen yderligere, men generelt anbefales det, at cytologiske fund bliver relateret til klinisk og radiologisk information, for at man med disse samlede oplysninger kan vurdere diagnosens sandsynlighed.
Tymomer kan længe være asymptomatiske, og kun omkring en tredjedel af patienterne med lokaliseret sygdom vil opleve symptomer som dyspnø, dysfagi, vena cava superior-syndrom, hoste og hæshed [1]. Da tymomer ofte er associerede til forskellige autoimmune sygdomme, kan bl.a. myasthenia gravis ses som debutsymptom [1, 4].
Da der kun foreligger begrænsede data for malignt tymom, findes der ikke en defineret standardbehandling, men konsensus for anvendelsen af forskellige behandlingsmodaliteter forsøges gennemført via International Thymic Malignancy Interest Group.
I Danmark foregår behandling og kontrol på Rigshospitalet, hvor behandlingstilbud i form af operation og evt. neoadjuverende kemo- eller stråleterapi planlægges ud fra stadieinddeling [4], hvor to klassifikationer med baggrund i histologi benyttes. Afhængigt af stadie er prognosen for femårsoverlevelse ved begge klassifikationer på 61-100% [4].
Ud fra de foreliggende epidemiologiske data vil der i Danmark årligt forekomme 7-8 nye tymomtilfælde. Sygehistorien understreger, at ikke alle infiltrater, der ses på RT, skyldes lungecancer, men at man bør have mistanke om tymomer, når billeddiagnostiske undersøgelser viser en tumorsuspekt udfyldning i mediastinum anterior.
KORRESPONDANCE: Torsten R. Rudbæk, Lungemedicinsk Afdeling J, Odense Universitetshospital, Sdr. Boulevard 29, 5000 Odense C.
E-mail: trahbek@hotmail.com
ANTAGET: 3. januar 2013
Publiceret på Ugeskriftet.dk: 24. juni 2013
INTERESSEKONFLIKTER:
TAKSIGELSER: Jens Karstoft, Radiologisk Afdeling, Odense Universitetshospital, takkes for udlån af computertomografi (CT)-billede. Allan Johansen, Nuklearmedicinsk Afdeling, Odense Universitetshospital, takkes for udlån af positronemissionstomografi-CT-billede.
Summary
A monstrous tumour in the thorax can represent a thymoma
Pulmonary infiltrates on radiological imaging are most often assumed to be a potential lung cancer, although seldom, other malignant intrathoracal tumours can appear. Knowledge of these, their growth pattern and localisation is of significance in order to reach a differential diagnosis and to plan targeted treatment. In mediastinum anterior thymoma is the most frequent form of cancer arising from the thymus epithelium. This case report describes a male patient suspected of lung cancer who happened to have malignant thymoma with atypical dissemination, which challenged the diagnostics.
Referencer
LITTERATUR
Wright CD. Management of thymomas. Crit Rev Oncol Hematol 2008;65:109-20.
Duwe BV, Sterman DH, Musani AI. Tumors of the mediastinum. Chest 2005;128:
2893-909.
Myers PO, Kritikos N, Bongiovanni M et al. Primary intrapulmonary thymoma: a systematic review. Eur J Surg Oncol 2007;33:1137-41.
Abildgaard J, Pappot H, Petersen PM et al. Usikkerhed om behandlingsstrategien ved tymomer. Ugeskr Læger 2012;174:3164-9.
Zakowski MF, Huang J, Bramlage MP. The role of fine needle aspiration cytology in the diagnosis and management of thymic neoplasia. J Thorac Oncol 2010;5:
S281-S285.
Wright CD. Management of thymomas. Crit Rev Oncol Hematol 2008;65:109-20.
Duwe BV, Sterman DH, Musani AI. Tumors of the mediastinum. Chest 2005;128:
2893-909.
Myers PO, Kritikos N, Bongiovanni M et al. Primary intrapulmonary thymoma: a systematic review. Eur J Surg Oncol 2007;33:1137-41.
Abildgaard J, Pappot H, Petersen PM et al. Usikkerhed om behandlingsstrategien ved tymomer. Ugeskr Læger 2012;174:3164-9.
Zakowski MF, Huang J, Bramlage MP. The role of fine needle aspiration cytology in the diagnosis and management of thymic neoplasia. J Thorac Oncol 2010;5:
S281-S285.