Endoluminal radiofrekvensbehandling af malign biliær obstruktion


Cecilie Jansen, Peter Vilmann, Lene Brink, Lydur Olafsson & Bojan Kovacevic
Kolangiokarcinomer inddeles i intra- og ekstrahepatiske samt perihilære karcinomer, der overvejende opstår ved galdevejsbifurkaturen. De perihilære kolangiokarcinomer kaldes også Klatskin-tumorer og udgør størstedelen (60-80%) [1, 2]. Der registreres ca. 160 nye tilfælde om året i Danmark, men diagnosen kan være vanskelig at stille, og mange kolangiokarcinomer opdages oftest sent, hvorfor behandlingen primært er palliativ med kemoterapi og stråling [1-3]. De få eksisterende kirurgiske muligheder for behandling inddeles efter lokalisation og kræver ofte stor kirurgi, der er forbundet med høj morbiditet og langvarig rekonvalescens [2].
Endoskopisk biliær stentanlæggelse er en vigtig del af den palliative behandling, da galdegangsdrænage modvirker kolangitis og er en forudsætning for behandling med kemoterapi. Galdegangene okkluderes ofte af tumorvæv, hvilket medfører hyppige stentskift for at fortsætte det onkologiske forløb. Stentanlæggelsen foregår primært ved endoskopisk, retrograd kolangiopankreatikografi (ERCP), som er en invasiv procedure, der kombinerer endoskopi og røntgenundersøgelse af det hepatobiliære system og muliggør evt. anlæggelse af stents.
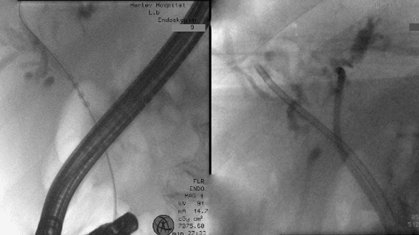
Der er i løbet af de sidste par år blevet udviklet dedikerede prober til endoluminal radiofrekvensablation (RFA) (Figur 1), som kan foretages i tillæg til ERCP mhp. cytoreduktion og forbedret drænage.
Endoluminal RFA består af induktion af lokal vævsnekrose ved kontrolleret RFA ved at lede højfrekvent strøm gennem en probe, hvilket medfører intermitterende opvarmning af vævet, således at temperaturen holdes nogenlunde konstant på 70-75 °C. Proceduren udføres i forbindelse med ERCP, og til endoluminal RFA benyttes en dedikeret probe (ELRA, Taewoong Medical, Los Angeles, USA) bestående af 2-4 små elektroder placeret med få millimeters afstand, som er synlige på fluoroskopi [4]. Proben indføres fluoroskopisk vejledt gennem tumorstenosen, og ablationen foretages typisk i 1-2 min med 7-10 W. Der findes flere prober med effekt i forskellig dybde og længde samt mulighed for indstillinger alt efter lokalisationen.
I denne kasuistik beskrives den første danske case af endoluminal RFA af malign biliær obstruktion på baggrund af en Klatskin-tumor.
En 59-årig mand blev i 2021 diagnosticeret med avanceret Klatskin-tumor med indvækst i v. porta og a. hepatica propria. Man opnåede histologisk verificering ved kolangioskopisk biopsi i forbindelse med anlæggelse af plastikstent i venstre ductus hepaticus til aflastning. Denne viste high-grade dysplasi obs. kolangiokarcinom. Ved første multidisciplinære team (MDT)-konference valgte man at opstarte neoadjuverende kemoterapi (gemcitabin og cisplatin) mhp. downstaging inden operation.
Grundet utilstrækkelig effekt og indvækst i de centrale kar blev det på en MDT-konference besluttet, at patienten skulle overgå til palliativ kemoterapi. Den onkologiske behandling blev afbrudt flere gange pga. okklusioner af galdevejsstents medførende galdestase og kolangitis. Patienten blev behandlet med ERCP og stentskift flere gange. Venstre ductus hepaticus blev tiltagende okkluderet af tumorvæv, hvorfor stentanlæggelse i forbindelse med ERCP ikke længere var mulig. I 2022 blev patienten derfor tilbudt endoluminal RFA af de centrale galdeveje for at mindske tumorbyrden og forhåbentlig opnå længerevarende aflastning, så den onkologiske behandling kunne genoptages.
Der blev initialt foretaget endoluminal RFA af tumorvæv ved bifurkaturen, idet man anvendte en probe på 18 mm/7 Fr, 10 W i 2 min, hvorefter der igen kunne opnås adgang til venstre ductus hepaticus, som tidligere havde været okkluderet. Ablationen fortsatte ukompliceret i venstre galdetræ, og til slut blev der anlagt stents på hhv. 12 cm/7 Fr og 12 cm/8,5 Fr i ductus hepaticus sinister og ductus hepaticus dexter, som begge fungerede med galdeafløb.
Endoluminal RFA kan overvejes som supplerende behandling hos patienter med kolangiokarcinom med recidiverende galdestase og kolangitis. Til behandling af malign biliær okklusion beskrives metoden internationalt som en lovende og sikker procedure og et vigtigt led i den palliative behandling [2]. Vores første danske erfaring med proceduren var positiv: Den foregik ukompliceret og muliggjorde adgang til venstre ductus hepaticus, som tidligere var okkluderet. Patienten kunne herefter udskrives med faldende bilirubinniveau til genoptagelse af den onkologiske behandling.
Korrespondance Cecilie Jansen. E-mail: cecilie.jansen.01@regionh.dk
Antaget 8. februar 2023
Publiceret på ugeskriftet.dk 20. marts 2023
Interessekonflikter Der er anført potentielle interessekonflikter. Forfatternes ICMJE-formularer er tilgængelige sammen med artiklen på ugeskriftet.dk
Referencer findes i artiklen publiceret på ugeskriftet.dk
Artikelreference Ugeskr Læger 2023;185:V11220678
Cecilie Jansen, Peter Vilmann, Lene Brink, Lydur Olafsson & Bojan Kovacevic
Ugeskr Læger 2023;185:V11220678
This case report describes the first Danish case of endoluminal radiofrequency ablation (RFA) of malignant biliary obstruction due to a Klatskin tumour in a 59-year-old male undergoing neoadjuvant therapy. The treatment was interrupted several times due to recurrent occlusions of the bile duct stents. The patient was offered endoluminal RFA of the central bile ducts in order to reduce his tumour burden and possibly achieve longer stent patency, so the palliative therapy could be resumed. The procedure was performed successfully without any adverse events achieving access to previously occluded left hepatic duct.