Skip to main content

Endometrioidt adenokarcinom med samtidigt nongestationelt koriokarcinom i uterus

Gudrun Neumann1, Charlotte Brasch-Andersen2, Christina Fagerberg2 & Doris Schledermann3

18. nov. 2019
5 min.

Endometrioidt adenokarcinom i uterus med samtidigt nongestationelt koriokarcinom er en sjælden tumor. Patogenesen er uafklaret, men den antages at skyldes dedifferentiering af et karcinom eller transformation af kimceller displaceret til uterus. Det er vigtigt at udelukke gestationelt koriokarcinom af hensyn til behandlingen.

SYGEHISTORIE

En 56-årig kvinde med postmenopausal blødning blev henvist i et cancerpakkeforløb til en gynækologisk afdeling. Hun var gravida I, para I og havde været menopausal siden 50-årsalderen. Ved en gynækologisk undersøgelse fandt man normale forhold, ultrasonisk sås der et fortykket endometrium på 21 mm og atrofiske ovarier. En endometriebiopsi viste endometrioidt adenokarcinom grad 2. Der blev udført robotassisteret total laparoskopisk hysterektomi, bilateral ovariosalpingektomi og pelvin lymfadenektomi.

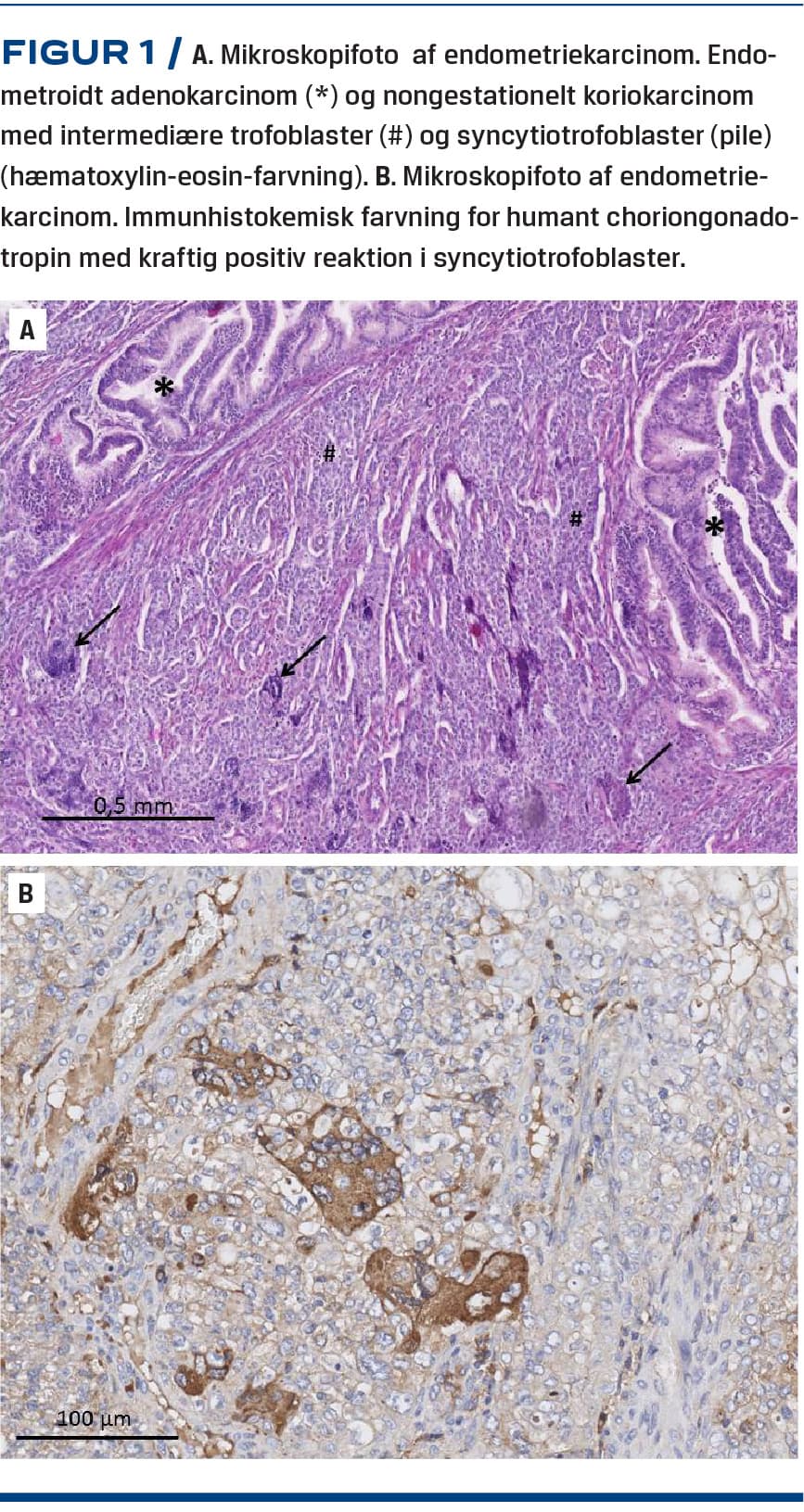
En mikroskopiundersøgelse viste en diffust voksende malign tumor fra endometriet. Tumoren bestod hovedsageligt af endometrioidt adenokarcinom, men indlejret heri fandtes et område med trimorfe maligne trofoblastceller i form af intermediær trofoblast, cytotrofoblast og syncytiotrofoblast (Figur 1A). En immunhistokemisk undersøgelse viste kraftig positiv reaktion i syncytiotrofoblastcellerne for humant choriongonadotropin (hCG) (Figur 1B), hvorimod området med endometrioidt adenokarcinom var kraftigt positivt for markører for denne tumortype (epithelial membrane antigen, paired box gene 8, vimenting og østrogenreceptor). Der var udbredt lymfekarinvasion fra koriokarcinomkomponenten, International Federation of Gynecology and Obstetrics-stadium IB.

Patienten blev henvist til PET/CT, som ikke viste noget abnormt, samt måling af S-hCG × 1 ugentligt i fire uger som tumormarkør. Da koriokarcinomkomponenten ikke var repræsenteret i endometriebiopsien, blev der ikke målt hCG-niveau præoperativt. S-hCG-værdierne postoperativt var initialt < 2 IE/l, efterfølgende var de < 1,2 IE/l.

Der blev suppleret med molekylærgenetiske analyser for at afgøre, om koriokarcinomkomponenten var gestationel eller nongestationel. Analyserne blev udført på formalinfikseret, paraffinindstøbt væv fra henholdsvis koriokarcinom- og endometrioidt adenokarcinom-komponenterne, som blev isoleret ved makrodissektion. Sammenligning af sekvensændringer mellem blod og koriokarcinomkomponent blev udført med eksomsekventering. Hypotesen var, at hvis der var tale om et gestationelt koriokarcinom, ville man forvente tilblanding fra et andet individ, fordi tumoren i så fald ville forventes at være opstået pga. en mola (oftest diploid med to paternelle bidrag (PP-mola)). Det var ikke muligt at få en blodprøve fra patientens tidligere partner(e). Vi estimerede en reference for antallet af varianter ved tilblanding fra et andet individ ved parvist at sammenligne ti ubeslægtede personer som kontrol. Denne reference viste ca. seks gange flere sjældne varianter end sammenligningen mellem koriokarcinomkomponenten og blod fra patienten. 4.300-4.900 i kontrolpar mod ca. 750 i tumor/blod. For at tage højde for at en evt. PP-mola kunne forekomme i mosaikform, var data filtreret for varianter set i en andel på mere end 10%. Dataanalysen var begrænset til sjældne varianter (< 2% i normalbefolkningen). Vi konkluderede derfor, at koriokarcinomkomponenten ikke viste tilblanding fra et andet individ og dermed ikke havde tegn på at være opstået på basis af en mola.

DISKUSSION

Koriokarcinom er en malign neoplasi, som ofte giver metastaserende sygdom og hyppigst opstår hos fertile kvinder. Koriokarcinom klassificeres som gestationelt eller nongestationelt. Nongestationelt koriokarcinom er sjældent, men kan ses hos både kvinder og mænd. Tumoren kan udgå fra kimceller i gonaderne, men kan også opstå ekstragonadalt f.eks. i uterus, ventrikel, lunge, nyrepelvis, blære og bryst [1, 2]. Der er flere teorier om patogenesen for ekstragonadalt nongestationelt koriokarcinom: 1) Tumoren opstår i kimceller, der er blevet displaceret ved den embryonale migration mod gonaderne, 2) det drejer sig om ektopisk placering af totipotente stamceller i den tidlige embryonale udvikling, som har undveget efterfølgende apoptotisk elimination, og 3) der sker en dedifferentiering af tumorceller i et karcinom [3]. Sidstnævnte hypotese understøttes i studier, hvor genetiske analyser udført på begge tumorkomponenter (adenokarcinom og koriokarcinom) har vist fælles klonal oprindelse [4, 5]. Der er kun rapporteret om få tilfælde af uterint adenokarcinom med samtidigt nongestationelt koriokarcinom [1]. Der er tendens til, at patienterne er postmenopausale, at adenokarcinomkomponenten hyppigst er endometrioid og sjældent serøs, samt at hCG kan påvises i serum og/eller urin præoperativt, hvis man får mistanken i forbindelse med udredningen. Da diagnosen er sjælden, findes der ingen standardbehandling. I nogle tilfælde har patienterne fået adjuverende kemoterapi i andre tilfælde komplet kirurgisk staging og kun kemoterapi ved dissemineret sygdom.

Korrespondance: Gudrun Neumann.
E-mail: gudrunneumann@dadlnet.dk

Antaget: 22. oktober 2019

Publiceret på Ugeskriftet.dk: 18. november 2019

Interessekonflikter: ingen. Forfatternes ICMJE-formularer er tilgængelige sammen med artiklen på Ugeskriftet.dk

Summary

Gudrun Neumann, Charlotte Brasch-Andersen, Christina Fagerberg & Doris Schledermann:

Endometrioid adenocarcinoma with a co-existing non-gestational choriocarcinoma in uterus

Ugeskr Læger 2019;181:V03190167

This is a case report of a 56-year-old woman with a history of postmenopausal bleeding, who presented with an endometrioid adenocarcinoma and a co-existing non-gestational choriocarcinoma. We performed robotic assisted hysterectomy, bilateral oophorectomy and pelvic lymphadectomy, and histopathologic examination revealed a malignant tumour showing an endometrioid adenocarcinoma grade 2 with a minor component of choriocarcinoma incorporated into the adenocarcinoma. We compared data from exome sequencing of DNA from tumour and blood to show, that the choriocarcinoma component was most likely non-gestational.

Referencer

LITTERATUR

  1. Maesta I. Genetic characterization of choriocarcinoma and potential clinical implications. Clin Oncol 2017;2:1261.

  2. Rawish KR, Buza N, Zheng W et al. Endometrial carcinoma with trophoblastic components: clinicopathologic analysis of a rare entity. Int J Gynecol Pathol 2018;37:174-90.

  3. Dehner LP. Gestational and nongestational trophoblastic neoplasia:
    a historic and pathobiologic survey. Am J Surg Pathol 1980;4:43-58.

  4. Ashton KA, Scurry J, Ouveysi A et al. Transformation of endometrioid carcinoma to carcinoma with trophoblastic differentiation: clinicopathological and whole genomic study. Pathology 2014;46:351-3.

  5. Olson MT, Gocke CD, Giuntoli RL et al. Evolution of a trophoblastic tumor from an endometrioid carcinoma – a morphological and molecular analysis. Int J Gynecol Pathol 2011;30:117-20.