Skip to main content

Endovaskulært behandlet rumperet aneurisme på arteria lienalis

Reservelæge Ole Steen Bjerring, reservelæge Jens Christian Pørneki & overlæge Per E. Justesen Odense Universitetshospital, Organkirurgisk Afdeling A og Radiologisk Afdeling

11. jan. 2008
5 min.

Arteria lienalis aneurismer (ALA) er traditionelt blevet behandlet med operation, men endovaskulære teknikker vinder i stigende grad frem. En 64-årigmand blev indlagt på et centralsygehus med brystsmerter og lavt blodtryk. Der var mistanke om akut myokardieinfarkt. En computertomografi viste et 56 mm aneurisme på a. lienalis og tegn på ruptur. Man valgte derfor at overflytte patienten til at universitetssygehus for at coile aneurismet ved endovaskulær teknik. Blodtryk og hæmoglobinværdierne stabiliseredes, og patienten blev udskrevet i velbefindende. I tilfælde af ruptureret ALA virker endovaskulær teknik som det rigtige valg.

Arteria lienalis aneurisme (ALA) er det hyppigste viscerale aneurisme. Incindensen er usikker og har i de seneste år været stigende, formentlig i takt med at antallet af computertomografier (CT) er steget. I opgørelser over obduktionsrapporter er der fundet tal på 0,02-10% [1]. Der er overhyppighed af kvinder blandt patienterne (4:1). Andre risikofaktorer er arteriosklerose, cirrose, pankreatitis, graviditet og Ehlers-Danlos' syndrom. Langt de fleste tilfælde er bifund, men kan opstå akut typisk med mavesmerter, brystsmerter og kredsløbsinstabilitet, især ved ruptur [2]. Risikoen for ruptur anslås at være ca. 5%, men højere for mænd, gravide, cirrotikere og levertransplanterede. Mortaliteten ved ruptur angives til at være 20-40% [1]. Behandlingen består af enten kirurgisk ligatur eller endovaskulær behandling.

Sygehistorie

En 64-årig mand blev indlagt på et lokalt sygehus, medicinsk afdeling, med akutte brystsmerter og epigastrielle smerter samt åndenød. Blodtrykket var ved ankomsten 67/31 mmHg, som ved behandling med NaCl givet intravenøst og efedrin steg til 130/70 mmHg. To år tidligere havde patienten været indlagt til observation for akut myokardieinfarkt (AMI), som blev afkræftet. Samme år fik han foretaget kolecystektomi og fik efterfølgende et ulcus.

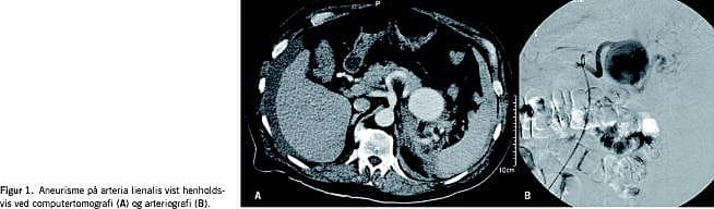
Under den seneste indlæggelse blev AMI afkræftet og en bed side-ekkokardiografi viste normal pumpefunktion. Patientens blodtryk faldt i løbet af de næste par døgn til 59/35 mmHg, og han var på et tidspunkt pulsløs i 30 s, men fik spontan sinusrytme igen. Der blev i løbet af to dage observeret et fald i hæmoglobin fra 7,9 mmol/l til 4,9 mmol/l, og blodtransfusioner blev påbegyndt. Smerterne persisterede, hvorfor der blev udført CT, der viste et 5,6 cm stort aneurisme på arteria lienalis og tillige blødning omkring aneurismet, pancreas og leveren (Figur 1A). Ved gennemgang af CT fra to år tidligere kunne man se samme aneurisme, der da målte 4 cm i diameter.

Patienten blev efter CT'en overflyttet til Odense Universitetshospital mhp. behandling. Da der var mistanke om ruptur valgte man at foretage endovaskulær embolisering af a. lienalis. Igennem sheath i a. femoralis blev et emboliseringskateter ved hjælp af røntgenkontrast og gennemlysning fremført via aorta og truncus coeliacus til a. lienalis (Figur 1B). Med spidsen af kateteret beliggende i aneurismesækken blev der udløst coils, og disse flød med blodstrømmen til afgangsarterien og emboliserede denne. Herefter blev kateteret retraheret, og tilgangsarterien blev ligeledes emboliseret med coils. På den måde blev aneurismet totalt ekskluderet. Efter indgrebet var patienten velbefindende og kunne tilbageflyttes til stamsygehuset den følgende dag.

Diskussion

Mens indikationen for behandlingen af det rumperede ALA synes at være veletableret, er behandlingsniveauet af de tilfældigt fundne stadig uafklaret. Der er ikke retningslinjer i Danmark for behandling af ALA, men i litteraturen beskrives det stort set samstemmende, at ved ALA over 2 cm bør der iværksættes behandling for at undgå ruptur. Tillige bør kvinder i den fertile alder inklusive gravide [3] og patienter, der skal levertransplanteres, behandles, da risikoen for ruptur og mortaliteten ved ruptur hos dem er kraftigt forhøjet [4].

Behandlingen kan være kirurgisk med ligatur eller påsætning af klips på a. lienalis eller endovaskulær med embolisering eller stenting, hvis forholdene tillader det. Det er dog væsentligt, at arterien lukkes på begge sider af aneurismet, da et eventuelt retrogradt flow i a. lienalis ellers vil kunne fylde aneurismet igen. Endovaskulær behandling er i de seneste år blevet et veldokumenteret alternativ til kirurgi, og specielt ved ruptur synes denne løsning at være at foretrække [5].

I forbindelse med aflukning af a. lienalis vil en del af milten infarcere, hvilket kan give anledning til smerter, men pga. kollateral blodforsyning er det sjældent, at hele milten infarcerer, hvorfor man heller ikke rutinemæssigt vaccinerer mod pneumokokker. Øvrige bivirkninger er bl.a. blødning, miltabscess, pleuraekssudat og feber.

Ved fund af ALA over 2 cm må der henvises til en relevant afdeling, hvor man kan udføre supplerende diagnostik og behandling.


Ole Steen Bjerring, Aarestrupsvej 25, DK-5230 Odense M. E-mail: steenbjerring@gmail.com

Antaget: 4. august 2006

Interessekonflikter: Ingen

  1. Abbas MA, Stone WM, Fowl RJ et al. Splenic artery aneurysms: two decades experience at Mayo Clinic. Ann Vasc Surg 2002;16:442-9.
  2. Sorensen B, de la Torre R, Scott S. Incidental splenic artery aneurysm during Laparoscopic gastric banding. Obes Surg 2006;16:85-7.
  3. Selo-Ojeme DO, Welch CC. Spontaneous rupture of splenic artery aneurysm in pregnancy. Eur J Obstet Gynecol Reprod Biol 2003;109:124-7.www.ncbi. nlm.nih.gov/entrez/query.fcgi?db=pubmed&cmd=Search&itool=pubmed_ Abstract&term=
  4. Berceli SA. Hepatic and splenic artery aneurysms. Semin Vasc Surg 2005;18: 196-201.
  5. Gorich J, Me rkle EM. Endovascular treatment of visceral artery aneurysms. J Endovasc Ther 2002;9:38-47.

Referencer

  1. Abbas MA, Stone WM, Fowl RJ et al. Splenic artery aneurysms: two decades experience at Mayo Clinic. Ann Vasc Surg 2002;16:442-9.
  2. Sorensen B, de la Torre R, Scott S. Incidental splenic artery aneurysm during Laparoscopic gastric banding. Obes Surg 2006;16:85-7.
  3. Selo-Ojeme DO, Welch CC. Spontaneous rupture of splenic artery aneurysm in pregnancy. Eur J Obstet Gynecol Reprod Biol 2003;109:124-7.www.ncbi. nlm.nih.gov/entrez/query.fcgi?db=pubmed&cmd=Search&itool=pubmed_ Abstract&term=
  4. Berceli SA. Hepatic and splenic artery aneurysms. Semin Vasc Surg 2005;18: 196-201.
  5. Gorich J, Merkle EM. Endovascular treatment of visceral artery aneurysms. J Endovasc Ther 2002;9:38-47.