Skip to main content

Er det vaskulitis i centralnervesystemet?

Reservelæge Lisbeth Rosholm Comstedt & professor Peter Junker Odense Universitetshospital, Reumatologisk Afdeling

13. jun. 2008
5 min.

En 58-årig kvinde blev henvist til udredning for recidiverende transitoriske cerebrale iskæmiepisoder. Resultatet af en cerebral magnetisk resonans-skanning var foreneligt med vaskulitis. Undersøgelser af perifert blodbillede, C-reaktivt protein, nyre- og leverfunktion viste normale forhold, men efter ni måneder fik patienten trombocytose. En knoglemarvsbiopsi viste forandringer, der var forenelige med myeloproliferativt syndrom. Yderligere undersøgelser viste opregulering af polycytaemia rubra vera-1-genet af Janus Kinase-2-mutationen V617F, og sygehistorien illustrerer, at myeloproliferativt syndrom trods normalt perifert blodbillede er en mulig differentialdiagnose hos patienter med transitoriske cerebrale iskæmiepisoder uden anden kendt årsag.

Primær centralnervesystem (CNS)-vaskulitis er en sjælden sygdom, som i fravær af specifikke kliniske og parakliniske fund vidtgående er en eksklusionsdiagnose. Diagnosen kan kun stilles definitivt på basis af en hjernebiopsi [1].

De hyppigste symptomer er hovedpine, svimmelhed, hukommelses- og koncentrationsbesvær, transitorisk cerebral iskæmi (TCI)-lignende anfald og ekspressiv afasi, som imidlertid også kan ses ved en række andre sygdomme, herunder de myeloproliferative syndromer [1].

Her beskrives et tilfælde af recidiverende cerebrale iskæmiepisoder med billeddiagnostisk påviste forandringer, der var forenelige med CNS-vaskulitis, men hvor årsagen viste sig at være essentiel trombocytose (ET) trods gentagne normale resultater af trombocytmålinger tidligt i forløbet.



Sygehistorie

En 58-årig kvinde blev henvist fra en neuromedicinsk afdeling til reumatologisk vurdering for CNS-vaskulitis. I perioden fra november 2003 til august 2004 var hun gentagne gange blevet undersøgt for recidiverende anfald af venstresidig hovedpine, svimmelhed, flimmerskotomer, synsfeltindskrænkning og ordmobiliseringsbesvær. Anfaldene varede fra få minutter til flere dage, og undervejs tilkom paræstesier i højre arm. Patienten havde ingen andre gener.

Der var ikke holdepunkt for subaraknoidalblødning, infektion, demyeliniserende lidelse eller meningeal karcinomatose. En magnetisk resonans (MR)-skanning af cerebrum viste multiple iskæmiske læsioner i arteria cerebri medias forsyningsområde, som det bl.a. kan ses ved CNS-vaskulitis.

En lumbalpunktur viste normale forhold, og ved ultralydskanning blev der fundet normale strømningsforhold i karotider, arteria vertebralis og intrakranialt. Der blev fundet normale forhold ved cerebral arteriografi.

Frem til juli 2004 sås et normalt perifert blodbillede med normalt til marginalt forhøjet trombocyttal (374-451 × 109 /l). Måling af antinukleære antistoffer og antineutrofile cytoplasmatiske antistoffer viste negativt resultat. Der var ingen M-komponent i blod eller urin. Trombofiliudredning viste normale forhold uden påvisning af fosfolipidantistoffer.

Yderligere to MR-skanninger frem til august 2004 viste regression af tidligere fund, men tilkomst af nye forandringer først i højre og senere i venstre hemisfære var stadig forenelige med vaskulitis. Der blev ikke udført hjernebiopsi. Methylprednisolon i støddoser (1 g × 2 intravenøst) havde ingen effekt.

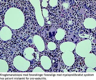
Efterfølgende steg trombocyttallet til 771 × 109 /l. Hæmoglobin, leukocyttal og C-reaktivt protein (CRP) var fortsat normale. En knoglemarvsbiopsi viste hyperplastisk knoglemarv med et øget antal megakaryocytter af varierende størrelse, livlig myelopoiese, men normal erytropoiese foreneligt med myeloproliferativt syndrom. Erytrocyt- og plasmavolumenbestemmelse var normale. Ved ultralydskanning af abdomen fandtes normal lever- og miltstørrelse.

På dette grundlag stilledes diagnosen ET. Supplerende analyser på perifert blod viste at polycytaemia rubra vera-1 (PRV1)-genet var opreguleret, og at patienten var bærer af Janus Kinase-2 (JAK2)-mutationen V617F.

Patienten blev behandlet med acetylsalicylsyre og anagrelid, der medførte normalisering af trombocyttallet og ophør af neurologiske symptomer.

Diskussion

Normotrombocytæmisk ET er ikke tidligere beskrevet i Danmark, og der er hidtil kun publiceret beretninger om ti tilfælde i litteraturen, hvoraf de fleste er kendetegnet ved blødnings- eller trombosetendens [2, 3].

Ud over karakteristiske knoglemarvsfund var PRV1-genet opreguleret, hvilket giver øget risiko for tromboemboliske komplikationer ved ET [4]. Patienten var desuden bærer af den nyligt påviste JAK2-mutation V617F, som forekommer hos ca. 50% af patienterne med ET og er endnu hyppigere ved polycytæmia vera. Mutationen antages at være en risikomarkør for udvikling af tromboser [5].

Patientens TCI-lignende anfald med gradvis forværring uden ekstracerebrale symptomer kombineret med multiple iskæmiske forandringer fundet ved MR-skanning af cerebrum gav grundlag for formodningen om cerebral vaskulitis [1]. Dog blev der ikke udført hjernebiopsi. Højdosis glukokortikoidbehandling var uden effekt. Da trombocyttallet efterfølgende steg uden ledsagende CRP-forhøjelse, blev der foretaget knoglemarvsbiopsi, der viste forandringer, der var forenelige med myeloproliferativt syndrom. Plasma- og erytrocytvolumen var normale, hvorfor sygdommen blev klassificeret som ET.

De transitoriske CNS-episoder trods normalt tromboctyttal kan bero på trombocytopati med øget trombocytaggregation til følge [3].

Hos yngre og midaldrende patienter med TCI-tilfælde uden kendt årsag er debuterende myeloproliferativt syndrom en mulig differentialdiagnose trods normalt blodbillede. Diagnosen stilles ved knoglemarvsbiopsi. Nyere biomarkører i perifert blod kan give nyttig information om sygdomskategori og risiko for komplikationer [4, 5].


Lisbeth Rosholm Comstedt, Bangs Boder 21, DK-5000 Odense C. E-mail: lrosholm@hotmail.com

Antaget: 13. november 2006

Interessekonflikt: Ingen

  1. West SG. Central nervous system vasculitis. Curr Rheumatol Rep 2003;5:116-27.
  2. Lengfelder E, Hochhaus A, Kronawitter U et al. Should a platelet limit of 600 × 109 /l be used as a diagnostic criterion in essential thrombocythaemia? An analysis of the natural course including early stages. Brit J Haematol 1998;100:15-23.
  3. Vadher BD, Machin SJ, Patterson KG et al. Life-threatening thrombotic and haemorrhagic problems associated with silent myeloproliferative disorders. Brit J Haematol 1993;85:213-6.
  4. Larsen TS, Pallisgaard N, Christensen JH et al. Nye molekylære markører ved de kroniske myeloproliferative sygdomme, Polycythaemia rubra vera-1-genet. Ugeskr Læger 2006;168:3295-9
  5. Campbell PJ, Scott LM, Buck G et al. Definition of subtypes of essential thrombocythaemia and relation to polycythaemia vera based on JAK2 V617F mutation status: a prospective study. Lancet 2005;366:1945-53.

Summary

Summary Is it CNS vasculitis? - Essential thrombocythaemia with a normal platelet count Ugeskr Læger 2008;170(25):2256 A 58-year old woman was admitted with transient ischaemic attacks. Cerebral MRI was compatible with vasculitis. Blood chemistry was normal, but after 9 months she developed thombocytosis above 600 × 109 /l. A bone marrow biopsy showed myeloproliferative changes. Further investigations revealed over-expression of the polycythaemia rubra vera-1 gene and she carried the Janus Kinase-2 mutation, V617F. This case emphasizes that a myeloproliferative disorder should be considered in patients with unexplained ischemic CNS manifestations, even if blood counts are normal.

Referencer

  1. West SG. Central nervous system vasculitis. Curr Rheumatol Rep 2003;5:116-27.
  2. Lengfelder E, Hochhaus A, Kronawitter U et al. Should a platelet limit of 600 × 109 /l be used as a diagnostic criterion in essential thrombocythaemia? An analysis of the natural course including early stages. Brit J Haematol 1998;100:15-23.
  3. Vadher BD, Machin SJ, Patterson KG et al. Life-threatening thrombotic and haemorrhagic problems associated with silent myeloproliferative disorders. Brit J Haematol 1993;85:213-6.
  4. Larsen TS, Pallisgaard N, Christensen JH et al. Nye molekylære markører ved de kroniske myeloproliferative sygdomme, Polycythaemia rubra vera-1-genet. Ugeskr Læger 2006;168:3295-9
  5. Campbell PJ, Scott LM, Buck G et al. Definition of subtypes of essential thrombocythaemia and relation to polycythaemia vera based on JAK2 V617F mutation status: a prospective study. Lancet 2005;366:1945-53.