Skip to main content

Erytrocytimmunisering i graviditeten

Finn Stener Jørgensen & Johannes E. Bock

1. nov. 2005
10 min.

Ved uforligelighed mellem moderens og fosterets blodtype kan der ved føto-maternel blødning opstå erytrocytimmunisering. Moderens immunsystem vil producere antistoffer mod fremmede blodtypeantigener, som fosteret har arvet fra faderen. Antistofferne kan i fosterets kredsløb give anledning til hæmolyse resulterende i anæmi, hydropsudvikling og evt. fosterdød. Immunisering kan principielt ske ved alle typer uforligelighed, men kun få er klinisk relevante, hvoraf rhesusimmunisering er den væsentligste. Trods indførelse af rhesusprofylakse i Danmark i 1969 forekommer der stadig 10-15 tilfælde af rhesusimmunisering årligt her i landet, hvor transfusionsbehandling af fosteret må foretages. Hertil kommer yderligere ca. fem transfusionskrævende tilfælde, der skyldes anden erytrocytimmunisering. I det følgende beskrives patogenese, profylakse, opsporing, kontrol samt behandlingsmuligheder med vægt på den nyeste udvikling.

Patogenese

Erytrocytter indeholder talrige overfladeantigener, som er små proteiner - bundet til erytrocytten af lipidkomponenten i cellemembranen. Vigtigst er rhesusantigenerne D, C, c og E samt Kell- og AB0-immuniseringer. Når en rhesusnegativ gravid kvinde eksponeres for et vist volumen rhesuspositive blodlegemer ved en føto-maternel blødning, kommer der efter en latensperiode på nogle uger et primært immunrespons. Det primære immunglobulin er af IgM typen. IgM-antistoffer er højmolekylære og ude af stand til at passere placenta. Der er således ikke nogen føtal effekt af det primære respons. Det primære respons øger også antallet af B-lymfocytter med høj affinitet til at binde rhesusantigenet. Disse lymfocytter producerer IgG-antistoffer, specielt efter ny udsættelse for antigenet. Her kommer så det sekundære respons. I denne situation skal der meget mindre antigenstimulation til, der er betydelig kortere latenstid og et langt plateau. Immunglobulin G går aktivt over placenta ved en speciel binding til receptorerne på trofoblastcellerne og har således klinisk effekt på fosteret. Ved en sådan sensibilisering bliver de føtale erytrocytter dækket af maternelt producerede IgG-antistoffer, og der sker en føtal hæmolyse.

Det føtale respons er meget varierende. Anæmien kan udvikles langsomt over flere måneder eller hurtigt i løbet af en uges tid ledsaget af retikulocytose og hyperbilirubinæmi. Den føtale anæmi resulterer i vævshypoksi med stimulation af erytropoietinproduktionen, som stimulerer både den medullære og den ekstramedullære erytropoiese. Den hepatiske erytropoiese fører til hepatomegali, der bevirker en relativ obstruktion af vena porta og vena umbilicalis. Den påvirkede leverfunktion giver anledning til nedsat albuminproduktion og dermed ascites, ødemer og ofte pleuraeksudater. Hjertesvigt hos alvorligt afficerede fostre kan også spille en rolle i ødemtilstanden (hydrops foetalis). Føtal hæmolyse giver anledning til hyperbilirubinæmi. Blodets viskositet mindskes. Under den intense erytropoiese frigøres der erytroblaster i blodbanen, heraf navnet erythroblastosis foetalis. Hvis der optræder immunisering i en efterfølgende graviditet, vil graden som regel være alvorligere.



Profylakse

Siden 1966 har det været kendt, at rhesus D-immunisering kan forebygges ved behandling af rhesusnegative kvinder med rhesus D-immunglobulin efter fødsel af rhesuspositive børn. Denne profylakse blev indført i Danmark i 1969. Føto-maternel blødning er almindeligt forekommende i forbindelse med graviditet og fødsel. Hyppighed og mængde er afhængig af gestationsalderen, hvilket ikke mindst skyldes fosterets stigende blodvolumen. Hyppigheden varierer fra 3% i første trimester til helt op til 45% i tredje trimester. Risiko for immunisering meget tidligt i graviditeten (før otte uger) er lille. Blodtypeantigenerne er udviklet på de føtale erytrocytter ved en gestationsalder på ca. syv uger, men mængden af erytrocytter er da lavt (ca. 0,1 ml). En række forhold øger risikoen, bl.a. chorion villus biopsi, amniocentese og fødselskomplikationer generelt. Efter indførelsen af profylaksen i Danmark, hvor man p.t. giver 300 mikrogram immunglobulin anti-D hurtigst muligt, men senest 72 timer efter fødslen af et rhesuspositivt barn, er antallet af rhesusimmuniseringer faldet ganske betydeligt, men er ikke forsvundet helt. Dette har givet anledning til et nyt udvalgsarbejde i Sundhedsstyrelsen. Udvalget forventes snart at fremlægge forslag til nye retningslinjer. Profylakse mod erytrocytimmunisering ved injektion af immunglobulin er i øjeblikket kun mulig for D-immunisering. Profylaksen kunne principielt udvides til også at omfatte c- og Kell-immunisering opstået som transfusionskomplikation, såfremt blodbankerne også udførte cross-match herfor ved blodtransfusioner til piger og kvinder under 45 år. Disse immuniseringer er imidlertid relativt sjældne.

Opsporing af risikotilfælde

Risikotilfælde opspores via obstetrisk anamnese og måling af irregulære antistoffer. Alle gravide får ved første lægeundersøgelse, ofte omkring 12. uge, taget en blodprøve mhp. forekomst af irregulære blodtypeantistoffer, en såkaldt screentest. Er den negativ, gentages den ikke for de rhesuspositive kvinder, men de rhesusnegative kvinder får lavet en ny test omkring 35. gestationsuge. Hvis screentesten er positiv for et blodtypeantistof, bliver der foretaget en titrering og dermed en kvantificering af antistofmængden. Denne titer er så vejledende for den videre kontrol, som foretages på: Rigshospitalet, Skejby Sygehus, Odense Universitetssygehus og Aalborg Sygehus, hvor de gynækologisk-obstetriske specialafdelinger har lands-landsdelsfunktion for denne patientgruppe. Transfusionsbehandling er centraliseret på Rigshospitalet.

Kontrol
Fosterets blodtype

Såfremt der i moderens blod er konstateret irregulære antistoffer over et vist niveau, er spørgsmålet om fosteret i den pågældende graviditet er i risiko. Til besvarelse af spørgsmålet kræves initialt viden om fosterets blodtype. Ud fra genotypebestemmelse af moderen og faderen kan man, såfremt faderen er homozygot inducere sig frem til fosterets genotype. Direkte viden om fosterets type kan opnås ved udhentning af føtale celler ved chorion villus biopsi, amniocentese eller cordocentese, men da disse metoder alle er invasive med risiko (ca. 1%) for abort, vandafgang eller for tidlig fødsel, ligesom der er risiko for samtidig forværring af immuniseringsgraden, er en non-invasiv metode ønskelig. I 1998 beskrev Lo et al [1], at det var muligt at bestemme et fosters rhesus D-type ud fra analyse af frit føtalt DNA isoleret fra en maternel perifer blodprøve. I modsætning til føtale celler forekommer frit føtalt DNA i moderens kredsløb i relativ stor koncentration gennem graviditeten og forsvinder hurtigt efter fødslen. Metoden er polymerasekæde (PCR)-baseret. Resultaterne er siden valideret af andre [2]. Samme metode forsøg es anvendt til bestemmelse af andre blodtyper - bl.a. Kell, men endnu foreligger ingen større publicerede materialer. Målet er at udvikle metoder til noninvasiv bestemmelse af alle immuniseringsrelevante blodtyper.

Fosterets hæmoglobinkoncentration

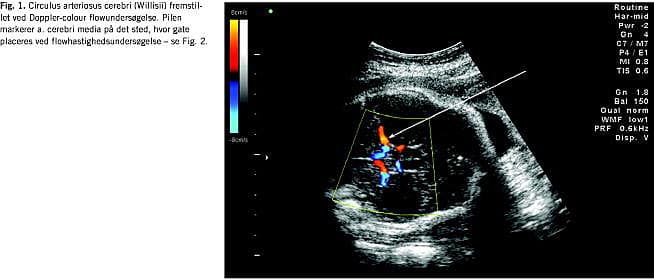
I graviditeter med anæmirisiko for fosteret ønskes viden om fosterets hæmoglobinkoncentration (Hb) som næste trin i udredningen. Niveauet er afgørende for om transfusionsbehandling skal iværksættes eller om igangsættelse af fødslen bør tilrådes, hvis gestationsalderen er fremskreden. Mange metoder har været forsøgt for at opnå denne viden, uden at være nødsaget til at foretage cordocentese med de dertil hørende risici. Antistofniveauet i maters blod giver over en vis cut-off- værdi en dårlig prædiktion af foster-Hb. Hydrops/ascites hos fosteret er meget let at se ved ultralydskanning, men problemet med dette sygdomstegn er, at det forekommer sent i anæmiudviklingen, og at ikke alle fostre udvikler hydrops selv ved meget lav Hb. Endvidere at resultaterne ved behandling af fostre, der allerede er hydrope, når behandling påbegyndes, er klart dårligere end for non-hydrope [3]. Gennem mange år anvendtes monitorering ved at foretage gentagne amniocenteser i løbet af graviditeten med bestemmelse af amnionbilirubin. Værdierne plottedes på et Liley chart, hvor fosterets sandsynlighed/risiko for at blive født med henholdsvis svær anæmi, moderat anæmi eller normal Hb kunne aflæses. Da denne metode er invasiv og ikke så præcis, har mange kliniske forskere forsøgt at finde bedre noninvasive metoder. Bl.a. har følgende været evalueret: miltomkreds, leverlængde, diameter af v. umbilicalis, placentatykkelse og flow indices ved Doppler-undersøgelse af mange forskellige føtale kar [4]. Et gennembrud kom, da man begyndte at måle de maksimale systoliske flowhastigheder (PSV) i a. cerebri media (MCA) (Fig. 1 og Fig. 2 ). Mari et al [5] publicerede i 2000 et multicenterstudie med PSV-MCA og føtal-Hb fra 111 gravide med immunisering og 265 kontroller. Ved retrospektiv analyse fandtes at ved en PSV cut-off -værdi på 1,5 multiplikationer af medianværdien (MOM) og en Hb-cut-off -værdi for transfusionskrævende anæmi på 0,65 MOM fandtes en sensitivitet på 100% og falsk positivrate på 12%. I senere studier med evaluering af MCA-Doppler er der fundet sensitivitet på 88-96% og specificitet på 71-100% [6-8]. Efter 35. uge findes dog en meget høj falsk positivrate [6]. Kontrol med amnionbilirubinbestemmelse er ved mange centre nu erstattet af ultralydkontrol med måling af MCA-PSV.

Behandling

Hovedprincipperne i behandlingen har været uændret gennem de seneste 20 år: igangsættelse af fødslen før terminen i lette til moderate tilfælde samt transfusionsbehandling og igangsættelse/sectio i de sværere tilfælde. Siden Lileys første intrauterine intraperitoneale transfusion i 1963 under røntgengennemlysning er transfusionsteknikken blevet udviklet. Først intravaskulær transfusion via føtoskop og siden foretaget ultralydvejledt [9]. Yderligere forbedringer er sket ved udvikling af metoder til beregning af transfusionsvolumen og transfusionsinterval. Generelt stiles der mod forløsning ved 34-38 gestationsuger. Postnatalt er lysbehandling og udskiftningstransfusion ofte nødvendig. Da visse transfusionsbørn udvikler en vis grad af hæmning af erytrocytproduktionen bør Hb-niveauet kontrolleres også efter udskrivelsen. Ved faldende Hb kan der primært forsøges rekombinant erytropoietinbehandling. Generelt er resultaterne af intrauterin transfusionsbehandling gode om end stærkt afhængig af immuniseringstype og sværhedsgrad. Overlevelse for fostre med hydrops på tidspunktet for start på transfusionsbehandling er ca. 55% ved svær hydrops mod 90-95% for nonhydrope fostre [3].

Fremtiden

Sundhedsstyrelsens forslag til reviderede retningslinjer for rhesusprofylakse forventes snart at blive offentliggjort. Formentlig vil vi i den nærmeste fremtid noninvasivt kunne få bestemt fosterets blodtype med sikkerhed for alle alloimmuniseringsrelevante blodtyper ved analyse af frit føtalt DNA isoleret i en maternel blodprøve. Vedrørende behandling vil et væsentligt fremskridt være, hvis det lykkes at finde en metode til at modulere den gravides antistofproduktion, således at transfusionsbehovet kan nedsættes i de svære immuniseringstilfælde og måske helt undgåes i moderate tilfælde [10].


Finn Stener Jørgensen, Ultralydklinikken, Juliane Marie Centret, Afsnit 4023, H:S Rigshospitalet, DK-2100 København Ø.

Antaget den 23. september 2003.

H:S Rigshospitalet, Juliane Marie Centret, Ultralydklinikken og Obstetrisk Klinik.

  1. Lo YMD, Hjelm NM, Fidler C et al. Prenatal diagnosis of fetal RhD status by molecular analysis of maternal plasma. N Engl J Med 1998;339:1734-8.
  2. Finning KM, Martin PG, Soothill PW et al. Prediction of fetal D status from maternal plasma: introduction of a new noninvasive fetal RHD genotyping service. Transfusion 2002;42:1079-85.
  3. Van Kamp IL, Klumper FJCM, Bakkum RSLA et al. The severity of immune fetal hydrops is predictive of fetal outcome after intrauterine treatment. Am J Obstet Gynecol 2001;185:668-73.
  4. Hajdú J. Non-invasive diagnosis and follow-up of fetal anemia. Ultrasound Rev Obstet Gynecol 2002;2:73-82.
  5. Mari G for The Collaborative Group for Doppler Assessment of the Blood Velocity in Anemic Fetuses. Noninvasive diagnosis by Doppler ultrasonography of fetal anemi due to maternal red-cell alloimmunization. N Engl J Med 2000;342:9-14.
  6. Zimmermann R, Durig P, Carpenter RJ et al. Longitudinal measurement of peak systolic velocity in the fetal middle cerebral artery for monitoring pregnancies complicated by red cell alloimmunisation: a prospective multicentre trial with intention-to-treat. Br J Obstet Gynaecol 2002;109:746-52.
  7. Abdel-Fattah SA, Soothill PW, Carroll SG et al. Middle cerebral artery Doppler for the prediction of fetal anaemia in cases without hydrops: a practical approach. Br J Radiol 2002;75:726-30.
  8. Abdel-Fattah SA, Soothill PW, Carroll SG et al. Noninvasive diagnosis of anemia in hydrops fetalis with the use of middle cerebral artery Doppler velocity. Am J Obstet Gynecol 2001;185:1411-5.
  9. Bang J, Bock JE, Trolle D. Ultrasound guided fetal intravenous tr ansfusion for severe rhesus haemolytic disease. BMJ 1982;284:373-4.
  10. Whitecar PW, Farb R, Subramanyam L et al. Paternal leukocyte alloimmunization as a treatment for hemolytic disease of the newborn in a rabbit model. Am J Obstet Gynecol 2002;187:977-80.

Referencer

  1. Lo YMD, Hjelm NM, Fidler C et al. Prenatal diagnosis of fetal RhD status by molecular analysis of maternal plasma. N Engl J Med 1998;339:1734-8.
  2. Finning KM, Martin PG, Soothill PW et al. Prediction of fetal D status from maternal plasma: introduction of a new noninvasive fetal RHD genotyping service. Transfusion 2002;42:1079-85.
  3. Van Kamp IL, Klumper FJCM, Bakkum RSLA et al. The severity of immune fetal hydrops is predictive of fetal outcome after intrauterine treatment. Am J Obstet Gynecol 2001;185:668-73.
  4. Hajdú J. Non-invasive diagnosis and follow-up of fetal anemia. Ultrasound Rev Obstet Gynecol 2002;2:73-82.
  5. Mari G for The Collaborative Group for Doppler Assessment of the Blood Velocity in Anemic Fetuses. Noninvasive diagnosis by Doppler ultrasonography of fetal anemi due to maternal red-cell alloimmunization. N Engl J Med 2000;342:9-14.
  6. Zimmermann R, Durig P, Carpenter RJ et al. Longitudinal measurement of peak systolic velocity in the fetal middle cerebral artery for monitoring pregnancies complicated by red cell alloimmunisation: a prospective multicentre trial with intention-to-treat. Br J Obstet Gynaecol 2002;109:746-52.
  7. Abdel-Fattah SA, Soothill PW, Carroll SG et al. Middle cerebral artery Doppler for the prediction of fetal anaemia in cases without hydrops: a practical approach. Br J Radiol 2002;75:726-30.
  8. Abdel-Fattah SA, Soothill PW, Carroll SG et al. Noninvasive diagnosis of anemia in hydrops fetalis with the use of middle cerebral artery Doppler velocity. Am J Obstet Gynecol 2001;185:1411-5.
  9. Bang J, Bock JE, Trolle D. Ultrasound guided fetal intravenous transfusion for severe rhesus haemolytic disease. BMJ 1982;284:373-4.
  10. Whitecar PW, Farb R, Subramanyam L et al. Paternal leukocyte alloimmunization as a treatment for hemolytic disease of the newborn in a rabbit model. Am J Obstet Gynecol 2002;187:977-80.