Fækulom, en sjælden tilstand med svær forstoppelse hos en patient i kronisk hæmodialyse


Deepti B.C., e-mail: dr.deeptibc@gmail.com, & Birgitte Godskesen Tougaard Ugeskr Læger 2016;178:V68128
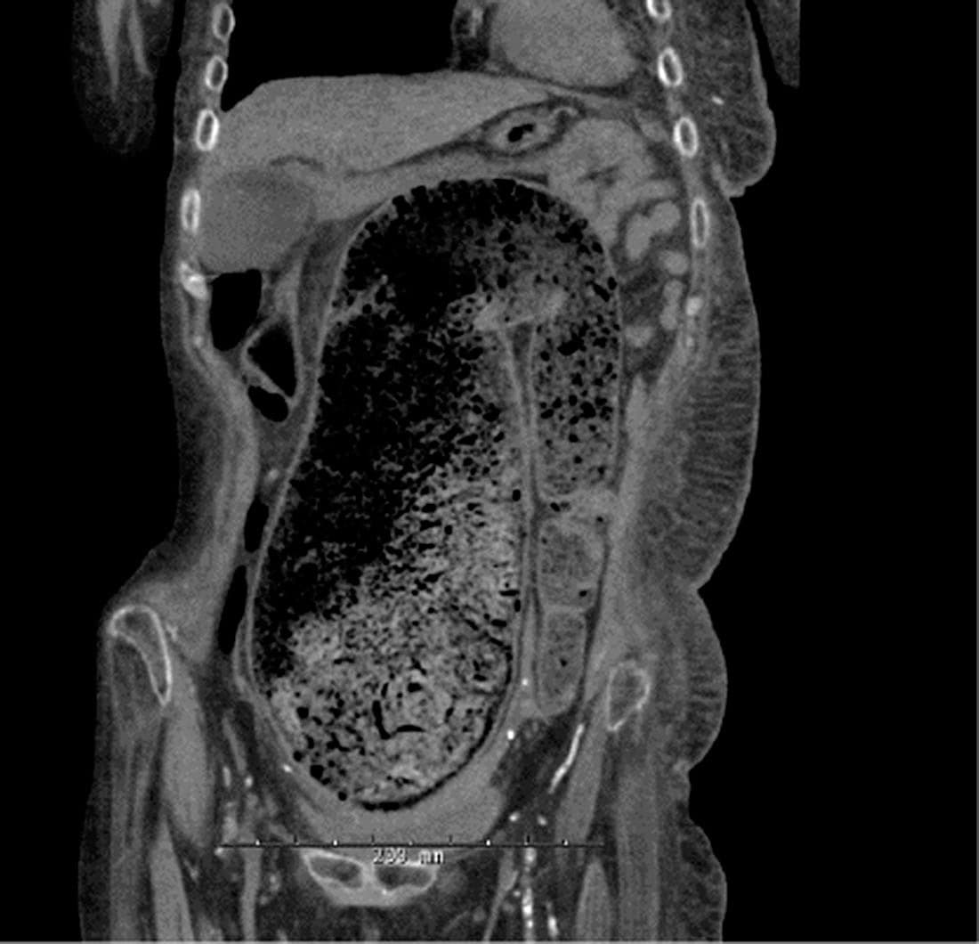
En 55-årig kvinde, der var i kronisk hæmodialyse, blev indlagt med svær obstipation gennem otte dage. En røntgenoversigt over abdomen viste, at sigmoideum elongatum var udtamponeret af fæces. Hun havde ikke tegn på ileus, og man påbegyndte konservativ behandling med klysma på rektalsonde og laksantia via ventrikelsonde. Pga. tiltagende mavesmerter og blødning per rectum blev der foretaget en CT af abdomen, hvor der sås mønstrøs koprostase i sigmoideum og rectum. Tarmlumen blev målt til 12 cm i diameter. En koloskopi viste mulig blødning, men ingen tegn på obstruerende tumor. Patienten fik fortsat konservativ behandling.
En ny CT af abdomen efter to uger viste massiv fri luft og afslørede en fistel mellem blæren og vagina. Der blev fortaget eksplorativ laparotomi, hvor man fandt perforeret sigmoidium samt abscesdannelse i det lille bækken, og patienten endte med kolostomi i venstre fossa iliaca (Hartmanns operation).
Fækulom er en sjælden tilstand med svær obstipation. Diagnosen stilles ved CT, hvor rectum og evt. den distale del af colon er dilateret og udtamponeret af fæces [1]. En alvorlig komplikationer er tarmperforation [2, 3]. Sigmoideumresektion i tide kan komme på tale for at udgå sterkoral perforation med øget mortalitet og abscesdannelse til følge [4]. Tidspunktet for sigmoideumresektion er altafgørende for udfaldet, men også vanskeligt at fastsætte.
Publiceret på Ugeskriftet.dk: 10. oktober 2016
Interessekonflikter:
Segall H. Obstruction of large bowel due to fecaloma – successful medical treatment in two cases. California Med 1968;108:54-6.
Maull KJ, Kinning WK, Kay S. Stercoral ulceration. Am J Surg 1982;48:20-4.
Rajagopal A, Martin J. Giant fecaloma with idiopathic sigmoid megacolon: report of a case and review of the literature. Dis Colon Rectum 2002;45:833-5.
Garisto JD. Giant fecaloma in a 12-year-old-boy: a case report. Cases J 2009;2:127.