Fæokromocytom med spontan retroperitoneal blødning


Sofie Elise Gellert, Maria Hilscher & Mikael Aagaard
Fæokromocytomer er tumorer i binyremarven opstået i de kromaffine celler. De producerer katekolaminerne adrenalin, noradrenalin og dopamin [1]. Det er en sjælden lidelse, og i Danmark er incidensen af fæokromocytomer 6,6 pr. mio. pr. personår, hvilket er en næsten femdobling siden 1977 [2]. Diagnosen kan stilles biokemisk ved forhøjet niveau af plasmametanefriner, som er nedbrydningsprodukter af katekolaminerne [1]. Fæokromocytomer kan give forskellige symptomer og er forårsaget af enten katekolaminoverproduktion, lokalt tryk eller metastaser. De hyppigste symptomer er hypertension, hovedpine, palpitationer og øget svedtendens [1]. Ca. 10% af alle tumorerne er maligne. Sjældent kan der opstå en hypertensiv krise, som kan føre til multiorgansvigt [1], og der kan opstå spontane og potentielt livstruende binyreblødninger.
En 33-årig kvinde henvendte sig hos egen læge pga. vægtøgning til BMI 34 kg/m2 og oligomenorré. Hun blev diagnosticeret med hypertension. Inden da havde hun gennemført tre graviditeter uden at have hypertension. Vægtøgningen på 35-40 kg på et år var overvejende med trunkal fedme, måneansigt, hirsutisme, svedtendens og hedeture. Patienten fik konstateret hypertension og startede i behandling med amlodipin og losartan.
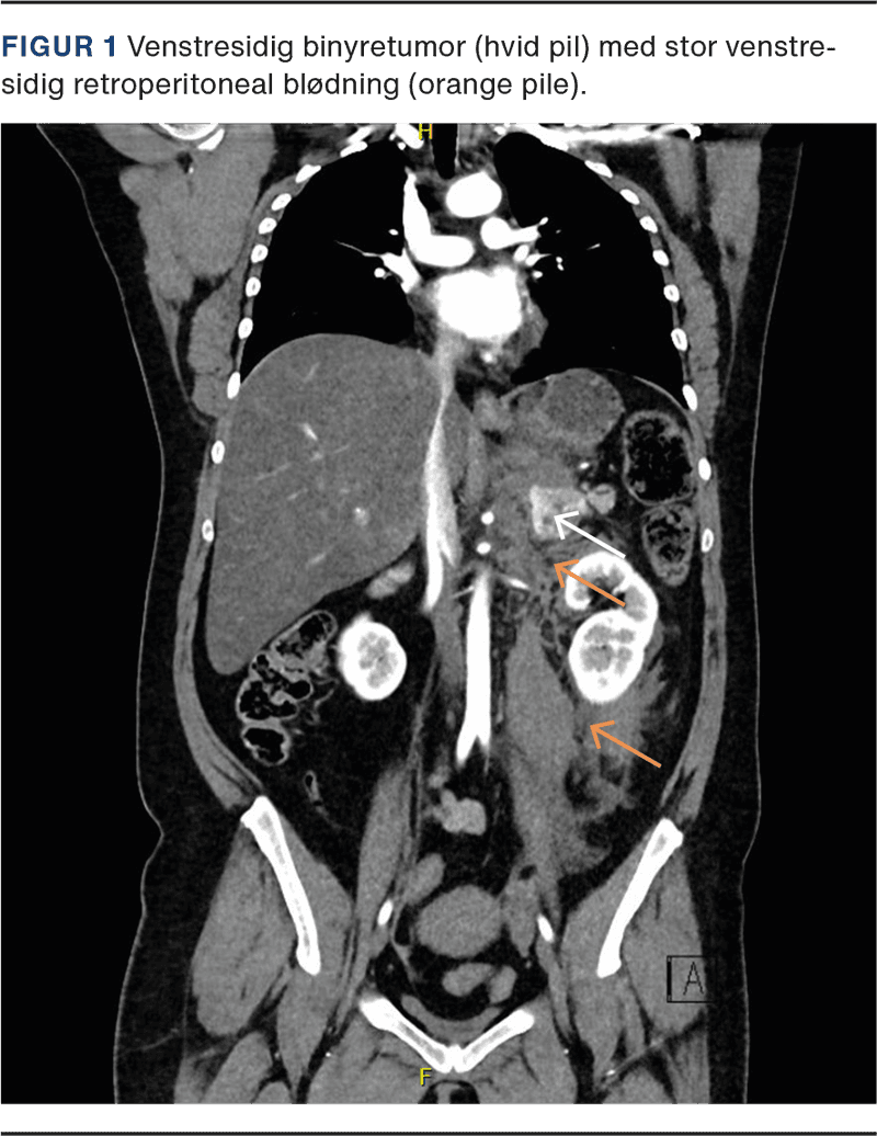
To år senere blev hun indlagt med COVID-19-infektion og pludselig stigning i blodtrykket til 223/120 mmHg ledsaget af hovedpine. Den antihypertensive behandling blev suppleret med labetalol, og hun blev henvist til et kardiologisk ambulatorium, hvor man noterede, at hun var familiært disponeret til hypertension. Hun var nu i antihypertensiv behandling med spironolacton, bendroflumethiazid, nifedipin, losartan og labetalol. Ved opfølgende besøg anførtes det, at patienten flere gange havde haft palpitationer og ubehag i brystet og maven. Der blev ordineret måling af plasmametanefriner. Kort tid efter blev patienten indlagt akut med brystsmerter, et blodtryk på 216/149 mmHg og en puls på 143 slag/min. Hun fremtrådte utilpas, bleg og klamtsvedende med ømhed i venstre side af maven. De biokemiske analyser viste kraftig leukocytose uden CRP-stigning og forhøjet kreatinin. Der blev bestilt akut CT af thorax og abdomen på mistanke om aortadissektion. Her blev der fundet venstresidig binyreblødning (Figur 1) formodentlig udgående fra en binyretumor. Patienten blev overflyttet til Rigshospitalet mhp. akut embolisering. Ved ankomsten var blodtrykket faldet til 88/62 mmHg, og en A-gasanalyse viste et fald i hæmoglobinniveauet fra 8,1 til 7,2 mmol/l. Hun blev akut emboliseret i både aa. suprarenales media og superior.
En efterfølgende endokrinologisk udredning afkræftede Cushings syndrom, men patienten diagnosticeredes med fæokromocytom pga. et vedvarende forhøjet methoxynoradrenalinniveau.
Tre måneder senere, i rolig fase, fik hun foretaget en laparoskopisk adrenalektomi forudgået af to ugers forbehandling med phenoxybenzamin. Operationen og det postoperative forløb var ukompliceret. Histologien viste fæokromocytom med en Pheochromocytoma of the Adrenal gland Scaled Score (PASS-score) på 6, og kirurgisk vurderedes tumoren som makroradikalt fjernet.
Fire måneder postoperativt var metanefrinniveauet normalt, og patienten var nu i tostofs antihypertensiv behandling. Den indre uro var forsvundet, vægten var uændret, og der var fortsat uønsket hårvækst i ansigtet. Patienten fandtes ikke at være genetisk disponeret for fæokromocytom.
I et dansk studie af Ebbehoj et al [2] blev der i perioden 1977-2015 diagnosticeret 171 fæokromocytomer i Region Nordjylland og Region Midtjylland. Ved gennemsøgning af den danske litteratur fandtes ingen kasuistikker om fæokromocytom, som blev opdaget pga. spontan blødning.
I et retroperspektivt studie af Rzepka et al [3] med dataindsamling over alle fæokromocytomer i Polen i årene 2005-2021 blev der fundet 183 patienter med fæokromocytomer; syv patienter havde spontan binyreblødning. I et litteraturstudie af Souiki et al [4] fra 2014 fandt man 65 publicerede tilfælde verden over af akutte spontane blødninger fra fæokromocytomer.
Således er dette både en sjælden sygdom og en meget sjælden »mode of discovery«. Incidensen af fæokromocytom er femdoblet siden 1970’erne pga. den øgede brug af CT [2]. I årene 1977-1986 blev langt størstedelen (75,6%) diagnosticeret på baggrund af symptomer og ved obduktion. Ser man på diagnosticeringsmetoden fra 2007-2015, blev størstedelen (55,7%) opdaget ved tilfældig billeddiagnostisk undersøgelse enten som søgning efter okkult cancer eller som et incidentalom [2].
PASS er et histologisk scoringssystem, der kan bruges til at skelne tumorer med potentiale for en biologisk aggressiv adfærd (PASS ≥ 4) fra tumorer, der opfører sig godartet (PASS < 4) [5]. Med en PASS på 6 skal patienten følges med årlige kontroller livslangt. Hyppigheden af arveligt fæokromocytom er omkring 40% [1], hvorfor alle patienter bør tilbydes genetisk udredning.
Blødning fra binyrer anbefales, hvis muligt, behandlet konservativt, og ellers ved arteriel embolisering. Herefter kan der planlægges elektiv adrenalektomi med medicinsk forbehandling i form af fenoxybenzamin [3]. Akut adrenalektomi skal være med anæstesiberedskab pga. risikoen for katekolaminkrise og den høje risiko for peroperativ mortalitet [3].
Korrespondance Sofie Elise Gellert. E-mail: sofiegellert@yahoo.dk
Antaget 10. august 2023
Publiceret på ugeskriftet.dk 18. september 2023
Interessekonflikter ingen. Forfatternes ICMJE-formularer er tilgængelige sammen med artiklen på ugeskriftet.dk
Referencer findes i artiklen publiceret på ugeskriftet.dk
Artikelreference Ugeskr Læger 2023;185:V03230187
Sofie Elise Gellert, Maria Hilscher & Mikael Aagaard
Ugeskr Læger 2023;185:V03230187
In Denmark, the incidence of pheochromocytoma is 6.6 per million person-years. This case report describes a 33-year-old woman with a life-threatening adrenal bleeding. For some years prior to the incident she had suffered from hypertension, headache, palpitations, rapid increase of weight, oligomenorrhoea and hirsutism. The treatment was acute arterial embolisation. Subsequently, due to a persistently elevated level of methoxynoradrenaline she was diagnosed with pheochromocytoma. She was endocrinologically optimised, and the adrenal gland was removed laparoscopically.