Skip to main content

Finnålsdiagnostik i hoved-hals-området

Reservelæge Jørn Bo Thomsen, reservelæge Kristine Bjørndal Sørensen & overlæge Annelise S. Krogdahl Odense Universitetshospital, Øre-, næse-, halsafdeling F og Patologisk Institut

1. nov. 2005
11 min.

Introduktion: Finnålsaspirationscytologi (FNAC) er beskrevet som en hurtig, nem, billig og praktisk talt risikofri diagnostisk metode til at vurdere suspekte læsioner på halsen. Vi har foretaget en retrospektiv undersøgelse af FNAC-prøvernes egnethed.

Materiale og metoder: I alt 715 FNAC-prøver udført af otorhinolaryngologiske speciallæger i Fyns Amt og af lægerne på Øre-, næse-, halsafdeling F, Odense Universitetshospital blev gennemgået med henblik på at finde frekvensen og årsager til uegnede FNAC-prøver.

Resultater: Der blev foretaget 715 FNAC, heraf 38% på Øre-, næse-, hals-afdeling F, Odense Universitetshospital og 62% i speciallægepraksis. 32% af FNAC'erne var uegnede til diagnostik. Der var 6% uegnede prøver, når indikationen var observation for malignitet og 36% for de øvrige indikationer. Der var signifikant forskel på antallet af uegnede prøver udført af speciallæger på en hospitalsafdeling og speciallæger i praksis, p=0,007, samt speciallæger og uddannelsessøgende læger, p=0,004.

Diskussion: Antallet af uegnede prøver i dette studie (32%) var væsentlig højere end publicerede data fra prospektive studier (13%). En del af forklaringen er, at FNAC er taget fra en bred vifte af ukarakteristiske hævelser, hvor der ikke var mistanke om malignitet, og at en stor del af prøverne var foretaget af forholdsvist uerfarne prøvetagere. Ved FNAC bør man fokusere på den rette indikation, og prøvetageren bør have en vis erfaring og fortrolighed med aspirations- og udstrygningsteknik samt have kendskab til metodens begrænsninger.

Finnålsaspirationscytologi (FNAC) er en hurtig, nem, billig og praktisk talt risikofri metode til vurdering af suspekte processer i forskellige organer [1-7].

På Øre-, næse-, hals- (ØNH) afdeling F, Odense Universitetshospital og blandt 14 speciallæger i otorhinolaryngologi i Fyns Amt anvendes FNAC ofte som førstevalg ved udredningen af hævelser på halsen. Det er derfor interessant at kende metodens diagnostiske værdi og få et overblik over årsagen til uegnede aspirater. Vi havde et indtryk af, at frekvensen af uegnede prøver var forholdsvis stor og foretog derfor en retrospektiv undersøgelse af alle FNAC udført i perioden fra den 1. januar til den 31. december 2000. Formålet var at undersøge, hvor mange FNAC der var uegnede til diagnostik, og at kategorisere disse med henblik på årsagen.

Materiale og metoder

I Fyns Amt er alle patientkontakter og undersøgelsesresultater registreret i databasen F-pas. Vi foretog en søgning på alle FNAC-prøver fra hoved-hals-området. Der var i første søgning 731 FNAC-svar. Ved nærmere analyse blev antallet reduceret til 715. De ekskluderede svar stammede enten ikke fra hoved-hals-området eller var histologisvar. Vi registrerede: 1) Om prøvetageren var fra ØNH-afdeling-F eller fra speciallægepraksis. Prøvetagerne fra ØNH-afdelingen blev inddelt efter uddannelsesniveau i speciallæger og læger under uddannelse, 2) lokalisation af den biopterede læsion: hals, lymfeknude, spytkirtel, cavum oris, andet, 3) svartype: benign, malign eller uegnet, 4) indikationerne blev inddelt i to grupper: malignitet obs. og andre og 5) antal patienter, der havde fået foretaget en uegnet FNAC og fik gentaget prøvetagningen. De uegnede svar blev kategoriseret efter årsager til uegnethed: 1) tomt glas, 2) perifert blod, 3) for lidt materiale til diagnose, 4) teknisk ringe kvalitet, 5) celler ikke repræsenterende læsionen (anukleært pladeepitel, fedtceller, muskelceller). Prøverne blev stort set alle vurderet af den samme patolog. STATA 7 blev anvendt til de statistiske analyser.

Resultater

Der blev foretaget 715 FNAC, heraf blev 269 (38%) foretaget på ØNH-afdeling F og 446 (62%) af 14 otorhinolaryngologiske (ORL)-speciallæger i Fyns Amt. Lokalisationen af prøvetagningen var: hals 239 (33%), lymfeknude 217 (30%), spytkirtel 127 (18%), mundhule 40 (6%) og andet 92 (13%). Diagnoserne var: malign 392 (55%), benign 96 (13%) og uegnet til diagnostik 226 (32%). Der var 6% uegnede prøver, når indikationen var observation for malignitet, og 36% for de øvrige indikationer. Der var ingen forskel på antallet af uegnede prøver ved sammenligning af ØNH-afdelingen 77 ud af 269 (2 9%) og speciallægepraksis 151 ud af 446 (34%), p=0,14. Men der var signifikant forskel på speciallægepraksis 151 ud af 446 (34%) og speciallæger på afdeling F 28 ud af 103 (21%), p=0,007 (Pearson χ2 ) (Tabel 1 ). Der var ligeledes signifikant forskel på antallet af uegnede prøver ved sammenligning af speciallæger på afdeling F 28 ud af 132 (21%) og gruppen af læger under uddannelse 46 ud af 122 (38%) på ØNH-afdelingen, p=0,004 (Pearson χ2 ). Enogfirs gange fik en patient gentaget FNAC som følge af en primært uegnet prøve (36%). Af disse var 56 egnede (69%). Årsager til uegnethed var: tomt glas 35 (16%), perifert blod 77 (34%), for lidt til materiale til diagnose 46 (20%), teknisk ringe kvalitet 23 (10%), celler repræsenterer ikke læsionen 46 (20%).

Diskussion

I dette materiale på 715 prøver var 226 (32%) uegnede til diagnostik. Det høje antal afspejler, at der er tale om et retrospektivt studie - man ville formentlig være mere opmærksom på prøvernes kvalitet, hvis det drejede sig om et prospektivt studie. Antallet af uegnede prøver var væsentlig højere end i data fra prospektive studier, hvor den gennemsnitlige frekvens var 13% [1-8]. Prøverne i dette studie er taget af mange læger med forskelligt værktøj, aspirationsteknik og erfaring. Blandt de uegnede prøver var der 35 tomme udstrygningsglas og 77 glas, som kun indeholdt perifert blod. Disse 112 (16%), som udgjorde halvdelen af de uegnede prøver, ville uden videre kunne sorteres fra, idet klinikeren i stort omfang selv kan vurdere præparatet blot ved at holde glasset op mod lyset for at få et indtryk af celleindholdet. Knappe et al har vist, at antallet af uegnede prøver kan reduceres fra over 20% til under 10%, blot ved at man fokuserer på problemet [3]. Det er derimod tvivlsomt, om klinikeren ville kunne vurdere udstrygningerne med for lidt materiale, mens en teknisk dårlig kvalitet med tyk eller kvæstet udstrygning bør kunne undgås [9, 10]. Celler, der ikke stammer fra læsionen, skal under alle omstændigheder vurderes af en cytologisk ekspert.

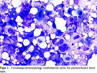
Lieu anvender ikke ultralyd, men asp irerer kun fra afgrænsede læsioner, der kan palperes og fikseres mod det omgivende væv [10]. Ved ikkepalpable læsioner kan ultralydvejledt FNAC med fordel anvendes [3, 11-13]. FNAC er langt vanskeligere, når den anvendes ved ukarakteristiske hævelser, hårde, forkalkede og/eller cellefattige processer eller glandula submandibularis med sten eller adenitis. Hvilket også afspejles i dette studie, hvor kun 6% var uegnet, når det drejede sig om klinisk metastasesuspekte tumorer, i forhold til 36%, når der blev aspireret fra en ukarakteristisk udfyldning. Det understreger, at en velovervejet klinisk indikation for anvendelse af FNAC er afgørende for et positivt resultat [1-5, 11-14] (Figur 1 ).

Vi har i dette studie fundet signifikant forskel på, om prøvetageren var speciallæge eller læge under uddannelse. Erfaring er således betydende for succesraten inden for FNAC-diagnostikken [10, 15]. Tallene kunne afspejle at der ikke fokuseres nok på mesterlære med den dertil hørende supervision.

62% af de undersøgte FNAC blev udført i speciallægepraksis, hvor FNAC bliver foretaget på bred indikation, mens patientmaterialet på en universitetsafdeling mere vil være domineret af veldefinerede tumorprocesser. Den brede indikation medfører en højere procentandel af uegnede udstrygninger, hvilket kan være en del af forklaringen på den signifikante forskel på antallet af uegnede prøver foretaget af speciallæger i praksis og af speciallæger på en hospitalsafdeling.

Hos en tredjedel af de patienter, hvor FNAC var uegnet, blev der reaspireret. To tredjedele af de nye prøvesvar var egnede. Den resterende tredjedel kan formodes at være fra ukarakteristiske læsioner, som enten er svundet spontant eller ikke har givet anledning til yderligere udredning.

Konsekvensen af et stort antal uegnede FNAC-undersøgelser er for patienten en forlænget udredningstid med heraf følgende gener [16]. For såvel kliniker som cytolog er de uegnede prøver spild af tid og dermed resurser. Der bør kontinuerligt fokuseres på at optimere FNAC-prøvetagningen ved mesterlære, undervisning og feedback. Samarbejdet omkring FNAC-diagnostik er en vedvarende proces præget af et stort antal interessenter.

Konklusion

FNAC anvendes ofte i ØNH-specialet som førstevalg i udredning af mere eller mindre veldefinerede hævelser på halsen. Et stort antal uegnede finnålsaspirater kan miskreditere en i øvrigt nem og billig metode til hurtigt at diagnosticere en tumor eller anden veldefineret patologisk proces i hoved-hals-området. Årsagen til uegnede aspirater er især en utilstrækkelig indikation for undersøgelsen (for mange ukarakteristiske hævelser), manglende kritisk sans ved vurdering af materialet (16% tomme glas), manglende erfaring med proceduren, hvilket afspejler sig i teknisk ringe kvalitet af udstrygningen og et ikkerepræsentativt materiale. Mesterlæreprincippet, supervision og feedback er nødvendigt i det samarbejde, der omfatter et stort antal interessenter.


Jørn Bo Thomsen, Nuklearmedicinsk Afdeling, Odense Universitetshospital, DK-5000 Odense C. E-mail: jbth@dadlnet.dk

Antaget: 26. april 2004

Interessekonflikter: Ingen angivet

  1. Atula TS, Grenman R, Varpula MJ et al. Palpation, ultrasound, and ultrasound-guided fine-needle aspiration cytology in the assessment of cervical lymph node status in head and neck cancer patients. Head Neck 1996;18:545-51.
  2. Hodder SC, Evans RM, Patton DW et al. Ultrasound and fine needle aspiration cytology in the staging of neck lymph nodes in oral squamous cell carcinoma. Br J Oral Maxillofac Surg 2000;38:430-6.
  3. Knappe M, Louw M, Gregor RT. Ultrasonography-guided fine-needle aspiration for the assessment of cervical metastases. Arch Otolaryngol Head Neck Surg 2000;126:1091-6.
  4. Kruyt RH, van Putten WL, Levendag PC et al. Biopsy of nonpalpable cervical lymph nodes: selection criteria for ultrasound-guided biopsy in patients with head and neck squamous cell carcinoma. Ultrasound Med Biol 1996;22:413-9.
  5. Takashima S, Sone S, Nomura N et al. Nonpalpable lymph nodes of the neck: assessment with US and US-guided fine-needle aspiration biopsy. J Clin Ultrasound 1997;25:283-92.
  6. Takes RP, Knegt P, Manni JJ et al. Regional metastasis in head and neck squamous cell carcinoma: revised value of US with US-guided FNAB. Radiology 1996;198:819-23.
  7. Vassilakos P, Schweblin JD, Albe X. A new syringe for fine needle aspiration biopsy. Acta Cytol 1993;37:29-33.
  8. Zardawi IM. Fine needle aspiration cytology in a rural setting. Acta Cytol 1998;42:899-906.
  9. Kim E, Acosta E, Hilborne L et al. Modified technique for fine needle aspiration biopsy that eliminates needle manipulation. Acta Cytol 1996;40:174-6.
  10. Lieu D. Fine-needle aspiration: technique and smear preparation. Am Fam Physician 1997;55:839-4.
  11. Baatenburg de Jong RJ, Rongen RJ, Verwoerd CD et al. Ultrasound-guided fine-needle aspiration biopsy of neck nodes. Arch Otolaryngol Head Neck Surg 1991;117:402-4.
  12. Colnot DR, Nieuwenhuis EJ, van den Brekel MW et al. Head and neck squamous cell carcinoma: US-guided fine-needle aspiration of sentinel lymph nodes for improved staging - initial experience. Radiology 2001;218:289-93.
  13. van den Brekel MW, Castelijns JA, Stel HV et al. Occult metastatic neck disease: detection with US and US-guided fine-needle aspiration cytology. Radiology 1991;180:457-61.
  14. Pisharodi LR. False-negative diagnosis in fine-needle aspirations of squamous-cell carcinoma of head and neck. Diagn Cytopathol 1997;17:70-3.
  15. Zardawi IM. Fine needle aspiration cytology in a rural setting. Acta Cytol 1998;42:899-906.
  16. Baatenburg de Jong RJ, Knegt P, Verwoerd CD. Reduction of the number of neck treatments in patients with head and neck cancer. Cancer 1993;71:2312-8.

Summary

Summary Fine-needle aspiration cytology in the evaluation of head and neck tumours: what is the cause of inadequate samples? Ugeskr Læger 2004;166:3497-3499 Introduction: Fine-needle aspiration cytology (FNAC) is a fast, easy, inexpensive and practically risk-free method of evaluating tumours in the head and neck. We performed a retrospective study in which we evaluated the frequency of inadequate FNACs. Materials and methods: 715 FNACs sampled by ear, nose and throat (ENT) specialists in the County of Funen and in the Department of Otorhinolaryngology (ORL), Odense University Hospital, were reviewed to determine the frequency and possible causes of inadequate samples. Results: 715 FNACs were performed, 62% by ENT specialists in their clinics and 38% in the Department of ORL, Odense University Hospital. 32% of the FNACs were inadequate for diagnosis; 6% were inadequate when the indication was malignancy and 36% in other indications. There was a significant difference between the frequency of inadequate samples between those performed by the consultants in the ENT department and those done by the ENT specialists outside the hospital, p=0.007, and also a significant difference between those performed by consultants and non-consultants, p=0.004. Discussion: The frequency of inadequate samples in this study (32%) was higher than that in prospective studies (13%). Several of the FNACs were sampled from a variety of uncharacteristic lesions, with no indication of malignancy. Moreover, a large portion of the samples were performed by relatively inexperienced doctors. Experience, the correct indi-cation and knowledge of aspiration and smear techniques as well as possible pitfalls are essential in avoiding too many inadequate samples.

Referencer

  1. Atula TS, Grenman R, Varpula MJ et al. Palpation, ultrasound, and ultrasound-guided fine-needle aspiration cytology in the assessment of cervical lymph node status in head and neck cancer patients. Head Neck 1996;18:545-51.
  2. Hodder SC, Evans RM, Patton DW et al. Ultrasound and fine needle aspiration cytology in the staging of neck lymph nodes in oral squamous cell carcinoma. Br J Oral Maxillofac Surg 2000;38:430-6.
  3. Knappe M, Louw M, Gregor RT. Ultrasonography-guided fine-needle aspiration for the assessment of cervical metastases. Arch Otolaryngol Head Neck Surg 2000;126:1091-6.
  4. Kruyt RH, van Putten WL, Levendag PC et al. Biopsy of nonpalpable cervical lymph nodes: selection criteria for ultrasound-guided biopsy in patients with head and neck squamous cell carcinoma. Ultrasound Med Biol 1996;22:413-9.
  5. Takashima S, Sone S, Nomura N et al. Nonpalpable lymph nodes of the neck: assessment with US and US-guided fine-needle aspiration biopsy. J Clin Ultrasound 1997;25:283-92.
  6. Takes RP, Knegt P, Manni JJ et al. Regional metastasis in head and neck squamous cell carcinoma: revised value of US with US-guided FNAB. Radiology 1996;198:819-23.
  7. Vassilakos P, Schweblin JD, Albe X. A new syringe for fine needle aspiration biopsy. Acta Cytol 1993;37:29-33.
  8. Zardawi IM. Fine needle aspiration cytology in a rural setting. Acta Cytol 1998;42:899-906.
  9. Kim E, Acosta E, Hilborne L et al. Modified technique for fine needle aspiration biopsy that eliminates needle manipulation. Acta Cytol 1996;40:174-6.
  10. Lieu D. Fine-needle aspiration: technique and smear preparation. Am Fam Physician 1997;55:839-4.
  11. Baatenburg de Jong RJ, Rongen RJ, Verwoerd CD et al. Ultrasound-guided fine-needle aspiration biopsy of neck nodes. Arch Otolaryngol Head Neck Surg 1991;117:402-4.
  12. Colnot DR, Nieuwenhuis EJ, van den Brekel MW et al. Head and neck squamous cell carcinoma: US-guided fine-needle aspiration of sentinel lymph nodes for improved staging - initial experience. Radiology 2001;218:289-93.
  13. van den Brekel MW, Castelijns JA, Stel HV et al. Occult metastatic neck disease: detection with US and US-guided fine-needle aspiration cytology. Radiology 1991;180:457-61.
  14. Pisharodi LR. False-negative diagnosis in fine-needle aspirations of squamous-cell carcinoma of head and neck. Diagn Cytopathol 1997;17:70-3.
  15. Zardawi IM. Fine needle aspiration cytology in a rural setting. Acta Cytol 1998;42:899-906.
  16. Baatenburg de Jong RJ, Knegt P, Verwoerd CD. Reduction of the number of neck treatments in patients with head and neck cancer. Cancer 1993;71:2312-8.