Forhøjet D-dimer og karakteristiske billeddiagnostiske fund hos patient med COVID-19


Sune Eisner Lynggaard, Leo Nygaard & Ellen Kirstine Overgaard
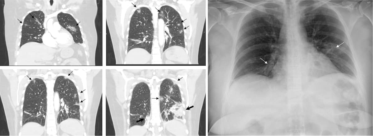
En 54-årig kvinde blev indlagt med en uges varende hovedpine, feber, tør hoste og tiltagende dyspnø. Hun havde på sit arbejde været eksponeret for severe acute respiratory syndrome coronavirus 2 (SARS-CoV-2), og flere blandt det øvrige plejepersonale var testet positive. Ved indlæggelsen havde hun en saturation på 93% på 2l ilt, en respirationsfrekvens på 21/min, en puls på 90 slag/min og C-reaktivt protein-niveaupå 38 mg/l. Et røntgenbillede af thorax viste kun diskrete infiltrative strøg (hvide pile). Patienten blev testet positiv for SARS-CoV-2. På grund af forhøjet D-dimer (1,46 mg/l (FEU)) blev der lavet en CT af thorax. Hermed afkræftedes mistanken om lungeemboli, men i stedet sås der bilaterale, perifere, multilobære matglasinfiltrater (vist med sorte pile) med konsolidering basalt (vist med fede sorte pile). De billeddiagnostiske fund var karakteristiske for coronavirus disease 2019 (COVID-19) [1].
I et studie fra 2020 fandt man D-dimerforhøjelse hos 36-43% af COVID-19-tilfældene, med en korrelation mellem de højeste værdier af D-dimer og de sværeste tilfælde af sygdommen [2]. I den nyeste opgørelse fra WHO pr. 8 april 2020 er det opgivet, at der på verdensplan var 22.073 tilfælde af COVID-19 blandt sundhedspersonale, og det er angivet, at sundhedspersonale pr. 10. april 2020 udgjorde 11% af det samlede antal smittede i Italien [3]. Opgørelserne af disse data er imidlertid få, og der er formentlig store mørketal [3].
Korrespondance: Sune Eisner Lynggaard. E-mail: sune.eisner.lynggaard@rsyd.dk
Publiceret på Ugeskriftet.dk: 8. juni 2020
Interessekonflikter: ingen. Forfatternes ICMJE-formularer er tilgængelig sammen med artiklen på Ugeskriftet.dk
Plesner LL, Dyrberg E, Hansen IV et al. Billeddiagnostiske fund ved COVID-19. Ugeskr Læger 2020;182:V03200191.
Lippi G, Favaloro EJ. D-dimer is associated with severity of Coronavirus Disease 2019: a pooled analysis. Thromb Haemost 3. apr 2020 (e-pub ahead of print).
https://www.who.int/docs/default-source/coronaviruse/situation-reports/20200411-sitrep-82-covid-19.pdf?sfvrsn=74a5d15_2.
Hjemmesiden er besøgt d. 15.04.2020.