Skip to main content

Forreste korsbånd

Michael R. Krogsgaard

2. nov. 2005
20 min.

Det forreste korsbånd har en mekanisk og en sensorisk funktion, såvel under almindelige aktiviteter som under fysisk belastning, som fx sport. I Danmark opstår der ca. 2.500 korsbåndsskader/år, hyppigst under sport. Diagnosen stilles oftest klinisk. Akut sutur af korsbåndet giver ikke tilfredsstillende resultat. Rekonstruktion giver mekanisk stabilitet og god knæfunktion hos 80%, men færre end 50% vender tilbage til eliteidræt på tidligere niveau. Risikoen for senere degenerativ knælidelse er 10-15-doblet efter isoleret korsbåndslæsion. Korsbåndsskader hos børn har ubehandlet en særlig dårlig prognose. Proprioceptionstræning kan reducere risikoen for korsbåndsskader under fodbold. Der er dårlig evidens for de kirurgiske og rehabiliteringsmæssige behandlingsstrategier ved korsbåndsskade. Der bør iværksættes randomiserede undersøgelser og indsamles epidemiologiske data, evt. i en landsdækkende korsbåndsdatabase.

I den vestlige verden er det forreste korsbånd formentlig den bevægeapparatsstruktur, som i størst omfang har betydning for menneskets livskvalitet. Et velfungerende korsbånd er en forudsætning for normal knæfunktion, både under almindelig aktivitet som gang og under store fysiske belastninger. Korsbåndsskader rammer primært unge mennesker, og følgerne præger dem ofte resten af livet.

I de seneste 20 år har vi fået en stigende indsigt i korsbåndets funktion. Samtidig er der satset kraftigt på at udvikle behandlingen af korsbåndsskader. I USA foretages der årligt mere end 60.000 korsbåndsrekonstruktioner og i Danmark ca. 1.500.

Der er dog fortsat mange uafklarede spørgsmål, både af basalfysiologisk karakter og vedrørende forebyggelse og behandling af korsbåndsskader og meget få randomiserede studier. Der findes intet Cochrane-review om forreste korsbånd.

Anatomi

Det forreste korsbånd er ca. 11 mm i diameter og knap 4 cm langt. Det fæstner vifteformet på tibia mellem forhornene af meniskerne på et 1$3 cm elipseformet område og på femur helt bagest på indersiden af den laterale kondyl. Korsbåndsfibrene tvister 90 grader, således at de mediale fibre fra femur insererer anteriort på tibia, og de laterale insererer bagest på tibia. Den forreste (anteromediale) del strammes især ved ca. 90 graders fleksion, hvorimod den bageste (posterolaterale) del strammes under ekstension (1, 2).

Det forreste korsbånd er opbygget af fascikler, der indeholder 90% type I-kollagen. Fasciklerne er gennemgående fra femur til tibia, og ved insertionerne i femur og tibia fortsætter korsbåndsfibrillerne over i kollagenfibriller i knoglevævet. Kollagen og intercellulær substans produceres kontinuerligt af fibroblaster i korsbåndet (3).

Den maksimale trækstyrke af forreste korsbånd er ca. 2000 N (ca. 200 kg), og den kan formentlig ikke øges ved træning (4). Hvis korsbåndet udsættes for kraftigere træk, brister det (Boks 1).

Korsbåndet indeholder mekanoreceptorer, dvs. nerveendeorganer, som er følsomme over for træk, tryk og accelleration. De er overvejende placeret i enderne og på overfladen af korsbåndet.

Biomekanik og dynamik

Den mekaniske funktion af det forreste korsbånd (ACL)

Det forreste korsbånd forhindrer fremadglidning af tibia (anterior translation) ved alle grader af fleksion og er ansvarlig for mere end 85% af den forreste stabilitet i knæet. I mindre omfang forhindrer det desuden rotation og sidevaklen (varus-valgus-bevægelser) af tibia (1).

Den belastning, som korsbåndet udsættes for under aktivitet, afbalanceres af muskelaktiviteten omkring knæet. Ved fleksion under belastning bliver quadricepskraften ofte større end hasemuskelkraften, og forskellen absorberes i det forreste korsbånd. Denne kraft må ikke overstige korsbåndets maksimale trækstyrke, og det forhindres ved cokontraktion, dvs. det fænomen, at når en muskel aktiveres (fx quadriceps under ekstension), så aktiveres antagonisten også (i eksemplet altså hasemusklerne). Dette muliggør, at bevægelser foretages glidende, og beskytter ligamenterne mod for kraftigt træk. Hvis co-kontraktion ikke eksisterede, ville korsbåndene blive revet over ved dagligdags aktivitet.

Den sensoriske funktion af ACL

Funktionen af det forreste korsbånd er ikke alene mekanisk. De sensoriske input fra det forreste korsbånd udgør sammen med impulser fra andre strukturer samt synet og vestibulærapparatet de informationer, som rygmarv, hjernestamme, lillehjerne og hjerne har til rådighed, når muskel-funktionen skal koordineres. Under daglig aktivitet er koordinationen formentlig forprogrammeret, altså på forhånd tilrettelagt på baggrund af de erfaringer, der er indsamlet tidligere, bl.a. fra de sensoriske informationer. Ved overrivning af det forreste korsbånd forstyrres dette komplicerede neuromuskulære samarbejde, hvilket medfører nedsat evne til at koordinere den muskulære aktivitet omkring knæet. Dette betegnes funktionel instabilitet.

Ved stimulation af de sensoriske nerver i korsbåndene kan der udløses en muskulær refleks. I hvile udløses en kontraktion i hasemuskulaturen, mens refleksen under muskelaktivitet er hæmmende, dvs. standser den igangværende aktivitet (5). Refleksen har for lang en latenstid til at kunne beskytte korsbåndet mod en akut belastning, og dens funktion er formentlig primært at opdatere de motorprogrammer, som koordinerer knæets bevægelser (5) (Fig. 1).

ACL-skader

I Danmark opstår der hvert år 2.000-2.500 skader på forreste korsbånd, overvejende under sportsudøvelse og hos aktive personer i alderen 15-25 år. Mænd skades hyppigst under fodbold og kvinder hyppigst under håndbold fulgt af basketball, volleyball og skiløb. Kvinder har 2-8 gange større risiko for korsbåndsskade end mænd (6, 7).

Muligvis ændrer hormonsvingninger under den kvindelige cyklus risikoen for skade på det forreste korbånd, idet der forekommer flere skader end ventet i den ovulatoriske fase (8) og færre skader hos kvinder, som anvender p-piller (9).

Hypermobile, som kan overstrække knæene (typisk 15-20 grader), har ca. fem gange forøget risiko for knæskader (10).

Skadesmekanismer

En person kan lædere sit forreste korsbånd under direkte kontakt med en anden person eller uden kontakt. Ikke-kontaktskader ops tår ved, at foden står fast, imens kroppen drejer (6), eller ved hyperekstension af knæet, fx under nedslag fra hop.

Korsbåndsskader under håndbold i de tre øverste divisioner i Norge er undersøgt grundigt. Man fandt 0,97 skade per 1.000 spilletime. I løbet af to sæsoner fik 1,8% af kvinderne og 1,0% af mændene korsbåndsskade, men hyppigheden var størst i 1. division (4,5%). På trods af, at de fleste spilletimer blev anvendt til træning, opstod 75% af skaderne under kamp. 95% af skaderne skete uden kontakt med andre (6).

Hyppige samtidige skader

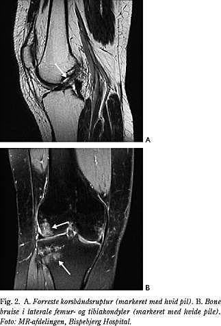
Artroskopisk synlige bruskskader ses hos ca. 10%, men ved MR-scanning kan der hos over 50% påvises et kraftigt knogleødem (bone bruise) i den laterale femurkondyl i månederne efter en korsbåndsskade (Fig. 2), og biopsier tyder på, at forandringerne når helt ned i brusken. Det vides ikke, om bone bruise disponerer for slidgigt, men det kan være årsagen til, at nogle patienter har meget ondt, når de støtter på knæet i månederne efter en korsbåndsskade.

Meniskskader ses hos ca. 25%, hyppigst i baghornet af den laterale menisk.

Skade på andre ligamenter ses hos ca. 15%. Den hyppigste kombination er skade af det forreste korsbånd og mediale kollaterale ligament. Overrivning af det posterolaterale hjørne af knæet samtidig med det forreste korsbånd har en særlig dårlig prognose.

Diagnostik og behandling af akutte skader

I den akutte fase er det vigtigst at erkende de tilstande, som kræver akut behandling:

  • afrivning af det forreste korsbånd med et knoglestykke fra eminentia tibiae (Fig. 3),

  • kombinerede skader af flere ligamenter, især det posterolaterale hjørne (som indeholder ligamenter, sener og ledkapsel, der kan briste), og

  • indeklemt menisklæsion (aflåst knæ).

Derfor bør der altid tages røntgen ved mistanke om akut forreste korsbåndsskade. Ved klinisk mistanke om samtidig ruptur af det bageste korsbånd eller det posterolaterale hjørne kan subakut MR-scanning være indiceret som led i planlægningen af operativ behandling i den akutte fase.

Hos ca. 5% (og hyppigere hos børn) med akut forreste korsbåndsinstabilitet er korsbåndet ikke revet over, men eminentia tibia, som korsbåndet hæfter på, er afrevet (Fig. 3). Ved akut osteosyntese af eminentia kan korsbåndsstabiliteten reetableres i langt de fleste tilfælde.

Primær sutur af det forreste korsbånd er ikke bedre end ikke-operativ behandling (11, 12). Den akutte behandling af isolerede forreste korsbåndsoverrivninger er derfor konservativ.

Den akutte behandling af kombinerede skader er i modsætning hertil ofte kirurgisk. Ved en indeklemt menisklæsion med aflåsning bør menisken reponeres subakut og om muligt reinsereres (Fig. 4). Flerligamentskader bør vurderes af en ortopædkirurg i den akutte fase (dvs. inden for nogle dage), og nogle af disse skader - især i det posterolaterale hjørne af knæet - bør opereres med sutur af de beskadigede suturer og rekonstruktion af korsbåndet, idet akut behandling synes at være mere succesfyldt end senere rekonstruktion (13).

Optræning

Principperne for rehabilitering efter overrivning af det forreste korsbånd er i vid udstrækning stadig teoretisk og empirisk baseret. Tidligere anvendtes immobilisation, fx i gips, samt aflastning. Nu ved man, at ligamenter, brusk og muskler rehabiliteres og heler bedre, samt at patienterne bliver hurtigere funktionsdygtige, hvis man tillader en vis belastning og bevægelse. I et randomiseret studie af fysioterapeutovervåget træning vs. hjemmetræning af korsbåndsskadede patienter med relativt svære knætraumer (82% havde associerede skader) fandtes ingen væsentlig forskel efter seks uger (14), mens et andet randomiseret studie viste en bedre knæfunktion efter 12 ugers funktionel træning end efter styrketræning alene (15).

Forløbet efter optræning

Selv om instabilitetssymptomer hyppigst udløses under sport med hyppige retningsskift under belastning, har en del patienter også instabilitetsgener under almindelig daglig aktivitet eller arbejde, på trods af at de har gennemgået et optræningsforløb (16). Andre kan genoptage deres sportsaktiviteter uden rekonstruktion af korsbåndet, men risikoen for efterfølgende at pådrage sig menisk- og bruskskader er stor (50% for meniskskade i løbet af de første fem år), og på længere sigt er under 1/3 af patienterne i stand til at dyrke knæbelastende sport (17).

Diagnostik og behandling af kronisk instabilitet

Kronisk instabilitet (6 uger efter skaden) af det forreste korsbånd kan konstateres klinisk med meget høj sensitivitet og specificitet ved Lachmanns test, dvs. udmåling af hvor meget tibia kan trækkes frem i forhold til femur med knæet flekteret 30 grader. Testen kan kvantificeres ved anvendelse af et artrometer, hvor fremadglidningen af tibia måles ved to forskellige trækstyrker (89 N og 135 N), og resultatet aflæses i mm. En forskel mellem raske og syge knæ på 3 mm anses for patologisk.

Rupturer af forreste korsbånd heler i mange tilfælde til femurkondylen eller til bageste korsbånd. Derfor kan totale korsbåndsrupturer efter opheling resultere i forskellige grader af mekanisk løshed. Da en total ACL-ruptur kan påvises i den kroniske fase ved Lachmanns test med samme sikkerhed som ved MR-scanning (18), er der sjældent behov for at foretage MR-scanning eller knæartroskopi for alene at konstatere, om det forreste korsbånd har været overrevet. Forreste korsbåndsinstabilitet er primært en klinisk diagnose. MR-scanning eller artroskopi kan være værdifuld i uklare tilfælde, for at visualisere associerede skader og i nogle tilfælde ved operativ planlægning. Artroskopi som diagnostisk metode er dog aldrig valideret.

Rekonstruktion af ACL

Ved rekonstruktion af ACL er der en stor sandsynlighed for, at knæet bliver stabilt uden knæsvigt eller instabilitetsfornemmelse, en reduceret risiko for senere at pådrage sig brusk og meniskskader og en forbedret mulighed for at kunne udføre hårdt fysisk arbejde og sport. Der er dog tale om et relativt stort kirurgisk traume og et langvarigt optræningsforløb, en risiko for blivende forreste knæsmerter og bevægeindskrænkning i knæet og 10-30%'s risiko for, at knæet ikke på længere sigt vedbliver med at være stabilt.

Det er ikke muligt ud fra litteraturen at afgøre, hvor stor en andel af personer med korsbåndsskade, der bør tilbydes rekonstruktion, og hvor hurtigt det bør ske. Man kan endnu ikke vægte de faktorer, som har betydning for afgørelsen, og det vides ikke, om rekonstruktion af korsbåndet reducerer risikoen for senere slidgigt.

Mange vælger at tilbyde korsbåndsrekonstruktion til patienter med høje funktionskrav til knæet, enten i forbindelse med sport eller arbejde, da sandsynligheden for, at de kan opretholde deres funktionsniveau uden rekonstruktion, er lille. Patienter med lavere funktionskrav tilbydes på et senere tidspunkt rekonstruktion, hvis de har instabilitetsgener, dvs. fornemmelse af instabilitet, subluksationstilfælde af tibia (fx udløst når man står fast på foden og drejer kroppen, eller hvis man løber på ujævnt terræn) eller knæsvigt. Men der mangler randomiserede studier til at retfærdiggøre denne strategi. Om patienterne bør tilbydes et træningsforløb, før man tager stilling til behovet for rekonstruktion, k an heller ikke afgøres ud fra litteraturen.

Korsbåndsinstabile patienter, som har fået reinsereret en menisklæsion, udgør et særligt problem. En reinsereret menisk er ikke så stærk som en uskadt menisk og har derfor stor risiko for at rumpere igen, så længe knæet er instabilt. Disse patienter bør formentlig alle tilbydes rekonstruktion.

Et ikke-randomiseret studie tyder på, at langtidsresultaterne er bedre, hvis rekonstruktionen foretages tidligt, dvs. inden for seks uger efter skaden (19).

Patientens alder er ikke afgørende for, om man tilråder rekonstruktion. Patienter i 40'erne og 50'erne med instabilitetssymptomer har mindst lige så stor glæde af rekonstruktion som yngre (20).

I Danmark er der formentlig højst 25 tilfælde årligt af forreste korsbåndsoverrivning hos børn før teenagealderen. Derimod er skaden ikke så sjælden i de yngre teenageår. Børn med forreste korsbåndsinstabilitet klarer sig dårligt uden rekonstruktion, idet de hyppigt får menisk- og brusklæsioner samt degenerative forandringer i løbet af få år (21). Frygten for, at rekonstruktion af korsbåndet hos børn forstyrrer vækstzonerne på tibia og femur, har vist sig ubegrundet (22). Man vil desuagtet ofte afvente den hurtige længdevækst, som ses lige før teenagealderen, og herefter foretage korsbåndsrekonstruktion.

Principperne ved rekonstruktion af isoleret ACL-skade

Princippet ved alle typer af rekonstruktioner er anatomisk placering af graften på det overrevne korsbånds plads. Den placeres intraartikulært og fæstnes i borehuller i tibia og femur. Da graften placeres anatomisk, er ekstensions defekt sjælden, og rekonstruktionerne fungerer sædvanligvis nogenlunde isometrisk (dvs. de er stabile ved alle grader af fleksion af knæet).

Graften kan stamme fra patienten selv (autograft) eller fra et andet menneske (allograft). Uanset hvilken graft man anvender, er den død, når den bliver sat ind, og vævet er sæde for en avaskulær nekrose. I løbet af de første måneder revaskulariseres graften, og der sker indvækst af celler. Efter en periode med celleproliferation starter genopbygning af strukturen i graften, bl.a. styret af belastningen på vævet, og graftindhelingen slutter, når graften er remodelleret. Hele denne proces tager ca. et år.

Efter at graften er sat ind, sker således ret hurtigt kraftige ændringer i de mekaniske egenskaber. Den maksimale trækstyrke falder til ca. 25% efter tre måneder og stiger herefter gradvist indtil maksimum efter et år, men den når aldrig op på det oprindelige niveau. I de fleste tilfælde bliver den maksimale trækstyrke 50-75% af det normale korsbånds.

Den hyppigst anvendte autograft er den midterste 1/3 af ligamentum patellae inferior, udtaget med en knogleklods ved senens tilhæftning på patella og på tibia. Graften er cirka 1 cm i diameter med en knogleklods af 2-3 cms længde i begge ender, hvilket gør, at den kan fikseres solidt knogle til knogle i begge ender. Postoperativt opstår der hyppigere smerter i den forreste del af knæet end ved brug af andre grafter, og selv om de bedres med tiden, har halvdelen på langt sigt jævnligt smerter, oftest dog i mild grad, i den forreste del af knæet (23). Arret er temmelig stort, og der er en lidt større risiko for en let, permanent bøjemangel i forhold til andre metoder.

Senerne fra semitendinosus og gracilis anvendes nu i stigende omfang som graft. Fordelene er de meget små ar, en lavere hyppighed af smerter i den forreste del af knæet, og en mindre risiko for permanent bøjemangel. Det svage punkt ved denne teknik er fikseringen og indhelingen til tibia og femur. De kliniske resultater er vekslende, og teknikken for rekonstruktion med denne grafttype er fortsat under udvikling.

I Skandinavien har man i 20 år anvendt tractus iliotibialis som graft. Styrken er mindre end de to ovenfor nævnte. Graften sidder proksimalt naturligt fast til knoglen og fikseres distalt med kramper. Langtidsresultaterne er dog gode med varig stabilitet efter syv år (24). Ulempen er et muskelhernie lateralt på femur, hvorfor metoden ikke anvendes i USA.

Hvilken af de tre nævnte grafttyper, man anvender som rutine, afhænger af, hvorledes man vægter fordele og ulemper.

Syntetiske grafter og syntetiske forstærkninger anvendes ikke længere i Danmark (12, 25).

I USA er allografter (dvs. væv fra andre personer) kommercielt tilgængelige og anvendes ved ca. halvdelen af alle korsbåndsrekonstruktioner. Man benytter patellasene, akillessene eller hasemuskelsener. Fordelen er, at det kirurgiske traume reduceres, og rehabiliteringen lettes formentlig også. På længere sigt bliver knæstabiliteten dog knap så god som ved anvendelse af autograft væv, og der er en risiko for overførsel af smitsomme sygdomme - ca. 1:8.000.000 (26). Der er ingen immunologiske problemer med metoden. Allograftvævets største berettigelse er til store skader, hvor der ikke er nok væv fra patienten selv, til at der kan foretages rekonstruktion, samt til revisionsoperationer efter tidligere rekonstruktioner, hvor patientens eget væv allerede er anvendt. Allograft væv er endnu ikke generelt tilgængeligt i Danmark.

Rehabilitering efter rekonstruktion

Selv om der i dag er en vis lokal variation i regiminaerne for rehabilitering efter korsbåndsrekonstruktion, bygger de alle på det accellererede optræningsforløb (27). Der er evidens for, at hurtig vægtbelastning giver bedre funktion og mindre hyppighed af smerter i den forreste del af knæet på langt sigt (28), og at såkaldt lukket kædetræning giver bedre funktion og stabilitet samt færre smerter i den forreste del af knæet end åben kædetræning (29). Resultaterne efter rehabilitering er lige gode, hvad enten træningen er foregået på en rehabiliteringsenhed eller hjemme (30). Anvendelse af en funktionelt stabiliserende bandage (firepunktsbandage) giver et lettere rehabiliteringsforløb men ingen forskel i stabilitet og funktion på længere sigt (31).

Rehabiliteringen efter korsbåndsrekonstruktion tager ca. 12 måneder. Selv om det er almindeligt i USA at tillade idrætsudøvelse efter seks måneder, ved man, at muskelkraften ikke er fuldt rehabiliteret på dette tidspunkt (32) (Boks 2).

Resultater

Patellasenerekonstruktioner har været fulgt i længst tid, men der findes ingen opgørelser ud over ti år med de nuværende teknikker. Efter 1-2 år har 80-90% af patienterne en mekanisk løshed, som er mindre end 3 mm i forhold til den raske side, og dette tal synes at holde i langtidsstudier op til ni år efter operationen (33). 15-30% af patienterne har dog rotationsinstabilitet (24). Den kliniske tilstand vurderes som god eller fremragende (normal eller næsten normal) af omkring 80% (27, 33). Der er dog en tendens til lidt dårligere subjektivt resultat med tiden (33), og i takt med at der kommer subjektive symptomer fra de degenerative forandringer, der kan påvises ved røntgen hos op til 50% af patienterne efter 10-15 år, må man forvente at resultatet forværres.

Enkelte observationer tyder på, at patienter, som har fået foretaget rekonstruktion hurtigt (inden for 6-12 uger efter korsbåndsskaden) på længere sigt får færre degenerative forandringer end patienter, som først får foretaget rekonstruktion senere (23, 34).

Chancen for at vende tilbage til idræt på samme niveau som før skaden er formentlig en del mindre end 50% (35). I en nylig, mere optimistisk opgørelse af rekonstruktion med tractus iliotibialis hos fodboldspillere fandt man dog, at 2/3 fortsat spillede fodbold fire år senere (24).

Der er endnu ingen langtidsresultater af randomiserede studier mellem patellasene- og hasesenegrafter.

Senfølger

Isoleret forreste korsbåndslæsion medfører, selv om korsbåndet rekonstrueres, en 10-15 gange forøget risiko for sl

Summary

Summary The anterior cruciate ligament. Ugeskr Læger 2002; 164: 1208-14. The anterior cruciate ligament (ACL) has a mechanical and a sensory function during daily activities and during strenous activity, such as sport. There are 2,500 ACL ruptures/year in Denmark, mostly occurring during sports. Usually the diagnosis can be established clinically. Acute suture of the ligament gives unsatisfactory results, but reconstruction provides mechanical stability and good knee function in 80%. Less than 50% are able to return to top level sports. The long-term risk of degenerative changes in the knee is increased 10-15 fold after an isolated ACL rupture. Untreated ACL ruptures have a particularly poor prognosis in children. Proprioceptive training can reduce the risk of ACL injuries in football. There is little evidence in support of treatment strategies with respect to surgery and rehabilitation after ACL injury. Randomized studies should be initiated, and in Denmark epidemiological data on ACL injuries and treatment could be registered in a national database.

Referencer

  1. Girgis FG, Marshall JL, Al Monajem ARS. The cruciate ligaments of the knee joint. Anatomical, functional and experimental analysis. Clin Orthop 1975; 106: 216-31.
  2. Norwood LA Jr, Cross MJ. Anterior cruciate ligament: functional anatomy of its bundles in rotatory instabilities. Am J Sports Med 1979; 7: 23-32.
  3. Dodds JA, Arnoczky SP. Anatomy of the anterior cruciate ligament: A blueprint for repair and reconstruction. Arthropscopy 1994; 10: 132-9.
  4. Noyes FR, Butler DL, Grood ES, Zernicke RF, Hefzy MS. Biomechanical analysis of human ligament grafts used in knee-ligament repairs and reconstructions. J Bone Joint Surg Am 1984; 66: 344-52.
  5. Dyhre-Poulsen P, Krogsgaard MR. Muscular reflexes elicited by electrical stimulation of the anterior cruciate ligament in humans. J Appl Physiol 2000; 89: 2191-5.
  6. Mycklebust G, Maehlum S, Engebretsen L, Strand T, Solheim E. Registration of cruciate ligament injuries in Norwegian top level team handball. Scand J Med Sci Sports 1997; 7: 289-92.
  7. Loës M de, Dahlstedt LJ, Thomée R. A 7-year study on risks and costs of knee injuries in male and female youth participants in 12 sports. Scand J Med Sci Sports 2000; 10: 90-7.
  8. Wojtys EM, Huston IJ, Lindenfeld TN, Hewett TE, Greenfield ML. Association between the menstrual cycle and anterior cruciate ligament injuries in female athletes. Am J Sports Med 1998; 26: 614-9.
  9. Mycklebust G, Maehium S, Holm I, Bahr R. A prospective cohort study of anterior cruciate ligament injuries in elite Norwegian team handball. Scand J Med Sci Sports 1998; 8: 149-53.
  10. Östenberg A, Roos H. Injury risk factors in female European football. A prospective study of 123 players during one season. Scand J Med Sci Sports 2000; 10: 279-85.
  11. Lind T, Johannsen H-V, Lauritzen J. Resultater efter primær sutur af forreste korsbåndslæsioner. Ugeskr Læger 1990; 152: 670-2.
  12. Grøntvedt T, Engebretsen L, Benum P, Fasting O, Molster A, Strand T. A prospective, randomized study of three operations for acute rupture of the anterior cruciate ligament. J Bone Joint Surg Am 1996; 78: 159-68.
  13. Veltri DM, Warren RF. Operative treatment of posterolateral instability of the knee. Clin Sports Med 1994; 13: 615-27.
  14. Zätterström R, Fridén T, Lindstrand A, Moritz U. Early rehabilitation of acute anterior cruciate ligament injury - a randomized clinical trial. Scand J Med Sci Sports 1998; 8: 154-9.
  15. Beard DJ, Dodd CA, Trundle HR, Simpson AH. Proprioception enchancement for anterior cruciate ligament deficiency. J Bone Joint Surg Br 1994; 76: 654-9.
  16. Grøntvedt T, Heir S, Rossvoll I, Engebretsen L. Five-year outcome of 13 patients with an initially undiagnosed anterior cruciate ligament rupture. Scand J Med Sci Sports 1999; 9: 62-4.
  17. Noyes FR, Mooar PA, Matthews DS, Butler DL. The symptomatic anterior cruciate-deficient knee. Part I: The long-term functional disability in athletically active individuals. J Bone Joint Surg Am 1983; 65: 154-62.
  18. Liu SH, Osti L, Henry M, Bocchi L. The diagnosis of acute complete tears of the anterior cruciate ligament. Comparison of MRI, arthrometry and clinical examination. J Bone Joint Surg Br 1995; 77: 586-8.
  19. Järvelä T, Nyyssonen M, Kannus P, Paakkala T, Järvinen M. Bone-patellar tendon-bone reconstruction of the anterior cruciate ligament. A long-term comparison of early and late repair. Int Orthop 1999; 23: 227-31.
  20. Plancher KD, Steadman JR, Briggs KK, Hutton KS. Reconstruction of the anterior cruciate ligament in patients who are at least forty years old. J Bone Joint Surg Am 1998; 80: 184-97.
  21. Mizuta H, Kubota K, Shiraishi M, Otsuka Y, Nagamoto N, Takagi K. The conservative treatment of complete tears of the anterior cruciate ligament in skeletally immature patients. J Bone Joint Surg Br 1995; 77-B: 890-4.
  22. Pressman AE, Letts RM, Jarvis JG. Anterior cruciate ligament tears in children: an analysis of operative versus nonoperative treatment. J Pediatr Orthop 1997; 17: 505-11.
  23. Järvelä T, Kannus P, Järvinen M. Anterior knee pain 7 years after an anterior cruciate ligament reconstruction with bone-patellar tendon-bone autograft. Scand J Med Sci Sports 2000; 10: 221-7.
  24. Bak K, Jørgensen U, Ekstrand J, Scavenius M. Reconstruction of anterior cruciate ligament deficient knees in soccer players with an iliotibial band autograft. Scand J Med Sci Sports 2001; 11: 16-22.
  25. Engström B, Wredmark T, Westblad P. Patellar tendon or Leeds-Keio graft in surgical treatment of anterior cruciate ligament ruptures. Clin Orthop Rel Res 1993; 295: 190-7.
  26. Shelton WR, Papendick L, Dukes AD. Autograft versus allograft anterior cruciate ligament reconstruction. Arthroscopy 1997; 13: 446-9.
  27. Shelbourne KD, Klootwyk TE, Wilckens JH, de Carlo MC. Ligament stability two to six years after anterior cruciate reconstruction with autogenous patellar tendon graft and participation in accelerated rehabilitation program. Am J Sports Med 1995; 23: 575-9.
  28. Tyler TF, McHugh MP, Gleim GW, Nicholas SJ. The effect of immediate weightbearing after anterior cruciate ligament reconstruction. Clin Orthop Rel Res 1998; 357: 141-8.
  29. Bynum EB, Barrack RL, Alexander AH. Open versus closed chain kinetic exercises after anterior cruciate ligament reconstruction. Am J Sports Med 1995; 23: 401-6.
  30. Beard DJ, Dodd CA. Home or supervised rehabilitation following anterior cruciate ligament reconstruction: a randomized controlled trial. J Orthop Sports Phys Ther 1998; 27: 134-43.
  31. Brandsson S, Faxén E, Kartus J, Eriksson BI, Karlsson J. Is a knee brace advantageous after anterior cruciate ligament surgery? Scand J Med Sci Sports 2001; 11: 110-4.
  32. Carter TR, Edinger S. Isokinetic evaluation of anterior cruciate ligament reconstruction: hamstring versus patellar tendon. Arthroscopy 1999; 15: 169-72.
  33. Brandsson S, Faxén E, Kartus J, Jerre R, Eriksson BI, Karlsson J. A prospective four- to seven-year follow-up after arthroscopic anterior cruciate ligament reconstruction. Scand J Med Sci Sports 2001; 11: 23-7.
  34. Gillquist J, Messner K. Anterior cruciate ligament reconstruction and the long-term incidence of gonarthrosis. Sports Med 1999; 27: 143-56.
  35. Roos H, Ornell M, Gardsell P, Lohmander LS, Lindstrand A. Soccer after anterior cruciate ligament injury - an incompatible combination? Acta Orthop Scand 1995; 66: 107-12.
  36. Jomha NM, Pinczewski LA, Clingeleffer A, Otto DD. Arthroscopic reconstruction of the anterior cruciate ligament with patellar-tendon autograft and interference screw fixation. J Bone Joint Surg Br 1999; 81: 775-9.
  37. Caraffa A, Cerulli G, Projetti M, Aisa G, Rizzo A. Prevention of anterior cruciate ligament injuries in soccer. Knee Surg Sports Traumatol Arthrosc 1996; 4: 19-21.
  38. Garrick JG, Requa RK. Prophylactic knee bracing. Am J Sports Med 1987; 15: 471-6.
  39. Beynnon BD, Pope MH, Wertheimer CM, Johnson RJ, Fleming BC, Nichols CE et al. The effect of functional knee-braces on strain on the anterior cruciate ligament in vivo. J Bone Joint Surg Am 1992; 74: 1298-312.
  40. Koski JA, Ibarra C, Rodeo SA. Tissue-engineered ligament: cells, matrix, and growth factor. Orthop Clin North Am 2000; 31: 437-52.