Skip to main content

Forstørret vestibulær akvædukt hos en tiårig pige

Simon Mylius Rasmussen & Ida Rosendal Johansen

30. okt. 2017
4 min.

Den vestibulære akvædukt er en endolymfefyldt kanal, der er placeret i os temporale og forbinder vestibulum med kraniets fossa posterior og indeholder den endolymfatiske sæk. Forstørret vestibulær akvædukt (FVA) er en malformation, hvis prævalens er særdeles dårligt belyst, men den skønnes at være til stede hos 1-12% af patienter med perceptiv hørenedsættelse [1].

FVA ses som del af syndromet enlarged vestibular aqueduct syndrome (EVAS), som er kendetegnet ved FVA og progressiv sensineuralt høretab [2]. Hørenedsættelsen er ofte ledsaget af svimmelhed [3], ligesom det er kendt, at symptomdebut kan være forudgået af et hovedtraume [3].

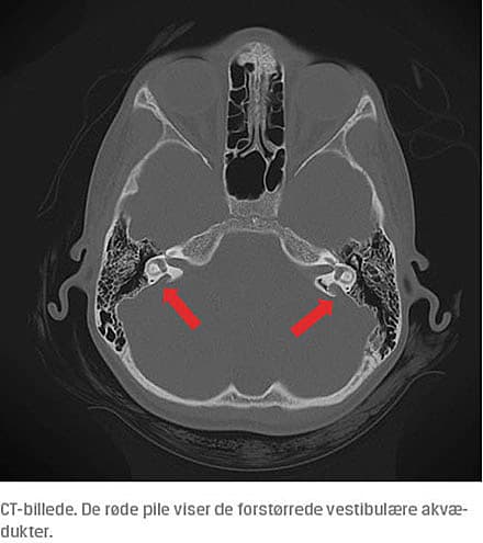
EVAS diagnostiseres radiografisk, når den anteroposteriore diameter af den vestibulære akvædukt på en CT-skanning måles til over 1,5 mm (målt mellem crus communes og udmundingen). Det anbefales, at patienter med EVAS undgår kontaktsport og anden aktivitet, som øger risikoen for hovedtraumer [3]. Et cochlearimplantat er fundet at være en god behandlingsmulighed, som øger både høre-, tale- og sprogudviklingen hos børn med EVAS.

SYGEHISTORIE

En tiårig pige fik pludselig høretab på højre øre, som var hendes eneste hørende øre. Hørelsen forsvandt i løbet af to timer under en gåtur.

To uger forinden havde hun haft et hovedtraume, hvor hun i skolen faldt bagover, slog hovedet og kortvarigt var bevidstløs. Da hun vågnede, var hun et øjeblik uden hørelse og havde en høj pibetone i sit venstre øre. Symptomerne forsvandt efter få minutter. Herudover havde hun to år tidligere oplevet sudden deafness på venstre øre. Der blev dengang foretaget en MR-skanning af cerebrum, hvor man kun bemærkede patologiske fund i form af minimal væske i enkelte mastoidalceller på venstre side. Hun fik dengang høreapparat og blev sat i et kontrolforløb.

I modtagelsen fremtrådte patienten fuldstændig døv og kommunikerede vha. skrift. Hun var ikke svimmel. Der var upåfaldende øregange, intakte trommehinder med normal bevægelighed og desuden luftfyldte mellemører. Stemmegaffelprøver var som forventet ikke brugbare pga. den udtalte hørenedsættelse. Audiometri viste en hørekurve på højre øre på 50-80 dB. Venstre øre var døvt (Figur 1).

Der blev foretaget en MR-skanning af cerebrum, hvorved man konstaterede, at der var FVA, der var uændret siden 2013. Dette blev bekræftet med CT af os temporale, hvor den største diameter blev målt til 4 mm på venstre side.

Patienten blev efterfølgende behandlet med cochlearimplantat bilateralt.

DISKUSSION

Denne sygehistorie indeholder centrale elementer, som stemmer overens med gældende teori. Der ses et progredierende sensorineuralt høretab forudgået af et hovedtraume og billeddiagnostik, som bekræfter mistanken om EVAS.

Det er postuleret, at EVAS kan være autosomalt recessivt arveligt, men den nærmere patofysiologi er uafklaret [4]. Mindst seks forskellige hypoteser har været foreslået som patofysiologiske modeller [3]. En af de første hypoteser var, at perilymfen og endolymfen udvikler et tilbagetryk, som nedsætter stapes’ mobilitet. Andre hypoteser er stapesfiksering, ossikulær diskontinuitet og tab af shuntenergi i cochlea, samt at den hyperosmolære endolymfe i den endolymfatiske sæk nemmere end i raske ører kan løbe tilbage og skade strukturer i det indre øre. Den tilsyneladende mest
understøttede hypotese er, at EVAS medfører dysfunktionalitet af den endolymfatiske sæk ifm. hæmostase i det indre øre. Dette antages at kunne lede til elektrolyt-
dearrangement og udvikling af toksiner, som vil skade det indre øre. Alt i alt menes EVA at kunne forårsage både blandet konduktiv-perceptiv og rent perceptiv
hørenedsættelse samt svimmelhed og tinnitus.

Det vides, at der er en klar sammenhæng mellem EVAS og Pendreds syndrom (PS) [3], som også er kendetegnet ved dysfunktion af skjoldbruskkirtlen. EVAS ses dog hyppigst hos patienter, der ikke har fået påvist PS, men der er en dårligere audiologisk prognose ved samtidig PS [5]. Det kan være en fordel at undersøge søskende for EVAS og hørenedsættelse og overveje genetisk undersøgelse for evt. PS af familiemedlemmer til patienter med EVAS, idet genotypen SLC26a4 ses ved PS [5]. Det er vigtigt at foretage MR-skanning eller CT, specielt hos børn med pludselige sensorineurale høretab efter hovedtraumer, idet en FVA vil kunne konstateres og nødvendige forholdsregler igangsættes.

Korrespondance: Simon Mylius Rasmussen.
E-mail: simonmylius@gmail.com

Antaget: 3. august 2017

Publiceret på Ugeskriftet.dk: 30. oktober 2017

Interessekonflikter: ingen.

Summary

Enlarged vestibular aqueduct in a ten-year-old girl

Enlarged vestibular aqueduct (EVA) is a malformation in the inner ear and occurs in approximate 1-12% of the hearing-impaired individuals. A ten-year-old girl was seen at the emergency room (ER) because of sudden hearing loss on the right ear. The patient was known with sudden deafness on the left ear. In the ER she appeared completely deaf. A head CT-scan showed EVA, and she was treated with cochlear implant. This case report illustrates the importance of performing MR- or CT-scan, especially when diagnosing children with sudden hearing loss after a head injury.

Referencer

Litteratur

  1. Madden C, Halsted M, Benton C et al. Enlarged vestibular aqueduct syndrome in the pediatric population. Otol Neurotol 2003;24:625-32.

  2. Spiegel JH, Lalwani AK. Large vestibular aqueduct syndrome and endolymphatic hydrops: two presentations of a common primary inner-ear dysfunction? J Laryngol Otol 2009;123:919-21.

  3. Gopen Q, Zhou G, Whittemore K et al. Enlarged vestibular aqueduct: review of controversial aspects. Laryngoscope 2011;121:1971-8.

  4. Pradhananga R, Natarajan K, Devarasetty A et al. Cochlear implantation in isolated large vestibular aqueduct syndrome: report of three cases and literature review. Int Arch Otorhinolaryngol 2015;19:359-63.

  5. Colvin IB, Beale T, Harrop-Griffiths K. Long-term follow-up of hearing loss in children and young adults with enlarged vestibular aqueducts: relationship to radiologic findings and Pendred syndrome diagnosis. Laryngoscope 2006;116:2027-36.