Skip to main content

Frovatriptan som mulig årsag til akut myokardieinfarkt

Ole Kristian Møller-Helgestad1, Anne Kjer Kaltoft2 & Helge Kasch3

30. mar. 2015
5 min.

Migræne er en hovedpinelidelse, der påvirker 12% af den voksne befolkning [1]. Den behandles med enkle analgetika, evt. kombineret med et triptan for større effekt [2]. Triptaner blev oprindeligt indført pga. deres vasokonstriktoriske effekt på cerebrale arterier, men det har sidenhen vist sig, at triptaner i højere grad udøver deres effekt ved at hæmme nociceptive neuroner og ved at modulere det trigeminocervikale kompleks [3]. Den vasokonstriktoriske effekt gælder også for koronararterier, hvilket betyder, at den oprindeligt påtænkte effekt nu er den mest alvorlige bivirkning [4]. I følgende sygehistorie refereres et tilfælde med myokardieinfarkt hos en patient med et stort forbrug af frovatriptan.

SYGEHISTORIE

En 61-årig kvinde med hyperlipidæmi blev indlagt med symptomer og parakliniske fund, der var forenelige med et akut myokardieinfarkt. Hun havde siden barndommen lidt af regelmæssige migræneanfald, der var lokaliseret retrobulbært i venstre side, med lys- og lydoverfølsomhed, men uden aura. Ubehandlet varede anfaldene i op til to dage, og hun var uden ønsket effekt forsøgt behandlet profylaktisk med henholdsvis betablokker og indsprøjtning af botulinumtoksin i nakkemuskulaturen. Hun havde gennem syv år haft god anfaldsbrydende effekt af rizatriptan p.n., men pga. 11 månedlige anfald skiftede egen læge tre måneder før indlæggelsen til frovatriptan p.n., da lægen mente, at dette stof havde længere virkningstid. Herefter kom anfaldene ni gange om måneden, senest to dage før symptomdebut. Hun tog fast metoprolol 40 mg × 2 (migræneforebyggende) og simvastatin 40 mg × 1.

Dag 1 om eftermiddagen fik hun under let havearbejde pludseligt indsættende, brændende retrosternale brystsmerter med udstråling til begge arme. Symptomerne varede en halv time og gentog sig senere på aftenen. Dag 3 havde hun migræne og tog frovatriptan. Dag 4 tog hun til egen læge, der indlagde hende, idet ekg var med T-taksinversion og
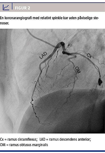
ST-depression (Figur 1). Paraklinisk var der et troponin-T-udslip på 593 ng/l (referenceværdi < 50 ng/l), hvorfor diagnosen non-ST-elevationsmyokardieinfarkt blev stillet. En ekkokardiografi viste let hypokinesi af den laterale del af venstre ventrikels forvæg, men samlet en normal uddrivningsfraktion på 60%. Dag 6 viste en koronarangiografi relativt spinkle kar uden angiografisk påviselige stenoser (Figur 2). Ved udskrivelsen var troponin-T-niveauet faldende, betablokkeren blev skiftet til propranolol 40 mg × 2, og hun blev frarådet al brug af triptaner. Tre måneder efter indlæggelsen var hendes troponin-T-niveau og ekg normaliseret, og migræneanfaldene var ophørt.

DISKUSSION

Årsagen til brystsmerterne og troponinniveauforhøjelsen hos patienten i sygehistorien kan ikke med sikkerhed fastlægges, men et type 2-myokardieinfakt pga. hypoperfusion udløst af koronar vasokonstriktion, enten lokalt eller globalt, synes at være sandsynligt.

Differentialdiagnostisk findes et almindeligt type 1-infarkt at være mindre sandsynligt, idet koronarangiografien var uden angiografiskt påviselige stenoser. Peri-/myokarditis synes tilsvarende at være
mindre sandsynligt, idet der var normale infektionsparametre. En koronaremboli, der var lyseret ved angiografitidspunktet, kan ikke udelukkes, men patienten havde ikke atrieflimren og symptomer derpå.

Sammenlignet med andre triptaner har frovatriptan væsentligt længere halveringstid (26 vs. 2-6 timer), og med ni månedlige doser a 2,5 mg har der hos patienten i sygehistorien til enhver tid befundet sig 1-8 mikrogram/l frovatriptan i blodet. Frovatriptan har vasokonstriktorisk effekt på koronararterier i denne koncentration, og det kan have gjort patienten sårbar over for koronare karspasmer [4]. Andre medikamenter, der vides at forårsage vasokonstriktion, er acetylkolin, histamin, serotonin og kokain.

Patienter med migræne rapporterer oftere om brystsmerter end andre patientgrupper, men der er aldrig fundet en sammenhæng mellem migræne og myokardieinfarkt [5]. Brug af triptaner er kontraindiceret ved kardio- og cerebrovaskulære sygdomme, ukontrolleret arteriel hypertension, Raynauds sygdom og nyresvigt. Brug af triptaner bør begrænses til ti gange månedligt for at undgå medicinoverforbrugshovedpine (MOH) [2]. Der synes at være to mulige årsager til ophøret i migræneanfald hos patienten i sygehistorien: Enten har hun haft bedre anfaldskontrol med propranolol end metoprolol, eller hun har haft triptaninduceret MOH. Forfatterne opfordrer således til forsigtighed ved brug af triptaner hos ældre personer med høj anfaldsfrekvens, og til at man udviser opmærksomhed på udviklingen af MOH.

Korrespondance: Ole Kristian Møller-Helgestad, Ringkøbingvej 14, st. th.,
8000 Aarhus C. E-mail: ole.helgestad@hotmail.com

Antaget: 19. januar 2015

Publiceret på Ugeskriftet.dk: 23. marts 2015

Interessekonflikter: ingen.

Summary

Frovatriptan possibly causing acute myocardial infarction

Globally migraine affects more than 10% of the adult popu&shy;lation and it is treated with simple analgesics, combined with a triptan for a stronger treatment effect. Triptans cause arterial vasoconstriction, and this is a case report of vasospasm-induced acute myocardial infarction in a 61-year-old woman with fre&shy;quent episodic migraine attacks treated with triptans. She was possibly also suffering from medication overuse headache. We suggest that regular frovatriptan use may have contributed to the myocardial infarction and that long-term triptan use may have caused the medication overuse headache.

Referencer

Litteratur

  1. Hagen K, Zwart JA, Vatten L et al. Prevalence of migraine and non-migrainous headache – head-HUNT, a large population-based study. Cephalalgia 2000; 20:900-6.

  2. Evers S, Áfra J, Frese A et al. EFNS guideline on the drug treatment of migraine? Eur J Neurol 2009;16:968-81.

  3. Akerman S, Romero-Reyes M. Insights into the pharmacological targeting of the trigeminocervical complex in the context of treatments of migraine. Exp Rev Neurotherap 2013;13:1041-59.

  4. Parsons AA, Raval P, Smith S et al. Effects of the novel high-affinity 5-HT1B/1D-receptor ligand frovatriptan in human isolated basilar and coronary arteries. J Cardiovasc Pharmacol 1998;32:220-4.

  5. Schürks M, Rist PM, Bigal ME et al. Migraine and cardiovascular disease: systematic review and meta-analysis. BMJ 2009;339:b3913.