Skip to main content

Granulomatøs mastitis

Thomas Bentzon1, Anna Marie Theut2, Henrik Kiær3 & Niels Bentzon1

25. okt. 2021
11 min.

Granulomatøs mastitis (GM) er en sjælden, inflammatorisk tilstand i mamma med et broget billede af kliniske og mikrobiologiske fund. GM kan være forårsaget af tuberkulose [1], sarkoidose, Wegeners granulomatose og fremmedlegemer, men hyppigst er der tale om en idiopatisk form (IGM) også kaldet granulomatøs lobulær mastitis. IGM blev første gang beskrevet i 1972 [2], og en undertype af IGM, cystisk neutrofil granulomatøs mastitis (CNGM) blev første gang beskrevet i 2002 [3]. Der er ikke konsensus om håndteringen. Formålet med denne artikel er at beskrive diagnostiske overvejelser, kontroverser og mulige retningslinjer for udredning og behandling af IGM og CNGM.

Fakta

Hovedbudskaber

ÆTIOLOGI

IGM og CNGM har ukendt ætiologi. Langt hovedparten af patienterne (87-100%) er kvinder, som er i den fertile alder og oftest har ammet eller stadig ammer. Bilateral IGM er sjælden, og hos mænd og børn er IGM kun beskrevet kasuistisk.

Man har haft mistanke om en sammenhæng med autoimmune lidelser [4, 5], men i dag er der mere fokus på en mulig infektiøs genese til CNGM betinget af corynebakterier, især Corynebacterium kroppenstedtii i mikrocysterne/vakuolerne [6, 7].Det er dog uvist, om infektion har en kausal betydning i patogenesen eller er et sekundært fund.

Forhøjet prolaktinniveau formodes at øge risikoen for brystinfektion, da prolaktin inducerer duktektasi og mælkestagnation, som potentielt er stimulerende for bakterievækst, også for C. kroppenstedtii [6].I en population af patienter med GM fandt man, at 11% havde hypofysetumor, og 33% var skizofrene og i behandling med antipsykotika, som medfører hyperprolaktinæmi [8]. Andre har påvist prolaktinom eller hyperprolaktinæmi hos ca. 10% af patienterne med IGM [9]. Anden komorbiditet er sjælden, og rygning er ikke en risikofaktor.

KLINISKE FUND

GM debuterer næsten altid som en unilateral proces ret centralt i glandelvævet, oftest med ømhed (Figur 1). Der kan forekomme rødme, absces og fisteldannelse. Palpatorisk findes et eller flere hårde, diffust afgrænsede og ømme infiltrater. Ved mammografi fremtræder processen ofte malignitetssuspekt med øget vævstæthed. Ultrasonisk ses der vævsfortætning med et heterogent mønster og evt. absces(-ser). Samsidige aksillymfeknuder er ofte forstørrede [10, 11].

UDREDNING

Patientens sygehistorie inkl. oplysning om brug af psykofarmaka er væsentlig. GM udredes med klinisk mammografi og biopsi. Med MR-skanning kan man ikke sikkert differentiere mellem GM og brystkræft, hvorfor det kun anbefales brugt som supplement [12]. Grovnålsbiopsi anbefales, da finnålscytologi har meget lav diagnostisk sikkerhed. Trucutbiopsier skal ofte gentages, ligesom knivbiopsi kan være nødvendig for at opnå tilstrækkeligt vævsmateriale til at stille en diagnose [10]. Ved både grovnålsbiopsi og især excisionsbiopsier risikerer man dog at forårsage forværring i det kliniske billede eller fisteldannelse. Videre udredning afhænger af biopsisvaret. Er biopsisvaret konklusivt for granulomatøs inflammation, udredes der for infektion inkl. tuberkulose, corynebakterier og Actinomyces samt for sarkoidose, Wegeners granulomatose og fremmedlegemer (Figur 2).

PATOLOGI

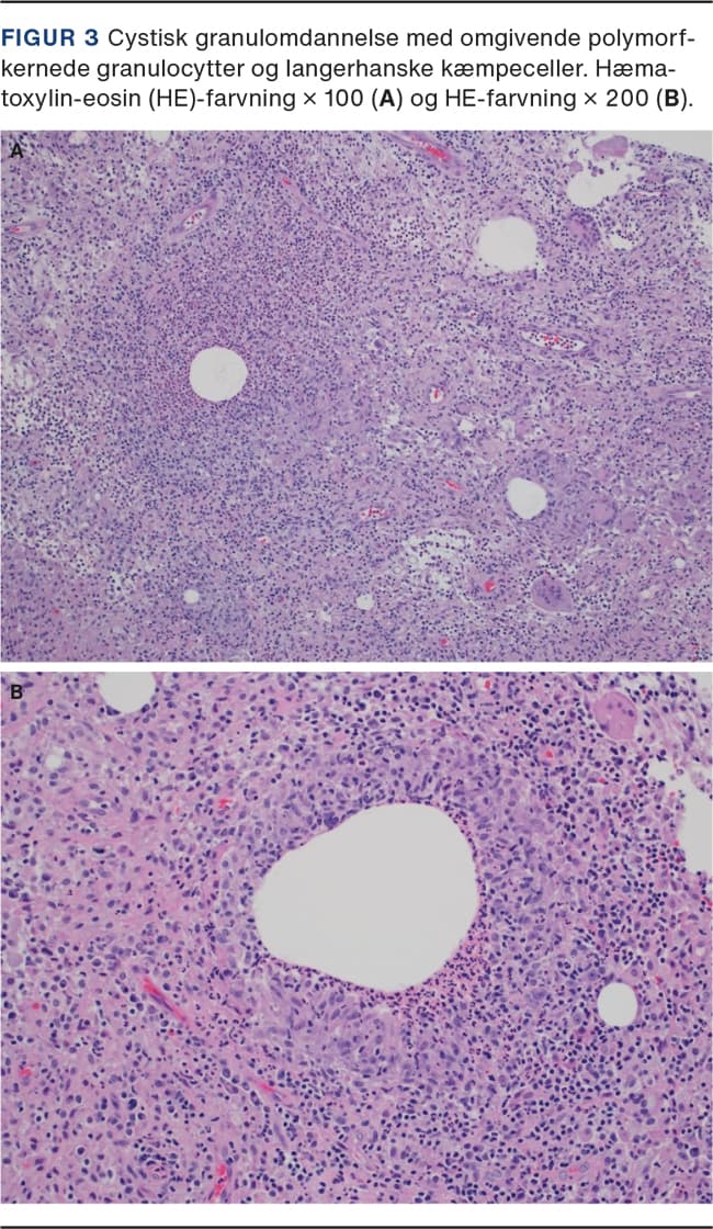
Granulomer er en ansamling af epiteloide histiocytære celler. Ved IGM domineres det histologiske billede af granulomer uden kaseøse nekroser som lobuli og bestående af epiteloide histiocytter, Langerhans kæmpeceller, plasmaceller, lymfocytter og evt. eosinofile granulocytter. Abscesdannelse kan forekomme. Bakterier, svampe og parasitter påvises ikke, og vaskulitis ses ikke. Ved CNGM findes lobulocentrisk granulomdannelse med et eller flere centrale mikrocystiske hulrum omgivet af en bræmme af neutrofile granulocytter [13](Figur 3)[14]. I visse tilfælde ses der grampositive stave i hulrummene, og i andre tilfælde kan der ikke påvises noget infektiøst agens. Det er vigtigt, at man tager flere biopsier ved klinisk mistanke om GM, da der er risiko for negativt biopsisvar.

MIKROBIOLOGI

Ved klassisk infektiøs mastitis er den puerperale gruppe hyppigst forårsaget af stafylokokker og sjældent af streptokokker. Den nonpuerperale mastitis ses hyppigst hos rygere [15], hvor Staphylococcus aureus er en vigtig agens, men andre bakterier og blandingsflora forekommer hyppigt.

Brystvævet har en endogen bakterieflora, der ligner hudens med et billede domineret af koagulasenegative stafylokokker og Propionibacterium acnes samt corynebakterier [16], hvorfor fund af disse bakterier i mikrobiologiske prøver ofte regnes som kontaminanter uden klinisk betydning.

C. kroppenstedtii blev første gang beskrevet i 1998. Trods begrænset litteratur tyder flere undersøgelser på, at bakterien kan spille en patogen rolle ved GM og brystabscesser [6]. C. kroppenstedtii er en grampositiv, katalasepositiv, fakultativ, anaerob, ubevægelig stav. Den tilhører en særlig gruppe inden for corynebakterierne, idet den mangler fedtsyren mykolsyre i kernemembranen og derfor kræver et lipofilt miljø for at vokse [17]. En lipidrig mamma vil derfor være et attraktivt habitat, og C. kroppenstedtii er næsten udelukkende fundet i inficeret brystvæv eller pus fra mammaabscesser [6, 17]. Diagnostisk vil et standarddyrkningsmedium og en inkubationstid på 1-2 døgn ikke kunne understøtte vækst af bakterien, der vokser langsomt, men væksten kan fremmes ved at tilsætte den lipofile komponent polysorbat 80 til vækstmediet [17]. Identifikation af bakterien udføres problemløst med proteinprofil (MALDI-TOF-analyse) [18]. Infektioner tilskrevet C. kroppenstedtii viser sig i vævsbiopsier med akut neutrofilt granulomatøst mønster samt evt. fund af bakterien i fedtopløste vakuoler og cystiske hulrum [6].

For korrekt mikrobiologisk diagnose og en eventuel optimal antibiotikabehandling er det vigtigt, at klinikeren sender relevant materiale (væv fra biopsi eller pus fra absces) til dyrkning og resistensbestemmelse om muligt før påbegyndelse af antibiotikabehandling. Forlænget dyrkningstid bør forsøges. Det er uvist, om molekylærbiologiske teknikker (påvisning af bakterielt DNA eller mikrobiomundersøgelse) har værdi i udredning af GM.

DIFFERENTIALDIAGNOSTISK

Den alvorligste differentialdiagnose er inflammatorisk brystkræft, som er en sjælden, men højmalign manifestation, hvor tumorembolier forstyrrer den dermale lymfedrænage. Rødmen er dog mere udbredt, og hudødem med peau d'orange ses ikke ved den sædvanlige infektiøse mastitis. Rødmen over infiltratet ved GM er mere i lilla nuance. Ductectasisyndrom kan overvejes.

Mastitis er en almindelig, benign, inflammatorisk tilstand, som inddeles i infektiøse mastitter og noninfektiøse mastitter. Den infektiøst betingede mastitis giver oftest en mere højrød hudfarve. Dette ses hos ammende kvinder og hos cigaretrygere, altså en anden patientgruppe. Diagnostikken kan dog vanskeliggøres af, at GM hyppigt kompliceres af en sekundær infektion med symptomer som ved almindelig mastitis evt. med absces- og fisteldannelse.

BEHANDLINGSSTRATEGI

Ved IGM er behandlingen symptomatisk. Hvis patienten ikke har abscesser/fistler, er drænerende behandling unødvendig. Hvis infektiøs agens og fokus ikke sikkert kan påvises, kan man undlade anden behandling end evt. analgetika, da inflammationen »brænder ud« af sig selv efter gennemsnitligt ca. syv måneder, og ca. 90% er symptomfrie inden for et år [9].

Antibiotika

Mastitissymptomerne vil ofte bevirke, at der påbegyndes antibiotisk behandling, typisk med dicloxacillin eller monocloxacillin, mens patienten udredes. Der er ingen specifikt rekommanderede antibiotika til behandling af C. kroppenstedtii. Teoretisk burde lipofile eller vævspenetrerende antibiotika såsom clarithromycin, doxycyklin, linezolid, rifampin og clindamycin være mest effektive, men fluorquinoloner kan formentlig også benyttes [3, 6]. Korte antibiotikakure kan medføre behandlingssvigt og resistensudvikling, og derfor anbefales antibiotikabehandling i min. 3-4 uger. Empirisk vil man starte med tetracykliner (doxycyclin) i 3-12 uger evt. trimethoprim/sulfamethizol, linezolid (i højst fire uger) eller moxifloxacin [18]. Behandlingen bør ske i samarbejde med en klinisk mikrobiologisk afdeling, som ved prøvemodtagelse bør gøres opmærksom på, at der er tale om mulig GM, således at dyrkningsforhold, identifikation og resistensbestemmelse optimeres [19]. Det må tilstræbes, at der udføres følsomhedsbestemmelser på alle C. kroppenstedtii-isolater, da følsomheden kan variere, og multiresistente stammer er set.

Kirurgi

Da mastitter behandles af brystkirurger, har man på flere centre behandlingsregimer med excision (med tilstræbt frie resektionsrande) eller med incision som standardbehandling af abscesser [5]. Flere beskriver kirurgi som effektivt [5, 10], men der er aldrig lavet randomiserede undersøgelser, hvor man sandsynliggør, at disse ofte ret store excisioner for patienten indebærer fordele, som står i rimeligt forhold til risikoen for kosmetisk skæmmende ar. Sårhelingen er dårlig, arrene bliver grimme, og recidivrisikoen er stor, 5-50% [5, 10, 20], dette er dog upræcist pga. små data.

Mange advokerer for at undgå kirurgisk behandling, eftersom inflammationen ofte er ret udbredt. Store resektioner medfører stort substanstab, og recidivrisikoen bliver ikke reduceret. Der er endog beskrevet recidiv efter mastektomi både med og uden primær brystrekonstruktion [9]. Der er tendens til dårlig sårheling, fisteldannelse og skæmmende arvævsretraktioner. Man bør derfor være meget restriktiv med kirurgi og højst overveje det ved kroniske fistler eller sekundære infektioner, som ikke kan dræneres perkutant.

Immunmodulerende behandling

Der er ikke klare guidelines for immunmodulerende behandling. Steroid og methotrexat er beskrevet som effektive, men doseringen og varigheden af disse behandlinger er uklar [21]. Prednisolonbehandling gives i ret store doser, hvilket medfører risiko for bivirkninger (Cushings syndrom, knogleafkalkning, søvnforstyrrelser, vægtstigning etc.). Regimer med prednisolonbehandling giver i bedste fald symptomfrihed efter fem måneder, og 20% af patienterne behandles i et år inden udtrapning. Herefter oplever 27% genopblussen i symptomerne, og 23% får recidiv [22]. Lokal steroidbehandling bør overvejes som den foretrukne administrationsform, da det er lige så effektivt som systemisk steroidbehandling og giver færre bivirkninger [23]. Methotrexat kan evt. bruges som alternativ [10].

Anden behandling

I et slovakisk studie beskrives behandling med naturlægemidler [11] med colchicin, E-vitamin og lokalbehandling med tinktur af lancetvejbred. Colchicin virker antiinflammatorisk ved at hæmme mikrotubulis funktion [24]. E-vitamin har antioxidativ og hudbeskyttende virkning. Lancetvejbreds blade hæmmer prostaglandinsyntesen, så det inflammatoriske respons nedsættes [25]. Alle 39 patienter i studiet blev symptomfrie inkl. lukning af fistler inden for 6-24 måneder, og ingen fik recidiv. Da recidivraten normalt er udtalt, kunne det tale for at efterprøve denne bivirkningsfri behandling.

GENERELT

Alle publicerede opgørelser er retrospektive med små patientmaterialer, og randomiserede undersøgelser foreligger ikke. Resultaterne af diverse behandlingsregimer er derfor vanskelige at konkludere på. Bouton et al beskriver en strategi med observation af 37 patienter uden behandling [9]. Patienterne blev symptomfrie efter i gennemsnit 7,4 måneder; dvs. at spontanforløbet ubehandlet leder til resultater, der er sammenlignelige med resultaterne ved mange af de beskrevne behandlingsregimer.

Recidivfrekvensen er høj, men monitorering og opfølgning er ikke klarlagt. Det radiologiske billede vil gradvis normaliseres. MR-skannings rolle som mulig monitoreringsmetode er uafklaret.

Konklusion

IGM/CNGM er sjælden, og ætiologien er uafklaret, men formentlig multifaktoriel. En del retrospektive studier og kasuistikker tyder på, at bakterien C. kroppenstedtii spiller en hidtil overset rolle i patogenesen ved CNGM.

IGM er en benign tilstand, der er kompleks at udrede. Det kliniske billede kan ligne brystcancer. Når diagnosen er stillet, kan den bedste behandling muligvis være ingen behandling. Sygdommen medfører ofte langtrukne forløb, men er selvlimiterende. Kirurgi bør nok undgås, og medicinsk behandling skal sigte mod en evt. grundlidelse.

Trods de logistiske vanskeligheder anbefales det at lave national registrering og prospektive protokoller for at sikre bedre evidens for behandling af GM.



Korrespondance Niels Bentzon. E-mail: niels.bentzon@regionh.dk
Antaget 25. august 2021
Publiceret på ugeskriftet.dk 25. oktober 2021
Interessekonflikter ingen. Forfatternes ICMJE-formularer er tilgængelige sammen med artiklen på ugeskriftet.dk
Referencer findes i artiklen publiceret på ugeskriftet.dk
Artikelreference Ugeskr Læger 2021;183:V03210279
Taksigelser Mette Okholm, Brystkirurgisk Afdeling, Herlev-Gentofte Hospital, takkes for idé, kreative forslag og kritisk gennemlæsning af manuskriptet. Jette Bangsborg, Afdeling for Klinisk Mikrobiologi, Herlev-Gentofte Hospital, takkes for idé, kritisk granskning og gennemlæsning af manuskriptafsnit om mikrobiologiske forhold. Megan Troxell, Department of Pathology, Stanford University, takkes for mikroskopibillederne.

Summary

Granulomatous mastitis

Thomas Bentzon, Anna Marie Theut, Henrik Kiær & Niels Bentzon

Ugeskr Læger 2021;183:V03210279

Granulomatous mastitis (GM) is a quite rare inflammatory condition of the breast with varying clinical presentations and microbiological findings. Having excluded specific diseases connected with GM, a group of idiopathic GM (IGM) remains including a special form presenting with multiple small cysts named cystic neutrophil GM (CNGM). The aetiology is unknown, and clinical investigation methods as well as treatment options are controversial. The purpose of this review is to describe diagnostic considerations and controversies in the treatment of IGM and CNGM.

Referencer

Referencer

  1. Al-gameel G, Skaar M, Tvedskov TF et al. Brysttuberkulose er en sjælden årsag til en proces i brystet. Ugeskr Læger 2018;180:V11150924.

  2. Kessler E, Wolloch Y. Granulomatous mastitis: a lesion clinically simulating carcinoma. Am J Clin Pathol 1972;8:642-6.

  3. Paviour S, Musaad S, Roberts S et al. Corynebacterium species isolated from patients with mastitis. Clin Infect Dis 2002;35:1434-40.

  4. Özel L, Ünal A, Ünal E et al. Granulomatous mastitis: is it an autoimmune disease? Surg Today 2012;42:729-33.

  5. Kiyak G, Dumlu EG, Kilinc I et al. Management of idiopathic granulomatous mastitis: dilemmas in diagnosis and treatment. BMC Surg 2014;14:66.

  6. Saraiya N, Corpuz M. Corynebacterium kroppenstedtii: a challenging culprit in breast abscesses and granulomatous mastitis. Curr Opin Obstet Gynecol 2019;31:325-32.

  7. Wang L, Jorns JM. Cystic neutrophilic granulomatous mastitis: corynebacterium species-associated infection with distinct histology. Clin Microbiol Infect 2021;27:236-7.

  8. Wong SCY, Poon RWS, Chen JHK et al. Corynebacterium kroppenstedtii is an emerging cause of mastitis especially in patients with psychiatric illness on antipsychotic medication. Open Forum Infect Dis 2017;4:1-4.

  9. Bouton ME, Jayaram L, O’Neill PJ et al. Management of idiopathic granulomatous mastitis with observation. Am J Surg 2015;210:258-62.

  10. Aghajanzadeh M, Hassanzadeh R, Alizadeh Sefat S et al. Granulomatous mastitis: presentations, diagnosis, treatment and outcome in 206 patients from the north of Iran. Breast 2015;24:456-60.

  11. Vanovcanova L, Machalekova V, Waczylikova I et al. Idiopathic granulomatous mastitis – a new approach in diagnostics and treatment. Neoplasma 2019;66:661-8.

  12. Rieber A, Tomczak Reinhard J, Mergi PJ et al. MRI of the breast in the differential diagnosis of mastitis versus inflammatory carcinoma and follow-up. J Comput Assist Tomogr 1997;21:128-32.

  13. Wu JM, Turashvili G. Cystic neutrophilic granulomatous mastitis: an update. J Clin Pathol 2020;73:445-53.

  14. Troxell ML, Gordon NT, Doggett JS et al. Cystic neutrophilic granulomatous mastitis: association with gram-positive bacilli and corynebacterium. Am J Clin Pathol 2016;145:635-45.

  15. Risager R, Bentzon N. Rygning øger risiko for brystbetændelser. Ugeskr Læger 2010;172:2218-21.

  16. Pereira FA, Mudgil AV, Macias ES et al. Idiopathic granulomatous lobular mastitis. Int J Dermatol 2012;51:142-51.

  17. Tauch A, Fernández-Natal I, Soriano F. A microbiological and clinical review on Corynebacterium kroppenstedtii. Int J Infect Dis 2016;48:33-9.

  18. Dobinson HC, Anderson TP, Chambers ST et al. Antimicrobial treatment options for granulomatous mastitis caused by corynebacterium species. J Clin Microbiol 2015;53:2895-9.

  19. Kivilcim T, Altintoprak F, Memis B et al. Role of bacteriological agents in idiopathic granulomatous mastitis: real or not? Eur J Breast Health 2018;15:32-6.

  20. Schelfout K, Tjalma WA, Cooremans ID et al. Observations of an idiopathic granulomatous mastitis. Eur J Obstet Gynecol Reprod Biol 2001;97:260-2.

  21. Akbulut S, Arikanoglu Z, Senol A et al. Is methotrexate an acceptable treatment in the management of idiopathic granulomatous mastitis? Arch Gynecol Obstet 2011;284:1189-95.

  22. Pandey TS, MacKinnon JC, Bressler L et al. Idiopathic granulomatous mastitis – a prospective study of 49 women and treatment outcomes with steroid therapy. Breast J 2014;20:258-66.

  23. Alper F, Karadeniz E, Güven F et al. The evaluation of the efficacy of local steroid administration in idiopathic granulomatous mastitis: the preliminary results. Breast J 2020;26:309-11.

  24. Leung YY, Yao Hui LL, Kraus VB. Colchicine-update on mechanisms of action and therapeutic uses. Semin Arthritis Rheum 2015;45:341-50.

  25. Majkic T, Bekvalac K, Beara I. Plantain (Plantago L.) species as modulators of prostaglandin E2 and thromboxane A2 production in inflammation. J Ethnopharmacol 2020;262:113140.