Granulomatose med polyangiitis kan debutere som isoleret gingivitis


Simon Krabbe Videncenter for Reumatologi og Rygsygdomme, RigshospitaletE-mail: simonkrabbe@gmail.com & Siri Beier Jensen Sektion for Oral medicin og Patologi, Odontologisk Institut/Tandlægeskolen, Det Sundhedsvidenskabelige Fakultet, Københavns Universitet Ugeskr Læger 2016;178:V67845
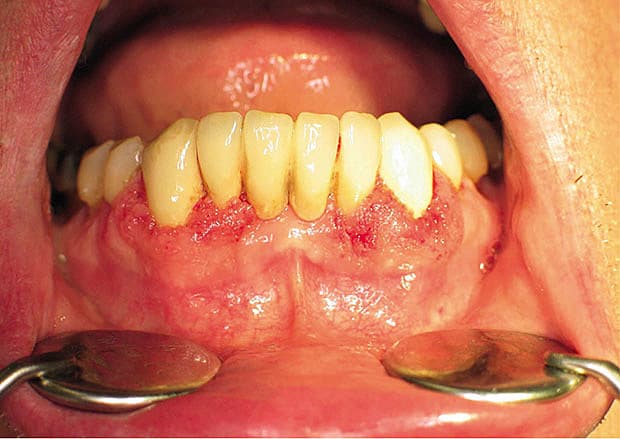
En 61-årig mand med gingivitis omkring incisiver og hjørnetænder i underkæben blev fra en privatpraktiserende tandlæge henvist til Tandlægeskolen. På baggrund af det karakteristiske udseende, strawberry gums, og en biopsi, som viste inflammation med eosinofile granulocytter og småabscesser, men dog ingen granulomer, vaskulitis eller kæmpeceller, blev der rejst mistanke om granulomatose med polyangiitis. Værdierne for C-reaktivt protein (CRP), antineutrofile cytoplasmatiske antistoffer (ANCA) og urinstiks var alle normale, og rinoskopi og røntgenoptagelse af thorax viste ligeledes normale forhold. Tilstanden gik i ro alene på to ugers prednisolonbehandling.
Et halvt år efter fik patienten igen gingivitis, denne gang ledsaget af smerter omkring højre kæbehule og en propfornemmelse i højre øre, feber, træthed og vægttab. Der var nu inflammatoriske forandringer i næseslimhinden, tre noduli på højre lunge, forhøjet CRP-værdi på 49 mg/l og positiv proteinase 3-ANCA på 9,3 kIE/l. Efter yderligere et halvt år tilkom der, trods behandling med rituximab, makroskopisk hæmaturi og proteinuri på 0,4 g protein/døgn. Ved behandling med cyclophosphamid remitterede sygdommen.
Granulomatose med polyangiitis kan debutere som isoleret gingivitis, hvor der først senere tilkommer involvering af andre organer, f.eks. som her øvre og nedre luftveje samt nyrer.
Interessekonflikter: