Hæmatogen spredning af Escherichia coli til sternum


Belqis Amali Khogiani1, Lau Brix2 & June Ejlersen1
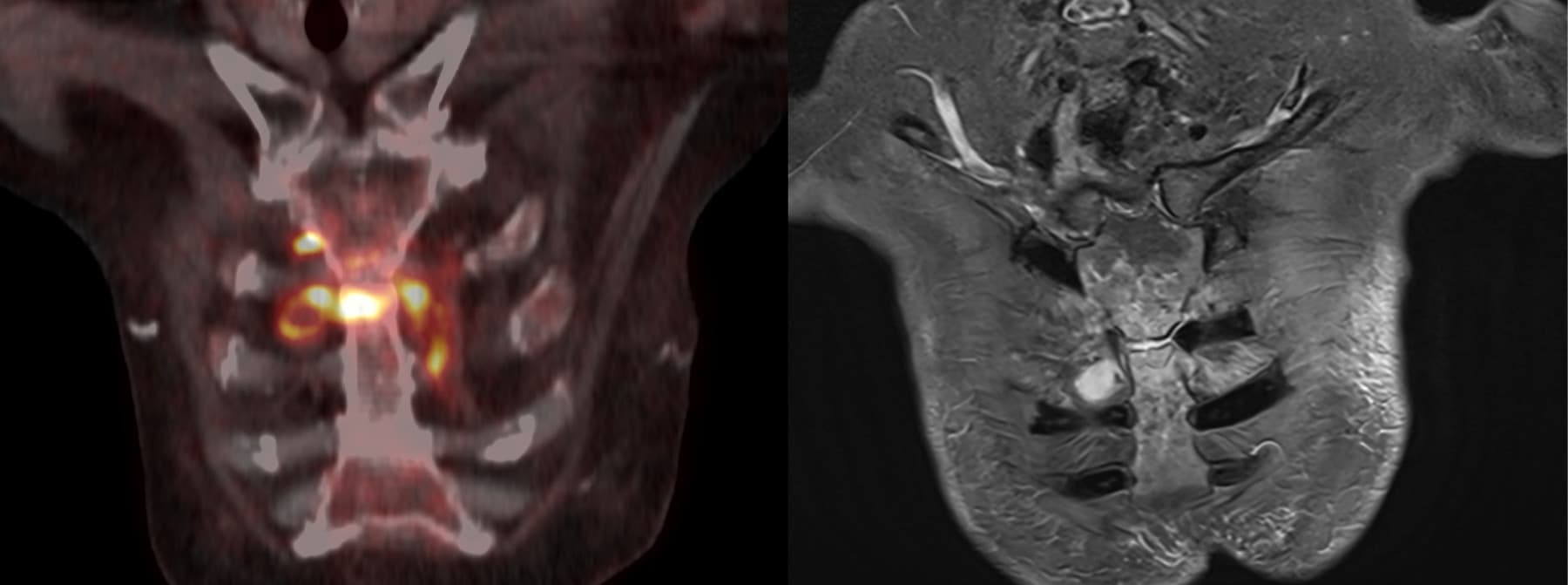
En ældre, multimorbid kvinde, indlagt med Escherichia coli-pyelonefritis og bakteriæmi, responderede initialt på relevant antibiotikabehandling. Pga. stagnerede infektionstal blev der udført FDG-PET/CT på mistanke om sekundært infektionsfokus/malignitet. Ud over pneumoniske infiltrater og pyelonefritis sås overraskende kraftig 18F-fluordeoxyglukose (FDG)-optagelse i manubriosternalleddet og nærliggende bløddele, men kun diskrete CT-forandringer. Klinisk fandtes hævelse over manubrium sterni og ømhed parasternalt. Efterfølgende MR-skanning viste septisk artritis, og parasternalt, interkostalt, højresidigt sås desuden en mindre absces. Gentagne forsøg på aspiration mislykkedes. Trods manglende mikrobiologi var sternal E. coli-infektion efter hæmatogen spredning fra urinvejene den mest sandsynlige diagnose.
Kun få lignende tilfælde kendes, idet de øvrige (også sjældne) tilfælde af E. coli-kostochondritis er primære (kirurgi, traume eller pleural infektion) [1, 2]. Infektionsudredning med FDG-PET anbefales blandt andet ved mistanke om ukendt, sekundært infektionsfokus samt hos risikopatienter med bakteriæmi [3].
Aktuelle case viser værdien af FDG-PET til påvisning af uventede/atypiske infektionsfoci, der kun vanskeligt ses på CT.
Korrespondance Belqis Amali Khogiani. E-mail: belkho@rm.dk
Publiceret på ugeskriftet.dk 12. februar 2024
Interessekonflikter ingen. Forfatternes ICMJE-formularer er tilgængelige sammen med artiklen på ugeskriftet.dk
Artikelreference Ugeskr Læger 2024;186:V72012
doi 10.61409/V72012
Open Access under Creative Commons License CC BY-NC-ND 4.0