Håndledsbrud hos børn


Louise Klingenberg, Søren Bødtker & Andreas Balslev-Clausen
Hovedbudskaber
Distal radiusfraktur er den hyppigste fraktur hos børn og udgør 20-30% af alle frakturer [1]. Incidensen i Danmark er 738/100.000 børn pr. år [2]. I Danmark er behandlingen af distal radiusfraktur jf. specialeplanen en hovedfunktion og varetages på stort set alle af landets sygehuse med akutfunktion. Behandlingen er oftest immobilisering med gips, evt. forudgået af lukket reponering. Den hyppigste komplikation er malunion, hvor frakturen heler i fejlstilling [1, 3-5]. På trods af skred i frakturen vil reintervention dog sjældent være indiceret, da en evt. fejlstilling oftest vil remodellere. I Danmark er der af Dansk Ortopædkirurgisk Selskab udarbejdet en kort klinisk retningslinje (KKR) [6], som giver anbefalinger til behandlingen af distal radiusfraktur på baggrund af den eksisterende litteratur.
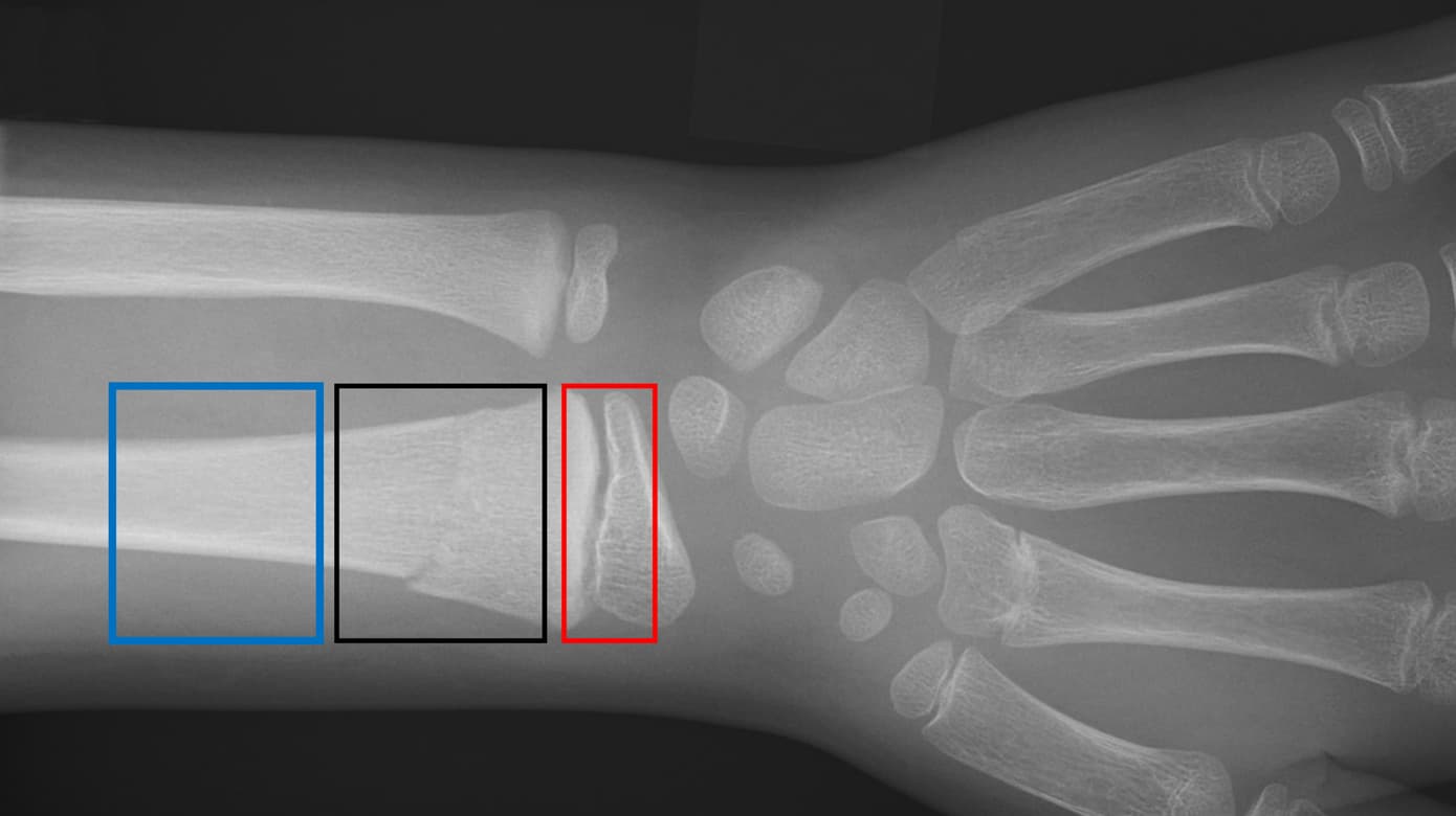
Frakturerne inddeles i epifysiolyser, metafysære og metadiafysære frakturer samt i inkomplette (»torus«-, »buckle«- og »green-stick«-fraktur) og komplette frakturer (Figur 1). Børn har under vækst stor remodelleringsevne, og 75% af længdevæksten og dermed størstedelen af remodelleringen foregår distalt i radius [7]. Evnen til remodellering afhænger af væksthastighed i vækstzonen, restvækst og frakturens afstand fra vækstzonen. Jo tættere frakturen er på vækstzonen, og jo yngre barnet er, des større er remodelleringen. Figur 2 viser et barns evne til at remodellere over tid.
Der findes vejledende acceptable vinkler ved forskudte brud, men disse vinkler er kun anbefalinger. I litteraturen er det påvist, at de forskudte frakturer, der er helet i betydelig fejlstilling, og frakturer med 100% ad latum-forskydning og forkortning remodellerer til anatomisk stilling, hvis der er en restvækst på over to år. Man må derfor forvente, at de vejledende acceptable fejlstillinger vil ændre sig i fremtiden, da de aktuelt er for konservative.
Distal radiusfraktur pådrages ved lavenergitraume, f.eks. ved sport og fald fra egen højde [2]. Symptomerne er smerter og evt. fejlstilling af håndleddet. Neurovaskulære forhold skal altid undersøges og dokumenteres, og undersøgelse af tilstødende led er obligatorisk. Der foretages røntgen af håndleddet i to planer – lateral og anterior-posterior-projektion. Ved mistanke om skade på albuen suppleres med røntgen af albuen i to plan. Der anlægges gips i skadestuen/akutmodtagelsen, og patienten hjemsendes til opfølgning hos egen læge eller kontrol i ambulatoriet afhængigt af frakturtypen. Hvis frakturen kræver behandling i generel anæstesi, planlægges operationen subakut.
Historisk set er standardbehandling af distal radiusfraktur lukket reponering og immobilisering med gips [1, 3, 8, 9]. Størstedelen af de distale radiusfrakturer hos børn er ikke forskudte eller minimalt forskudte. Behandlingen af disse frakturer er sjældent til diskussion og kræver oftest kun bandagering. For de øvrige frakturer, hvor der forekommer skred i fraktur og vinkling, kan indikationen for den kirurgiske behandling være kontroversiel. Der er i litteraturen studier, hvor man argumenterer for behandling udelukkende med lukket reponering og gips [8, 10], og andre, hvor man advokerer for reponering og fiksering med k-tråde [4, 11-14]. McLauchlan et al sammenlignede i et prospektivt randomiseret kontrolleret studie behandlingen af disloceret distal radiusfraktur med enten lukket reponering og bandagering eller lukket reponering og k-trådsfiksering [14]. Studiet viste frakturskred hos 14/33 patienter i gruppen med lukket reponering og bandagering, hvoraf syv blev reopereret. I gruppen med k-trådsfiksering sås frakturskred hos 1/35. Andre studier viser lignende resultater [4, 11, 15]. Selvom k-trådsfiksering forhindrer skred af frakturen, er der ikke beskrevet forskel i de to grupper ved langtidsopfølgning. Behovet for re-reponering og evt. k-trådsfiksering ved et skred af frakturen efter primær lukket reponering kan diskuteres, da børns evne til remodellering over tid er så stor [16]. Behandlingen har i de seneste par år udfordret acceptable fejlstillinger, og litteraturen viser, at man kan tillade sig at behandle børn med tilstrækkelig restvækst (alder < 10 år) med 100% ad latum-forskudte frakturer uden stor vinkling konservativt [10, 17, 18].
Indikation for konservativ versus operativ behandling af epifysiolyser er dårlig belyst. I et systematisk review [19] gennemgås den sparsomme litteratur. Der kan ikke laves nogen anbefalinger, hvad angår acceptabel stilling og behov for kirurgisk intervention.
Ikkeoperativ behandling
Langt de fleste distale radiusfrakturer kan behandles konservativt. De retningslinjer vi har i Danmark, jf. KKR, er bygget på den eksisterende litteratur, og en revideret udgave er netop blevet accepteret i Dansk Ortopædkirurgisk Selskab. Anbefalingerne er ikke ændret fra tidligere og ses i Tabel 1 [6]. Der er i [20] angivet lignende retningslinjer.
Isolerede distale radiusfrakturer kan behandles med en dorsal gips på underarmen. En torusfraktur er stabil og kræver ingen opfølgning. Den kan afbandageres og afsluttes hos egen læge efter tre uger. Green-stick-frakturer kan være ustabile og skal også ved behandling uden reponering følges i ambulatoriet til kontrol efter en uge med røntgenundersøgelse.
Operativ behandling
Lukket reponering
Ved uacceptabel fejlstilling jf. Tabel 1 foretages der intervention. Gradtallene er vejledende. Størstedelen af de distale radiusfrakturer hos børn behandles med lukket reponering og gips. Reponering foregår enten under sedation, i lattergasrus eller under fuld anæstesi. Den nuværende anbefaling for reponering af epifysiolyser er under syv dage fra traumetidspunktet [20]. En sen manipulation kan øge risikoen for iatrogen skade på epifyseskiven.
Ved green-stick-frakturer skal man sikre sig, at den modsatte cortex brydes for at ophæve den deformerende kraft. Frakturen er derved nemmere at holde i gipsen, og det hindrer, at den falder tilbage til udgangspunktet [21]. K-tråde til fiksering af bruddet kan ofte undlades. Alle frakturer, der reponeres lukket, skal følges op i ambulatoriet med røntgenkontrol efter 7-10 dage. Forventet bandageringstid af distale håndledsfrakturer hos børn er 3-4 uger.
Behandlingen af distal radiusfraktur hos børn med lukket reponering foretages bedst med en cirkulær gips, hvor der opnås trepunktsfiksering for at undgå frakturskred. Risikoen for frakturskred er afhængig af manglende anatomisk reduktion, frakturtype (obliquefraktur) og inkorrekt anlæggelse af gipsen [3, 5]. En cirkulær gips modelleres omkring frakturen, så der er maksimal stabilitet. Gipsen lægges med minimal polstring og trykkes i volar-dorsal retning, så den bliver elliptisk og ikke cirkulær i tværsnit, således at membrana interossa udspændes og bidrager til stabilitet i frakturen.
Der er lavet en række radiologiske mål, der angiver kvaliteten af gipsanlæggelsen; 3-pointindex [22], Cast Index (CI) og Gap index [9, 23] (Figur 3). De giver hver især et mål, hvormed man kan forudsige risikoen for frakturskred. Målene kan dog kun benyttes på den cirkulære gips. Ved gipsanlæggelse skal bandagen have et så lavt CI som muligt og anlægges med trepunktsfiksering [5].
Intern fiksering
Intern fiksering anvendes til ustabile frakturer, der ikke kan holdes i en cirkulær gips. Manglende anatomisk reposition og skråfrakturer øger risikoen for frakturskred og er således en relativ indikation for fiksering med K-tråde [3, 24]. Grundet risikoen for skred efter lukket reponering er der flere, som anbefaler rutinemæssig fiksering af frakturerne med k-tråde [13] trods barnets evne til at remodellere. Distal radiusfraktur kan oftest behandles med en eller to k-tråde til fiksering, og k-trådene afklippes over huden. Ved en epifysiolyse, der kræver stabilisering, kan det være nødvendigt at krydse vækstzonen. Kapandjiteknikken er en anden velegnet teknik til reponering af både distale radiusfrakturer og epifysiolyser, så man dermed undgår at krydse vækstzonen [25]. Der kan ved svært dislocerede frakturer interponeres bløddele eller periost i frakturen, hvilket vanskeliggør reponering. Her kan der være behov for en åben reposition, hvor periost trækkes ud af frakturspalten. Den kirurgiske behandling af metadiafysære radiusfrakturer kan være udfordrende pga. frakturens lokalisation. Den vinkel, k-tråden skal indføres i, bliver for stejl, og k-tråden har tendens til at glide af cortex. Fleksible marvsøm er vanskelige at benytte, da det distale fragment ofte er for kort, og marvsømmet derved forskyder frakturen. Hos ældre børn tæt på slutvækst kan osteosyntese med skinner og skruer benyttes. Kirurgerne må i de enkelte tilfælde vælge den metode, de finder mest hensigtsmæssig.
Postoperativt anlægges der en dorsal gipsskinne, og der tages røntgenbilleder umiddelbart efter operationen. Gips og k-tråde fjernes i ambulatoriet efter fire uger, evt. under rus. Det er vanlig praksis, at man foretager røntgen efter k-trådsfjernelse eller ved afbandagering for at sikre heling, dog mener vi ud fra egen erfaring, at denne kontrol sjældent har en konsekvens for den videre behandlingsplan for patienten, og man i stedet kun bør foretage en røntgenundersøgelse, hvis der ses en fejlstilling, eller der er betydelig indirekte ømhed ved den kliniske undersøgelse.
Komplikationer ved behandling af distal radiusfraktur er få. Ved lukket reponering er den hyppigste komplikation skred af frakturen [4, 12, 14]. Da der oftest er tilstrækkelig restvækst, vil mange af disse frakturskred kunne remodellere til anatomisk stilling uden yderligere intervention [18, 26, 27]. Ved epifysiolyser kan der opstå skade på fysen under traumet eller efter sen reponering af en displaceret fraktur, hvilket dermed kan forårsage vækststandsning. Incidensen ligger på 4-5% [20]. Der er ikke beskrevet komplikationer i forbindelse med primær anlæggelse af cirkulær gips på distal radiusfraktur, men man skal være opmærksom tryksår og sikre sig, at gipsen kan fjernes i tilfælde af gener.
Komplikationer ved de osteosynterede frakturer er sjældent forekommende og er oftest milde og forbigående. Det drejer sig om dysæstesi i den dorsale nervegren fra n. radialis, infektioner omkring k-tråde og migration af k-tråde [1, 12, 14].
Distal radiusfraktur er en hyppig fraktur hos børn og behandles oftest uden kirurgisk intervention. Børn med en restvækst over to år har høj remodelleringsevne, og man kan derfor acceptere betydelige fejlstillinger. De frakturer, hvor der findes indikation for intervention, behandles primært med lukket reponering og en gips med trepunktsfiksering. Komplikationerne i forbindelse med denne behandling er få, men risikoen for frakturskred er høj, hvis gipsen ikke anlægges korrekt. Ustabile frakturer, som ikke kan holdes i en gips, fikseres med k-tråde eller ved de høje metadiafysære frakturer evt. med et fleksibelt marvsøm eller en skinne.
Det er essentielt, at der fremadrettet bliver sat fokus på gipsanlæggelse i uddannelsen af ortopædkirurger og akutlæger, da gips er en lige så vigtig behandling som intern fiksering. Aktuelt er oplæring i gipsanlæggelse ikke en formaliseret del af uddannelsen. I ambulatorierne er der flere steder gipseteknikere, men gips på operationsgangen og skadestuen lægges på de fleste afdelinger i Danmark af den yngre læge. I USA er behandlingen af distal radiusfraktur med lukket reponering og cirkulær gips en af de essentielle kvalifikationer, som prioriteres i uddannelsen [28, 29], og med denne prioritering forventer man at forbedre yngre lægers kompetencer og dermed højne kvaliteten af behandlingen. Der bør i Danmark sættes samme fokus på gipsning som en kernekompetence for yngre læger, som behandler frakturer i skadestuen og på operationsgangen.
Det er svært ud fra den foreliggende litteratur at give en konkret anbefaling til maksimalt anbefalede fejlstillinger, da den eksisterende evidens er svag. Man må derfor foretage en individuel vurdering ud fra patientens alder og de anbefalinger, der er til rådighed.
Korrespondance Louise Klingenberg. E-mail: Klingenberg@dadlnet.dk
Antaget 10. november 2022
Publiceret på ugeskriftet.dk 23. januar 2023
Interessekonflikter ingen. Forfatternes ICMJE-formularer er tilgængelige sammen med artiklen på ugeskriftet.dk
Referencer findes i artiklen publiceret på ugeskriftet.dk
Artikelreference Ugeskr Læger 2023;185:V02220104
Louise Klingenberg, Søren Bødtker & Andreas Balslev-Clausen
Ugeskr Læger 2023;185:V02220104
Distal radius fractures in children are the most common fractures in children. There is no consensus on when and how to treat these fractures. This review summarises the present knowledge. Children have a capacity to remodel and the remodeling of the bone is reverse correlated to the child’s age. The remodeling potential allows us to accept some degree of malunion before intervention. Solely a cast applied with a 3-point fixation can treat most distal radius fractures. It is therefore essential to increase focus on educating doctors in applying a correct molded cast. Unstable fractures can usually be fixated with k-wires alone.