Hepatitis efter tygning af khat


Eva Teisen1, Ben Vainer2 & Henriette Ytting1
Bladene fra planten Catha edulis, khat, har ved tygning en centralstimulerende virkning som amfetamin og er udbredt som rusmiddel blandt især mænd i Østafrika.
I de senere år er der beskrevet flere tilfælde af akut og kronisk leversvigt hos indvandrere, der var af somalisk oprindelse og havde et khatforbrug [1, 2], og det diskuteres, hvorvidt sygdomstilfældene er en særlig etnisk variant af autoimmun hepatitis (AIH) [3], eller om det er en khatinduceret hepatitis (DILI) med manifestationer af klassisk AIH, immunglobulin (Ig)G-forhøjelse og positivt glat muskel-antistof [4].
De følgende sygehistorier underbygger hypotesen om, at der er tale om en hepatotoksisk effekt af khat.
Seks patienter af somalisk herkomst blev indlagt på mistanke om AIH. Patienterne havde gastrointestinale symptomer, ikterus og svær leverpåvirkning (Tabel 1). En (patient nr. 6) havde encefalopati og levercirrose. Fem af patienterne var mænd i alderen 24-52 år. Alle havde haft et khatforbrug forud for symptomdebuten. Paraklinisk sås der betydelig forhøjelse af alaninaminotransferase (ALAT)-niveauet, forhøjet IgG-niveau, koagulopati og hyperbilirubinæmi. Screening for viral hepatitis og andre kendte årsager til leverpåvirkning var negativ.
Fem patienter fik foretaget leverbiopsi og blev herefter, på mistanke om svær AIH, sat i behandling med prednisolon (40-60 mg dagl.), senere suppleret med azathioprin. Patienten med encefalopati var allerede
i behandling med højdosis methylprednisolon, men uden effekt. Hos de øvrige fem patienter sås der markant klinisk og biokemisk respons på prednisolonbehandling med normaliseret ALAT-niveau inden for 3-4 måneder.
Hos tre patienter påvistes middel til stærkt positiv glat muskel-celleantistof (SMA), hvilket understøttede diagnosen AIH. Hos de øvrige var SMA svagt positiv
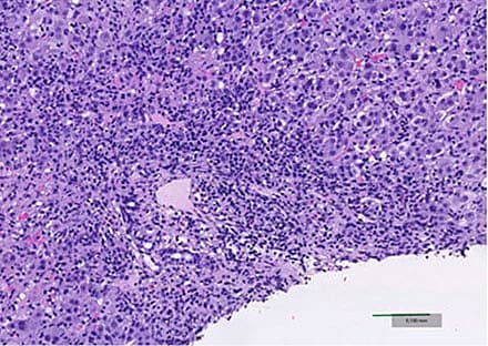
eller negativ. Leverbiopsi fra fem af patienterne viste inflammatoriske forandringer, som var forenelige med såvel AIH som toksisk hepatitis.
Vurderet ud fra de internationale diagnostiske AIH-kriterier, der omfatter såvel køn som biokemiske, histologiske og potentielt hepatotoksiske parametre, var diagnosen AIH ikke sikker hos nogen af patienterne, men »sandsynlig« hos tre patienter og »ikke sandsynlig« hos tre, jf. Tabel 1.
To af patienterne var fortsat i langtidsprofylaktisk behandling med azathioprin fire år efter diagnosen, mens tre havde kunnet trappes helt ud af behandling. Patienten med encefalopati døde af intracerebral blødning i det akutte forløb. En patient, som selv seponerede azatioprin og genoptog khatforbruget, blev senere genindlagt med svær leverpåvirkning og cirroseudvikling. Fornyet medicinsk behandling medførte normalisering af ALAT-niveauet.
Ovenstående sygehistorier sandsynliggør, at khat kan inducere DILI med autoimmune fænomener.
Selvom patienterne klinisk og biokemisk havde akut, svær AIH, var diagnosen ifølge de diagnostiske kriterier usikker hos tre og usandsynlig hos de andre tre. Også kønsfordelingen er den modsatte af den forventede ved klassisk AIH, som er langt hyppigere hos kvinder end hos mænd. Endvidere fik en patient ved genoptagelse af khattygning atter svær leverpåvirkning med udvikling af cirrose. Hos fem af de seks patienter, som er beskrevet i denne artikel, var der god effekt af behandling med prednisolon og azathioprin, som er standardterapi ved AIH, men som også i nogle tilfælde af toksisk hepatitis har effekt, hvorfor behandlingsrespons per se ikke er ensbetydende med en AIH-diagnose.
Såvel akut, transplantationskrævende leversvigt som cirrose med formodet baggrund i khatindtag er
beskrevet i flere caseserier [1, 2], ligesom khatinduceret hepatotoksicitet er påvist i dyrestudier [5].
Khatinduceret leverpåvirkning er aldrig beskrevet i Østafrika. Mulige forklaringer på dette kan være forskelle i khatbladenes beskaffenhed. I hjemlandene tygges bladene friske, mens eksporterede blade kan være præpareret med kemikalier. Herudover kan der være sociale og kulturelle forskelle i tyggevaner, hvor længerevarende eksponering potentielt kunne føre til skadelig ophobning af metabolitter. Andre mulige årsager er underrapportering pga. mindre kontakt til sundhedsvæsenet, samt det at khattygning ifølge muslimsk lov er forbudt og ikke kan forventes oplyst.
Khatinduceret toksisk hepatitis bør overvejes som differentialdiagnose ved både akut og kronisk leverpåvirkning hos patienter af somalisk oprindelse. Hvis der er mistanke herom, anbefales indledningsvist steroidbehandling og efterfølgende udtrapning som ved AIH under tæt monitorering. Ved tegn på relaps under eller i månederne efter steroidudtrapning er der formentlig tale om AIH, og steroidbehandling må intensiveres/genoptages med samtidig initiering af langtidsprofylaktisk behandling med azathioprin.
Korrespondance: Henriette Ytting. E-mail: henriette.ytting@regionh.dk
Antaget: 5. april 2016
Publiceret på Ugeskriftet.dk: 16. maj 2016
Interessekonflikter:
Chewing of leaves from the Catha edulis (khat) plant has amphetamine-like, stimulating effects and is used in rituals among East African men. In recent years, a possible liver-toxic effect has been observed in Somali immigrants in Western countries and has in severe cases led to death or liver transplantation. It is discussed whether the liver insufficiency represents a severe ethnic variant of autoimmune hepatitis, or a khat-induced hepatitis with autoimmune features. We describe six patients with Somalian background and possibly khat-induced toxic hepatitis.
Chapman MH, Kajihara M, Borges G et al. Severe, acute liver injury and khat leaves. N Engl J Med 2010;362:1642-4.
Peevers CG, Moorghen M, Collins PL et al. Liver disease and cirrhosis because of khat chewing in UK Somali men: a case series. Liver Int 2010;30:1242-3.
D‘Souza R, Sinnott P, Glynn MJ et al. An unusual form of autoimmune hepatitis in young Somalian men. Liver Int 2005;25:325-30.
Riyaz S, Imran M, Gleeson D et al. Khat (Catha Edulis) as a possible cause of autoimmune hepatitis. World J Hepatol 2014;6:150-4.
Alsalahi A, Abdulla MA, Al-Mamary M et al. Toxicological features of
Catha edulis (khat) on livers and kidneys of male and female sprague-dawley rats: a subchronic study. Evid Based Complement Alternat Med 2012;2012:829401.