Hereditær pankreatitis (HP) er en arvelig sygdom, som er karakteriseret ved recidiverende episoder med akut pankreatitis (AP) og progression til kronisk sygdom. Tilstanden har en autosomal dominant arvegang med en penetrans på 80%, og den debuterer typisk i barndommen eller ungdomsårene [1]. På grund af den tidlige debutalder og den gradvise progression til kronisk pankreatitis (KP) er HP associeret med en høj livstidsrisiko for udvikling af pankreatisk duktalt adenokarcinom (PDAC) [2-4]. Sygdommen udgør ca. 1% af alle KP-tilfælde, og der er behov for tidlig udredning og screening for potentiel malignitetsudvikling hos denne sjældne, men vigtige patientgruppe.
Fakta
Fakta
HOVEDBUDSKABER
-
Hereditær pankreatitis (HP) er karakteriseret ved recidiverende akutte pankreatitisepisoder og/eller kronisk pankreatitis uden oplagt årsag, med debut < 30-årsalderen.
-
Patienter med HP har en akkumuleret livstidsrisiko på 20-50% for at udvikle pancreascancer, hvorfor tidlig opsporing er vigtig mhp. screening for potentiel malignitet.
-
Der er etableret et screeningsprogram på Odense Pancreas Center, Odense Universitetshospital, som er åbent for nye henvisninger fra hele landet.
DEFINITION OG EPIDEMIOLOGI
Den første beskrivelse af HP stammer fra 1952, hvor man ved gennemgang af fire KP-tilfælde i en amerikansk familie konstaterede autosomal dominant arvegang for KP med symptomdebut i 5-23-årsalderen [5]. Karakteristisk for patienterne med HP er den tidlige udvikling af recidiverende AP-episoder (medianalder: 10-12 år) med gradvis progression til KP i løbet af voksenlivet (medianalder: 23-27 år) [4, 6]. Patienter med HP udgør en højrisikogruppe for at udvikle PDAC med en skønnet akkumuleret livstidsrisiko på op til 50% (medianalderen for PDAC-diagnose er 55-71 år) [2, 3].
De diagnostiske kriterier for HP er fastlagt af The European Registry of Hereditary Pancreatitis and Familial Pancreatic Cancer [3]. HP-diagnosen kan stilles ved påvisning af en sygdomsdisponerende mutation i PRSS1, men hos ca. 20% af patienterne er den tilgrundliggende mutation ukendt. Hos patienter uden påviselig mutation stilles diagnosen alene på de kliniske kriterier [6]. Den kliniske diagnose af HP indebærer en familiær disposition for pankreatitis defineret ved forekomst af: ≥ 2 førstegradsslægtninge eller ≥ 3 slægtninge, over ≥ 2 generationer med recidiverende AP eller KP uden oplagt årsag. De diagnostiske kriterier for HP og indikation for udredning er anført i Tabel 1.
Incidensen af KP og pancreascancer er støt stigende globalt og ligger på hhv. 13 og 8 pr. 100.000 indbyggere [7]. På verdensplan menes HP at udgøre ca. 1% af alle tilfælde af KP, og prævalensen i Danmark er opgjort til 0,57 pr. 100.000 indbyggere [6, 8].
KLINISK PRÆSENTATION
Patienter med HP er relativt unge. I et europæisk multicenterstudie med 418 patienter var medianalderen 38 år [3]. I en dansk kohorte med 38 patienter med HP var medianalderen for symptomdebut 12 år og hhv. 24 år og 27 år for diagnosticering af AP og KP [6]. Akutte pankreatitisanfald blev rapporteret gennemsnitlig seks gange pr. år. Kirurgisk resektion pga. vedvarende smerter blev foretaget hos 23% af de danske patienter med HP.
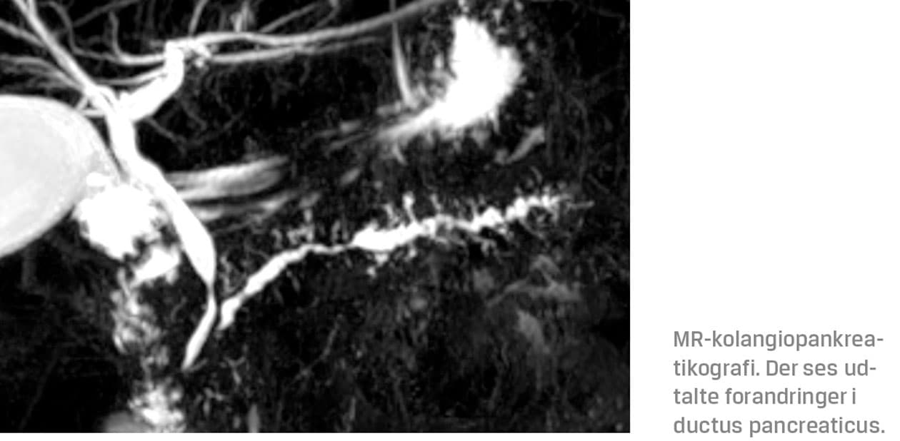
Lignende fund blev rapporteret i et fransk studie med 200 patienter med HP, hvor medianalderen for debut af pankreatitissymptomer var ti år og 23 år for udvikling af KP [4]. Patienterne havde AP i 69% (n = 135) af tilfældene, forkalkninger i pancreas i 61% (n = 113 ud af 186), og ductusforandringer i 63% (n = 117 ud af 185). Medianalderen for diagnosticering af HP i den franske kohorte var 27 år.
Risikoen for udvikling af PDAC er betydeligt forhøjet hos patienter med HP, og den akkumulerede livstidsrisiko er rapporteret til 20-50% [3, 4, 9]. Tobaksforbrug var en signifikant risikofaktor for udvikling af PDAC i alle HP-kohorter, og risikoen er fordoblet blandt rygere [10]. Medianalderen for udvikling af PDAC var 56 år for rygere og 71 år for ikkerygere i den europæiske kohorte med 418 patienter [3].
GENETISKE ASPEKTER
Alle patienter der har symptomer og opfylder de kliniske kriterier for HP, anbefales genetisk testning for PRSS1-mutationer, da disse findes hos 80% af alle, der har HP [11]. Genetisk testning af asymptomatiske personer i HP-disponerede familier kan være indiceret mhp. tidlig diagnostik – idet bærere af en PRSS1-mutation har ca. 70% risiko for at få HP inden 30-årsalderen [12]. PRSS1-mutationer er associeret med autosomal dominant udvikling af HP [13]. Mutationerne er prævalente i 80% af alle HP-tilfælde, mens der hos de resterende 20% af patienterne med HP ikke er nogen påviselig mutation. PRSS1 koder for produktionen af enzymet kationisk trypsinogen, hvis funktion er spaltning af proteiner. De hyppigste undertyper af PRSS1-mutationer er R122H, N29I og A16V med en penetrans på hhv. 80%, 93% og 43% [2, 14]. R122H- og N29I-mutationerne udgør hhv. 78% og 12% af alle PRSS1-mutationer og påvirker regulatoriske pathways, hvilket resulterer i forhøjede trypsinkoncentrationer intraacinært i pancreas med autodigestion af vævet til følge. A16V-mutationen er den tredjehyppigste PRSS1-mutation og menes at forøge spaltning af trypsinogen, hvilket resulterer i forøget trypsinaktivering.
Foruden mutationer i PRSS1 er mutationer i SPINK1, CFTR og CTRC forbundet med en øget livstidsrisiko for at udvikle pankreatitis [15]. Mutationer i disse gener er dog ikke direkte relateret til HP, hvorfor testning for dem ikke kan anvendes i HP-diagnostikken.
UDREDNING FOR HEREDITÆR PANKREATITIS
I DANMARK
Udredning for HP bør overvejes hos alle patienter, som har recidiverende AP eller KP uden oplagt årsag med debut < 30-årsalderen. Diagnosen stilles ved påvisning af en HP-disponerende PRSS1-mutation eller på baggrund af de kliniske kriterier som anført i Tabel 1. Genetisk testning for PRSS1-mutationer kan bestilles ved Odense Pancreas Center (OPAC), Odense Universitetshospital (OUH) på www.ouh.dk/wm504143. OPAC er et internationalt anerkendt Center of Clinical Excellence, som tilbyder udredning af patienter med HP fra hele landet. På centeret varetages ligeledes årlig opfølgning og screening for udvikling af PDAC af patientgruppen.
SCREENING FOR PANKREATISK DUKTALT ADENOKARCINOM
Behandlingen af patienter med HP er den samme som behandlingen af patienter med KP af anden ætiologi og består af medicin (smertelindring og – i tilfælde af pancreasinsufficiens – enzymsubstitution) samt endoskopisk eller kirurgisk intervention ved utilstrækkelig smertedækning med konservativ behandling. Patienter med HP er imidlertid i særlig risiko for at udvikle PDAC, hvorfor både amerikanske og europæiske ekspertpaneler anbefaler screening for PDAC-udvikling ved HP [16, 17].
Risikoen for udvikling af PDAC ved 70-årsalderen er fundet at være 40% i en international kohorte med 246 patienter med HP fra USA, Europa og Japan [9]. I en fransk kohorte med 200 patienter med HP fra 78 familier var risikoen 50% – svarende til en > 50-foldig forøgelse ift. risikoen i baggrundsbefolkningen [4], mens man i et europæisk studie med 418 patienter fra 112 familier fandt en akkumuleret risiko for PDAC ved 70-årsalderen på 20% [3]. Imidlertid viste et nyere amerikansk studie med en kohorte på 217 individer med PRSS1-mutationer (heraf 36 asymptomatiske mutationsbærere) en akkumuleret risiko på blot 7% for PDAC-relateret død ved 70-årsalderen [18]. Variationen i akkumuleret livstidsrisiko kan formentlig forklares ved forskelle i livstilsfaktorer (rygerstatus og alkoholforbrug) i studiepopulationerne og sammensætningen af den tilgrundliggende genetiske årsag (heriblandt PRSS1-mutationsbærerstatus) hos patienterne med HP.
Det internationale Cancer of the Pancreas Screening-konsortium anbefaler protokolleret screening af patienter med HP for udvikling af PDAC på højtspecialiserede centre med multidisciplinær ekspertise i pancreassygdomme [19]. Den optimale alder for start af screening har tidligere været omdiskuteret [16, 17]. I Danmark anbefales screening påbegyndt i en alder svarende til fem år før den alder, hvor det yngste familiemedlem med PDAC blev diagnosticeret, men senest fra 40-årsalderen – iht. kommende konsensusguidelines for screening for PDAC-udvikling ved KP, udarbejdet i fællesskab af det internationale (IPA), det europæiske (EPC), det amerikanske (APA) og det japanske (JPS) selskab for pankreatologi. En oversigt over inklusionskriterier for PDAC-screening er anført i Tabel 2, og anbefalinger for screeningsforløb er anført i Tabel 3.
Screeningsmodaliteter
Billeddiagnostik udgør en fundamental del af udredningen for PDAC. En fælles ulempe ved alle billedmodaliteter i screening for PDAC er overdiagnosticering af benigne læsioner, hvilket medfører unødvendige invasive procedurer [20].
CT af pancreas er den mest omkostningsvenlige screeningsundersøgelse, men undersøgelsens lave sensitivitet i forhold til MR-skanning og endoskopisk ultralydskanning (EUS) gør den diagnostisk underlegen. Et multicenterstudie viste en detektionsrate på hhv. 14% ved CT, 77% ved MR-skanning og 79% ved EUS for alle pancreasforandringer hos 216 personer, som var i høj risiko for at udvikle hereditær pancreascancer [21]. Konkordansen mellem EUS og MR-skanning var 91% og 73% mellem EUS og CT.
EUS er at foretrække frem for MR-skanning pga. en større sensitivitet som vist i et blindet randomiseret studie [22]. En anden fordel ved EUS er muligheden for samtidig bioptering fra påviste læsioner. Komplikationsraten var blot 0,3% ved 3.324 konsekutive EUS-procedurer i et prospektivt dansk studie, hvor der var stor patienttilfredshed (> 90%) [23]. En ulempe ved EUS er interobservervariationen og en varierende sensitivitet på 75-90% for fund af maligne læsioner [24].
EUS og MR-skanning er de anbefalede billeddiagnostiske modaliteter til screening for PDAC og anvendes som regel i kombination med tumormarkøren cancerantigen 19-9 (CA 19-9). Internationale ekspertpaner anbefaler protokolleret screening af patienter med HP på højtspecialiserede centre med klinisk ekspertise i HP og screening for PDAC samt adgang til nødvendige screeningsmodaliteter [16, 17, 19].
SCREENING AF PATIENTER MED HEREDITÆR PANKREATITIS I DANMARK
Siden 2007 har man ved OPAC på Odense Universitetshospital tilbudt landsdækkende, årlig screening af patienter, der har HP og opfylder alderskriterierne: ≥ 40 år eller fem år før den alder, hvor det yngste familiemedlem med PDAC blev diagnosticeret, dog senest fra 40-årsalderen. Screeningsprogrammet indebærer årlig screening med blodprøver (CA19-9) og EUS med mulighed for individualisering efter fund (Tabel 3). OPAC er ét ud af fire pancreascentre i Danmark med specialiseret funktion i behandling af HP, men OPAC er det eneste center, der tilbyder protokolleret screening for PDAC af patienter med HP. I programmet indgår der en national kohorte på 32 patienter med HP, og tilbuddet er åbent for nye henvisninger.
Korrespondance: Ming Tan.
E-mail: mingtan91dk@gmail.com, ming.tan@rsyd.dk
Antaget: 7. januar 2020
Publiceret på Ugeskriftet.dk: 10. februar 2020
Interessekonflikter: ingen. Forfatternes ICMJE-formularer er tilgængelige sammen med artiklen på Ugeskriftet.dk
Summary
Ming Tan, Ove B. Schaffalitzky de Muckadell & Maiken Thyregod Jørgensen:
Hereditary pancreatitis
Ugeskr Læger 2020;182:V11190676
Hereditary pancreatitis (HP) is an autosomal dominant disease with 80% penetrance. HP is characterised by the debut of recurrent acute pancreatitis episodes during childhood with gradual progression to chronic pancreatitis. Patients with phenotypic HP have a significantly increased lifetime risk of developing pancreatic ductal adenocarcinoma (PDAC). Patients with HP represent a rare but important group of high-risk individuals in need of early diagnosis and screening for potential PDAC. The aim of this review is to provide an overview of the epidemiology, genetics and clinical aspects of HP.
Referencer
LITTERATUR
Whitcomb DC, Preston RA, Aston CE et al. A gene for hereditary pancreatitis maps to chromosome 7q35. Gastroenterology 1996;110:1975-80.
Rebours V, Boutron-Ruault MC, Schnee M et al. Risk of pancreatic adenocarcinoma in patients with hereditary pancreatitis: a national exhaustive series. Am J Gastroenterol 2008;103:111-9.
Howes N, Lerch MM, Greenhalf W et al. Clinical and genetic characteristics of hereditary pancreatitis in Europe. Clin Gastroenterol Hepatol 2004;2:252-61.
Rebours V, Boutron-Ruault MC, Schnee M et al. The natural history of hereditary pancreatitis: a national series. Gut 2009;58:97-103.
Comfort MW, Steinberg AG. Pedigree of a family with hereditary
chronic relapsing pancreatitis. Gastroenterology 1952;21:54-63.Joergensen MT, Brusgaard K, Cruger DG et al. Genetic, epidemiological, and clinical aspects of hereditary pancreatitis: a population-based cohort study in Denmark. Am J Gastroenterol 2010;105:1876-83.
Yadav D, Lowenfels AB. The epidemiology of pancreatitis and pancreatic cancer. Gastroenterology 2013;144:1252-61.
Lowenfels AB, Maisonneuve P, Whitcomb DC. Risk factors for cancer in hereditary pancreatitis. Med Clin North Am 2000;84:565-73.
Lowenfels AB, Maisonneuve P, DiMagno EP et al. Hereditary pancreatitis and the risk of pancreatic cancer. J Natl Cancer Inst 1997;89:442-6.
Lowenfels AB, Maisonneuve P, Whitcomb DC et al. Cigarette smoking as a risk factor for pancreatic cancer in patients with hereditary pancreatitis. JAMA 2001;286:169-70.
Whitcomb DC. Value of genetic testing in the management of pancreatitis. Gut 2004;53:1710-7.
Keim V, Bauer N, Teich N et al. Clinical characterization of patients with hereditary pancreatitis and mutations in the cationic trypsinogen gene. Am J Med 2001;111:622-6.
Whitcomb DC, Gorry MC, Preston RA et al. Hereditary pancreatitis is caused by a mutation in the cationic trypsinogen gene. Nat Genet 1996;14:141-5.
Grocock CJ, Rebours V, Delhaye MN et al. The variable phenotype of the p.A16V mutation of cationic trypsinogen (PRSS1) in pancreatitis families. Gut 2010;59:357-63.
Mayerle J, Sendler M, Hegyi E et al. Genetics, cell biology, and pathophysiology of pancreatitis. Gastroenterology 2019;156:1951-68.
Ulrich CD. Pancreatic cancer in hereditary pancreatitis: consensus guidelines for prevention, screening and treatment. Pancreatology 2001;1:416-22.
Brand RE, Lerch MM, Rubinstein WS et al. Advances in counselling and surveillance of patients at risk for pancreatic cancer. Gut 2007;56:1460-9.
Shelton CA, Umapathy C, Stello K et al. Hereditary pancreatitis in the United States: survival and rates of pancreatic cancer. Am J Gastroenterol 2018;113:1376.
Goggins M, Overbeek KA, Brand R et al. Management of patients with increased risk for familial pancreatic cancer: updated recommendations from the International Cancer of the Pancreas Screening (CAPS) Consortium. Gut 2020;69:7-17.
Paiella S, Salvia R, de Pastena M et al. Screening/surveillance programs for pancreatic cancer in familial high-risk individuals: a systematic review and proportion meta-analysis of screening results. Pancreatology 2018;18:420-8.
Canto MI, Hruban RH, Fishman EK et al. Frequent detection of pancreatic lesions in asymptomatic high-risk individuals. Gastroenterology 2012;142:796-804.
Harinck F, Konings IC, Kluijt I et al. A multicentre comparative prospective blinded analysis of EUS and MRI for screening of pancreatic cancer in high-risk individuals. Gut 2016;65:1505-13.
Mortensen MB, Fristrup C, Holm FS et al. Prospective evaluation of patient tolerability, satisfaction with patient information, and complications in endoscopic ultrasonography. Endoscopy 2005;37:146-53.
Topazian M, Enders F, Kimmey M et al. Interobserver agreement for EUS findings in familial pancreatic-cancer kindreds. Gastrointest Endosc 2007;66:62-7.