Hereditære multiple eksostoser


Emma Sønderskov1, Jan Duedal Rölfing2, Thomas Baad-Hansen3 & Bjarne Møller-Madsen4
Hereditære multiple eksostoser (HME) er en sjælden genetisk sygdom, karakteriseret ved eksostosevækst i barnealderen og malignitetsrisiko i voksenalderen.
MR-skanning er det bedste screeningsværktøj til voksne samt til diagnostik af centrale eksostoser.
Medicinsk behandling som alternativ til kirurgi er på forsøgsstadiet.
Hereditære multiple eksostoser (HME) er en medfødt lidelse i bevægeapparatet, der forårsager osteokartilaginøse udvækster på knoglerne. Eksostoserne kan vokse på alle knogler, men med hyppigste fremkomst fra rørknoglers metafyse, og de er ofte associeret med knogledeformiteter, smerter og nedsat ledbevægelighed. Når epifyseskiverne lukker, og knoglernes vækst afsluttes, stopper væksten af eksostoserne også ofte [1].
Eksostoser består af knogle dækket af bruskkappe og orienterer sig væk fra epifysen. De opdeles i to hovedtyper: pedunkulære og sessile. Nogle eksostoser vil umiddelbart observeres eller identificeres ved palpation grundet deres størrelse, og mindre eksostoser diagnosticeres med billeddiagnostik [2]. Arvegangen er autosomal dominant og skyldes oftest en patogen variant af generne for exostosin: EXT1, EXT2 eller EXT3 [1, 3]. Den estimerede prævalens i vestlige lande er 1:50.000 [1], men den præcise prævalens er ukendt, idet asymptomatiske individer udgør et mørketal [4]. Forskning tyder på, at sygdom forårsaget af den patogene EXT1-variant er forbundet med højere symptombyrde end EXT2-varianten. EXT3-varianten er fundet senere end EXT1 og EXT2 og er derfor ikke undersøgt i samme omfang endnu. Hos 5-35% af patienterne finder man hverken mutation i EXT1 eller EXT2 [1]. I sådanne tilfælde er ætiologien uafklaret, men den kan skyldes mutation i EXT3 eller have genese i somatisk mosaicisme [5].
I en oversigtsartikel fra 2019 var medianalderen for diagnosen blevet bestemt til tre år, og 80% af patienterne var diagnosticeret, da de fyldte ti år [1]. Generelt er barnet asymptomatisk ved fødslen, og mistanken opstår typisk ved fund af en palpabel lednær tumor eller påvirket ledfunktion. Grundet den dominante arvegang vil der i familier være en ophobning af sygdommen med flere sygdomstilfælde blandt nærmeste slægtninge. Hos børn bør henvisning til et center med viden om HME overvejes ved omfattende eksostosedannelser, ved risiko for vækst- og skeletdeformitet, ved smertende tilstande og ved bevægeindskrænkning. Endelig bør henvisning overvejes med henblik på genetisk rådgivning. I Danmark bør der for den voksne patient desuden henvises til et af landets to sarkomcentre på grund af den øgede risiko for malign transformation. Diagnosen stilles ved klinisk undersøgelse eller konventionel røntgenundersøgelse suppleret med genetisk udredning [1].
Som den første gav Boyer i 1814 en beskrivelse af HME [6]. Flere klassifikationssystemer er siden blevet brugt til at identificere sværhedsgraden af sygdommen, og i 2013 opstillede Mordenti et al [7] et valideret klassifikationssystem for HME. Sygdommen inddeles i tre overordnede klasser med hver to subklasser (Tabel 1). Inddelingen er baseret på antallet af deformiteter og funktionelle begrænsninger og tager ikke højde for, hvilke dele af skelettet der er involveret [7]. Et andet klassifikationssystem er Masada-klassifikationen, der hyppigt anvendes til kategorisering af deformiteter i underarmen [8]. Nyere studier har undersøgt pålideligheden sammenlignet med Jo-klassifikationen [9, 10], og resultaterne viser, at Jo-klassifikationen har en højere pålidelighed og færre ikkeklassificerbare tilfælde end Masada-klassifikationen. Jo-klassifikationen bør derfor foretrækkes, selv om Masada-klassifikationen hidtil har været mest anvendt [9].
Eksostoser kan udvikles i alle kroppens knogler. Kliniske symptomer afhænger af anatomisk lokalisation, og generelt forårsager eksostoser smerter, nedsat ledbevægelighed, vækstforstyrrelse, bursitis, neurovaskulær kompromittering samt knogledeformiteter. Ydermere kan der udvikles tidlig artrose. Eksostoser opstår ofte på ekstremiteterne, hvor de kan give funktionelle begrænsninger. Genu valgum (kalveknæ) er en hyppig deformitet, der findes hos omtrent en tredjedel af børn med HME. Dette skyldes primært eksostosedannelse på distale femur samt proksimale tibia og fibula. Eksostoser på columna er sjældnere, men mere alvorlige [1]. I de senere år er opmærksomheden på disse øget, idet MR-skanning i højere grad anvendes som screeningsværktøj. I et studie fra 2021 fandt Wininger et al [11], at 11 (28%) i en kohorte på 39 børn med HME havde vertebrale eksostoser, hvoraf tre begrænsede pladsen i spinalkanalen [11]. Et andet studie af Roach et al viste højere incidens i en gruppe med et aldersspænd på 4-19 år [12]. Resultatet var, at 30 (68%) af de 44 inkluderede havde vertebrale eksostoser, hvoraf 12 (27%) havde eksostoser i spinalkanalen.
Nye undersøgelser har vist, at HME ud over at påvirke bevægeapparatet har indvirkning på livskvalitet. Især er antallet af kirurgiske indgreb samt stigende alder associeret med nedsat livskvalitet [13, 14]. I 2012 var 88% (n = 283) af Hollands patienter med HME inkluderet i et nationalt kohortestudie, der inkluderede både voksne og børn [15]. I studiet fandt man, at symptomer relateret til HME fik 27% af børnene og 46% af de voksne til at ophøre med sportsaktiviteter. Nylig smerte blev rapporteret af 63% af børnene og 83% af de voksne, og 28% af de voksne måtte skifte arbejde, 21% måtte lave tilpasninger i arbejdsmiljøet, og 7% var uarbejdsdygtige grundet diagnosen. På seks ud af otte sundhedsparametre i spørgeskemaet SF-36 havde voksne patienter med HME ligeledes en signifikant dårligere livskvalitet sammenlignet med den hollandske referencegruppe [15]. Langt overvejende var eksostoserne benigne.
På trods af benigne eksostoser er det essentielt, at patienter med HME følges med ambulante kontroller. Børn med HME følges på højtspecialiserede ortopædkirurgiske afdelinger på Rigshospitalet og Aarhus Universitetshospital. Det primære fokus er diagnostik, herunder genetisk udredning, samt behandling af symptomgivende eksostoser. I voksenalderen er det kontroller, der har til formål at udelukke malign degeneration. I henhold til den nationale retningslinje [16] bør patienter med HME få foretaget en sygdomsstatus med konventionel røntgenundersøgelse, når de er udvokset. Ved osteokondromer på pelvis, columna eller thorax inklusive scapula anbefales supplering med MR-skanning eller CT (Figur 1). Patienter med osteokondromer i truncusområdet, på proksimale humerus eller på proksimale femur tilbydes screening med MR-skanning hvert andet år, som foretages på et sarkomcenter. Perifere eksostoser kontrolleres til klinisk kontrol eller af patienten selv. Klinisk mistanke om malignitet hos voksne opstår, hvis bruskkappen er mere end 2 cm målt på MR-skanning ved eksostosevækst, ved nytilkomne smerter eller ved røntgenundersøgelse af uregelmæssigheder på knoglen [16]. Hos børn er bruskkappen tykkere og anvendes derfor ikke diagnostisk i samme grad [1]. Den estimerede risiko for malign transformation er 2-3,7% hos patienter med HME [17]. Risikoen er 1,5-2 gange højere ved EXT1-mutationer sammenlignet med EXT2-mutationer [18].
Kirurgisk behandling tilbydes som udgangspunkt kun ved HME-relaterede symptomer eller mistanke om malignitet. Gennemsnitligt gennemgår en patient med HME syv kirurgiske procedurer [19], og der fjernes i gennemsnit 2-3,5 eksostoser pr. patient [1]. Kirurgien har til formål at fjerne eksostoser eller behandle knogledeformiteter, som sædvanligvis udbedres med osteotomi, alloplastik, hemiepifysiodese eller epifysiodese. De to sidstnævnte indgreb, guided growth, er under forudsætning af, at barnet stadig er i voksealderen med tilstrækkelig restvækst [20, 21]. Ved indskrænket ledbevægelighed henvises der efter kirurgi som udgangspunkt til fysioterapi med henblik på at genvinde mest muligt bevægeomfang. Ud over velkendte postoperative komplikationer som infektion, kronisk smerte og displacering af fiksationsudstyr er andre postoperative komplikationer mere specifikt relateret til HME: nedsat ledbevægelighed, overkorrektion, beskadigelse af neurovaskulære strukturer og præmatur lukning af epifyseskiver [20-22]. Tilstedeværelse af HME kan i sig selv medføre lav højde, skeletdeformiteter, forskellig arm- eller benlængde, spinalstenose, skoliose samt lav livskvalitet [15, 20-23]. Disse symptomer udgør en stor del af symptombyrden for patienter med HME. Fjernes eksostosen i sin helhed, er recidiv sjældent [24]. Eksostoser placeret tæt på epifyseskiver har højere recidivfrekvens end eksostoser andre steder. Incidensen for recidiv er estimeret til 5% i en samlet gruppe af patienter med og uden HME [25].
Der findes i dag ingen kendt medicinsk behandling for HME [26], men aktuel forskning undersøger, om sygdomsmekanismen kan udnyttes. De genetiske forandringer i EXT1 og EXT2 forårsager ændringer i biosyntesen af heparansulfat, som spiller en rolle i signaleringskaskader relateret til knoglehomøostasen. Som resultat af dette har patienter med HME kun halvt så stor en koncentration af heparansulfat i forhold til raske, hvilket kunne danne grundlag for en behandling [27]. Det har i forsøg vist sig, at palovaroten kunne reducere dannelsen af eksostoser i mus med deletion i EXT1 eller EXT2, og responsen var dosisafhængig. Palovaroten anvendes sædvanligvis til behandling af fibrodysplasia ossificans progressiva [28].
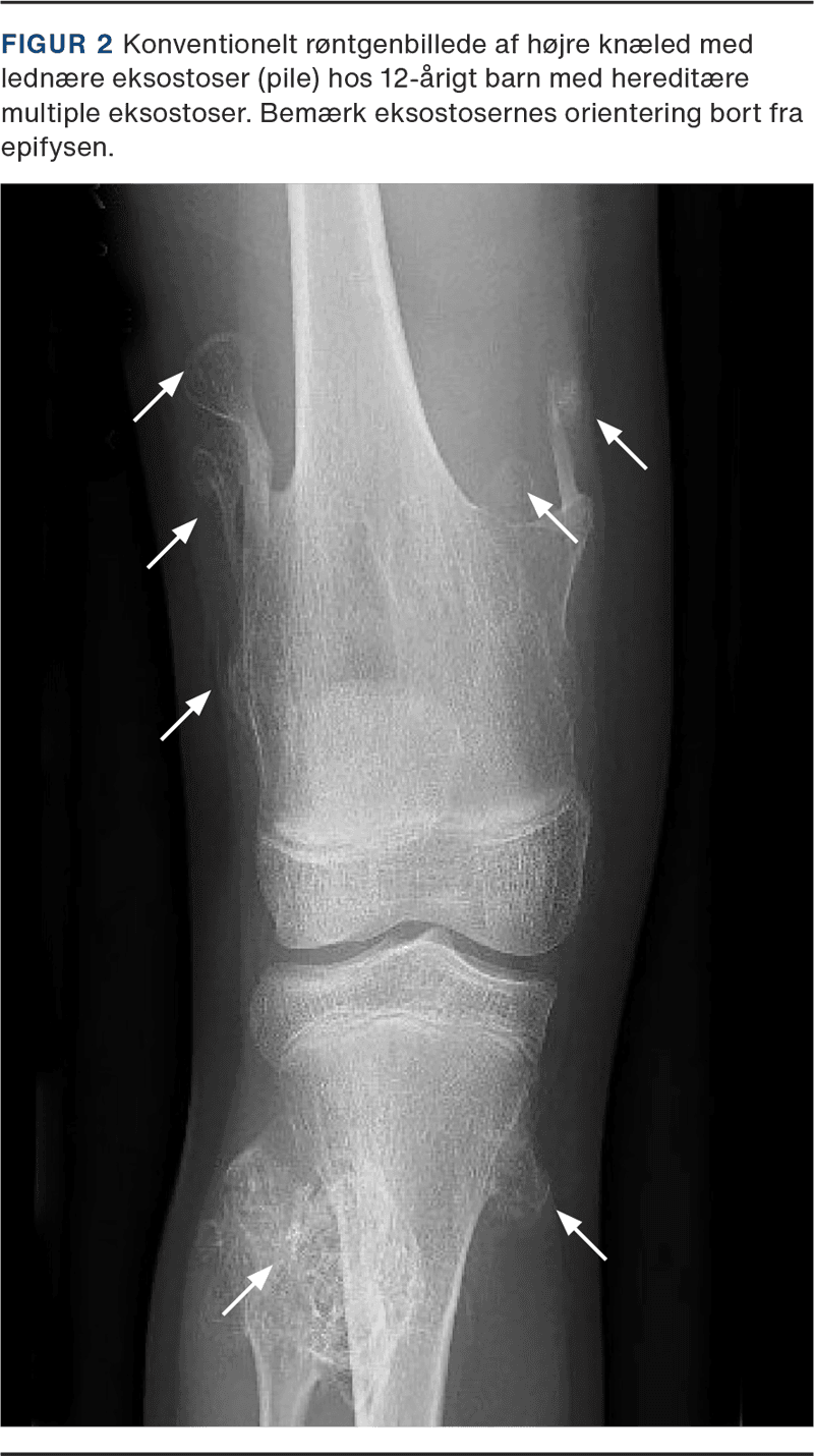
Grundig anamnese og klinisk undersøgelse er essentiel for at få fastlagt diagnosen. I Danmark anvendes primært konventionel røntgenundersøgelse til diagnostik og løbende kontroller hos børn (Figur 2), og voksne følges med MR-skanning, som giver billeder i højere kvalitet. Røntgenundersøgelser er kortvarige og sufficiente til påvisning af eksostoser på ekstremiteter, men udgør en strålerisiko hos de børn, der ofte kontrolleres [29]. MR-skanning er fordelagtig til diagnostik af centrale eksostoser samt tumordiagnostik. Dansk forskning af Jurik et al [17] har undersøgt, om årlig helkropsskanning med MR bør tilbydes som screeningsværktøj til patienter med HME. I studiet, der inkluderede 57 patienter med HME, udvikledes kondrosarkomer, hvoraf ti var på truncus og en enkelt på proksimale tibia. I studiet konkluderes det, at helkrops-MR-skanning potentielt kan anvendes til årlig screening, idet kondrosarkomer kan påvises inden symptomdebut. Alternativt kan foretages reduceret helkrops-MR-skanning af truncus, skulderbæltet samt proksimale femur enten årligt eller hvert andet år hos patienter uden tidligere kondrosarkom. Dertil kommer, at patienterne bør informeres om malignitetstegn for at sikre tidlig diagnostik på de dele af skelettet, som ikke medskannes. Bedre videnskabelige undersøgelser er dog påkrævet for at kunne udtale sig om effektivitet og omkostninger ved systematisk MR-skanning til denne patientgruppe. Studiet af Jurik et al [17] danner i dag grundlag for den nationale retningslinje for opfølgning af patienter med HME, men der er behov for yderligere forskning inden for udredning og opfølgning.
Systematisk monitorering af MR-skanningsfund i relation til klinisk followup og histopatologi er nødvendig for at evaluere den diagnostiske nøjagtighed af helkrops-MR-skanning ved malign transformation. Der er ydermere behov for longitudinelle studier til at estimere MR-skanningens sensitivitet og specificitet. Tillige bør den reelle malignitetsrisiko klarlægges, så et kontrolprogram kan tilpasses denne [16]. Symptomgivende eksostoser fjernes, og knogledeformiteter korrigeres, men kirurgien indebærer risici, så kirurgen bør sammen med patienten eller dennes forældre afveje gener mod mulige postoperative komplikationer. Flere retrospektive studier opgør postoperative resultater efter indgreb relateret til HME [20, 21], men som følge af den lave prævalens er studiepopulationerne begrænsede, og studierne fokuserer ofte kun på en specifik type indgreb. Ved en samlet opgørelse af disse kunne det vurderes, om operationsresultatet og det postoperative genoptræningsforløb egentlig har en positiv indvirkning på fysisk udfoldelse og livskvalitet.
Langt hen ad vejen er HME en benign sygdom. Kirurgi er forbeholdt de symptomgivende eller malignsuspekte eksostoser, og ved komplet excision er recidiv sjældent. Behandlingens mål er eliminering af symptomer og reetablering af tabt ledbevægelighed samt forbedret livskvalitet, og prognosen er god. Risikoen for malign transformation er lav, men ikke uvæsentlig: op til 4%, og opfølgning er essentiel. Røntgenundersøgelse og MR-skanning er i dag de foretrukne billedmodaliteter i Danmark.
Korrespondance Emma Sønderskov. E-mail: Emma.sonderskov@gmail.com
Antaget 11. september 2024
Publiceret på ugeskriftet.dk 21. oktober 2024
Interessekonflikter Der er anført potentielle interessekonflikter. Forfatternes ICMJE-formularer er tilgængelige sammen med artiklen på ugeskriftet.dk
Referencer findes i artiklen publiceret på ugeskriftet.dk
Artikelreference Ugeskr Læger 2024;186:V07240452
doi 10.61409/V07240452
Open Access under Creative Commons License CC BY-NC-ND 4.0
Hereditary multiple exostoses is a rare congenital condition with autosomal dominant inheritance. It consists of formation of osteocartilaginous exostoses, most commonly from the metaphysis of long bones. Surgery is the main treatment as there is no available medical treatment. Clinical follow-ups with orthopaedic specialists are important, both in childhood and adulthood. In childhood, focus is on managing symptoms and removing symptomatic exostoses, while in adulthood, MRI is performed to rule out malignant transformation, as argued in this review.