Hyperkalcæmi kan være eneste debutsymptom ved sarkoidose


Thorbjørn Hermanrud1, Julie Hjortsø Janner2 & Ida Elisabeth Steffensen1
Sarkoidose er en almindelig systemisk inflammatorisk sygdom, som er karakteriseret ved dannelse af epiteloidcellegranulomer uden central nekrose. Sygdommen debuterer akut, typisk med feber, træthed, artralgi og hoste, eller subakut, hvor symptomerne kommer snigende og evt. manifesterer sig kronisk med permanent organskade. Incidensen af sarkoidose blandt skandinaviske kaukasider er 7,2/100.000 [1], hvoraf 80% har pulmonal sarkoidose. Ekstrapulmonale manifestationer forekommer (Tabel 1) og ses med øget hyppighed hos personer med anden etnicitet end kaukasid [2]. Hyperkalcæmi (HC) forekommer hos mindre end 5% af patienterne med pulmonal sarkoidose, mens solitær hyperkalcæmi som debutsymptom er sjældnere. Hyperkalcæmi afspejler ekstrapulmonal aktivering af T-celler i granulomer i hud, lever, terminale ileum og nyrer, hvilket fører til overproduktion af 1,25(OH)2D [2].
SYGEHISTORIE
En 72-årig mand med angiotensinkonverterende enzym (ACE)-hæmmer-behandlet hypertension, podagra og tidligere non-ST-elevationsmyokardieinfarkt blev indlagt med træthed, svimmelhed og hovedpine. Man fandt følgende koncentrationer med referenceværdierne angivet i parentes: S-Ca2+ 1,77 mmol/l (1,18-1,32 mmol/l), parathyroideahormon < 0,3 pmol/l (1,6-6,9 pmol/l) og 25(OH)D 26 nmol/l (50-160 nmol/l). Der var normal fosfatkoncentration, normal koncentration af immunglobuliner, let anæmi, lav B12-vitamin-koncentration, forhøjet methylmalonatkoncentration, normal koncentration af P-prostataspecifikt antigen samt normale forhold ved urin- og plasmaundersøgelse for M-komponent. S-peptidyldipeptidase (S-ACE)-koncentrationen var nedsat. CT af thorax og abdomen viste ikke forstørrede glandler i mediastinum eller øget interstitiel lungetegning. En fuldkrops-PET-CT viste et mindre
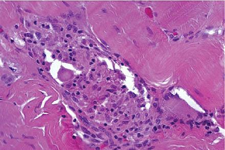
område med øget opladning bilateralt i m. biceps femoris. Der blev foretaget knoglescintigrafi og knoglemarvsbiopsi, og de var begge uden tegn til malignitet. Patienten blev udskrevet med uforklaret HC og blev fulgt ambulant. Tre måneder senere blev han genindlagt og overflyttet til et regionshospital med stigende S-Ca2+-niveau (til 1,84 mmol/l), men ellers var de biokemiske resultater uændret. Ekg viste sinusbradykardi og nyopstået højresidigt grenblok. S-ACE fandtes igen nedsat. ACE-hæmmerbehandlingen seponeredes, og S-ACE steg til værdier over referenceintervallet. En transtorakal ekkokardiografi viste asymmetrisk hypertrofi af septum med spættet udseende, hvilket gav mistanke om aflejringssygdom. En MR-skanning af cerebrum var uden tegn på cerebral sarkoidose. En biopsi af m. biceps femoris viste nonnekrotiserende granulomer, hvilket var foreneligt med sarkoidose. Der blev udført gastroskopi og analyse for parathyroidearelateret peptid, men der fandtes ikke holdepunkt for PET-CT-negativ malign sygdom. Der blev påbegyndt prednisolonbehandling, hvilket medførte et fald i S-Ca2+-niveauet samt et fald S-ACE-koncentrationen og aftagende symptomer. Patienten blev henvist til et sygehus med højtspecialiseret funktion til MR-skanning af cor, og kardiel sarkoidose blev udelukket.
DISKUSSION
Patienten i sygehistorien udviste en sjælden sygdomsdebut med solitær HC. Der var ingen typiske radiologiske forandringer, og S-ACE var lav, muligvis pga. ACE-hæmmerbehandling [2, 3]. HC ses ved bl.a. hyperparatyroidisme, maligne tilstande som myelomatose, lymfom og osteolytiske metastaser fra lunge-, prostata-, nyre- eller mammacancer. Ved sarkoidose vil man i 60% af tilfældene kunne påvise forhøjet S-ACE-niveauer. Hos denne patient sås værdier af S-ACE over referenceintervallet efter seponering af ACE-hæmmer. Udredningsforløbet var vildledt af anden påvirket serolologi. Biopsien var dermed godt underbygget. Ekkokardiografifundet medførte MR-skanning af cor, hvilket ikke bekræftede kardiel involvering. Påvisning af kardiel sarkoidose er yderst vanskeligt, og profylaktisk implanterbar kardioverter-
defibrillator-enhed bør overvejes, da autopsifund hos sarkoidosepatienter med pludselig død viser, at dette ofte overses [2]. Behandlingen påbegyndes med prednisolon og kan eventuelt suppleres med prednisolonbesparende methotrexat eller azathioprin [4]. Behandling af ekstrapulmonal sarkoidose forudsætter biopsiverificering [5]. Behandlingseffekt i form af faldende S-Ca2+-niveau, normalisering af S-ACE-niveauet og evt. normalisering af niveauet af den mere uspecifikke interleukin-2 betragtes som behandlingsrespons. Patienterne monitoreres med røntgen af thorax, udvidet lungefunktionsundersøgelse, måling af kreatinin, S-Ca2+, S-1,25(OH)2D, parathyroideahormon og S-ACE samt øjenlægeundersøgelse. Hos flertallet af patienterne med sarkoidose ses der en pulmonal manifestation, hvorfor behandlingen oftest varetages af speciallæger i lungemedicin. Ved ekstrapulmonal sarkoidose følges patienten i et tværfagligt samarbejde med en speciallæge fra et andet speciale. Patienter med HC bør vejledes om ikke at indtage store mængder D-vitamin via kosten, og osteoporoseprofylaktisk D-vitamintilskud er relativt kontraindiceret. Patienterne bør vejledes om forsigtighed ved udsættelse for sol, da granulomerne i huden kan reaktiveres og dermed forværre HC [2].
Korrespondance: Thorbjørn Hermanrud, Amerikavej 6, 4. th., 1756 København V. E-mail: thermanrud@gmail.com
Antaget: 27 marts 2013
Publiceret på Ugeskriftet.dk: 5. august 2013
Interessekonflikter:
Sarcoidosis is an ordinary systemic inflammatory disease that can affect many organs. It is characterized by development of non-necrotizing granulomas. It commonly affects lungs (80%) while hypercalcaemia is found in 5% and reflects an activation of T-cells within the granulomas that causes an overproduction of 1,25-dihydroxyvitamin D3. We describe a case where hyper­calcaemia was the only symptom in a patient with extra­pul­monary sarcoidosis, and the investigation was misled by different serologic findings though PET-CT showed fludeoxy­glucose uptake in the biceps femoris muscles. The diagnosis was made after a biopsy.
Byg KE, Milman N, Hansen S. Sarcoidosis in Denmark 1980-1994. Sarcoidosis Vasc Diffuse Lung Dis 2003;20:46-52.
Iannuzzi MC, Rybicki BA, Teirstein AS. Sarcoidosis. N Engl J Med 2007;357:2153-65.
Nagano M. Inhibitory effect of captopril on cell degeneration and growth. Exp Clin Cardiol 2006;11:195-7.
Paramothayan S, Lasserson T. Treatments for pulmonary sarcoidosis. Respir Med 2008;102:1-9.
Grutters JC, van den Bosch JMM. Sarcoidosis. I: Du Bois RM, Richeldi L, red. Interstitial Lung Diseases. European Respiratory Society Monograph, 2009:126-54.