Skip to main content

Hyperplastisk kolorektal polypose

Reservelæge Signe H. de Neergaard, overlæge Inge T. Bernstein & professor Susanne Holck Amager Hospital, Kirurgisk Afdeling, og H:S Hvidovre Hospital, HNPCC-registret, Gastroenheden og Patologiafdelingen

13. nov. 2006
5 min.

Den hyperplastiske kolorektale polyp har i mange år været opfattet som nonneoplastisk. De senere års forskning har imidlertid stillet spørgsmål ved denne opfattelse. Der foreligger således en række morfologiske og molekylærbiologiske holdepunkter for eksistensen af en aggressiv hyperplastisk polyp (HP). Den øgede risiko for udvikling af kolorektal cancer (KRC) hos patienter med multiple HP, som det ses ved hyperplastisk polypose (HPP) er således med til at dokumentere denne association mellem nogle HP og KRC. Ud over den traditionelle HP, der oftest er dominerende, kan HPP også omfatte den nyligt beskrevne sessile serrate polyp (SSP), der bl.a. er karakteriseret ved sværere kryptændringer, men er uden påviselig dysplasi, samt det serrate adenom (SA) [1]. Ikke sjældent ses tillige enkelte konventionelle adenomer (KA). Betegnelsen hyperplastisk adenomatøs polyposesyndrom har derfor været foreslået [2]. HPP er sjældent beskrevet, men er antagelig underdiagnosticeret. Således har vi inden for to måneder fundet to eksempler, der trods forskelle i morfologi begge opfyldte de gældende kriterierne for HPP.

Sygehistorier

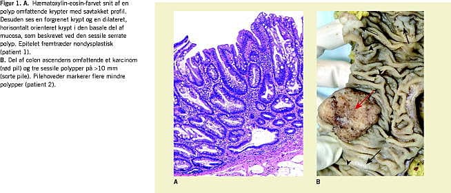
I. En 59-årig kvinde fik i 2003 blodige diarreer. Koloskopi viste multiple små polypper i hele colon. Seks af disse blev eksstirperet. Histologisk undersøgelse viste et tubulært KA og fem HP fokalt med overgang i SSP. Ved kontrolkoloskopier, der viste talrige sessile polypper på 3-15 mm, flest oralt for sigmoideum, blev > 50 polypper eksstirperet. Histologisk genfandtes HP, enkelte med overgang i SSP (Figur 1A ) og tillige et SA. Immunhistokemisk undersøgelse for mismatch repair (MMR)-proteinerne MLH1, MSH2 og MSH6 viste normal ekspression. Der blev ikke påvist karcinom. Patienten blev tilbudt kontrolkoloskopi en gang årligt. En førstegradsslægtning var tidligere død af metastaserende kolorektal cancer.

II. En 69-årig kvinde fik hæmatokesi og vægttab. Ved kolonskopi påvistes en tumor i caecum og tre polypper i transversum. Histologisk undersøgelse viste karcinom i caecum og i den ene polyp, de øvrige polypper var opbygget af KA med overgang i SSP. Både karcinom og adenom viste manglende ekspression for MLH1, men normal ekspression for MSH2 og MSH6. Områder med SSP viste derimod normal immunekspression. Der blev efterfølgende foretaget en højresidig kolektomi. Denne omfattede fire slimproducerende karcinomer. I et af karcinomerne påvistes overgang i SA og mindre foci af SSP. Herudover omfattede præparatet syv polypper, hvoraf tre målte > 10 mm (Figur 1B) og omfattede en blanding af traditionel HP, SSP og SA tillige med fokale komponenter af KA.

Patienten bevarede sin sigmoideum og gik herefter til regelmæssig kontrolsigmoideoskopi. Tre af patientens førstegradsslægtninge havde tidligere fået påvist karcinom i henholdsvis colon, mamma og ovarie.

Diskussion

HPP er ret løst defineret og karakteriseret ved mindst et af følgende tre kriterier [1]: 1) multiple HP (> 30) i pankolisk distribution, som hos patient 1 og/eller 2) mindst fem HP oralt for sigmoideum, hvoraf mindst to skal måle > 10 mm, som observeret hos patient 2, og/eller 3) et hvilket som helst antal HP hos en patient, der er førstegradsslægtning til en patient med verificeret HPP. I begge de omtalte tilfælde påvistes komponenter af SSP, der udgjorde en lille del af de undersøgte polypper fra patient 1 og en prominerende del af polypperne fra patient 2. Netop SSP synes at udgøre et karakteristisk element ved HPP, og fundet bør muligvis lede tanken hen på dette syndrom.

Flere undersøgelser har påvist en association mellem HPP og KRC [3-5], der ofte er mikrosatellitinstabil (MSI) og oftere er højresidig end det vanlige sporadiske KRC. De fire KRC hos patient 2 var alle lokaliserede i det højresidige hemikolektomipræparat og udviste manglende ekspression for MLH1, et fund, der ofte er udtryk for MSI. Såvel forekomsten af flere karcinomer og disses opbygning af slimproducerende celler er ligeledes karakteristisk for denne type genetisk instabilitet.

Det er tillige bemærkelsesværdigt, at de adenomatøse områder hos patient 2 udviste samme immunofænotype som karcinomkomponenten, mens de histologisk nonneoplastiske zoner viste normal ekspression af MLH1. Sidstnævnte tyder på, at væsentlige genetiske hændelser først indtræder med udvikling af adenomatøs transformation af de nonneoplastiske serrate polypper. Den tætte blanding af traditionelt hyperplastisk og adenomatøst væv tyder imidlertid på, at de hyperplastiske polypper hos denne patient er præneoplastiske. Alternativt er disse blandede polypper udtryk for et kollisionsfænomen.

Ud over den øgede KRC-risiko foreligger der tillige en familiær ophobning af HPP, formentlig via en autosomal arvegang. Ved patologibeskrivelse af KRC-resektater er det således væsentligt at kommentere eventuelle forhold, der kan sandsynliggøre diagnosen HPP, dvs. multiple og/eller store og højresidige serrate polypper, således at forebyggende undersøgelser af familiemedlemmer kan overvejes.

Diagnosticering af syndromet har sin berettigelse, primært grundet den øgede risiko for udvikling af KRC. Der foreligger imidlertid ingen alment accepterede retningslinjer for behandling af patienter med HPP. Specielt er det uvist i hvilket omfang konstellationen af histologiske varianter af serrate polypper bør influere på behandlingen af patienten. Et internationalt HPP-studie, der er under etablering, vil forhåbentlig belyse sådanne forhold.


Susanne Holck, Patologiafdelingen, Afsnit 134, H:S Hvidovre Hospital, DK-2650 Hvidovre. E-mail: Susanne.Holck@hh.hosp.dk

Antaget: 10. marts 2006

Interess ekonflikter: Ingen angivet

Referencer

  1. Higuchi T, Jass JR. My approach to serrated polyps of the colorectum. J Clin Pathol 2004;57:682-6.
  2. Place RJ, Simmang CL. Hyperplastic-adenomatous polyposis syndrome. J Am Coll Surg 1999;188:503-7.
  3. Hyman NH, Anderson P, Blasyk H. Hyperplastic polyposis and the risk of colorectal cancer. Dis Colon Rectum 2004;47:2101-4.
  4. Jørgensen H, Mellon Mogensen A, Svendsen LB. Hyperplastic polyposis of the large bowel - three cases and a review of the literature. Scand J Gastroenterol 1996;31:825-30.
  5. Leggett BA, Devereaux B, Searle J et al. Hyperplastic polyposis. Am J Surg Pathol 2001;25:177-84.