Skip to main content

Iatrogent klinisk hjertestop ved nitroglycerin

Paul Peterslund1, Claes Falkenberg Elvander2 & Joachim Hoffmann-Petersen3

24. jun. 2019
5 min.

Akut hjertetamponade skyldes kompression af hjertet pga. akkumuleret væske i perikardiet. Perikardiesækken er relativt uelastisk, hvorfor akkumulering af væske øger det intraperikardiale tryk og initialt kompromitterer højre ventrikels preload, hvorefter højre ventrikels output til det pulmonale kredsløb mindskes. Dette fald i output vil ligeledes initialt mindske venstre ventrikels preload med mindsket systemisk output til følge [1]. Ofte ses der »pulsus paradoxus«, med inspirationssynkrone fald i systolisk tryk, da preload på højre side øges under inspiration i en grad, så preload på venstre side samtidig kompromitteres. Cirkulatorisk kollaps ses, når det intraperikardiale tryk overstiger højre atriums fyldningstryk, og preload derfor falder drastisk, hvilket ofte sker pludseligt med et fænomen kendt som last drop. Her spiller en vasovagal komponent formentlig en rolle i denne momentant indsættende bradykardi og hypotension. Et sådant cirkulatorisk kollaps kræver øjeblikkelig perikardiocentese. De to primære elementer i udviklingen af kardiogent shock fra perikardietamponade er således: perikardiesækkens fyldningshastighed relativt til dens eftergivelighed og kroppens kompenseringsevner. Sidstnævnte betragtes som havende ringe betydning i akut indsættende tamponade, om end takykardi og vasokonstriktion er initiale kompensationsmekanismer [2].

SYGEHISTORIE

En 83-årig slank kvinde med kendt KOL og artrose blev indbragt med pludseligt indsættende brystsmerter med udstråling til halsen, svimmelhed og kvalme. Et præhospitalt taget elektrokardiogram (ekg) var uden oplagte iskæmiske forandringer, low voltage eller elektrisk alternans. Ved ankomst til den fælles akutmodtagelse var hun i velbefindende og oppegående. Præhospitalt var der givet 50 μg fentanyl og 4 mg ondansetron. De primære vitalparametre var: puls 82 slag/min, blodtryk (BT) 149/74 mmHg, iltmætning 92% uden ilttilskud og respirationsfrekvens 16 åndedrag/min. Kort inde i anamneseoptagelsen fik patienten recidiv af brystsmerterne, hvorfor der blev administreret to pust sublingval nitroglycerin. Herpå blev hun inden for 20-30 s udtalt kold- og klamtsvedende samt perifert cyanotisk og fik sekunder efter respirationsstop. Et trepunkts-ekg var fortsat med sinusrytme, men uden palperbar puls, hvorfor der blev kaldt hjertestop. Inden for et minut, og inden påbegyndelse af hjerte-lunge-redning (HLR), var der igen spontan respiration, men nu med udtalt hypotension (BT: 48/37 mmHg). Ved akut fokuseret ultralydundersøgelse [3] observeredes perikardieekssudat med betydelig kompression af de højresidige kamre. Ved perikardiocentese blev der udtaget 10-15 ml blod, hvorpå det nyanlagte invasive arterietryk momentant steg fra 60/40 mmHg til 100/60 mmHg. Yderligere BT-stigning var uønsket pga. frygt for forværring af evt. dissektion.

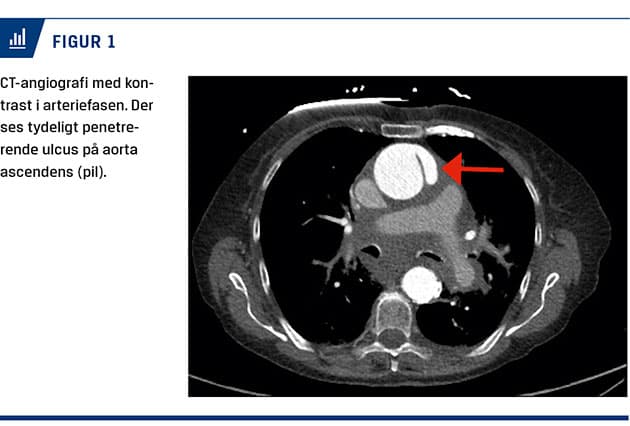
En CT-angiografi viste en ulceration i aorta ascendens (Figur 1) med indikation for thoraxkirurgisk intervention. Patienten blev vurderet som værende habil, fraset minutterne omkring det kliniske hjertestop. Hun ønskede ikke operation, trods information om højere mortalitetsrisiko ved konservativ behandling. Hun blev overflyttet til en thoraxintensiv afdeling til videre behandling i form af stram blodtrykskontrol, således at risikoen for yderligere perforering blev reduceret. Hun blev udskrevet i velbefindende på 12. dagen og var fortsat i live 36 måneder senere.

DISKUSSION

Patienten i sygehistorien kollapsede cirkulatorisk efter indgift af sublingval nitroglycerin, trods et hæmodynamisk stabilt udgangspunkt. Nitroglycerins primære effekt er kardilatation, som mindsker preload på både højre og venstre side [4]. Patientens vasokonstriktoriske kompensation var her essentiel, tydeliggjort ved det kliniske hjertestop, i forbindelse med nitroglycerins hæmning af netop denne. Herved blev det centralvenøse tryk lavere end det intraperikardiale tryk, hvorfor preload svandt i en grad, så patienten fik cirkulatorisk kollaps og dermed klinisk hjertestop. HLR indbefatter normalt maskeventilation, dvs. overtryksventilation, hvilket man ikke nåede at påbegynde. Overtryksventilation, særligt med højt positivt sluteksspirationstryk, er problematisk, da det øger det intratorakale tryk og således også hæmmer preload. Man bør som udgangspunkt foretrække spontan respiration, og ved behov for overtryksventilation bør dette forudgås af perikardiocentese [5]. Ved genoplivning af patienter med hæmoperikardium bør preload forsøges øget med væske, omend effekten heraf primært er påvist i dyrestudier [2]. Nitroglycerin er en fast del af algoritmen ved udredning for iskæmisk hjertesygdom præhospitalt og i almen praksis. I flere studier har man dog sået tvivl om nytten heraf. Denne sygehistorie beskriver en situation, hvor nitroglycerin ofte vil blive administreret, men hvor det egentlig er kontraindiceret [4]. Tidlig diagnose, f.eks. med ultralyd, samt perikardiedrænage er således essentielt hos patienter med hæmoperikardie.

Korrespondance: Paul Peterslund. E-mail: paul.peterslund@dadlnet.dk

Antaget: 7. maj 2019

Publiceret på Ugeskriftet.dk: 24. juni 2019

Interessekonflikter: ingen. Forfatternes ICMJE-formularer er tilgængelige sammen med artiklen på Ugeskriftet.dk

Summary

Paul Peterslund, Claes Falkenberg Elvander & Joachim Hoffmann-Peterslund:

Iatrogenic clinically cardiac arrest after administration of nitroglycerin

Ugeskr Læger 2019;181:V01190015

 

This case report highlights the importance of preload in cardiac tamponade, as cardiac arrest with pulseless electrical activity was unintentionally induced after sublingual administration of nitroglycerin in an 83-year-old woman with unrecognised hemopericardium. Cardiac tamponade is a life-threatening condition, as accumulation of fluids in the pericardial sac diminishes preload which can ultimately lead to cardiac arrest. Primary elements in the development of critical haemodynamic tamponade are rate of fluid-accumulation and compensatory mechanisms, mainly tachycardia and vasoconstriction.

Referencer

LITTERATUR

  1. Ditchey R, Engler R, LeWinter M et al. The role of the right heart in acute cardiac tamponade in dogs. Circ Res 1981;48:701-10.

  2. Spodick DH. Acute cardiac tamponade. N Engl J Med 2003;349:684-90.

  3. www.dasaim.dk/wp-content/uploads/2017/04/Holdningspapir-UL-af-hjertet-vs-ekkokardiografi-DCS_DASAIM_DASEM.pdf (21. maj 2019).

  4. Grailey K, Glasziou PP. Diagnostic accuracy of nitroglycerine as a “test of treatment” for cardiac chest pain: a systematic review. Emerg Med J 2012;29:173-6.

  5. Möller CT, Schoonbee CG, Rosendorff C. Haemodynamics of cardiac tamponade during various modes of ventilation. Br J Anaesth 1979;51:409-15.