Impression af ventrikelvæg ved gastroskopi kan skyldes gigantisk a. lienalis-aneurisme


Michael Shaya & Uffe Schou Løve
A. lienalis-anurismer er sjældne, men kan være fatale, idet de kan rumpere og resultere i cirkulatorisk shock og død. Prævalensen er estimeret til omkring 0,8% [1]. De fleste er asymptomatiske, men kan præsentere sig med smerter i epigastriet eller øvre venstre kvadrant. De er overvejende små (< 2 cm) [1], men kan blive større end 10 cm [2]. Risikofaktorer er hunkøn (4:1) [1], traume, arteriel hypertension, aterosklerose, multiparitet og portal hypertension [2]. Diagnosen stilles oftest tilfældigt ved CT af abdomen foretaget på anden indikation. Vi præsenterer her en case, hvor mistanken til et a. lienalis-aneurisme opstod ved en gastroskopi.
En 78-årig tidligere sund og rask kvinde blev henvist til gastroskopi i kræftpakkeforløb grundet tyngdefornemmelse i epigastriet gennem tre måneder. Hun havde ingen smerter. Man foretog gastroskopien, som viste tre Forrest III-ulcera og gastrit. Under gastroskopien bemærkede man, at ventriklens bagvæg nær fundus gastricus bulede ind mod lumen, til trods for at ventriklen var blæst godt op. Impressionen dækkede et område på ca. 7 cm og forsvandt, når man desufflerede. Der var ingen pulsation i impressionen. Overliggende slimhinde var upåfaldende ud over gastrit, som i resten af ventriklen.
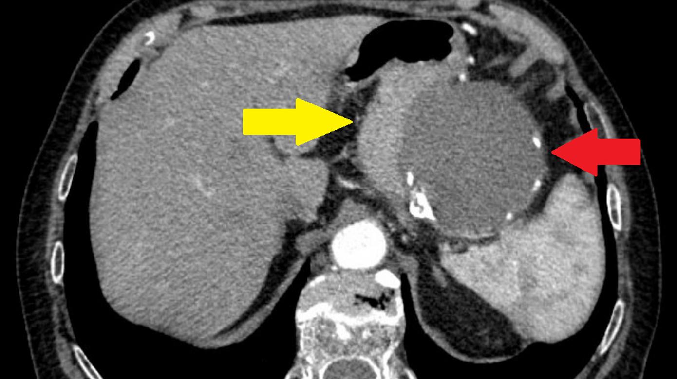
Man valgte at bestille en CT af abdomen mhp. visualisering af bagvedliggende patologi. CT’en viste et gigantisk a. lienalis-aneurisme på 9 cm (Figur 1). Patienten blev efterfølgende henvist til karkirurgerne, som foranstaltede coiling (endovaskulær embolisering) af aneurismet.
Impressioner af ventrikelslimhinde inddeles i intra- og ekstramural impression (EMI). Intramural impression kaldes oftest for »subepithelial lesion« (SEL). SEL kan indebære gastrointestinal stromatumor, lipom, fibrom, leiomyom, cyste, heterotrop pancreasvæv og adenokarcinom [3, 4]. Af ekstramurale årsager kan nævnes symptomer fra cyste, cancer, aneurisme, hydatidecyste, lymfadenopati, lever, milt, nyre og colon [3, 4]. Omkring 0,36-0,76% af gastroskopierne vil være med impressioner [3, 4]. Det er svært endoskopisk at differentiere mellem en EMI og SEL. Formen, størrelsen, lokalisationen og afgrænsningen på impressionen og dynamik på samme ved ændring på patientlejring og/eller mængden af luft kan hjælpe med at give et hint om, hvorvidt der er tale om SEL eller EMI. Den bedst egnede billeddiagnostiske modalitet til differentiering mellem EMI og SEL er endoskopisk ultralydskanning (EUS) med en sensitivitet på 100%. CT har en sensitivitet på 19-28%, når det gælder SEL [4]. Det har desværre ikke været muligt at finde studier, der belyser CT’s sensitivitet og specificitet, når det gælder EMI. EUS kan i 74% af tilfældene diagnosticere årsagen til EMI [4]. Har man foretaget EUS, og den udelukker SEL, må der være tale om en EMI. Hvis EUS’en tilmed ikke kan finde årsagen til EMI’en, kan man følge op med en CT for at komme årsagen nærmere. Er denne negativ, må der være tale om et naboorgan som årsag til impressionen.
Valget mellem CT og EUS efter fund af en impression afhænger af, hvad den endoskopiske mistanke mest hælder til. Er der som i ovenstående case tale om en stor impression på bagvæggen, som forsvinder ved desufflering, er der sandsynligvis tale om en ekstramural impression, hvorfor en CT vil være førstevalg. Er der derimod tvivl eller mistanke om SEL, anbefales EUS, idet en CT ikke vil kunne afkræfte SEL.
Vores beskrevne case understreger vigtigheden af, at alle endoskopører kender til udredningen af impressioner ved gastroskopi. Med en prævalens på 0,36-0,76% vil de fleste endoskopører før eller siden støde på fænomenet.
Korrespondance Michael Shaya. E-mail: michaelshaya@hotmail.com
Antaget 26. januar 2023
Publiceret på ugeskriftet.dk 13. marts 2023
Interessekonflikter ingen. Forfatternes ICMJE-formularer er tilgængelige sammen med artiklen på ugeskriftet.dk
Referencer findes i artiklen publiceret på ugeskriftet.dk
Artikelreference Ugeskr Læger 2023;185:V12220772
Michael Shaya & Uffe Schou Løve
Ugeskr Læger 2023;185:V12220772
Splenic artery aneurysms are rare but can be fatal. The majority are asymptomatic and small (< 2cm). The diagnosis is often incidental on abdominal CT, but this case report presents of a 78-year-old woman who was diagnosed with a splenic artery aneurysm through a gastroscopy. The posterior gastric wall in the fundus-corpus junction showed a 7 cm area that was bulging into the lumen. The subsequent CT showed a gigantic splenic artery aneurysm measuring 9 cm in diameter. EUS is recommended because it has a high precision in diagnosing subepithelial lesions compared to abdominal CT scan.