Infektiøs vasitis som differentialdiagnose til ingvinalhernie


Rasmus Holmboe Dahl1, Anders Linde Nielsen1, Anne Buchhave Olsen2, Olga Tcacenco3, Gintare Naujokaite3 & Jacob Bové Christensen1
En 68-årig mand blev indlagt med en tre dage varende smertefuld frembuling i højre lyske. Han var en måned forinden blevet udskrevet efter transuretral prostataresektion med postoperativ Escherichia coli-urosepsis. Over det højre ingvinale ligament fandt man en udtalt palpationsøm 2 × 7 cm rød frembuling. Scrotum og testes var upåfaldende. Pga. klinisk mistanke om inkarcereret ingvinalhernie blev der uden succes forsøgt reponering efter intravenøs indgift af morfin og diazepam. I blodprøver fandt man forhøjede niveauer af C-reaktivt protein (73 mg/l) og leukocytter (15,3 mia./l), ved urinstiks fandt man leukocyturi, og ved en senere urindyrkning påvistes E. coli. En CT af abdomen viste infektiøs vasitis. Patienten blev behandlet intravenøst med cefuroxim (750 mg x 4 dgl.) og metronidazol (500 mg x 2 dgl.) i to dage og overgik til 12 dage med peroralt givet ciprofloxacin (500 mg x 2 dgl.). Der var ingen sequelae efter tre måneder.
Infektiøs vasitis forekommer efter kirurgiske indgreb nær vas deferens [1] og kan ligne ingvinalhernier, testistorsion og epididymitis [2]. Patogenesen omfatter retrograd spredning af uropatogene bakterier [3]. Diagnosen kan overses klinisk og radiologisk pga. den sjældne forekomst [3-5], men bør overvejes hos patienter, der for nylig har gennemgået en urogenital operation og har leukocyturi og en irreponibel ingvinal frembuling. CT sikrer diagnosen og korrekt behandling [2].
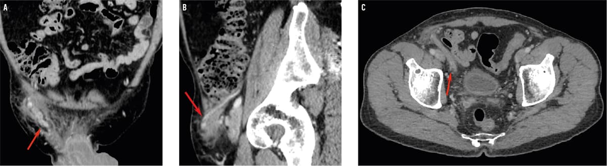
CT-billeder af abdomen med intravenøs kontrast i det koronale (A), sagittale (B) og aksiale (C) plan. Der ses opladning af højre vas deferens i canalis inguinalis med omgivende ødem og bløddelshævelse i lysken (A, B, pil). Vas deferens var dilateret intraabdominalt (C, pil). Der var desuden opladning i højre vesicula seminalis (ej vist).
Korrespondance: Rasmus Holmboe Dahl. E-mail: rhd@dadlnet.dk
Publiceret på Ugeskriftet.dk: 4. maj 2020
Interessekonflikter: ingen. Forfatternes ICMJE-formularer er tilgængelige sammen med artiklen på Ugeskriftet.dk
Clavijo RI, Rose-Nussbaumer J, Turek PJ. Clinically symptomatic vasitis: clinical correlations in a rare condition. Syst Biol Reprod Med 2010;56:445-9.
Patel K, Lamb B, Pathak S et al. Vasitis: the need for imaging and clinical acumen. BMJ Case Rep 2014;2014:bcr2014206994.
Chen CW, Lee CH, Huang TY et al. Vasitis: a rare diagnosis mimicking inguinal hernia: a case report. BMC Urol 2019;19:27.
You SH, Sung DJ, Han NY et al. Emphysematous vasitis misdiagnosed as strangulated inguinal hernia. J Emerg Med 2014;47:e15-7.
Romero Marcos JM, Baena Bradaschia S, Muñoz Pérez JM et al. Vasitis mimicking an Amyand’s hernia: a case report. Int J Surg Case Rep 2017;30:34-6.