Skip to main content

Inkomplet Brown-Séquards syndrom med Horners syndrom som følge af et plastikfremmedlegeme i medulla spinalis

Reservelæge Lasse Pedersen, konstitueret 1. reservelæge Troels H. Nielsen, 1. reservelæge Heidi Biernat, overlæge Pernille Skejø & 1. reservelæge Marit Otto Odense Universitetshospital, Neurologisk Afdeling og Røntgendiagnostisk Afdeling

23. jan. 2009
5 min.

En 32-årig mand fik pludseligt opstået varmefornemmelse i højre ben og følelse af stivhed i venstre arm. Computertomografi og magnetisk resonans-skanning viste et plastikfremmedlegeme i medulla spinalis på C5/C6-niveau. Fremmedlegemet blev efterfølgende fjernet operativt.

Brown-Séquard-syndromet skyldes en halvsidig læsion af medulla spinalis. Klinisk består det klassiske Brown-Séquards syndrom af ipsilateralt påvirket stillings- og vibrationssans og spastisk parese kaudalt for læsionen kombineret med kon-tralateral påvirkning af smerte- og temperatursans et par niveauer under læsionen. Ved en inkomplet halvsidig spinal læsion kan nogle af de beskrevne symptomer mangle. Horners syndrom kan ses i forbindelse med Brown-Séquards syndrom ved læsioner i den cervikale del af medulla spinalis, men er sjældent beskrevet [1].

Den tilgrundliggende årsag til syndromet er som oftest traumer mod medulla eller ekstramedullære spinale neoplasier [2]. Andre årsager er diskusprolaps, spondylose, cyster, metastaser eller traumatisk eller spontant opstået epiduralt hæmatom [3]. De fleste traumatiske tilfælde skyldes knivstik [4], men traumer pga. brug af mindre traditionelle våben, såsom pusterørspil, skruetrækker, kuglepen og brillestel er også beskrevet [2, 3, 5]. Brown-Séquard-syndromet opstår i disse tilfælde typisk direkte i forbindelse med traumet.

Vi beskriver et inkomplet Brown-Séquards og Horners syndrom diagnosticeret flere år efter et mindre traume med et efterladt, uerkendt fremmedlegeme.

Sygehistorie

En 32-årig mand blev af egen læge henvist til neurologisk afdeling på mistanke om multipel sklerose. Symptomerne begyndte ca. et år før indlæggelsen med en konstant varmefornemmelse i højre fod. Fornemmelsen spredte sig gradvist proksimalt, indtil den omfattede hele benet og højre del af truncus' for- og bagflade. Efter et par måneder tilkom der desuden fornemmelse af svaghed og stivhed i venstre arm og nedsat temperatursans i højre ben. Patienten erindrede en episode under sit arbejde som svejser, hvor hans bukseben stod i flammer, uden at han selv havde bemærket noget, og hans arbejdskolleger kom løbende for at slukke ilden. Direkte adspurgt om traumer huskede patienten ikke umiddelbart noget. Et år inden vurderingen på neurologisk afdeling mærkede patienten en skarp smerte ud i venstre arm, da han masserede sig i nakken.

Ved undersøgelsen fandt man let ptose og miosis på venstre side, og i venstre arm var der nedsat kraft ved fingerfleksion. Endvidere var der i venstre ben hyperaktive, dybe reflekser, fodklonus og Babinskis tåfænomen. Der fandtes bevaret berørings-, vibrations- og stillingssans. På højre side var der nedsat temperatur- og smertesans på truncus' for- og bagflade kaudalt for Th2 og i benet. Desuden havde patienten i nakken på venstre side to små ar. Direkte adspurgt om dette, huskede han, at han for otte år siden i forbindelse med et slagsmål på et diskotek med plastikmøbler blev slået over nakken med et ukendt objekt. Han var dengang ikke på skadestuen.

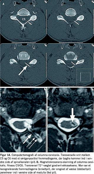
Ved en magnetisk resonans (MR)-skanning af columna cervicalis blev der påvist et ikkemetallisk fremmedlegeme, ekstra- og intraduralt, penetrerende venstre side af medulla på niveau C5/C6. Fremmedlegemet var omgivet af væske. En computertomografi (CT) (og røntgenundersøgelse - ikke vist), der blev udført for nærmere karakteristik af arten af fremmedlegemet, tydede på, at det bestod af plastik (Figur 1A og B).

Patienten blev efterfølgende opereret, hvor man via en cervical hemilaminektomi på niveau C6 fjernede fremmedlegemet, der viste sig at være en 2,5 cm × 0,5 cm klar plastiksplint. Denne havde penetreret mellem laminae af C5 og C6 og kunne efter fridissektion af muskelvæv og efterfølgende hemilaminektomi fjernes uden modstand.

Det postoperative forløb var ukompliceret. Ved udskrivelsen havde patienten samme symptomatologi og objektive fund som præoperativt. Ved en fireugersopfølgning blev der fundet diskret bedring af de venstresidige kraftforhold, men ellers var der såvel subjektivt som objektivt sammen forhold som præoperativt.

Diskussion

Patientens symptomer svarer til et inkomplet Brown-Séquards syndrom. De objektive fund, der gav mistanke om en læsion af medulla spinalis på niveau C5/C6 på venstre side, var forenelige med CT- og MR-skannings-svar. Den typiske kontralaterale isolerede påvirkning af smerte- og temperatursans et par niveauer under læsionen kan forklares med, at smerte- og temperaturbanerne (tractus spinothalamici) efter indtræden i rygmarven ascenderer et par niveauer og derefter krydser kontralateralt. Patienten havde en ipsilateral spastisk parese distalt for læsionen som ved samsidig påvirkning af de motoriske aktiveringsbaner (tractus corticospinales). Bagstrengene (fasciculus gracilis og cuneatus) og dermed den ipsilaterale vibrations- og stillingssans var bevarede. Derudover var der et venstresidigt Horners syndrom, som kan forklares med en læsion af de descenderende sympatiske fibre i medulla spinalis (columna intermediolateralis). Disse træder først ud af medulla på niveau C8/T1.

Udredning af Brown-Séquards syndrom sker uden kendt forudgående traume bedst med MR-skanning af medulla [1]. Hvis patienten opgiver penetrerende traume i anamnesen, specielt akut, må almindelig røntgen og/eller CT af den relevante region overvejes først for at udelukke tilstedeværelsen af et metallisk fremmedlegeme, som kan kontraindicere en MR-skanning.

Sygehistorien er usædvanlig, idet symptomerne først begyndte syv år efter et mindre nakketraume, der efterlod et plastikfremmedlegeme i bløddelene. Først flere år senere flyttede fremmedlegemet sig, formentlig i forbindelse med massage af nakkemuskulaturen, og trængte herved ind i den cervikale del af medulla spinalis. Denne sygehistorie viser, at også traumer langt tilbage i tiden kan være årsag til et Brown-Séquards syndrom.


Lasse Pedersen, Stadionvej 22, 1. th., DK-5200 Odense V. E-mail: lasse_pedersen99@hotmail .com

Antaget: 11. februar 2008

Interessekonflikter: Ingen

Summary

Summary Incomplete Brown-Séquard syndrome with Horner syndrome due to plastic foreign body in cervical medulla Ugeskr Læger 2009;171(5):336-338 A case presentation and discussion of a 32-year old male presenting an incomplete Brown-Séquard syndrome with Horner syndrome due to a plastic foreign body in the cervical medulla.

Referencer

  1. Mark O, McCarron, Peter A. Traumatic Brown-Séquard-plus syndrome. Arch Neurol 2001;58:1470-2.
  2. Gray TL, Karagiannis A, Crompton JL et al. Self-inflicted blindness and Brown-Séquard syndrome. J Neuroophthalmol 2003;23:154-6.
  3. Moin H, Khalili HA. Brown Séquard syndrome due to cervical pen assault. J Clin Forensic Med 2006;13:144-5.
  4. García-Manzanares MD, Belda-Sanchis JL, Giner-Pascual M et al. Brown-Sequard syndrome associated with Horner's syndrome after a penetrating trauma at the cervicemedullary junction. Spinal Cord 2000;38:705-7.
  5. Jones F, Babalola F, Eltayab O et al. Blowdart injury resulting in Brown-Sequard plus syndrome. Am-surg 2005;71:1075-7.