Integreret PET/MR-skanning identificerede atypisk præsentation af Creutzfeldt-Jakobs sygdom


Peter Parbo1, Rune Ladeby Erichsen2, Ljubo Markovic3 & Pål Kristensen2
En 78-årig kvinde kom til demensudredning på grund af progressivt svigtende korttidshukommelse og eksekutive problemer gennem mere end et halvt år. Hendes Mini-Mental Status Examination (MMSE)-score var 20.
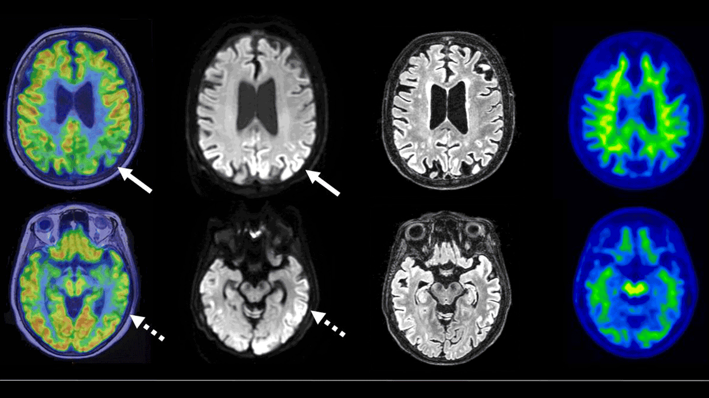
På klinisk mistanke om en blanding af Alzheimers sygdom (AD) og vaskulær demens blev patienten henvist til en kombineret 18F-fluordeoxyglukose (FDG)-PET/MR-skanning. I samme periode blev hun indlagt på psykiatrisk afdeling og udskrevet igen efter behandling af svær depression. 18F-FDG-PET viste nedsat FDG-optagelse parietotemporalt, primært venstresidigt, hvilket umiddelbart kunne ligne et AD-mønster. MR-skanning påviste dog karakteristiske kortikale hyperintensiteter på diffusion-weighted imaging (DWI)/fluid-attenuation inversion recovery (FLAIR)-sekvenser i samme områder, hvilket kan ses ved Creutzfeldt-Jakobs sygdom (CJD). Normale AD-biomarkører i spinalvæsken og negativ 11C-Pittsburgh compound B (PiB)-PET udelukkede betaamyloid patologi. CJD-diagnosen blev endeligt bekræftet ved en positiv real-time quaking-induced conversion (RT-QuIC)-test.
Ved CJD kan prionproteininduceret celledød forårsage både nedsat neuronal aktivitet (18F-FDG-PET) og diffusionsrestriktion (DWI) i samme områder. Kombineret PET/MR-skanning kan bidrage til tidligere og mere præcis diagnostik af kognitive forstyrrelser [1]. Behandlingen af CJD er udelukkende symptomlindrende og støttende.
Korrespondance. Peter Parbo. E-mail: peter.parbo@rsyd.dk
Antaget 1. august 2025
Publiceret på ugeskriftet.dk 20. oktober 2025
Interessekonflikter PK har modtaget støtte fra FADL´s Forlag vedr. geriatriske cases. PP, RLE, LM har ingen konflikter. Alle forfattere har indsendt ICMJE Form for Disclosure of Potential Conflicts of Interest. Disse er tilgængelige sammen med artiklen på ugeskriftet.dk
Artikelreference Ugeskr Læger 2025;187:V73042
doi 10.61409/V73042
Open Access under Creative Commons License CC BY-NC-ND 4.0