Intratorakal struma


Kasper Sandager Mikkelsen, e-mail: kasper.sandager.mikkelsen@regionh.dk & Christoffer Holst Hahn Ugeskr Læger 2016;178:V68323
En 85-årig kvinde blev indlagt pga. åndenød. Hun var i det væsentlige rask, men havde klaget over tiltagende vejrtrækningsbesvær og svimmelhed i de seneste to år. På trods af et stort tobaksforbrug var der ikke påvist kronisk obstruktiv lungesygdom. Ved indlæggelsen konstateredes stridor og rhonchi, men nær normal lungefunktion (forceret vitalkapacitet (FVC) på 74% af forventet værdi, forceret udånding i første sekund (FEV1) på 88% af forventet værdi og FEV1/FVC på 0,74) og ingen effekt af bronkodilaterende inhalationspræparater. Undersøgelser gav ikke holdepunkt for mistanke om infektiøs eller kardial årsag.
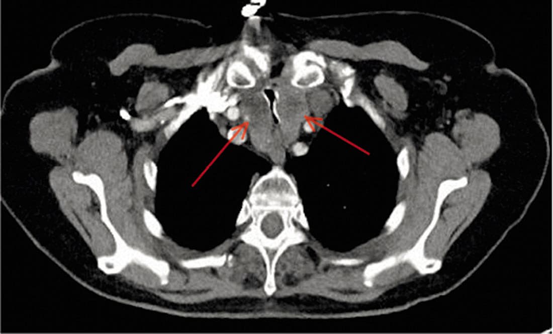
På grund af en let eleveret D-dimer blev der foretaget CT af thorax. Ved undersøgelsen påvistes ikke lungeemboli, men intratorakalt beliggende struma (markeret med røde pile) med udtalt kompression af trachea. Patienten gennemgik subakut total tyroidektomi, og hun fik hurtigt bedring i vejrtrækningen. I patologisvaret blev der beskrevet en nodøs kolloid struma.
Foruden trakealkompression kan en intratorakal struma trykke på de øvrige strukturer i mediastinum superius, hvilket medfører dysfagi, dysfoni, og vena cava superior-syndrom [1].
Sygehistorien illustrerer, at øvre luftvejsobstruktion, her intratorakal struma, er en sjælden, men vigtig differentialdiagnose ved hvæsende og pibende vejrtrækning [2].
Interessekonflikter:
di Crescenzo V, Vitale M, Valvano L et al. Surgical management of cervico-mediastinal goiters: our experience and review of the literature. Int J Surg 2016;28(suppl 1):S47-S53.
Balakrishnan S, Doddi S, Helme S et al. Every wheeze does not merit a puffer! Case Rep Med 2010;2010:498372.