Invagination er også en differentialdiagnose til mavesmerter hos voksne


Gitte Aabye Olsen1 & Jacob Antonsen2
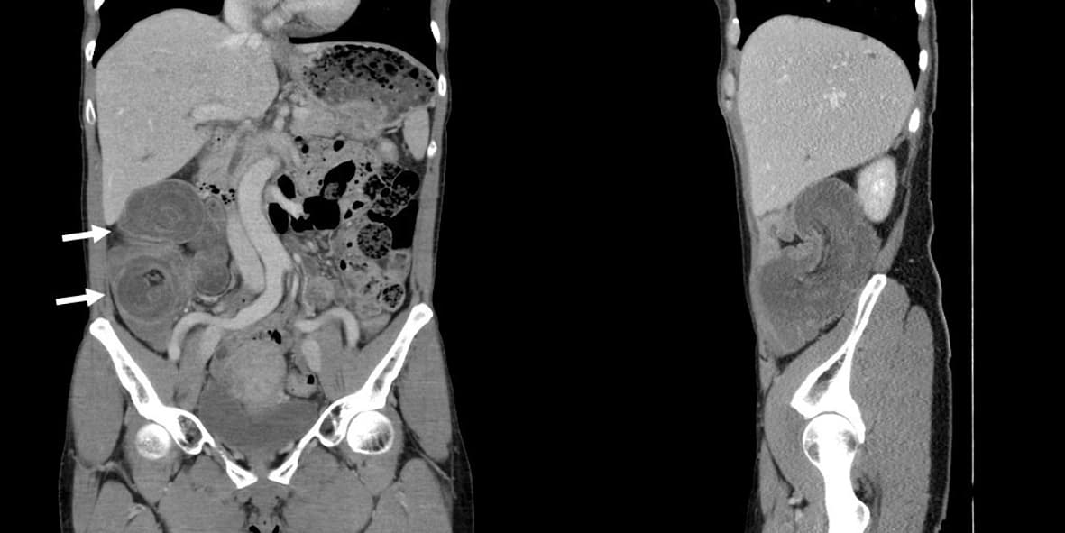
En 55-årig tidligere rask kvinde blev indlagt, da hun igennem to timer havde haft akut indsættende kraftige mavesmerter i højre hemiabdomen. Hun havde ikke kvalme, opkastninger eller diarré. Ved en objektiv undersøgelse fandt man direkte ømhed i højre hemiabdomen uden peritoneal reaktion. Der blev foretaget en CT, som viste karakteristisk skydeskivekonfiguration i højre side af abdomen, hvilket tydede på intestinal invagination [1].
Man foretog en akut eksplorativ laparotomi og fandt 35 cm af den terminale ileum, som var invagineret i caecum. Den invaginerede tarm var avital, og der blev foretaget en ileocækalresektion med primær anastomose. Den patologiske undersøgelse viste ingen årsag til invaginationen. Patienten havde ingen postoperative komplikationer og blev udskrevet i velbefindende efter tre dages indlæggelse.
Intestinal invagination er langt hyppigere hos børn end hos voksne. Hos voksne findes der i over 90% af tilfældene en årsag til invaginationen i form af en tumor eller anden patologi [2-4]. Det er tidligere beskrevet i kasuistikker, at det formodes, at appendix kan være årsag til ileocækal invagination [5], hvilket også kan have været tilfældet hos denne patient.
Korrespondance: Gitte Aabye Olsen. E-mail: gitteaabye@gmail.comingen.
Publiceret på Ugeskriftet.dk: 22. juni 2020
Interessekonflikter: Forfatternes ICMJE-formularer er tilgængelig sammen med artiklen på Ugeskriftet.dk
Valentini V, Buquicchio GL, Galluzzo M et al. Intussusception in adults: the role of MDCT in the identification of the site and cause of obstruction. Gastroenterol Res Pract 2016;2016:56237.
Donhauser JL, Kelly EC. Intussusception in the adult. Am J Surg 1950;79:673-7.
Azar T, Berger DL. Adult intussusception. Ann Surg 1997:134–8.
Agha FP. Intussusception in adults. Am J Roentgenol 1986:226:527-31.
Green N, Krantz W, Tadros A. Adult ileocolic intussusception from the appendix. Case Rep Emerg Med 2019;2019:3272618.