Skip to main content

Karakteristik, diagnostik og behandling af patienter med autoimmun hepatitis

Henriette Ytting & Fin Stolze Larsen Hepatologisk Afdeling A, Rigshospitalet

9. nov. 2012
14 min.

Autoimmun hepatitis (AIH) er en immunmedieret sygdom, der er kendetegnet ved uhensigtsmæssig og langvarig inflammatorisk aktivitet rettet mod leverparenkymet, hvilket fører til hepatocytskade med opheling med fibrosedannelse, eventuelt cirrose. Med en incidens og prævalens på henholdsvis 2 og 17 pr. 100.000 indbyggere i vestlige lande vil få patienter blive diagnosticeret med AIH på de enkelte centre. Sygdommen forekommer hos alle aldersgrupper og 3-4 gange hyppigere blandt kvinder end blandt mænd.

Diagnosen er ofte vanskelig at stille, og hos knap en femtedel af patienterne er sygdommen refraktær over for gængs behandling. Ved ubehandlet sygdom udvikles der ofte leversvigt og/eller cirrose, og medianoverlevelsen er 3,3 år [1]. Ved svær, ubehandlet sygdom ses en mortalitet på omkring 40% inden for seks måneder efter diagnosen, og ved asymptomatisk, mild sygdom er tiårsoverlevelsen nedsat til 67%, hvor den er 98% hos behandlede patienter [2]. Hurtig sygdomsprogression fører hos omkring 15% af de ubehandlede patienter med svær sygdomsaktivitet til fulminant leversvigt, hvilket understreger betydningen af tidlig diagnostik og behandling samt henvisning til en højtspecialiseret hepatologisk enhed ved insufficient behandlingsrespons.

Ætiologien til AIH er ukendt, men involverer både miljømæssige og genetiske faktorer knyttet til human leukocyt-antigen klasse II-gener. I patofysiologien indgår T-celle-medierede reaktioner mod levercelleantigen [3], muligvis initieret af det innate immunsystem, herunder natural killer -celler. Auto-reaktiviteten resulterer i nekroinflammatoriske processer med ledsagende fibrosedannelse i leveren [4].

I denne artikel opsummeres den aktuelle viden om og evidens for diagnostik, behandling og sygdomsforløb ved AIH.

FOREKOMST

Incidensen af AIH er i Norge og Sverige opgjort til omkring 1/100.000/år [5, 6]. Prævalensen er i Spanien 12/100.000 [7], og i et nyt stort epidemio-logisk studium fra New Zealand er den opgjort til 18,9/100.000 [8]. Den reelle prævalens er formentlig højere pga. manglende diagnostik af patienter, der har asymptomatisk sygdom.

SYMPTOMER OG FORLØB

Hyppigst er symptomerne ved debut langsomt indsættende og uspecifikke såsom træthed, appetitløshed/kvalme, mavesmerter, ikterus, ledsmerter og evt. hudkløe. Hos 25-40% af patienterne, herunder en del af de patienter som har udviklet cirrose, er sygdommen asymptomatisk på diagnosetidspunktet, og diagnosen stilles efter tilfældigt fund af forhøjede koncentrationer af transaminaser. Mindst en tredjedel af patienterne, også yngre personer, har cirrose allerede på diagnosetidspunktet [9, 10]. Godt en tredjedel oplever akut sygdomsdebut med svær leverpåvirkning, dvs. forhøjelse af niveauet af transaminase til ofte mere end 15-20 gange den øvre normalgrænse med samtidig forhøjet international normalised ratio- og bilirubinniveau og ofte hypoalbuminæmi. Hos 8-20% af de ubehandlede patienter udvikles der subakut, fulminant leversvigt defineret ved koagulopati og hepatisk encefalopati inden for 26 uger efter sygdomsdebut [11, 12]. Af disse patienter overlever kun ca. 15% uden levertransplantation [13, 14].

Hos en tredjedel af patienterne påvises der ekstrahepatisk autoimmun sygdom [15] herunder reumatoid artritis, Sjøgrens sygdom, type 1-diabetes, cøliaki, autoimmun tyroiditis og colitis ulcerosa [16].

Ved overlapssygdom, dvs. samtidig tilstedeværelse af AIH og enten primær skleroserende kolangitis (PSC) eller primær biliær cirrose (PBC), er både diagnostik og behandlingsstrategi ofte mere udfordrende. Disse patienter bør følges i en højtspecialiseret hepatologisk enhed og omtales ikke nærmere i denne artikel.

DIAGNOSTIK

Ved mistanke om AIH er det væsentligt at stille diagnosen hurtigt. De internationalt anvendte diagnostiske kriterier er præsenteret i Tabel 1 og er oprindelig udviklet til videnskabeligt brug. Kriterierne udgøres af enten positive fund, som sandsynliggør diagnosen, eller konkurrerende årsager til leverpåvirkning, som gør diagnosen mindre sandsynlig. Diagnosen er baseret på et scoringssystem, som fører til diagnosen »sandsynlig AIH« eller »sikker AIH« [17]. De diagnostiske kriterier blev for nogle år siden simplificeret (Tabel 2 ) mhp. klinisk anvendelse [18], men det diskuteres, om man ved at anvende denne score med meget få variable »overser« patienter med atypisk præsentation, f.eks. manglende positivitet for de klassiske antistoffer, normal immunglobulin (Ig)G eller uspecifik histologi, herunder cirroseudvikling, idet ætiologien på dette sygdomsstadium ofte er vanskelig at afgøre.

Diagnosen baseres på kliniske og parakliniske fund og histologi. Biokemisk finder man forhøjede koncentrationer af transaminaser som udtryk for hepatocytskade, og patienter med symptomer har ofte mere udtalt transaminasæmi end asymptomatiske patienter [19]. Basisk fosfatase-niveau er normalt eller let forhøjet. Der er ofte polyklonal hyperimmunglobulinæmi, hvor forhøjelsen af IgG er mest udtalt og indgår i de diagnostiske kriterier. Serologisk finder man cirkulerende autoantistoffer, hyppigst glat muskel-celle-antistof (SMA) og/eller antinukleært antistof (ANA) som definerer type 1-AIH, mens positivt lever-nyre-mikrosomalt type 1-antistof definerer type 2-AIH, som hyppigst ses hos børn og unge. Solubelt leverantigen/lever-pancreas-antigen er associeret med type 1-AIH og er ofte forhøjet samtidig med SMA hhv. ANA, men ses undertiden også forhøjet, når disse er negative, og kan i den situation være vejledende.

Såvel perinukleært antineutrofilt cytoplasmatisk antistof som mitokondrieantistof kan være til stede, men er oftest indikator for overgangsform til PSC eller PBC.

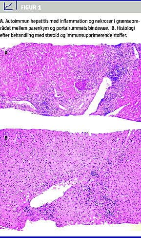
Det anbefales at tage en leverbiopsi ved mistanke om AIH. Histologisk findes interfasehepatitis, dvs. inflammation og nekroser i grænseområdet mellem parenkymet og portalrummenes bindevæv (piecemeal -nekroser) samt plasmacelleinfiltration (Figur 1 ) [20]. Der er ikke forskel på sværhedsgraden af histologisk sygdom hos hhv. symptomatiske og asymptomatiske patienter, fraset manifest cirrose, som i nogle studier er påvist lidt hyppigere ved symptomgivende sygdom. Ved debut med akut leversvigt er histologien overvejende præget af akutte forandringer, således er der mere udtalt interfasehepatitis og nekroser, men mindre fibrose og cirrose [13].

Trods de ovenfor beskrevne diagnostiske kriteri er er diagnosen hos nogle patienter en udfordring, hvor navnlig afgrænsningen over for PBC, PSC og toksisk medikamentel hepatitis kan være vanskelig. I særlige tvivlstilfælde med vedvarende forhøjede koncentrationer af transaminaser kan diagnosen underbygges ved behandlingsforsøg med prednisolon iht. kriterierne fra the International Autoimmune Hepatitis Group [18].

BEHANDLING

Målet for behandling er at opnå tidlig, komplet og vedvarende remission af den inflammatoriske proces i levervævet (Figur 1) med anvendelse af lavest mulige medicindoser. Ved remission forstås opnåelse af symptomfrihed samt normalisering af biokemi og histologi.

Standardbehandlingen af AIH er prednisolon, som, så snart diagnosen er stillet, bør institueres i dosis på 30 mg dagligt op til 1 mg/kg/dag (med samtidigt tilskud af D-vitamin og kalk). Når man observerer et sikkert behandlingsrespons, dvs. et markant fald i transaminase- og IgG-niveau samt klinisk bedring hos symptomatiske patienter, suppleres der efter 14-30 dage med azathioprin 1 mg/kg/dag som vedligeholdelsesbehandling [21]. Denne behandlingsstrategi er i randomiserede studier påvist at give klinisk bedring, normalisere blodprøveværdier, reducere histologisk inflammation og prednisolondosis samt øge overlevelsen [22-24]. Således opnåede 80% remission inden for tre år i tidlige studier, selvom en del af patienterne muligvis havde hepatitis C [24]. I nyere studier er der observeret komplet eller partielt respons hos 90% af patienterne inden for et år og en overlevelse, der er sammenlignelig med baggrundsbefolkningens [25].

Prednisolondosis reduceres gradvist, typisk over 8-12 uger, til en vedligeholdelsesdosis på 5-10 mg, såfremt der er vedvarende fald i alanin-amino-transferase (ALAT)-niveauet. Behandlingsvarigheden er omdiskuteret. I amerikanske guidelines foreslås mindst to års normaliseret transaminase- og IgG-niveau, før seponeringsforsøg overvejes. Det skyldes, at man hos patienter med normaliseret biokemi påviser histologisk aktivitet hos 55% [26], og normale histologiske forhold findes først op til otte måneder efter normaliseret biokemi. Af samme grund anbefaler man internationalt at foretage en leverbiopsi forud for eventuel afslutning af immunsuppressiv behandling [22]. Behandlingen skal fortsættes, hvis der er histologisk aktivitet. Ofte er patienterne dog ikke interesserede i fornyet bioptering på et tidspunkt, hvor sygdommen er i ro. En alternativ mulig strategi er da at forsøge forsigtig udtrapning af behandlingen med kontrol af ALAT- og IgG-niveau 3-4 uger efter enhver dosisreduktion og med dosisøgning ved stigning i tal. Hos patienter, som har været svære at bringe i remission, og som får relaps ved forsøg på seponering, bør den profylaktiske behandling udstrækkes til en længere periode end to år med remission før eventuelt nyt seponeringsforsøg. Der ses hyppigt relaps af sygdommen efter seponeringsforsøg, således hos 75% i et tysk studium med 103 patienter, hvor seponeringsforsøg blev foretaget efter en 9-23-måneders-periode med normal leverbiokemi [26], og relaps er associeret med ringere overlevelse. Ved vellykket seponering bør patientens levertal derfor kontrolleres månedligt i de første ti måneder, herefter sjældnere, f.eks. med 3-6 måneders mellemrum og ved sygdomsfornemmelse. Der findes ikke gode data til underbygning af den langsigtede kontrol, men sygdommen kan recidivere også efter mange års remission. Der findes p.t. ikke evidens for, at en kontrolbiopsi efter behandling har betydning for prognosen.

I et nyligt publiceret, stort, randomiseret, placebokontrolleret studium [27] behandlede man patienter med AIH uden cirrose med budesonid (9 mg/dag) i kombination med azathioprin og fandt normalisering af transaminaseniveauet mindst lige så hurtigt som ved standardbehandling med prednisolon og azathioprin og med færre bivirkninger. Der foreligger dog kun data for seks måneders behandling og ingen histologiske opfølgningsdata, hvorfor standardbehandling fortsat må anbefales som førstevalg.

Omkring 20% af patienterne responderer utilstrækkeligt eller er intolerante over for konventionel behandling. Disse patienter må tidligt i sygdomsforløbet henvises til en højtspecialiseret hepatologisk enhed, da sygdommen ofte vil progrediere til terminal leversygdom. Dette vil implicere behov for transplantation, medmindre sygdommen kan kontrolleres med alternative immunosuppressiva. Erfaringen med disse stammer primært fra behandlingen af levertransplanterede patienter. Det drejer sig om calcineurininhibitorer (primært tacrolimus) og mycopheno-latmofetil, som anvendes på empirisk grundlag [28]. Disse præparater er undersøgt i små serier, hvori der er rapporteret om behandlingsrespons/remission hos en del af de patienter, som ikke tålte eller responderede på standardbehandling.

MONITORERING

Monitoreringen af patienter med AIH bør, som anført, være livslang, også efter succesfuld seponering af immunosuppressiva. Monitorering omfatter sygdomsaktivitet (først og fremmest ALAT- og IgG-niveau), potentielle bivirkninger (herunder påvirkning af knoglemarv, diabetes, pancreas- eller nyrepåvirkning) og associeret sygelighed, bl.a. anden autoimmun lidelse, hyperlipidæmi og øget knogleomsætning.

OPSUMMERING/KONKLUSION

Ubehandlet AIH kan lede til tidlig død eller levercirrose med komplikationer, hvorfor tidlig diagnostik og behandling er afgørende for prognosen. Insufficient sygdomskontrol medfører øget risiko for udvikling af leversvigt, som nødvendiggør transplantation.

Patienter, som ikke responderer tilfredsstillende på gængs behandling, eller som har overlapssyndrom, skal derfor tidligt henvises til en højtspecialiseret hepatologisk enhed, hvor anvendelse af avancerede immunosuppressiva ofte kan kontrollere sygdomsaktiviteten og forhindre eller udskyde en levertransplantation.

src="/LF/images_ufl/ufl_bla.gif">
Henriette Ytting, Hepatologisk Afdeling A, Rigshospitalet, Blegdamsvej 9, 2100 København Ø. E-mail: ytting@dadlnet.dk

ANTAGET: 4. juni 2012

FØRST PÅ NETTET: 20. august 2012

KONFLIKTER: Forfatternes ICMJE-formularer er tilgængelige sammen med artiklen på Ugeskriftet.dk

  1. Kirk AP, Jain S, Pocock S et al. Late results of the Royal Free Hospital prospective controlled trial of prednisolone therapy in hepatitis B surface antigen negative chronic active hepatitis. Gut 1980;21:78-83.
  2. Czaja AJ. Features and consequences of untreated type 1 autoimmune hepa-titis. Liver Int 2009;29:816-23.
  3. Longhi M S, Ma Y, Mieli-Vergani G et al. Adaptive immunity in autoimmune hepatitis. Dig Dis 2010;28:63-9.
  4. Manns MP, Vogel A. Autoimmune hepatitis, from mechanisms to therapy. Hepatology 2006;43(2 suppl 1):S132-S144.
  5. Boberg KM. Prevalence and epidemiology of autoimmune hepatitis. Clin Liver Dis 2002;6:635-47.
  6. Werner M, Prytz H, Ohlsson B et al. Epidemiology and the initial presentation of autoimmune hepatitis in Sweden: a nationwide study. Scand J Gastroenterol 2008;43:1232-40.
  7. Primo J, Merino C, Fernandez J et al. Incidence and prevalence of autoimmune hepatitis in the area of the Hospital de Sagunto (Spain). Gastroenterol Hepatol 2004;27:239-43.
  8. Ngu JH, Bechly K, Chapman BA et al. Population-based epidemiology study of autoimmune hepatitis: a disease of older women? J Gastroenterol Hepatol 2010;25:1681-6.
  9. Feld JJ, Dinh H, Arenovich T et al. Autoimmune hepatitis: effect of symptoms and cirrhosis on natural history and outcome. Hepatology 2005;42:53-62.
  10. Kogan J, Safadi R, Ashur Y et al. Prognosis of symptomatic versus asymptomatic autoimmune hepatitis: a study of 68 patients. J Clin Gastroenterol 2002;35:75-81.
  11. Ichai P, Samuel D. Etiology and prognosis of fulminant hepatitis in adults. Liver Transpl 2008;14(suppl 2):S67-S79.
  12. Stravitz RT, Lefkowitch JH, Fontana RJ et al. Autoimmune acute liver failure: proposed clinical and histological criteria. Hepatology 2011;53:517-26.
  13. Kessler WR, Cummings OW, Eckert G et al. Fulminant hepatic failure as the initial presentation of acute autoimmune hepatitis. Clin Gastroenterol Hepatol 2004;2:625-31.
  14. Larsen FS, Ranek L, Hjortrup A et al. Fulminant leversvigt før og efter indførelse af levertransplantation på Rigshospitalet. Ugeskr Læger 1995;157:885-8.
  15. Teufel A, Weinmann A, Kahaly GJ et al. Concurrent autoimmune diseases in patients with autoimmune hepatitis. J Clin Gastroenterol 2010;44:208-13.
  16. Mirzaagha F, Azali SH, Islami F et al. Coeliac disease in autoimmune liver disease: a cross-sectional study and a systematic review. Dig Liver Dis 2010;42:620-3.
  17. Alvarez F, Berg PA, Bianchi FB et al. International Autoimmune Hepatitis Group Report: review of criteria for diagnosis of autoimmune hepatitis. J Hepatol 1999;31:929-38.
  18. Hennes EM, Zeniya M, Czaja AJ et al. Simplified criteria for the diagnosis of autoimmune hepatitis. Hepatology 2008;48:169-76.
  19. Roberts SK, Therneau TM, Czaja AJ. Prognosis of histological cirrhosis in type 1 autoimmune hepatitis. Gastroenterology 1996;110:848-57.
  20. Baggenstoss AH, Soloway RD, Summerskill WH et al. Chronic active liver disease. Hum Pathol 1972;3:183-98.
  21. Manns MP, Czaja AJ, Gorham JD et al. Diagnosis and management of autoimmune hepatitis. Hepatology 2010;51:2193-213.
  22. Murray-Lyon IM, Stern RB, Williams R. Controlled trial of prednisone and aza-thioprine in active chronic hepatitis. Lancet 1973;1:735-7.
  23. Soloway RD, Summerskill WH, Baggenstoss AH et al. Clinical, biochemical, and histological remission of severe chronic active liver disease: a controlled study of treatments and early prognosis. Gastroenterology 1972;63:820-33.
  24. Summerskill WH, Korman MG, Ammon HV et al. Prednisone for chronic active liver disease: dose titration, standard dose, and combination with azathioprine compared. Gut 1975;16:876-83.
  25. Kanzler S, Lohr H, Gerken G et al. Long-term management and prognosis of autoimmune hepatitis (AIH): a single center experience. Z Gastroenterol 2001;39:339-8.
  26. Czaja AJ, Wolf AM, Baggenstoss AH. Laboratory assessment of severe chronic active liver disease during and after corticosteroid therapy: correlation of serum transaminase and gamma globulin levels with histologic features. Gastroenterology 1981;80:687-92.
  27. Manns MP, Woynarowski M, Kreisel W et al. Budesonide induces remission more effectively than prednisone in a controlled trial of patients with autoimmune hepatitis. Gastroenterology 2010;139:1198-206.
  28. Larsen FS. Treatment of patients with severe autoimmune hepatitis. Minerva Gastroenterol Dietol 2008;54:57-63.

Summary

Summary Characteristics, diagnosis and therapy of patients with autoimmune hepatitis Ugeskr Læger 2012;174(46):2859-2863 Autoimmune hepatitis is a relatively rare disease that may lead to rapidly progressing liver cirrhosis and even fulminant liver failure, if diagnosis and treatment is delayed or ineffective. Diagnosing the disease can be challenging, and one in five patients respond insufficiently to standard treatment. Patients, who are diagnosed late in the disease course or only respond partly to medical treatment, are at high risk of developing severe liver insufficiency. This article summarizes the present knowledge and evidence regarding diagnostics, therapy and disease course.

Referencer

  1. Kirk AP, Jain S, Pocock S et al. Late results of the Royal Free Hospital prospective controlled trial of prednisolone therapy in hepatitis B surface antigen negative chronic active hepatitis. Gut 1980;21:78-83.
  2. Czaja AJ. Features and consequences of untreated type 1 autoimmune hepa-titis. Liver Int 2009;29:816-23.
  3. Longhi MS, Ma Y, Mieli-Vergani G et al. Adaptive immunity in autoimmune hepatitis. Dig Dis 2010;28:63-9.
  4. Manns MP, Vogel A. Autoimmune hepatitis, from mechanisms to therapy. Hepatology 2006;43(2 suppl 1):S132-S144.
  5. Boberg KM. Prevalence and epidemiology of autoimmune hepatitis. Clin Liver Dis 2002;6:635-47.
  6. Werner M, Prytz H, Ohlsson B et al. Epidemiology and the initial presentation of autoimmune hepatitis in Sweden: a nationwide study. Scand J Gastroenterol 2008;43:1232-40.
  7. Primo J, Merino C, Fernandez J et al. Incidence and prevalence of autoimmune hepatitis in the area of the Hospital de Sagunto (Spain). Gastroenterol Hepatol 2004;27:239-43.
  8. Ngu JH, Bechly K, Chapman BA et al. Population-based epidemiology study of autoimmune hepatitis: a disease of older women? J Gastroenterol Hepatol 2010;25:1681-6.
  9. Feld JJ, Dinh H, Arenovich T et al. Autoimmune hepatitis: effect of symptoms and cirrhosis on natural history and outcome. Hepatology 2005;42:53-62.
  10. Kogan J, Safadi R, Ashur Y et al. Prognosis of symptomatic versus asymptomatic autoimmune hepatitis: a study of 68 patients. J Clin Gastroenterol 2002;35:75-81.
  11. Ichai P, Samuel D. Etiology and prognosis of fulminant hepatitis in adults. Liver Transpl 2008;14(suppl 2):S67-S79.
  12. Stravitz RT, Lefkowitch JH, Fontana RJ et al. Autoimmune acute liver failure: proposed clinical and histological criteria. Hepatology 2011;53:517-26.
  13. Kessler WR, Cummings OW, Eckert G et al. Fulminant hepatic failure as the initial presentation of acute autoimmune hepatitis. Clin Gastroenterol Hepatol 2004;2:625-31.
  14. Larsen FS, Ranek L, Hjortrup A et al. Fulminant leversvigt før og efter indførelse af levertransplantation på Rigshospitalet. Ugeskr Læger 1995;157:885-8.
  15. Teufel A, Weinmann A, Kahaly GJ et al. Concurrent autoimmune diseases in patients with autoimmune hepatitis. J Clin Gastroenterol 2010;44:208-13.
  16. Mirzaagha F, Azali SH, Islami F et al. Coeliac disease in autoimmune liver disease: a cross-sectional study and a systematic review. Dig Liver Dis 2010;42:620-3.
  17. Alvarez F, Berg PA, Bianchi FB et al. International Autoimmune Hepatitis Group Report: review of criteria for diagnosis of autoimmune hepatitis. J Hepatol 1999;31:929-38.
  18. Hennes EM, Zeniya M, Czaja AJ et al. Simplified criteria for the diagnosis of autoimmune hepatitis. Hepatology 2008;48:169-76.
  19. Roberts SK, Therneau TM, Czaja AJ. Prognosis of histological cirrhosis in type 1 autoimmune hepatitis. Gastroenterology 1996;110:848-57.
  20. Baggenstoss AH, Soloway RD, Summerskill WH et al. Chronic active liver disease. Hum Pathol 1972;3:183-98.
  21. Manns MP, Czaja AJ, Gorham JD et al. Diagnosis and management of autoimmune hepatitis. Hepatology 2010;51:2193-213.
  22. Murray-Lyon IM, Stern RB, Williams R. Controlled trial of prednisone and aza-thioprine in active chronic hepatitis. Lancet 1973;1:735-7.
  23. Soloway RD, Summerskill WH, Baggenstoss AH et al. Clinical, biochemical, and histological remission of severe chronic active liver disease: a controlled study of treatments and early prognosis. Gastroenterology 1972;63:820-33.
  24. Summerskill WH, Korman MG, Ammon HV et al. Prednisone for chronic active liver disease: dose titration, standard dose, and combination with azathioprine compared. Gut 1975;16:876-83.
  25. Kanzler S, Lohr H, Gerken G et al. Long-term management and prognosis of autoimmune hepatitis (AIH): a single center experience. Z Gastroenterol 2001;39:339-8.
  26. Czaja AJ, Wolf AM, Baggenstoss AH. Laboratory assessment of severe chronic active liver disease during and after corticosteroid therapy: correlation of serum transaminase and gamma globulin levels with histologic features. Gastroenterology 1981;80:687-92.
  27. Manns MP, Woynarowski M, Kreisel W et al. Budesonide induces remission more effectively than prednisone in a controlled trial of patients with autoimmune hepatitis. Gastroenterology 2010;139:1198-206.
  28. Larsen FS. Treatment of patients with severe autoimmune hepatitis. Minerva Gastroenterol Dietol 2008;54:57-63.