Skip to main content

Kardial sarkoidose - en svær diagnose

Overlæge Nils Milman, overlæge Claus B. Andersen & overlæge Svend Aage Mortensen H:S Rigshospitalet, Hjertecentret, Afsnit for Hjerte-lungetransplantation, Hjertemedicinsk Klinik B og Patologisk Institut

30. okt. 2006
5 min.

I Danmark diagnosticeres der årligt 400 tilfælde af sarkoidose. Ved autopsi findes granulomer i hjertet hos 30% af patienterne med systemisk sarkoidose [1], men kun hos 5% ses kliniske tegn på kardial involvering [2]. Formentlig findes der en del patienter med ikkeerkendt kardial sarkoidose. Her beskrives alle de otte patienter, der i 1984-2005 er blevet udredt/behandlet for kardial sarkoidose på Rigshospitalet. Hos tre patienter blev diagnosen først stillet efter en hjertetransplantation (HTx).

Sygehistorier

I. Patienten var en 31-årig kvinde med dilateret kardiomyo-pati, venstre ventrikel-ejektionsfraktion (LVEF) 23% og mitra-insufficiens. Der var normalt elektrokardiogram (EKG). En myokardiebiopsi viste epitelioidcellegranulomer. Der fandtes granulomer i en leverbiopsi. Patienten fik prednisolon, men døde af hjerteinsufficiens. Autopsi viste fibrose i myokardiet, ingen granulomer.

II. Patienten var en 25-årig gravid kvinde med dilateret kardiomyopati. EKG viste ventrikulær takykardi. Hun fik efterfølgende hjertestop pga. ventrikulær takykardi/ventrikelflimmer og fik udført HTx. I det eksplanterede hjerte sås epitelioidcellegranulomer og fibrose; 15 år efter var patienten kardialt velkompenseret.

III. Patienten var en 46-årig kvinde med dilateret kardiomyopati med LEVF 25%, ventrikulær takykardi, tredjegradsatrioventrikulært (AV) blok, venstresidigt grenblok og mitralinsufficiens. Hun fik pacemaker. En myokardiebiopsi viste epitelioidcellegranulomer, og der blev givet prednisolon. Patienten fik udført HTx. I det eksplanterede hjerte sås epitelioidcellegranulomer og fibrose. To måneder senere døde patienten af Cytomegalovirus-myokarditis. En autopsi viste granulomer i de mediastinale lymfeknuder.

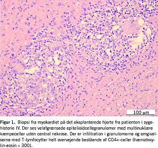
IV. Patienten var en 35-årig kvinde med dilateret kardiomyopati. En højopløsningscomputertomografi af thorax viste forstørrede lymfeknuder i mediastinum, et EKG viste højre-sidigt grenblok, og en myokardiebiopsi viste ingen granulomer. Patienten fik udført HTx. I det eksplanterede hjerte sås epitelioidcellegranulomer i myokardiet og koronarkarrene (Figur 1 ). Patienten var i velbefindende to år efter HTx.

V. Patienten var en 34-årig mand med pulmonal sarkoidose, atrieflagren og tredjegrads-AV-blok. Han fik indsat pacemaker, og herefter var der ventrikulær ekstrasystoli og -takykardi. En ekkokardiografi viste normal LVEF og mitralinsufficiens. En myokardiebiopsi viste ingen granulomer. Patienten ønskede ikke behandling og døde pludseligt seks måneder senere. Der blev ikke foretaget obduktion.

VI. Patienten var en 53-årig mand med pulmonal sarkoidose og dilateret kadiomyopati med ventrikulær ekstrasystoli. En myokardiebiopsi viste sarkoide granulomer. Patienten blev behandlet med prednisolon og azathioprin. Han døde 18 måneder efter pga. hjerteinsufficiens. En autopsi viste granulomer i myokardiet og lungerne.

VII. Patienten var en 52-årig mand med dilateret kardiomyopati, LVEF 40% og ventrikulære ekstrasystoler. En koronarangiografi (KAG) viste normale koronarkar, en myokardiebiopsi viste epitelioidcellegranulom, foreneligt med sarkoidose, en myokardieskintigrafi med 99m Technetium-sestamibi viste perfusionsdefekter, og en computertomografi af thorax viste forstørrede mediastinale lymfeknuder. Der blev påbegyndt behandling med prednisolon. Fem år senere var EKG normalt, og en ekkokardiografi viser LVEF på 66%.

VIII. Patienten var en 57-årig mand, der havde haft hjertestop pga. ventrikelflimmer og var genoplivet uden cerebrale skader. Han fik anlagt ICD. En ekkokardiografi viste dilateret kardiomyopati og LVEF 25%. En KAG viste normale koronarkar og en remyokardiebiopsi viste epitelioidcellegranulomer. Der var ingen tegn på ekstrakardial sarkoidose. En helkrops 18 F-deoxyglukose-positronemissionstomografi (FDG-PET) viste uregelmæssig opladning i myokardiet, foreneligt med granulomer/fibrose, og ingen ekstrakardial opladning. Der blev påbegyndt behandling med prednisolon og azathioprin. Patienten fik udført HTx og døde et døgn efter operationen. En autopsi viste »udbrændt« sarkoidose i de mediastinale lymfeknuder.

Diskussion

Kardial sarkoidose kan ses som led i systemisk sarkoidose og kan optræde isoleret uden ekstrakardiale manifestationer. Patienter med sarkoidose bør screenes for kardial affektion med EKG, Holter-monitorering og ekkokardiografi [3]. Er disse undersøgelser positive, bør der udføres MR-skanning og/eller PET af hjertet og evt. myokardiebiopsi [3]. På grund af den pletvise udbredelse af granulomerne i myokardiet har myokardiebiopsi en lav sensitivitet [3, 4], og en negativ biopsi udelukker derfor ikke sarkoidose. Hos nogle patienter bliver diagnosen først afklaret efter HTx [5].

Sarkoide granulomer i hjertet kan give fibrose og dilateret kardiomyopati. Hjertesvigt er sammen med hjertestop pga. tredjegrads-AV-blok eller ventrikulær arrytmi [3] de hyppigste dødsårsager ved kardial sarkoidose.


Nils Milman, Medicinsk Afdeling B2142, H:S Rigshospitalet, DK-2100 København Ø. E-mail: milman@rh.dkAntaget: 13. marts 2006 Interessekonflikter: Ingen angivet

  1. Silverman KJ, Hutchins GM, Bulkley BH. Cardiac sarcoid: a clinicopathologic study of 84 unselected patients with systemic sarcoidosis. Circulation 1978;58:1204-11.
  2. Hagemann GJ, Wurm K. The clinical electrocardiographic and pathological features of cardial sarcoidosis. I: Jones WW, Davies BH, red. Sarcoidosis and other granulomatous disorders. Cardiff: Alpha Omega Publishing, 1980:601-6.
  3. Milman N, Mortensen SAa. Kardial sarkoidose. Ugeskr Læger 2006;168: 3801-6.
  4. Uemura A, Morimoto S, Hiramitsu S et al. Histologic diagnostic rate of cardiac sarcoidosis: evaluation of endomyocardial biopsies. Am Heart J 1999;138: 299-302.
  5. Donsky AS, Escobar J, Capehart J et al. Heart transplantation for undiagnosed cardiac sarcoidosis. Am J Cardiol 2002;89:1447-50.

Summary

Summary Cardiac sarcoidosis, a difficult diagnosis: a report of 8 consecutive patients with arrhythmias and cardiomyopathy Ugeskr Læger 2006;168(44):3822-3824 During the period 1984-2005, eight patients aged 25-57 years were treated for cardiac sarcoidosis. Diagnosis was obtained in three patients by endomyocardial biopsy, in three at heart transplantation (HTx) and in two at autopsy. Two patients had heart block, five ventricular arrhythmias and six dilated cardiomyopathy with congestive heart failure. Five patients died, one by sudden death, two of heart failure and two after HTx. Diagnosing cardiac sarcoidosis remains difficult, although MRI and PET scan have renewed the awareness of the disease.

Referencer

  1. Silverman KJ, Hutchins GM, Bulkley BH. Cardiac sarcoid: a clinicopathologic study of 84 unselected patients with systemic sarcoidosis. Circulation 1978;58:1204-11.
  2. Hagemann GJ, Wurm K. The clinical electrocardiographic and pathological features of cardial sarcoidosis. I: Jones WW, Davies BH, red. Sarcoidosis and other granulomatous disorders. Cardiff: Alpha Omega Publishing, 1980:601-6.
  3. Milman N, Mortensen SAa. Kardial sarkoidose. Ugeskr Læger 2006;168: 3801-6.
  4. Uemura A, Morimoto S, Hiramitsu S et al. Histologic diagnostic rate of cardiac sarcoidosis: evaluation of endomyocardial biopsies. Am Heart J 1999;138: 299-302.
  5. Donsky AS, Escobar J, Capehart J et al. Heart transplantation for undiagnosed cardiac sarcoidosis. Am J Cardiol 2002;89:1447-50.