Skip to main content

Kighoste - en livstruende infektion hos spædbørn

Reservelæge Tanja Pedersen Fredericia og Kolding Sygehuse, Pædiatrisk Afdeling, og Odense Universitetshospital, Pædiatrisk Afdeling

21. apr. 2008
7 min.

En fem uger gammel dreng blev indlagt med klinisk pneumoni. Han fik respiratorisk insufficiens, svær leukocytose, pulmonal hypertension og døde. Ved polymerasekædereaktion blev der konstateret Bordatella pertussis. Frekvensen af kighoste er stigende i alle aldersgrupper i hele verden på trods af nationale vaccinationsprogrammer. Teenagere og voksne er smittespredere af sygdommen til spædbørn, som enten ikke har påbegyndt eller fuldendt vaccinationerne. I nogle lande anbefales nu booster -vaccinationer til teenagere og voksne for at undgå de fatale infektioner blandt spædbørn. Det bør vi også overveje at indføre i Danmark.

Vi rapporterer om et fatalt forløbende tilfælde af kighoste hos et fem uger gammelt barn.

Kighoste forårsages af Bordetella pertussis og forekommer vanligvis i epidemier hvert 3.-5. år [1]. Siden 1995 er fem børn døde af kighoste i Danmark - alle var under to måneder [2].

Siden 1997 er danske børn blevet vaccineret mod kighoste med en acellulær vaccine, som i dag gives i tre-, fem- og 12-måneders-alderen, og siden 2003 også i femårsalderen. Tidligere blev første vaccination givet i femugersalderen. Vaccinerne giver ikke livslang immunitet [3, 4].

På trods af høj vaccinationsdækning har man i de senere år både herhjemme og i udlandet konstateret en stigende incidens af kighoste i alle aldersgrupper [3, 5]

Sygehistorie

En fem uger gammel dreng blev indlagt akut på mistanke om pneumoni efter fire dage med catarrhalia, men uden hoste af betydning. Moderen og en storebror på tre år havde ca. syv dage forud for drengens indlæggelse haft let forkølelse, men ingen hoste. Ved indlæggelsen var drengen marmoreret, havde takypnø med indtrækninger, temperatur på 37,8 °C og en respirationsfrekvens på 68/min. Saturationen lå omkring 90% - der var enkelte apnøepisoder, hvor saturationen faldt til 70%. På klinisk mistanke om pneumoni påbegyndtes behandling med intravenøst givet ampicillin, og barnet blev lagt i nasal continuous positive airway pressure med op til 50% ilttilskud.

De næste to døgn blev drengen tiltagende respiratorisk insufficient. Efter intubation blev han overflyttet til central børneintensivafdeling, hvor han blev behandlet med high frequency osscillation (HFO), pressorstoffer og bredspektret antibiotika. Drengen fik klinisk og ekkokardiografisk verificeret pulmonal hypertension.

Trods stabilisering intialt fik han efter yderligere et døgn vigende blodtryk og hjertestop. Genoplivning lykkedes ikke.

Paraklinik

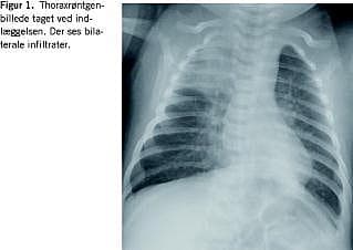
Der blev foretaget røntgenundersøgelser af thorax som viste bilaterale infiltrater (Figur 1 ). C-reaktivt protein var ved indlæggelsen 143, men faldt til 60 efter påbegyndelse af antibiotikabehandling. Siden steg det imidlertid til 165. Normalværdi < 10. Leukocytter fandtes at være 29,5 × 106 med lymfocytose, men steg siden til 100 × 106 . Dyrkning af trakealsekret viste ingen patogene fund. Bordetella pertussis blev verificeret ved polymerasekædeundersøgelse af trakealsekretet.

Diskussion

Diagnosen kighoste skal altid overvejes, når spædbørn har apnøepisoder, bradykardi og/eller cyanoseanfald. Klassiske symptomer som kigen og hoste er i denne aldersgruppe oftest helt fraværende [6]. Fatalt syge spædbørn får i løbet af kort tid svær leukocytose, hypoxæmi, intraktabel pulmonal hypertension og kardiogent shock.

Patienter, der har kighoste med pneumoni og leukocytose > 100 × 109 har den største risiko for fatal udgang [7]. Patogenesen bag de fatale tilfælde er ikke endeligt afklaret. Det svært forhøjede leukocyttal danner muligvis baggrund for dannelse af leukocytaggregater, der danner embolier i de pulmonale blodkar. Pertussistoksinet kan være med til at forårsage de svære symptomer [8].

Kighoste behandles med erythromycin eller andet makrolid, som stopper smitten efter fem dages behandling og afkorter sygdomsforløbet, hvis behandlingen indsættes tidligt [5, 9]. I alvorlige tilfælde hos spæde har man forsøgt behandling med HFO, ekstrakorporal membranoxygenering og inotropistøtte. Ingen behandling har ført til konsensus på området [10, 11].

Man ved, at vaccination mod kighoste kun yder immunitet i en begrænset periode [12], og ved sygdom hos spædbørn er smittekilden oftest teenagere og voksne [13]. Antallet af kighostetilfælde i Danmark blandt spædbørn steg efter ændringen i vaccinationsprogrammet i 1997, da den første vaccination nu gives senere end før [14]. Den estimerede effekt af en førskolevaccination på antallet af indlæggelsesdage blandt de 0-1-årige blev i 2005 anset for at være beskeden [15].

For at undgå smitte af spædbørn og dermed alvorlig sygdom må strategien derfor være at reducere antallet af smittebærere mest muligt.

På baggrund af den stigende incidens af kighoste blandt teenagere og voksne har man nu i flere lande indført en supplerende booster -vaccination af teenagere [16]. Man overvejer i flere af disse lande ligeledes supplerende vaccinationer af voksne - i kombination med tetanus-boosters hvert tiende år [17].

Konklusion

Hos spædbørn, der har apnøepisoder, cyanose, bradykardi og/eller leukocytose (lymfocytose), bør man altid have mistanke om kighosteinfektion. Læger i primærsektoren bør også altid være opmærksomme på teenagere og voksne med uspecifik hoste i mere end to uger og supplere med undersøgelse for kighoste for at undgå yderligere smittespredning. For at undgå fatale tilfælde blandt spædbørn minder vi om den rekommanderede profylaktiske behandling af eksponerede børn fra Statens Serum Institut [4]. For at mindske antallet af smittespredere bør det også i Danmark overvejes at tilbyde booster -vaccination til både teenagere og voksne.


Summary

Pertussis - a life-threatening infection in infants. Is there a need for booster vaccination?

Ugeskr Læger 2008;170(17):1474

A 5-week-old boy was admitted to hospital with clinical pneumonia. He became increasingly respiratory insufficient requiring ventilation. He developed severe leukocytosis and pulmonary hypertension and died 3 days after admission. Pert ussis was diagnosed by PCR.

The frequency of pertussis is increasing in all ages worldwide, despite national vaccination programmes. Some countries now acknowledge that adolescents and adults are transmitting the disease to infants and recommend late booster vaccination. Our case suggests the need for these recommendations.


Tanja Pedersen, Barneklinikken, Haukelands Universitetssykehus, N-5021 Bergen, Norge. Email: tanja.pedersen@helse-bergen.no

Antaget: 20. august 2007

Interessekonflikter: Ingen

Taksigelser. Tak til afdelingslæge Peter H. Andersen, Statens Serum Institut, for oplysninger om vaccinationsprogrammet i Danmark og for kritisk gennemlæsning af kasuistikken, til 1. reservelæge Niels Fisker, Pædiatrisk Afdeling, Fredericia og Kolding Sygehuse, for at have gjort opmærksom på tilfældet og for kritisk gennemlæsning af kasuistikken, til overlæge Ester Garne, Pædiatrisk Afdeling, Fredericia og Kolding Sygehuse, for hjælp til ide, udformning og kritisk gennemlæsning af kasuistikken samt til overlæge Johnny Christensen, Radiologisk Afdeling, Fredericia og Kolding Sygehuse, for udlån af røntgenbillede.

Summary

Summary Pertussis - a life-threatening infection in infants. Is there a need for booster vaccination? Ugeskr L&aelig;ger 2008;170(17):1474 A 5-week-old boy was admitted to hospital with clinical pneumonia. He became increasingly respiratory insufficient requiring ventilation. He developed severe leukocytosis and pulmonary hypertension and died 3 days after admission. Pertussis was diagnosed by PCR. The frequency of pertussis is increasing in all ages worldwide, despite national vaccination programmes. Some countries now acknowledge that adolescents and adults are transmitting the disease to infants and recommend late booster vaccination. Our case suggests the need for these recommendations.

Referencer

  1. Christiansen AH, Andersen PH. Kighoste 2005. Epinyt 2006:47.
  2. Pedersen T, Fisker N, Andersen PH. Spædbarn død af kighoste. Epinyt 2005:35.
  3. Tan T, Trindade E, Skowronski D. Epidemiology of Pertussis. Pediatr Infect Dis J 2005;24(suppl.5):S10-8.
  4. Christiansen AH, Andersen PH, Dragsted D. Kighoste 2001 og kighosteprofylakse. Epinyt 2002:45.
  5. Tozzi AE, Celentano LP, Ciofi degli Atti ML et al. Diagnosis and management of pertussis. CMAJ 2005;172:509-15.
  6. Høgh B. Kighoste. Ugeskr Læger 2003:165:4203.
  7. Pierce C, Klein N, Peters M. Is leukocytosis a predictor of mortality in severe pertussis infection? Intensive Care Me 2000 26:1512-4.
  8. Donoso A, Leon J, Ramirez M. Pertussis and fatal pulmonary hypertension: a discouraged entity. Scand J Infect Dis 2005;37:145-8.
  9. Pontoppidan PE, Høgh B. Antibiotikabehandling af kighoste. Ugeskr Læger 2006:138:2802-5.
  10. De Berry BB, Lynch JE, Chung DH et al. Pertussis with severe pulmonary hypertension and leukocytosis treated with extracorporeal membrane oxygenation. Pediatric Surg Int 2005;21:692-4.
  11. Mceniery JA, Delbridge RG, Reith DM. Infant pertussis deaths and the management of cardiovascular compromise. J Pediatr Child Health 2004;40:230-2.
  12. Crowcroft NS, Pebody RG. Recent developments in pertussis. Lancet 2006;367:1926-36.
  13. Dworkin MS. Adults are whooping, but are internists listening? Ann Intern Med 2005;142:832-5.
  14. Hviid A, Stellfeld M, Andersen PH et al. Impact of routine vaccination with a pertussis toxoid vaccine in Denmark. Vaccine 2004;22:3530-4.
  15. Hviiid A, Stellfeld M, Wohlfahrt J et al. The impact of pre-school vaccination of 4-6-year-old children on pertussis in 0-1-year-old children. Vaccine 2006;24:1401-7.
  16. Edwards K. Overview of Pertussis: focus on epidemiology, sources of infection and long term protection after infant vaccination. Pediatr Infect Dis J 2005;24(suppl 16):104-8.
  17. Lee GM, LeBaron C, Murphy TV et al. Pertussis in adolescents and adults: should we vaccinate? Pediatrics 2005;115:1675-84.