»Kolibritegn« og »Mickey Mouse-tegn« ved progressiv supranukleær parese


Valentina Makolli, e-mail: vama@regionsjaelland.dk, Mette Maria Nordling, Radiologisk Afdeling, & Abdul Khalil Rahmani, Neurologisk Afdeling, Sjællands Universitetshospital, Roskilde Ugeskr Læger 2016;178:V67652
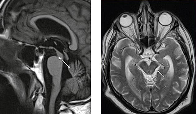
En 67-årig mand med følger i form af synkebesvær efter larynxcancer blev indlagt akut med faldtendens og bilateral oculomotoriusparese. Han havde haft kognitiv funktionsnedsættelse med snigende debut og parkinsonistiske symptomer i flere måneder. Ved en objektiv undersøgelse fandt man vertikal blikparese, specielt ved blik nedad, langsomme øjenbevægelser, nedsat blinkefrekvens og nedsat følgebevægelser af øjnene. Der var samtidig langsom bevægelighed, rigiditet, specielt aksial rigiditet og tiltagende usikker gang. Talen var hypofon og dysartrisk. Baseret på de kliniske fund blev der rejst mistanke om progressiv supranukleær parese (PSP). Diagnosen blev støttet af resultaterne af en MR-skanning af cerebrum. MR-skanning hos patienter PSP afslører betydelig atrofi af mesencefalons tegmentum med relativ bevarelse af pons, kendt som »kolibritegn« (A) [1]. »Kolibritegnet« er nyttigt ved skelnen af PSP fra Parkinsons sygdom og multisystematrofi [2, 3]. Ved MR-skanning hos patienter med PSP finder man også andre, mindre typiske tegn som »Mickey Mouse-tegn« (B). Dette ses typisk som en reduktion af mesencefalons anterio-posterior-diameter og udtynding af cerebrale pedunkler [3, 4]. MR-skanning er primært en hjælp ved PSP til udelukkelse af andre differentialdiagnoser som multipel systematrofi, kortikobasal degeneration og multiinfarktdemens.
Interessekonflikter:
Graber JJ, Staudinger R. Teaching neuroimages: “Penguin” or “hummingbird” sign and midbrain atrophy in progressive supranuclear palsy.
Neurology 2009;72:e81.
Oba H, Yagashita A, Terada H et al. New and reliable MRI diagnosis for progressive supranuclear palsy. Neurology 2005;64:2050–5.
Kato N, Arai K, Hattori T. Study of the rostral midbrain atrophy in progressive supranuclear palsy. J Neurol Sci 2003;210:57-60.
Vidailhet M, Rothwell JC, Thompson PD et al. The auditory startle response in the Steele Richardson-Olszewski syndrome and Parkinson's disease. Brain 1992;115:1181-92.